Cookie Consent byPrivacyPolicies.comabces paro origine ? - Eugenol

abces paro origine ?

tourteau

14/04/2007 à 13h49

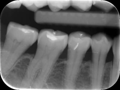
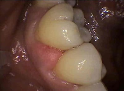
Patiente de 55 ans de nature anxieuse,nerveuse
Apparition de l'abces en 2 jours , me dit qu'elle passe les brossettes sauf depuis l'inflammation.
J'ai cureté , pas de poche au sondage ,point de contact correct . Après coup je me dis que j'aurais peut etre du faire une analyse adn.
Qu'en pensez vous , quelle peut etre l'origine de cet abces ?

Berr rad cwy3sm - Eugenol
Berrube abces sfliaw - Eugenol

Amibien

14/04/2007 à 14h51

en interadiculaire mésial de ta 6 , il doit y avoir un biofilm agressif, microscope ? une sonde ADN ? pourquoi pas ? Les brossettes ne me semblent pas indiquées ici. Et arrête de sonder et de cureter.


phil

14/04/2007 à 16h33

ton abces est bien entre la pm et la mol
au vu des radios les corticales sont la donc ce n'est pas un parodontite en phase evolutive c'est une paro de l'adulte surement debutante ou traitée et stable ( pas d'info sur l'histoire de la bouche de ta patiente )

une pano minmum pour s'assurer de l'etat global de la denture .......si doute bilan retroalveolaire

il y a un facteur de stress peut être autre chose comme facteurs de risques etat de sante en particulier

un cas isole comme ca dans une bouche ou pas trop de soucis ........pb local pour moi
perso je pense à une blessure avec la brossette ou autre chose ( aliment )mais si tu dis qu'elle est nerveuse ne bruxe t elle pa ou ne crispe t elle pas occasionnant des mobilites legères mais suffisantes pour des tassements alimentaires....

perso la je fais pas de test adn sauf si cela ne repond pas......pas utile dans ce cas

d'accord avec l'amibe ...tt local pas de curetage pas de sondage ( cela ne donnera rien puisque corticale sans doute et attendre la fin de l'inflammation )
brossage doux avec eventuellement pendant qq jours un bain de bouche
controle de l'occlusion

surveillance detartrage car il y en a mais quand tout est rentre dans l'ordre
revoir l'usage des brossettes et la faire venir avec celles qu'elle a car parfois le materiel est usage ou mal adapte donc irritant
il n'est d'ailleurs pas certain que la brossette soit utile........
controle à 3mois apres disparition des symptômes .........si tout va bien sans facteur de risque ensuite selon microscope si tu en as un et si pas d'activité contrôle à un an

si activite à 3 mois etre prudent .. tout reverifier et recontrôle 3 à 4 mois après mais cela m'étonnerait



024 vownvo - Eugenol
annie

14/04/2007 à 17h21

Problème de point de contact?
il semblerait d'aprés la radio,qu'il y ait une reconstitution distale de la prémolaire?,sinon à quoi correspondraient ces traits blancs,?
dans ce cas,revoir ce point de contact
en plus la 6 présente une légère fissure de l'émail au niveau de la "fossette"qui pourrait provoquer un tassement alimentaire


Amibien

14/04/2007 à 18h14

J'oserais aussi ajouter qu'elle est hypo droite en PIM et bloquée dans le jaune (possible aussi sur le bleu, tout dépend sur quelle dent maxillaire elle articule cette 6) sur l'oeil droit bouche ouverte


phil

14/04/2007 à 20h49

annie Ecrivait:
-------------------------------------------------------
> Problème de point de contact?
> il semblerait d'aprés la radio,qu'il y ait une
> reconstitution distale de la prémolaire?,sinon à
> quoi correspondraient ces traits blancs,?
> dans ce cas,revoir ce point de contact
> en plus la 6 présente une légère fissure de
> l'émail au niveau de la "fossette"qui pourrait
> provoquer un tassement alimentaire


ben ouais mais il dit pt contact correct........alors .......
le reverifier..........


et l'amibe tu nous explique pourquoi tu dis tout ca .....certes ce fait frime tes filtres mais cela reste du chinois oi oi
moi vouloir comprendre .......


Amibien

15/04/2007 à 07h51

phil Ecrivait:
-------------------------------------------------------

> et l'amibe tu nous explique pourquoi tu dis tout
> ca .....certes ce fait frime tes filtres mais cela
> reste du chinois oi oi
> moi vouloir comprendre .......
>
>


Tu dispose déjà de tous les éléments au travers des posts précédents en occlusodontie, il n'y à qu'à se baisser, c'est utile parfois de se décloisonner le ciboulot (;-)

Je vais me coucher, pas encore assez dormi...

zzz... zzz... zzz...


phil

15/04/2007 à 11h58

oui mais moi j'ai un cas clinique la ......alors tu me dis le rapport entre la radio et le photo tes conclusions et tes filtres de couleur ............autrement c'est du pipeau ton truc.......
tu dis des choses mais tu ne les explique pas .....
Quel interet d'en parler alors ?

d'ailleurs tu fais un monologue avec ce truc.......que disent les autres ......est-ce si compliqué inaccessible au commun des internautes comme moi qui comme tu dis ne comprennent pas certaines choses ...encore faut-il les expliquer ....

quelqu'un qui n'explique pas ce qu'il fait ne maitrise pas sa technique ......c'est un peu embetant !!!

provoquons provoquons

alors par rapport à ce cas le rapport le pourquoi et comment tu fais ton diag et quels traitements.....sinon tu passes a autre chose mon ami.....car si sur chaqsue post emis par les autres en paro tu remets ta sauce sans l'expliquer ........c'est bidon don don dis donc !!! et inutile

j'espère que tu as bien dormi ............. car tu postes a des heures pas possible ......tu vas y perdre qq chose !!


Amibien

15/04/2007 à 13h54

Primo si je poste à une heure pas possible, 05.30 heures c'est que je me suis réveillé tout seul, j'ai bu une eau et j'ai jeté un oeil sur l'ordi qui est là ouvert, je ne fais pas comme toi sortir la nuit boire dans les bars pour me pointer chez bobonne aux petites heures (;-))

Deuxio, j'ai dit "J'oserais dire que..." ce qui n'est qu'une hypothèse, mais il est fort à parier qu'un contact inducteur d'hypotonie se trouve sur cette "6" auquel cas tu vois cela aux pouces en PIM le patient couché dans le fauteuil en postion de repos (voir conditions de repos en occlusodontie) et ici le bras DROIT deviendrait plus court de la valeur d'un pouce ou plus etsuprême raffinement si l'intuition se révèle exacte il y aurait un blocage dans le jaune si le contact inducteur se fait avec la "6" du haut ou éventuellement dans le bleu si ce contact se fait avec la "5" du haut, comment mesure-t'on cela ? en position couchée tu mets en pim puis tu demandes d'avaler la salive puis d'ouvrir la bouche tu poses le filtre jaune sur l'oeil droit et tu regardes si l'hypotonie GAUCHE arrive et si les bras restent a contrario symétriques c'est qu'il y a un blocage dans cette longeur d'onde et tous les tests précédents ont assigné le jaune à la zone osseuse occupée par la "6" maxillaire, autrement dit il y a un contact trop sonore sur cette dent-là en PIM, une légère correction suffira à restaurer la "vision" dans cette couleur et l'hypotonie GAUCHE mesurable aux pouces(toujours gauche que ce soit oeil droit ou oeil gauche / daltoniens réagissent exactement comme les autres)

J'ai remarqué que les problèmes parodontaux locaux peuvent être associés à ces contacts inducteurs surtout si la tendance à la bruxomanie peut s'observer chez le patient (facettes d'usures)

Il y a d'autres moyen que le filtre coloré pour objectiver le contact inducteur néfaste mais c'est actuellement le plus rapide et le plus complet, et à ce titre n'oublier pas de commencer par le violet pour vérifier si ce n'est pas bloqué dans cette couleur, eu égard au risque de se trouver en face de ptérygoïdiens en hypertonie.

Nous partons d'une bouche dentée, tout cela se complique en cas d'absences dentaires mais cela reste utilisable, il faut faire marcher ses neurones, cela étant dit l'outil que nous vous proposons ici est diabolique de précision.

Pour vraiment discuter sans plus perdre de temps, procurez vous les lunettes et les filtres colorés, ou, plutôt fabriquer ces derniers, cela m'a pris six heures et comme je ne suis pas plus malin qu'un autre cela devrait pouvoir se faire chez vous pour demain matin.

Ce n'est qu'en essayant vous-mêmes puis vous trouvant devant un cas pariculier que vous pourrez poser les questions et avancer.

Bon dimanche.

Tu as écrit:
p.s. j'espère que tu as bien dormi ............. car tu postes a des heures pas possible ......tu vas y perdre qq chose !!
Quelles sont tes sources pour affirmer cela, comment mesures-tu que je suis en train de perdre qqch ? etc... les conneries habituelles quoi !


phil

15/04/2007 à 15h03

Amibien Ecrivait:
-------------------------------------------------------
> Primo si je poste à une heure pas possible, 05.30
> heures c'est que je me suis réveillé tout seul,
> j'ai bu une eau et j'ai jeté un oeil sur l'ordi
> qui est là ouvert, je ne fais pas comme toi sortir
> la nuit boire dans les bars pour me pointer chez
> bobonne aux petites heures (;-))

t'es pas un peu nerveux .......ti fais pas trop d'ordi ......attention à l'eugenolite aigue........
>
> Deuxio, j'ai dit "J'oserais dire que..." ce qui
> n'est qu'une hypothèse, mais il est fort à parier
> qu'un contact inducteur d'hypotonie ( quel muscles et pourquoi hypo et par hyper ) se trouve sur
> cette "6" auquel cas tu vois cela aux pouces en
> PIM

explications donc......

le patient couché dans le fauteuil en postion
> de repos (voir conditions de repos en
> occlusodontie)

OK je suis il faut une position de reference je suppose

et ici le bras DROIT deviendrait
> plus court de la valeur d'un pouce ou plus
> etsuprême raffinement si l'intuition se révèle
> exacte

ton patient est allongé ou debout .......en posture c'est vu debout ......les pieds ayant une influence ....et la posture c'est de la neurophysio appliquée ... et l'on sait qu'il y a un fort rapport entre oeil et pied....

il y aurait un blocage dans le jaune si le
> contact inducteur se fait avec la "6" du haut ou
> éventuellement dans le bleu si ce contact se fait
> avec la "5" du haut, comment mesure-t'on cela ? en
> position couchée tu mets en pim puis tu demandes
> d'avaler la salive puis d'ouvrir la bouche tu
> poses le filtre jaune sur l'oeil droit et tu
> regardes si l'hypotonie GAUCHE arrive et si les
> bras restent a contrario symétriques c'est qu'il y
> a un blocage dans cette longeur d'onde et tous les
> tests précédents ont assigné le jaune à la zone
> osseuse occupée par la "6" maxillaire, autrement
> dit il y a un contact trop sonore sur cette
> dent-là en PIM, une légère correction suffira à
> restaurer la "vision" dans cette couleur et
> l'hypotonie GAUCHE mesurable aux pouces(toujours
> gauche que ce soit oeil droit ou oeil gauche /
> daltoniens réagissent exactement comme les autres)

A ben voila enfin un element de reponse aux questions que je te posais .... t'as dormi cela se voit .....

explication neuro physio .. possibles ....?

> J'ai remarqué que les problèmes parodontaux locaux
> peuvent être associés à ces contacts inducteurs
> surtout si la tendance à la bruxomanie peut
> s'observer chez le patient (facettes d'usures)

cela fait 20 ans que je le sais .......que occlusion et paro y a un rapport .......et les bruxomanes qui n'ont pas de pb paro tu en conclue quoi?


> Il y a d'autres moyen que le filtre coloré pour
> objectiver le contact inducteur néfaste mais c'est
> actuellement le plus rapide et le plus complet, et
> à ce titre n'oublier pas de commencer par le
> violet pour vérifier si ce n'est pas bloqué dans
> cette couleur, eu égard au risque de se trouver en
> face de ptérygoïdiens en hypertonie.
>
> Nous partons d'une bouche dentée, tout cela se
> complique en cas d'absences dentaires mais cela
> reste utilisable, il faut faire marcher ses
> neurones, cela étant dit l'outil que nous vous
> proposons ici est diabolique de précision.


alors faut faire des etude avec la labo de neurophysio et comparer a d'autre methodes pour voir les differences


> Pour vraiment discuter sans plus perdre de temps,
> procurez vous les lunettes et les filtres colorés,
> ou, plutôt fabriquer ces derniers, cela m'a pris
> six heures et comme je ne suis pas plus malin
> qu'un autre cela devrait pouvoir se faire chez
> vous pour demain matin.

avec quoi ?
>
> Ce n'est qu'en essayant vous-mêmes puis vous
> trouvant devant un cas pariculier que vous pourrez
> poser les questions et avancer.

Je n'en doute pas ........

merci de tes explications......il a fallu que j'asticote le coco


en fait cela ne change pas grand chose pour moi dans l'origine des pbs paro en rapport avec l'occlusion et ca depuis les travaux de lindhe mais aussi de saffar sur la physiologie de l'os ....2 très grands monsieurs....il y en a d'autres mais eux ce qu'ils disent c'est toujours clair et avec de grandes implications cliniques
par contre ce que tu dis est interessant pour corriger les troubles constatés mais il faut aller plus loin ......



> Bon dimanche.
>
> Tu as écrit:
> p.s. j'espère que tu as bien dormi .............
> car tu postes a des heures pas possible ......tu
> vas y perdre qq chose !!
> Quelles sont tes sources pour affirmer cela,
> comment mesures-tu que je suis en train de perdre
> qqch ?

tu sais moi j'ai dejà tellement perdu !!!! et ce n'est pas fini .....je suppose pour me" rassurer que je ne suis pas le seul ....

etc... les conneries habituelles quoi !

n'oublie pas de respirer dehors ..dsinon tu vas finir par faire une allergie à l'oxygene !!!.....t'as toujours tes gros toutous ????


Amibien

15/04/2007 à 21h20

phil Ecrivait:
-------------------------------------------------------

> ton patient est allongé ou debout .......en
> posture c'est vu debout ......les pieds ayant une
> influence ....et la posture c'est de la
> neurophysio appliquée ... et l'on sait qu'il y a
> un fort rapport entre oeil et pied....


Phil j'ai dit couché pas debout, réfléchis avant d'écrire, je pense que tu lis trop vite et que tu ne prends pas la peine de vérifier si tu as bien compris avant de réagir et d'écrire.




> explication neuro physio .. possibles ....?

ELles sont toutes exposées en occlusodontie et sur Térésias.







> cela fait 20 ans que je le sais .......que
> occlusion et paro y a un rapport .......et les
> bruxomanes qui n'ont pas de pb paro tu en conclues quoi?

Que certains contacts inducteurs pourraient avoir un impact sur l'immunité, sur le taux de cortisol, sur la glycémie, etc... Pour moi les bruxomanes sont à la recherche de contacts régiulateurs sains qu'ils ne trouvent pas et cette bruxomaie s'arrêtera le jour où ils la trouveront... Et un bruxomane sans paro est un bruxomane qui s'est arrêté au bon moment... montre-moi un seul vieux bruxomane sans paro




> alors faut faire des études avec la labo de
> neurophysio et comparer a d'autre methodes pour
> voir les differences





hé bin voilà, c'est pourquoi je veux m'équiper d'un appareil pour mesurer l'activité électrique au niveau musculaire, nous savons bien qu'il faille passer par là (à suivre)



>
> avec quoi ?



Tu vois Phil, ton cheminement psychologique est celui que j'ai suivi pendant 18 mois, et je me suis bougé le cul tout ce temps pour y répondre, j'ai fait confiance dans les dires d'un Isaïe qui s'est investi corps et âme dans la recherche, je n'ai pas douté un seul instant qu'il y ait un phénomène encore inconnu et essentiel qui me soit révélé, en trois secondes j'ai capté. Tu demandes avec quoi !!! hé hé hé

pour le support, une vieille paire de lunettes larges dont tu ôtes les verres et sur la monture de laquelle tu soudes trois petits clous à bout mousses ou polis, un clou central et deux clous distaux équidistants.

pour les filtres tu prends les transparents imprimables pour jet d'encre ou laser selon ton imprimante, j'utilise les GEHA 490S que j'imprime dans les teintes rouge, orange, vert, violet, bleu, jaune, turquoise, je découpe ensuite des formes hors de ces transparents qui peuvent se ficher sur deux clous des lunettes, comme si j'avais un verre plus grand que la forme de la lunette puisque le patient étant couché le plus simple est bien de déposer le filtre sur un oeil puis sur l'autre.

Une fois les formes découpées je double les filtres pour bien saturer dans la longueur d'onde, un simple transparent coloré est beaucoup trop dilué et le but est bien de saturer un oeil dans une longueur d'onde.

Ces filtres doublés, je les insère entre deux feuilles de plastique thermocollables que je soude à la thermosoudeuse, c'est un truc qui chauffe deux rouleaux qui tournent l'un contre l'autre et quand tu insére l'ensemble ça défile et ça colle tout, ça plastifie quoi !

Ensuite tu redécoupes les formes en gardant un bord plastifié transparent thermosoudé, tu fais des trous à l'emporte-pièce, trous espacés comme les clous sur la monture et puis tu n'as qu'à commencer à travailler, le filtre une fois déposé sur un oeil peut être très facilement retourné sur l'autre oeil en deux secondes et le système est stable.

Dans le commerce tu ne trouveras pas l'équivalent





> en fait cela ne change pas grand chose pour moi
> dans l'origine des pbs paro en rapport avec
> l'occlusion et ca depuis les travaux de lindhe
> mais aussi de saffar sur la physiologie de l'os
> ....2 très grands monsieurs....



Mais Phil il n'y a pas que cet impact paro de l'occlusion, ni le fait de la simple surcharge occlusale sur le problème, c'est bien plus vaste que cela et ton discours réducteur est encore une fois le propre de quelqu'un qui lit trop vite et ne réfléchit pas assez avant de réagir. C'est le danger de faire les associations libres sans prendre la peine de vérifier chaque association avant de faire la suivante.


Amibien

15/04/2007 à 21h25

Maintenant tout a été révélé, il faut mouiller votre maillot pour apprendre à nager...


phil

15/04/2007 à 22h54


> > ton patient est allongé ou debout .......en
> > posture c'est vu debout ......les pieds ayant
> une
> > influence ....et la posture c'est de la
> > neurophysio appliquée ... et l'on sait qu'il y
> a
> > un fort rapport entre oeil et pied....
>
>
> Phil j'ai dit couché pas debout, réfléchis avant
> d'écrire, je pense que tu lis trop vite et que tu
> ne prends pas la peine de vérifier si tu as bien
> compris avant de réagir et d'écrire.


ETt bien mon ami c'est reflechi ce que je dis puisque le pied en posture c'est aussi important que l'oeil et que si tu touches à l'un des capteurs tu modifies l'autres donc comme tu mets des filtres au niveau des yeux .....as-tu verifié ? dans le cas qui nous preoccupe que fais-tu ?

j'ai fait l'experience sur moi pour avoir eu des soucis de dos et c'est reflexe .....donc attention .....


> > explication neuro physio .. possibles ....?
>
> ELles sont toutes exposées en occlusodontie et sur
> Térésias.

expli simples suffisantes par rapport au sujet initial qui nous interese ici....un pb de paro ......autrement mail privé !!!




> Que certains contacts inducteurs pourraient avoir
> un impact sur l'immunité, sur le taux de cortisol,
> sur la glycémie, etc... Pour moi les bruxomanes
> sont à la recherche de contacts régiulateurs sains
> qu'ils ne trouvent pas et cette bruxomaie
> s'arrêtera le jour où ils la trouveront... Et un
> bruxomane sans paro est un bruxomane qui s'est
> arrêté au bon moment... montre-moi un seul vieux
> bruxomane sans paro

alors la je veux bien mais tu penses dans l'autre sens ......mon ami.... stress modifie le cortisol etc... de la même façon et ca c'est au niveau surenalien ....nous travaillons dans une bouche et pas ailleurs ne deduisons pas trop vite et gardons nous de conclusions hatives .......moi je ne suis pas medecin et ce qui m'effraie c'est le nombre de trucs donnes sur le plan général alors que nous ne connaissons pas grand choses . STP faut etre modeste......tu t'y connais toi sur le plan général ......dejà qu'un medecin gene il a du mal alors ........

alors tu vois pour moi et cela lindhe la demontré pas de

> > alors faut faire des études avec la labo de
> > neurophysio et comparer a d'autre methodes pour
> > voir les differences
>

> hé bin voilà, c'est pourquoi je veux m'équiper
> d'un appareil pour mesurer l'activité électrique
> au niveau musculaire, nous savons bien qu'il
> faille passer par là (à suivre)

cela existe depuis la nuit des temps dans les labo de neurophysio.....tout cela a fait l'objet de recherches
le système manducateur a fait l'objet de nombreuses etudes en france en particulier .....a verifier donc ( Lyon Rennes Brest ont travaillés pas mal la dessus )


> Tu vois Phil, ton cheminement psychologique est
> celui que j'ai suivi pendant 18 mois, et je me
> suis bougé le cul tout ce temps pour y répondre,
> j'ai fait confiance dans les dires d'un Isaïe qui
> s'est investi corps et âme dans la recherche

il est quoi cet homme et fait paraitre ces travaux ou ... on peut le lire je suppose ...........moi ce qu'on me dit ........même dieu j'y crois pas et lequel d'abord !!!

, je
> n'ai pas douté un seul instant qu'il y ait un
> phénomène encore inconnu et essentiel qui me soit
> révélé, en trois secondes j'ai capté. Tu demandes
> avec quoi !!! hé hé hé

moi je ne pose que des questions .....j'ai progresse comme ca mais pour etre efficace il faut comprendre net pas gober ......


> pour le support, une vieille paire de lunettes
> larges dont tu ôtes les verres et sur la monture
> de laquelle tu soudes trois petits clous à bout
> mousses ou polis, un clou central et deux clous
> distaux équidistants.

c'est un peu bricole donc sujet à caution !!! le centage des lunettes c'est assez important en posture il me semble donc les filtres


> pour les filtres tu prends les transparents
> imprimables pour jet d'encre ou laser selon ton
> imprimante

alors la excuses moi c'est totalement aleatoire car selon le type de machine la qualité de l'encre et le parametrage de ton imprimante cela varie .......je connais suffisamment la photo pour te l'affirmer .......LA ATTENTION JE PEUX T'EN METTRE PLEIN LA VUE . ( bon pour rire seulement )

, j'utilise les GEHA 490S que j'imprime
> dans les teintes rouge, orange, vert, violet,
> bleu, jaune, turquoise, je découpe ensuite des
> formes hors de ces transparents qui peuvent se
> ficher sur deux clous des lunettes, comme si
> j'avais un verre plus grand que la forme de la
> lunette puisque le patient étant couché le plus
> simple est bien de déposer le filtre sur un oeil
> puis sur l'autre.
>
> Une fois les formes découpées je double les
> filtres pour bien saturer dans la longueur d'onde,
> un simple transparent coloré est beaucoup trop
> dilué et le but est bien de saturer un oeil dans
> une longueur d'onde.

c'est du bricolage ton truc .........pas assez rigoureux desolé....

moi je vais fabriquer mon composite tiens demain dans ma cuisine !!!!
faut faire faire par des labos .......je ne nie pas tout ce que tu dis mais si tu veux qq chose de reproductible faut commencer par cela ......autrement c'est materiel dependant et operateur dependant donc pas scientifique !!!

ton patient tu lui explique comment tu fais tes filtres.........


> Ces filtres doublés, je les insère entre deux
> feuilles de plastique thermocollables que je soude
> à la thermosoudeuse, c'est un truc qui chauffe
> deux rouleaux qui tournent l'un contre l'autre et
> quand tu insére l'ensemble ça défile et ça colle
> tout, ça plastifie quoi !

BRICOLAGE!!!!!!!!!!..........BRRRRRRRRRRRRRR!!!!!!!!!!!!!


>
> Ensuite tu redécoupes les formes en gardant un
> bord plastifié transparent thermosoudé, tu fais
> des trous à l'emporte-pièce, trous espacés comme
> les clous sur la monture et puis tu n'as qu'à
> commencer à travailler, le filtre une fois déposé
> sur un oeil peut être très facilement retourné sur
> l'autre oeil en deux secondes et le système est
> stable.
>
> Dans le commerce tu ne trouveras pas l'équivalent

> > en fait cela ne change pas grand chose pour moi
> > dans l'origine des pbs paro en rapport avec
> > l'occlusion et ca depuis les travaux de lindhe
> > mais aussi de saffar sur la physiologie de l'os
> > ....2 très grands monsieurs....
>
>
>
> Mais Phil il n'y a pas que cet impact paro de
> l'occlusion, ni le fait de la simple surcharge
> occlusale sur le problème, c'est bien plus vaste
> que cela et ton discours réducteur est encore une
> fois le propre de quelqu'un qui lit trop vite et
> ne réfléchit pas assez avant de réagir. C'est le
> danger de faire les associations libres sans
> prendre la peine de vérifier chaque association
> avant de faire la suivante.
>


ALORS SI JE DIS DES BETISES TU PROPOSES TOUT CELA A UN NEUROPHYSIO ET TU TRAVAILLES AVEC DES MEDECINS CAR L'OCCLUSION DEPEND DE LA POSTURE DONC D'UN ASPECT GLOBAL . L'OEIL EST CAPTEUR COMME LES DENTS MAIS SI TU MODIFIES TON OEIL EN POSITION ALLONGEE AVEC DES CAPTEURS OCCULAIRES BRICOLES SANS TE SOUCIER DE CE QUI SE PASSE AILLEURS APPAREMMENT .......j'ai des doutes desolé.......les conséquences pour le patient c'est pas maintenant c'est plus tard ......

Je suis prudent ....j'ai besoin de comprendre et au niveau neurophysio....moi je fais de la paro .......je suis desole mais je connais un peu l'immunite et la microbio ......je travaille pas qu'avec mes mains .........autrement on reste myope et un myope de temps à autre il se prend une pelle .......dejà qu'avec de vrais yeux ............

ceci dit le pauvre tourteau qui posait sa question .......ca doit le chauffer ........alors on peut continuer en mail privé si cela te chante ...........

moi je n'interviens plus ........


Amibien

16/04/2007 à 01h20

Phil, tu n'as pas dépassé le niveau de ceux qui se sont déjà permis de dénigrer nos travaux avant d'avoir même essayé de comprendre ce qui se passe...

Apparemment cela n'est pas quelque chose pour toi, toutes tes critiques ont déjà été formulées par d'autres et les réponses ont été données, tous tes conseils d'en parler à des gens spécialisés etc... ont été suivis avant que tu ne les donnes.

Pour ce qui est du bricolage, tu t'avances largement puisque tu n'as encore jamais essayé les filtres dont je parle, et si tu voulais le faire il faudrait bien que tu les bricolasses aussi mon gars car ils n'existent point dans le commerce, du moins d'après ce que je sais.

Je pense avoir perdu mon temps en ce qui te concerne, au vu de l'esprit provocateur, peu scientifique et surtout peu amical dont tu as fait preuve avec moi, j'espère que d'autres liront mon post et s'essayeront à la technique.




phil

16/04/2007 à 01h41

et bien continues à bricoler tes filtres que veux-tu que je te dises ......

je ne dénigre pas ton truc ......cela marche peut être ....mais c'est pas scientifique et peu rigoureux ......dans le temps quand on avancait des hypothèses de ce type on faisait et on prenait l'aval de scientifiques avant d'en parler ....

si tu veux etre credible il faut etre rigoureux ....c'est dans ce sens que je critique .....mais en aucun cas je n'ai voulu t'agresser ...juste pousser le bouchon ......

ceci dit tu as raison il y a d'autres horizons dans la vie que les seules dents......souvent bien plus riches ......

salut vieille branche !!!


Amibien

16/04/2007 à 06h28

phil Ecrivait:
-------------------------------------------------------
dans le temps quand on avancait
> des hypothèses de ce type on faisait et on
> prenait l'aval de scientifiques avant d'en parler


Et pourquoi penses-tu que cela n'est point le cas ? Décidément tu me déçois de plus en plus...




phil

16/04/2007 à 10h16

Amibien Ecrivait:
-------------------------------------------------------
> phil Ecrivait:
> --------------------------------------------------
> -----
> dans le temps quand on avancait
> > des hypothèses de ce type on faisait et on
> > prenait l'aval de scientifiques avant d'en
> parler
>
>
> Et pourquoi penses-tu que cela n'est point le cas
> ? Décidément tu me déçois de plus en plus...
>
mais j'espère que tu as l'aval de scientifiques !!!!!!! et qui ont un aval suffisant eux mêmes ......seulement n'en parle pas trop avant .........tant que c'est pas verifie et publié et cela l'est alors donne moi les references en MP .....c'est pas pour critiquer mais pour comprendre la suite logique à tête reposée car sur le net a travers des debats ou un intranet pour moi c'est pas clair ou je vais y passer des nuits ......
tes filtres bricoles .....tu fais quoi si t'as un pepin avec un patient et sans que cela soit en rapport forcemment bien sur ........je veux pas te faire peur mais si tu dois te justifier et si il n'y a pas de references derrière !!!!!!

les filtres pourquoi dejà tu ne vois pas avec les magasins spe dans la photographie et d'art graphique .......il y a des tas de gammes et tout cela c'est controle et mieux que des trucs imprimés !......si tu veux je te donnes des adresses......as-tu essayé ? mais faut que tout corresponde

tu vois l'amibe je t'aime bien tu es un gars genereux et passionné mais t'emballes pas trop vite ...

il y a des pièges et des gens bien plus mechants que moi........



200106 10150128247663588 709988587 6466236 5598391 n d7mksb - Eugenol
hallboy

16/04/2007 à 12h07

Effectivement, Phil a une bonne idée de faire referencer les teintes, pour qu'il soit possible d'aller demander un jaune ou un rouge bien specifique et que tous ceux qui sont interessés puisse vraiment utiliser exactement les meme couleurs. Ce serait une variable d'eliminée.



phil

16/04/2007 à 15h05

quel est votre cahier des charges .....?


Amibien

16/04/2007 à 18h55

Quand tu penses que la dernière réunion de consensus en implanto n'a trouvé qu'une petite vingtaine d'études vraiment scientifiques sur le millier des études compulsées, il y a vraiment de quoi se poser la question de savoir ce que signifie SCIENTIFIQUE pour Phil...

En ce qui concerne les filtres colorés, j'ai essayé une soixantaine de longueurs d'ondes et j'ai choisi les sept les plus logiques, un rouge bien rouge, un jaune bien jaune, un bleu bien bleu, j'ai mixé 50/50 le rouge et le jaune pour l'orange, 50/50 le rouge et le bleu pour le violet, 50/50 le bleu et le jaune pour le vert, 75/25 le bleu et le jaune pour le turquoise.

J'ai validé le choix chez un patient qui entrait en hypo G sur toutes les couleurs, qui est totalement denté et qui a contact sur toutes les dents et qui est symérique aux pouces en pim et qui ne bruxe pas, j'ai collé une goutte de compo fluide sur chaque dent au niveau de chacun des contacts et réussi à bloquer le patient dans chacune des couleurs correspondant bien à la dent munie du contact inducteur.

La paire de lunettes a été vérifiée par un opticien, les clous ont été soudés par l'opticien et le filtre posé sur la lunette dépasse la monture sur chaque oeil.

Le patient est testé bouche ouverte sans lunettes, en pim sans lunettes puis bouche ouverte avec lunettes nues, puis en pim avec lunettes nues, on note ce qui se passe aux pouces.

Dans le cas d'une symétrie BO suivie d'une hypotonie droite ou gauche en PIM, je commence par le violet en PIM sur un oeil puis sur l'autre, je mesure ce qui se passe aux pouces, si symétrie aux pouces dans le violet ça commence mal...

(à suivre, un patient)


alhoun

16/04/2007 à 19h02

mais tu soignes des dents ou des pouces??
j'adore ce fil.....


S8ysxdzhdqgw00w4q6m07a5d47q2 - Eugenol
gai-luron

16/04/2007 à 19h33

pouce, les mecs...


phil

16/04/2007 à 20h09

le pauvre amibien il est ......parasité ......il a un phil à la patte qui lui en fait voir de toutes les couleurs .......

je t'envoie demain un gros philtre d'amour pour nous reconcilier

n'oublie pas de dormir un peu plus ........quand même ......faudrait pas peter une cuspide !!!!

allez mon ami ......excuses moi j'ai poussé la mecanique un peu loin et ca chauffe !!!!!!

t'affoles pas ......pour moi tu reste un ami .....bien




Amibien

17/04/2007 à 01h41

hé les gars, cessez de vous moquer et essayez donc les quelques filtres que vous trouverez chez vous, pourvu qu'ils soient colorés, allez-y... cela va vous intriguer sans aucun doute...


024 vownvo - Eugenol
annie

17/04/2007 à 01h51

Amibien Ecrivait:
-------------------------------------------------------
> hé les gars, cessez de vous moquer et essayez donc
> les quelques filtres que vous trouverez chez vous,
> pourvu qu'ils soient colorés, allez-y... cela va
> vous intriguer sans aucun doute...


c'est peut-être eux qui te provoquent tes cauchemars !(perte d'implants),période de veille trop colorée,nuit blanche...
en tout il faut une moyenne et un équilibre des forces.


12