Cookie Consent byPrivacyPolicies.compour steph et tourteau - Eugenol

pour steph et tourteau

phil

12/05/2007 à 00h57

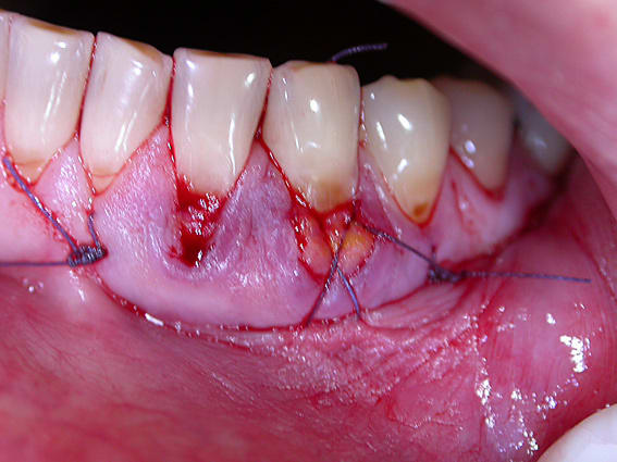
réalisée aujourd hui une greffe conjonctive technique du tunnel pour recouvrir des mylolyses chez une patiente ex anorexique.

surement des critiques et des suggestions à faire sur mon intervention mais j'aime beaucoup cette technique car peu de décollement peu de sutures
et placage naturel important de la greffe par la muqueuse en place
j'ai un peu fraisé les racines

resultats dans 15 jours pour les fils et ensuite

Dscn3556 kpnehe - Eugenol
Dscn3697 tgoegm - Eugenol

Squash u44zd8 - Eugenol
steph

12/05/2007 à 10h12

T'as fait un volet latéral en distal et mésial pour faire passer ton greffon?


tourteau

12/05/2007 à 10h46

Penses tu faire un lambeau tracté coronairement dans un deuxieme temps vu l'importance de la recession sur 33?
Interet de l'endogain ?


phil

12/05/2007 à 11h02

pas du tout.....
en fait je glisse tout doucement la lame par en dessous et fait une dissection progressive ....il faut prendre son temps jusqu'a rejoindre par en dessous les differentes zônes devant recevoir le greffon .
ensuite tu passe ton fil de suture dans ce cas en mesial de 32 de l'exterieur vers l'interieur . Ce fil ressort a l'endroit ou se trouve la recession dans ce cas au niveau de la 33 et pas de la 32 ( qui a recu aussi le greffon ) . avec ce fil fait un matelassier dans le greffon en passant par en dessous pour sortir par dessus puis par dessus en allant en dessous . une fois ce matelassier fait tu repasses ton aiguille sous le les papilles décollées pour le faire sortir sur la recession de la 32 .tu tractes alors avec le fil le greffon qui passe sous la papille entre 33 et 32 ..pour faciliter le passage il faut s'aider d'une toute petite spatule à bouche qui ecarte la papille doucement en poussant le greffon...une fois le greffon passé sous la première papille tu continue à faire passer ton fil cette fois ci sous la papille 32 31 pour faire sortir le fil a coté du premier pont d'entrée tu tractes a nouveau ton greffon sous cette papille pour finir de le caler et tu fais ton noeud .....même opération ensuite au niveau 33 34 point exterieur qui rentre a distance pour sortir au niveau de la papille 33 . Nouveau matelasier pour prendre le greffon et le tracter ainsi sous la papille 33 34 et noeud matelasier entre 34 et 33

le greffon est ainsi passé ..on arrive à faire passer de gros morceaux par dessous comme ca !


phil

12/05/2007 à 11h04

tourteau Ecrivait:
-------------------------------------------------------
> Penses tu faire un lambeau tracté coronairement
> dans un deuxieme temps vu l'importance de la
> recession sur 33?
> Interet de l'endogain ?



non je ne crois pas que je ferai de lambeau tracté secondairement .....le greffon conjonctif etait au niveau du collet .....j'ai tout recouvert car la dissection par en dessous permet une traction coronaire

emdogain pas dans ce cas


Amibien

12/05/2007 à 19h50

Quand tu arrêteras la dentisterie, tu pourras toujours aller fourrer les crêpes sur la plage...


Amibien

12/05/2007 à 19h51

Oups, j'ai encore enfoncé le clou !


phil

13/05/2007 à 21h46

Amibien Ecrivait:
-------------------------------------------------------
> Quand tu arrêteras la dentisterie, tu pourras
> toujours aller fourrer les crêpes sur la plage...


ca dépend a qui ......et ou .........d'abord ......!!!!


Amibien

14/05/2007 à 00h06

Non je parlais de fourrer les crèpes avec ton scalpel et des coquilles St Jacques par exemple... tu es toujours aussi mal tourné ?


phil

14/05/2007 à 01h42


> tu es toujours aussi mal tourné ?

Tu me parles de crêpes .....
une crêpe cela se retourne.......pffft......connait rien ce belge du sud ! se détourne même lorsque l'on est gourmand.......

j'aime aussi les collets décolletés ......pas de ma faute ......je les corrige rassures toi qu'au scalpel !!!

les décolletés décollés par contre c'est autre chose !!!!!! je n'y vois que des seins mais sans les Jacques !!!!