Tous les forums
dyschromie
05/05/2007 à 12h28
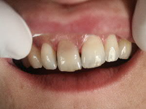
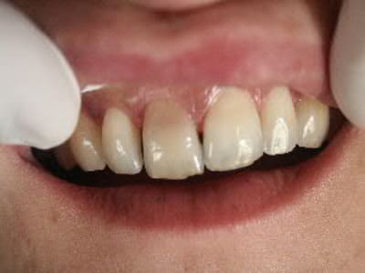
Quelles sont les chances de succès d'un blanchiment interne sur cette coloration due à un choc (pas de réaction aux stimuli thermiques,asymptomatique,disparition totale de la chambre et du canal)
05/05/2007 à 14h31
perso, je ne sais pas si je m'y lancerais...
déjà, trouver où mettre le perborate...
être sûr que ç ava marcher?
06/05/2007 à 02h27
facettes 11 et 21...
pas de chbre et de canal visible:où mets tu ton perborate? ds un logement que tu fais arbitrairement?
ces dents ont déjà un % de fractures important sans les fragiliser,je crois
06/05/2007 à 11h00
Je peux poser une question idiote et risquer de subir encore des foudres? Mais tant pis j'aime bien avoir les réponses: n'y a t'il pas un trait de fracture niveau collet entre les deux "v" sombres dans les espaces interdentaires, en biais? sur la 11.
06/05/2007 à 11h07
... non; et si c'était le cas, avec une fracture à ce niveau, elle serait mobile +++
06/05/2007 à 12h22
caty Ecrivait:
-------------------------------------------------------
> Je peux poser une question idiote
... ce qui est idiot, c'est de ne pas oser poser de questions :)
06/05/2007 à 12h30
blanchiment externe au fauteuil(bluecool ou autre) ou ambulatoire a concentration elevee
je l'ai fait une fois avec un resultat moyen mais qui a satisfait le patient
cela te permet de repousser encore l'etape facettes plus mutilante
06/05/2007 à 13h01
je déconseille absolument le blanchiment dans un cas pareil
d'abord en externe car l'intensité de l'imprégnation colorée par voie interne me paraît condamner à l'échec
ni en interne, en raison de l'association de rétraction pulpaire au niveau caméral qui rendra difficile et imparfaite la préparation cavitaire, voire le traitement canalaire
enfin parce que l'apparente résorption interne au niveau radiculaire, tout comme ce qui devrait rester de la couronne après suppression du dentinome géant qui a du envahir la chambre encore très large au jour du trauma, nous donnera une dent très grandement fragilisée.
Alors?
Sans aller jusqu'à la solution la plus expeditive (extraction MCI), je tenterais un truc:
Obturation à rétro parfaitement étanche et facette céramique.
Sinon ,plus conventionnellement, mais avec les risques précédemment indiqués:
- obturation canalaire
- renfort radiculaire par tenon fibré noyé dans un composite de reconstitution au module d'élasticité le plus proche de celui du peu de tissu dentaire qui devrait subsister
- coiffe céramo-céramique, voire Zircone
bien qu'ici comme dans la facette devrait persister un léger défaut de teinte du bord gingival...
Pfff! pas évident tout ça!
06/05/2007 à 13h23
mark Ecrivait:
-------------------------------------------------------
> je déconseille absolument le blanchiment dans un
> cas pareil
>
> d'abord en externe car l'intensité de
> l'imprégnation colorée par voie interne me PARAIT
> condamner à l'échec
... mais ça vaut la peine d'essayer (expérience perso satisfaisante) avant de sortir l'artillerie lourde et mutilante.
Il faudrait aussi savoir où se situe la ligne du sourire.
06/05/2007 à 17h31
JeRis Ecrivait:
>
> ... ce qui est idiot, c'est de ne pas oser poser
> de questions :)
>
>
ouah ça c'est super sympa!!
06/05/2007 à 18h09
J'ai aussi un cas comme ça, après ortho, fille d'une vingtaine d'année, chambre et canal totalement invisibles, dent légèrement plus jaune pour le moment.
J'ai lu il y a qq temps un cas dans ce genre où le blanchiment externe était préconisé avant de sortir la grosse artillerie.
06/05/2007 à 18h48
mark Ecrivait:
-------------------------------------------------------
> je déconseille absolument le blanchiment dans un
> cas pareil
> d'abord en externe car l'intensité de
> l'imprégnation colorée par voie interne me paraît
> condamner à l'échec
> ni en interne, en raison de l'association de
> rétraction pulpaire au niveau caméral qui rendra
> difficile et imparfaite la préparation cavitaire,
> voire le traitement canalaire
mark,j'ai rien compris,tu peux reargumenter stp?
> enfin parce que l'apparente résorption interne au niveau radiculaire, tout comme ce qui devrait
> rester de la couronne après suppression du
> dentinome géant
ce n'est pas un dentinome,et il ne faut rien supprimer
c'est une obliteration canalaire suite a un trauma(subluxation,intrusion...),la lumiere canalaire s'est remplie d'osteodentine
>
> Alors?
alors on peut essayer le blanchiment externe,l'interne est risque(apparemment plus de canal) voir impossible
06/05/2007 à 21h45
bon, pardon , je n'ai pas du m'exprimer intelligiblement:
en interne, c'est la merde, mieux vaut éviter d'y aller par voie coronaire
en externe, ce sera insuffisant, vu que la coloration est interne
la lésion apicale, on s'assoit dessus?
donc, oublions l'obturation à rétro
reste la facette
07/05/2007 à 16h28
Merci de vos differents avis , 2 questions encore :
-pour les habitués des facettes : une facette permettra t'elle de faire disparaitre totalement la coloration et de rendre les caractérisations marquées de la dent adjacente,faut il tailler plus profondement que pour une facette classique,quelle type de céramique utiliser
-quelle incidence peut avoir un blanchiment sur le collage
08/05/2007 à 00h39
Si tu utilises de la céramique Dicor tu peux masquer les colorations, esthétiquement ça vaut pas l'empress.
Quant au blanchiment il est conseillé d'attendre 4 semaines je crois avant un quelconque collage.
10/05/2007 à 14h11
caty Ecrivait:
-------------------------------------------------------
> Je peux poser une question idiote et risquer de
> subir encore des foudres? Mais tant pis j'aime
> bien avoir les réponses: n'y a t'il pas un trait
> de fracture niveau collet entre les deux "v"
> sombres dans les espaces interdentaires, en biais?
> sur la 11.
C'est pas une fracture mais l'image du nez!
Regarde sur la controlaterale y'a la meme image
10/05/2007 à 20h49
oui effectivement , bah elle a un gros nez!!
12/05/2007 à 14h28
Pour mark, perso, une lésion apicale invisible, je m'assois dessus.
12/05/2007 à 19h42
ben Ecrivait:
-------------------------------------------------------
> Pour mark, perso, une lésion apicale invisible, je
> m'assois dessus.
ben moi, avant de m'assoir, je regarde
12/05/2007 à 21h15
Si je maitrisais mon ordi j'en dessinerais d'autres à coté.
12/05/2007 à 21h49
:)
[Alt]-[Impr écran]
Menu Démarrer
Programmes
Accessoires
Paint
[Ctr]-V
Loupe
Crayon
Palette
dessine-moi un pêchon, mon Prince!