Cookie Consent byPrivacyPolicies.comgreffe conjonctive et en dessous ? - Eugenol

greffe conjonctive et en dessous ?

phil

05/05/2007 à 18h22

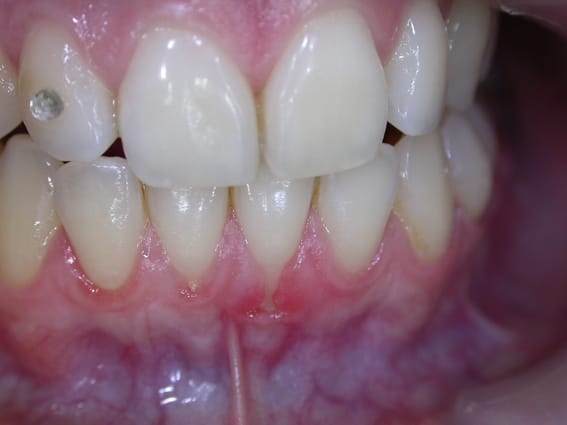
comme evoqué avec l'amibe....voila ce cas d'une jeune patiente sur qui j'ai fais une greffe conjonctive il y a 1 an et qui vient en contrôle .....le contrôle de plaque n'est parfait mais j'ai fait ouvrir et pris la photo comme ca .....
ce qui me pose question c'est que ce qui recouvre les racines en vestibulaire est dur .....y a t il de l'os et si oui quel type d'attache en dessous .....ankylose , os + EJL, os + attachement conjonctif ou Neoattache ?.....en tout cas l'amibe il n'y a pas de poche vestibulaire !!

je n'ai pas trouvé de doc sur ce type de constatations et c'est pas la première fois que je vois ce genre de resultat

C dscn2747 vhi0wr - Eugenol
C dscn2993 b002ow - Eugenol
Dscn3688 shunsy - Eugenol

Amibien

05/05/2007 à 20h31

Mais c'est n'importe quoi ton truc, j'en ai plein à mon actif des histoires du genre...

C'est bien réalisé j'en conviens, ta patiente est bien tombée, tu as greffé un conjonctif, c'est bien, ça marche toujours ces chipoteries, je ne me rappelle pas d'un cas qui ait foiré.

Maintenant de soutenir que de l'os nouveau serait remonté là en dessous, tu fais fort mon gars, les conditions ne sont pas remplies et de continuer à soutenir l'hypothèse relèverait de la fantaisie.

Par contre, une question me turlupine, as-tu , oui ou non, à un moment donné, "corrigé l'occlusion sur la 31 ? Réponds honnêtement, et si tu es incapable de répondre par oui ou par non, je vais vraiment me poser des questions à ton sujet.


phil

05/05/2007 à 21h03

je me tais .........


Amibien

05/05/2007 à 23h36

Tu dois répondre si tu as corrigé l'occlusion, c'est important...

D'autre part si tu veux savoir ce qu'il y a en-dessous il suffit d'ouvrir !


phil

06/05/2007 à 00h31

non l'amibe je n'ai pas corrigé l'occlusion ......sans doute une erreur .....je veux bien le croire ......j'en fais encore beaucoup tu sais !
mais cette patiente ne m'a été adressée que pour la greffe .....

va falloir que je me deplace je sens ca !!!...... je ne doute pas de vos compétences ......je dois avoir du mal à suivre c'est tout ! je m'en excuse ......votre truc à l'air assez gros alors tu comprends ......

Pour le conjonctif .....tu as raison il faudrait réouvrir mais ma patiente elle est pas d'accord et je la comprend et il faudrait une coupe histo pour savoir vraiment ce qui se passe sur la racine
Ce que tu disais a propos de l'impossibilité d'avoir de l'os .....c'est bien mon problème .....je ne comprends pas !!!et il m'est arrivé d'avoir des exostoses quasiment .....c'est pas beau et genant.....
peut être la aussi une erreur de ma part ......

je voulais juste savoir si quelqu'un avait une idée et pourquoi cela pouvait se faire


Amibien

06/05/2007 à 01h17

Tu pourrais avoir une régénération osseuse si tu as un périoste, un support stérile, un caillot et une fermeture hérmétique...

La tentation est forte d'ouvrir pour voir, surtout dans les ROG autour des implants dont plusieurs spires étaient dénudées à la pose, on n'ouvre pas au risque d'altérer le nouvel os, alors on imagine et on se contente de cela...

Le sentiment que tu as devant ton travail pour lequel tu ne peux fournir une preuve "scientifique", cela me rappelle quelque chose, si cela me revient je te le ferai savoir.


phil

06/05/2007 à 01h33

Amibien Ecrivait:
-------------------------------------------------------
> Tu pourrais avoir une régénération osseuse si tu
> as un périoste, un support stérile, un caillot et
> une fermeture hérmétique...
>

oui c'est tentant comme expli..... le perioste

> La tentation est forte d'ouvrir pour voir, surtout
> dans les ROG autour des implants dont plusieurs
> spires étaient dénudées à la pose, on n'ouvre pas
> au risque d'altérer le nouvel os, alors on imagine
> et on se contente de cela...


> Le sentiment que tu as devant ton travail pour
> lequel tu ne peux fournir une preuve
> "scientifique", cela me rappelle quelque chose, si
> cela me revient je te le ferai savoir.

va donc et coquin !! fripouille canaille vieux chien !

...... c'est aussi pour cela que j'ai mis ce cas.....les hypothèses ne sont pas toujours vérifiables.....bien sûr !

fallait quand même que je modère mon ardeur !!!!!!


31ulysse

09/05/2007 à 01h18

Bonjour Phil!
Je reviens sur ce site que je n'avais pas consulté depuis longtemps. Je vois que les dialogues sont toujours aussi courtois. Il existe une grosse biblio sur ce sujet. si cela t'intéresse, je n'ai pas changé de mail je pourrais te passer des titres d'article.
A priori, tu n'obtiens que de l'attache conjonctive même avec des technique de chirurgie muco-gingivale assocées avec de l'emdogain. J'ai vu Une conférence Ou la conférencière expliquer qu'elle utilisait une membrane résorbabl plutôt qu'un greffon et cela marche (pareil si tu veux le nom de cette conférencière tu m'écris).


phil

09/05/2007 à 01h55

salut l'ami

Oui j'ai lu pas mal de trucs sur ces techniques ......mais ce qui m'étonne c'est ce tissu dur en vestibulaire .......a un endroit ou logiquement devrait pas y en avoir ....

....ce cas n'as qu'un an de recul mais peut être que dans 1 an il y aura un tissu bp plus epais ( une voussure ).....j'ai au moins un cas en tête ou il y avait une veritable exostose après obligeant à retoucher......( je n'ai maleureusement pas documenté le cas )

selon toi donc même si tissu osseux il y a en dessous soit une EJL soit un attachement conjonctif sans forcemment du cement ....il s'agirait donc plus effectivemment d'une origine periostée que desmodontale.....

le pourquoi du comment si tu as des trucs sur ce type de cicatrisation osseuse atypique oui cela m'interesse.......

merci ....

Ps t'inquiète avec l'amibe on se chamaille mais c'est juste pour l'agacer un peu ! ......


Amibien

09/05/2007 à 13h27

oui et Isaïe vient de sortir d'une réunion avec des scientifiques de haut vol qui ont trouvé ses filtres colorés géniaux... comme quoi il ne faut pas désespérer... si tu viens à Capbreton tu en sauras plus... tic tac toc petit biniou


phil

09/05/2007 à 15h21

Amibien Ecrivait:
-------------------------------------------------------
> oui et Isaïe vient de sortir d'une réunion avec
> des scientifiques de haut vol qui ont trouvé ses
> filtres colorés géniaux... comme quoi il ne faut
> pas désespérer... si tu viens à Capbreton tu en
> sauras plus... tic tac toc petit biniou

Des filtres quoi ? ceux faits à l'imprimante ? .....
les scientifiques ne sont plus ce qu'ils étaient !!


au fait j'suis pas ......breton........... je suis du lichenstein du sud ouest !

zavez prévu le yacht a capbreton ?

va donc et sale belge !!!!



Amibien

09/05/2007 à 17h31

Petit biniou fâché, petit biniou en train de morfler grave dans son orgueil, heil heil heil, le petit crabe marche de travers devant plus fort que lui hi hi hi, vas donc te jeter une verre de cidre dans le gosier pour rincer la morve horv horv horv ...


phil

09/05/2007 à 18h33

Amibien Ecrivait:
-------------------------------------------------------
> Petit biniou fâché, petit biniou en train de
> morfler grave dans son orgueil, heil heil heil, le
> petit crabe marche de travers devant plus fort que
> lui hi hi hi, vas donc te jeter une verre de cidre
> dans le gosier pour rincer la morve horv horv horv
> ...


pfffffft même pas vrai .......

d'abord c'est qui ces grands scientifiques !......facile facile mais pas de preuves moi !!!!!!

tu les invites pas sur tes grands yachts au moins a capbreton ......c'est parfois mal compris !.....gaffe sors les planches de surf et reste discret entre les vagues !!!

et pis ici on parle greffe conjonctive pas de trucs isaitériques !!!!

alors du vent........


Squash u44zd8 - Eugenol
steph

09/05/2007 à 20h49

Je crois qu'il y a une communication là-dessus au congrès SFPIO à la Baule début juin.
Tu pourras peut-être récupérer des infos.


phil

09/05/2007 à 21h17

merci steph .....pour une fois que je n'y vais pas ben voila .....vais regarder.....


Modérateur

10/05/2007 à 15h19

Bonjour l'Amibe,
Phil est un super praticien et il fait preuve d'humilité un peu trop à mon sens mais c'est sa modestie, je te connais aussi , alors n'enfonce pas le clou...
Bien à vous 2


phil

10/05/2007 à 16h12

Modérateur Ecrivait:
-------------------------------------------------------
> Bonjour l'Amibe,
> Phil est un super praticien et il fait preuve
> d'humilité un peu trop à mon sens mais c'est sa
> modestie, je te connais aussi , alors n'enfonce
> pas le clou...
> Bien à vous 2
>


oui mais moi j'aime me faire crucifier !!!!!!!!! est-ce de la modestie .........parlons en à DIEU !! .......n'est ce pas l'amibe !



tourteau

10/05/2007 à 18h07

Pour en revenir aux greffes,quand vous avez une recession avec une mylolyse importante comment gerez vous cette mylolyse : on laisse ,on recouvre mais avec quoi ? avant de greffer


Amibien

10/05/2007 à 18h29

du zircone


phil

10/05/2007 à 19h37

tourteau Ecrivait:
-------------------------------------------------------
> Pour en revenir aux greffes,quand vous avez une
> recession avec une mylolyse importante comment
> gerez vous cette mylolyse : on laisse ,on recouvre
> mais avec quoi ? avant de greffer


moi je mets un greffon plus epais + retouche de la dent si nécessaire à la fraise .....la dent c'est que qu'il y a de mieux pour faire prendre un tissu .....il me semble


Amibien

10/05/2007 à 23h53

Le modérateur n'a rien à faire dans nos amours tumultueuses et puis je crucifie qui je veux sur ce forum...


phil

11/05/2007 à 00h08

Amibien Ecrivait:
-------------------------------------------------------
> Le modérateur n'a rien à faire dans nos amours
> tumultueuses et puis je crucifie qui je veux sur
> ce forum...

serait -il jaloux ?


Amibien

11/05/2007 à 03h48

Ils sont plusieurs, il faut se méfier, soyons sur nos gardes !