Cookie Consent byPrivacyPolicies.comOn y touche ou pas ?? - Eugenol

On y touche ou pas ??

fredouille59

26/04/2007 à 21h04

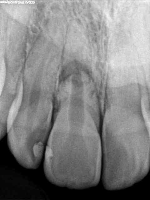
Voici un cliché pris aujourd'hui sur une patiente de 27 ans qui a fracturé la racine de 11 suite à une chute à l'âge de 11 ans.
La dent n'est ni douloureuse, ni mobile, gencive saine mais la teinte de la 11 a virée au gris, ce qui ne gêne pas la patiente qui y est habituée.
Je l'avais vue il y a 1 an et pas de changement depuis.
J'aimerais savoir si vous interviendriez sur une dent pareille ou non au risque de faire pire que la situation actuelle ...
Personnellement j'ai choisi de revoir tous les 6 mois ou avant si la patiente ressent le moindre problème.
J'ai expliqué que le jour où on aurait un souci sur cette dent, elle était perdue.

Merci d'avance.

R1 f9usrv - Eugenol

S8ysxdzhdqgw00w4q6m07a5d47q2 - Eugenol
gai-luron

26/04/2007 à 21h15

ton associé, il sait pas?


024 vownvo - Eugenol
annie

26/04/2007 à 21h21

bizarre cette radio,allant à contre sens de beaucoup de théories
personnellement,sauf envisager l'extraction,je n'y toucherai pas,que veux tu faire?
blanchiment,facette?


fredouille59

26/04/2007 à 21h52

gai-luron Ecrivait:
-------------------------------------------------------
> ton associé, il sait pas?


il est en vacances .... alors moi aussi


Tilc

27/04/2007 à 00h33

bein si la dent est toujours la on ne touche pas , c est la regle


200106 10150128247663588 709988587 6466236 5598391 n d7mksb - Eugenol
hallboy

27/04/2007 à 00h53

+ 1


Joe_la_turbine

27/04/2007 à 01h16

De toute façon soit tu extrais, et tu envisages une solution de remplacement, soit tu touches pas et tu envisageras une solution de remplacement quand il y aura un probleme.

Pour moi tant que ca bouge pas tu laisses comme ca et tu envisageras qq chose le jour ou ca se compliquera.

Cordialement, Joe_la_turbine!


faouz

27/04/2007 à 01h52

Je te dirais d'emblée de ne pas y toucher. Ca fait 16 ans que c'est comme ça si j'ai bien compris. Et pas de parodontite apicale, ni de symptomatologie.
Abstention thérapeutique avec surveillance (1/an).

La fracture semble être oblique, en bois vert. Un cal a pu se former.
As tu testé la vitalité? Je serai curieuse de la connaitre...Sachant que la rétraction pulpaire peut entrainer un faux négatif...


024 vownvo - Eugenol
annie

27/04/2007 à 03h10

on a dit de pas la toucher Faouz,un test pulpaire peut tout remettre en question-))


200106 10150128247663588 709988587 6466236 5598391 n d7mksb - Eugenol
hallboy

27/04/2007 à 03h49

A moi, elle me dit même plus bonjour quand elle me croise!


catrose

27/04/2007 à 10h37


1-obliteration pulpaire du fragment apical=cicatrisation
2-apparement interposition de tissu conjonctif au trait de fracture=pas de risque de resorption
3-dyschromie silencieuse
4-aucune demande esthetique
1+2+3+4=zero intervention

a suivre annuellemnt ou si apparition de mobilite,douleur,fistule


ariel

27/04/2007 à 12h07

pour alouette plus loin :

http://minilien.com/?1g75WdGHUR


fredouille59

27/04/2007 à 13h29

Je constate donc que dans ce cas nous sommes d'accord pour le "Wait and see".
En ce qui concerne le test de vitalité, la dent ne répondait pas au froid.
Merci pour vos réponses.


Utilisateur banni

27/04/2007 à 15h14

Tu as bien fait de demander sur eugenol en mon absence petit scarabé, j'espére que t'as pas encore foutu le feu au cab... Tu donneras un p'tit coup de pompe à qui tu sais pour la réveiller...


catrose

27/04/2007 à 16h40

ariel Ecrivait:
-------------------------------------------------------

>
> http://minilien.com/?1g75WdGHUR



si tu commences comme ca...


http://www.unitheque.com/medecine/Traitements_des_traumatismes_dentaires-3040.html?&rubrique=ABDB




faouz

27/04/2007 à 23h43

hallboy Ecrivait:
-------------------------------------------------------
> A moi, elle me dit même plus bonjour quand elle me
> croise!

Qui?? la dent ou moi??..

Bonjour Dédalboy



200106 10150128247663588 709988587 6466236 5598391 n d7mksb - Eugenol
hallboy

28/04/2007 à 02h05

Je l'aurais!! Un jour, je l'aurais !!!

D'abord, ça s'ecrit Dédhallboy!!


Img 1392 s73srk - Eugenol
Guttaman

06/05/2007 à 13h26

faouz Ecrivait:
-------------------------------------------------------
>
> As tu testé la vitalité? Je serai curieuse de la
> connaitre...Sachant que la rétraction pulpaire
> peut entrainer un faux négatif...

Où vois-tu une rétraction pulpaire ?...
Par contre, je ne suis pas d'accord avec l'extraction systématique en cas de complication (infection) : si la dent n'est pas mobile à l'heure actuelle, ce n'est pas grâce au fragment apical. Si infection : chirurgie pour retrait du fragment apical + désinfection du fragment coronaire avec bouchon de MTA...et extraction du fragment coronaire seulement si échec.