Cookie Consent byPrivacyPolicies.comça tourne mal - Eugenol

ça tourne mal

vernal

30/05/2007 à 17h27

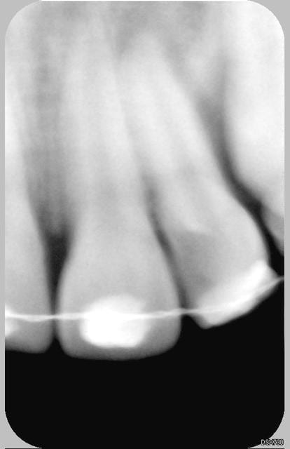
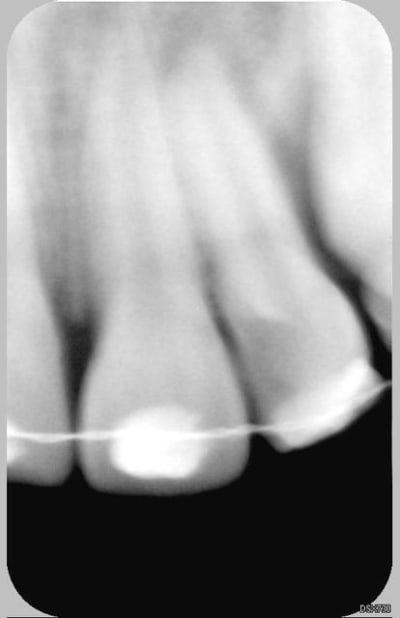
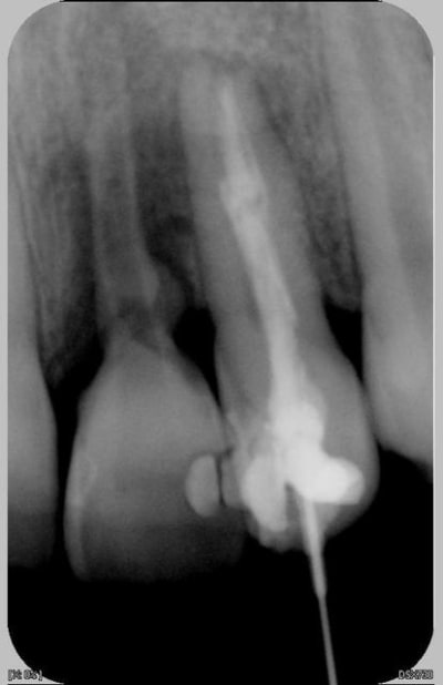
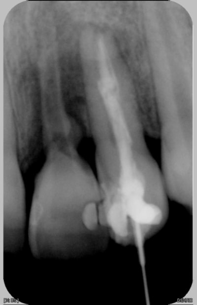
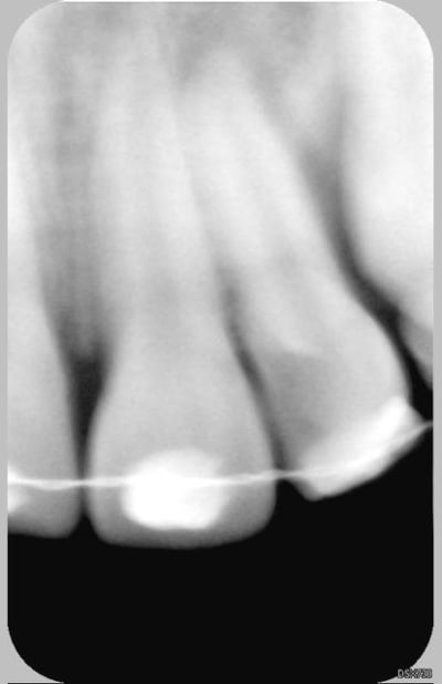
Patiente de 11 ans ayant la 21 expulsée début avril 2006. La dent a été repositionnée en centre de soins. Dans un premier temps, pas de perte de sensibilité. Puis dans un deuxième temps, comme un goût de ça tourne mal avec certainement rhyzalyse interne de la 22 (traitement thermafil pas d'école).
Je pense essayer d'éliminer la "racine" de 21 et de coller 11 21 22 en L. Quelqu'un aurait une méthode fiable de coller autre qu'attelles (que je n'arrive jamais à faire correctement)???

22 21 19 4 2006 n2szdz - Eugenol
22 21 30 2 2007 lk16je - Eugenol
22 21 30 2 2007 gpbbdc - Eugenol
22 21 19 4 2006 x9j9wx - Eugenol
22 21 19 4 2006 ziujyh - Eugenol
22 21 30 2 2007 lfmunu - Eugenol
22 21 19 4 2006 hjrw8p - Eugenol
22 21 30 2 2007 ccloid - Eugenol

alhoun

30/05/2007 à 18h53

je ne sais pas dans quelle mesure un bridge collé ne va pas interférer avec la croissance à ce niveau là ( catrose? dancha?)
moi je temporiserai avec une provisoire fixée sur un arc orthodontique, avec un monitoring serré.
comme c'est une fille (toujours une longueur d'avance sur les garçons), je poserais un implant à 16 ans. sans doute pour la latérale aussi, d'ailleurs.
bon courage.


Avatar hjdsnm - Eugenol
TiGabi

30/05/2007 à 20h17

De 11 à 12 ans, les laterales maxillaires se redressent suite à l'augmentation de l'espace intercanin temporaire => définitif : donc si 11-21-22 se retrouvent fixées entre elles, est-ce que cela ne va pas créer un problème esthétique pour plus tard (asymetrie) ?


bjc

30/05/2007 à 23h29

"De 11 à 12 ans, les laterales maxillaires se redressent suite à l'augmentation de l'espace intercanin temporaire => définitif"

tu es sur?


Avatar hjdsnm - Eugenol
TiGabi

31/05/2007 à 00h07

bjc Ecrivait:
-------------------------------------------------------
> tu es sur?

Non, pas vraiment, je ne suis qu'etudiant. Mais si mes souvenirs de cours sont bons, il me semble qu'au moment de l'eruption des latérales maxilaires vers 8 ans, les racines de celles-ci n'ont pas assez de places pour se dévelloper car elles sont comprises dans un espace entre les canines temporaires qui est très reduit, ce qui leur donne une inclinaison "en vilain petit canard".
Vers 11 ans, eruption des 3 : du fait de la croissance alveolaire et du fait de la différence de diamétre mesio-distal entre IV/V et 4/5 (Lee way space), l'espace inter-canin augmente et permet aux 2 de se redresser dans un axe harmonieux.


ben

31/05/2007 à 00h28

Cette pauvre petite est bien partie pour perdre sa 22.


ben

31/05/2007 à 00h30

"traitement thermafil pas d'école" tu ne parle pas français, de quelle lointaine contrée nous écris tu ???


ben

31/05/2007 à 00h30

"certainement rhyzalyse interne de la 22" , vous recevez top santé dans ce lointain pays, c'est un indice.


ben

31/05/2007 à 00h32


tatoo

31/05/2007 à 00h47

dans le fond , t'as un probleme de respiration ,t'arrives pas à aligner 3 phrases


ben

31/05/2007 à 00h52

Et puis qu'il ne tarde pas trop à extraire la racine, elle risque de disparaitre.


tatoo

31/05/2007 à 00h53

dis ben , tu nous ferais pas un zona ?


ben

31/05/2007 à 00h54

tatoo, je peux te conseiller un ophtalmo si tu veux.


ben

31/05/2007 à 00h57

Si cette petite avait été prise correctement en charge elle aurait peut être encore sa 21 et sa 22 aurait un pronostic sans comparaison. Je me trompes ???


024 vownvo - Eugenol
annie

31/05/2007 à 01h27

ben Ecrivait:
-------------------------------------------------------
> Si cette petite avait été prise correctement en
> charge elle aurait peut être encore sa 21 et sa 22
> aurait un pronostic sans comparaison. Je me
> trompes ???

La 21 ce n'est pas lui qui l'a pris en charge,si j'ai bien lu,et d'après la radio il ne devait pas avoir grande espérance de la garder bien longtemps
Pour la 22 ,on peut mettre en cause un manque de prophylaxie ,pour laisser une carie atteindre cette taille,cela ne se fait pas en 8 jours
il faut partager les responsabilités!



ben

31/05/2007 à 09h36

Au lieu de dire des conneries, répond à la question stp, toi qui connais bien Jean-Claude: "Quelqu'un aurait une méthode fiable de coller autre qu'attelles (que je n'arrive jamais à faire correctement)???".


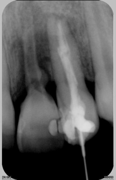
Photo pluton1b h9n4ea - Eugenol
pluton

31/05/2007 à 10h00

A 12 ans, c'est un âge fréquent pour l'ODF...pourquoi pas en profiter pour lui faire son traitement qui permettrait:
1- maintenir l'espace
2- coller une dent résine du commerce avec un boîtier ortho...le tout positionné sur le fil...elle retrouverait une esthétique correcte...
3- permettre à la croissance de se faire normalement sans interférer en bloquant la suture palatine
4- faire temporisation jusqu'à l'implantation...

Sinon, mieux vaut une petite PAP résine plus facilement modifiable tout au long de la croissance


catrose

31/05/2007 à 10h27

ben Ecrivait:
-------------------------------------------------------
> Si cette petite avait été prise correctement en
> charge elle aurait peut être encore sa 21 et sa 22
> aurait un pronostic sans comparaison. Je me
> trompe ???

non,malheureusement
les dents expulsees et reimplantees doivent etre traitees endodontiquement en extra-oral ou en differe,cela depend des conditions de reimplantation et de la maturite apicale
et ceci pour eviter les risques de resorption inflammatoire..tiens tiens..
la on est dans un tres beau cas de resorption inflammatoire des 21 et 22
pour la 21,ne pas toucher au fantome de racine qui reste,il va disparaitre
la 22 :evident,reprise du traitement endo
temporisation en attendant l'implant d'alhoun,on a le choix entre le fixe et le mobile
a 11 ans chez les filles c'est en general le debut du pic de croissance,quel que soit le choix,il faudra un suivi serre
contention fixe classique palatine de 11 a 23:si tu ne sais pas faire,tu prends une empreinte et tu envoies a ton labo d'odf qui modelera un fil torsade que tu colleras avec du compo-flow (style LR de 3M)

ou 2 bagues sur les 16-26 avec un arc palatin soude comprenant une 21 provisoire

petite plaque mobile juste pour l'esthetique et le maintien d'espace

si la patiente a aussi besoin d'un traitement ortho,inclure une provisoire sur l'arc(bien vu alhoun,bien...:)
on peut aussi fermer l'espace orthodontiquement(impossible de conseiller dans ce cas sans une documentation plus complete)





ps:pas vu le message de pluton avant d'envoyer mais comme ca c'est clair...


S8ysxdzhdqgw00w4q6m07a5d47q2 - Eugenol
gai-luron

31/05/2007 à 11h13

et qu'y a-t-il entre la 21 et la 22 ?


024 vownvo - Eugenol
annie

31/05/2007 à 11h41

ben Ecrivait:
-------------------------------------------------------
> Au lieu de dire des conneries, répond à la
> question stp, toi qui connais bien Jean-Claude:
> "Quelqu'un aurait une méthode fiable de coller
> autre qu'attelles (que je n'arrive jamais à faire
> correctement)???".

à qui parles tu? en tout cas je suis tranquille,pas à moi,je ne connais pas Jean Claude!



ben

31/05/2007 à 13h39

Mais si tu le connais, il t'a vendu ton poupinel.


Zorto

31/05/2007 à 19h23

pourquoi pas fermer l'espace 21 orthodontiquement?


024 vownvo - Eugenol
annie

31/05/2007 à 22h15

ben Ecrivait:
-------------------------------------------------------
> Mais si tu le connais, il t'a vendu ton poupinel.

Ma parole tu m'espionnes,pas de bol,j'en ai un mais je ne l'ai pas acheté



vernal

02/06/2007 à 14h44

Pour donner des précisions.

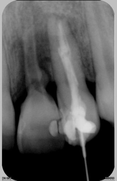
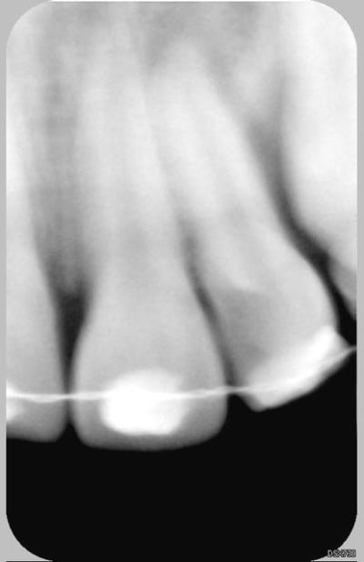
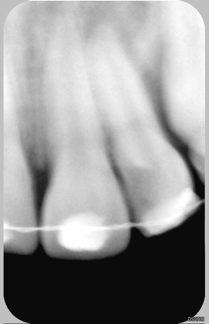
La 22 n'était pas cariée, simplement en rotation (elle l'est encore)avec une anatomie atypique (angle mésio-occlusal très fin).
Le milieu est extémement infecté et la résorbtion de la 21 n'est pas aseptique : donc je ne peux pas attendre.
Mon collègue en mon absence a essayé de traiter la 22 et mis un composite pour éviter l'expulsion de la 21. Souvent on fait comme on peut et je sens que la critique va fuser tel la pierre qui ricoche. que celui qui n'a fait que des traitements de rêve la lance.
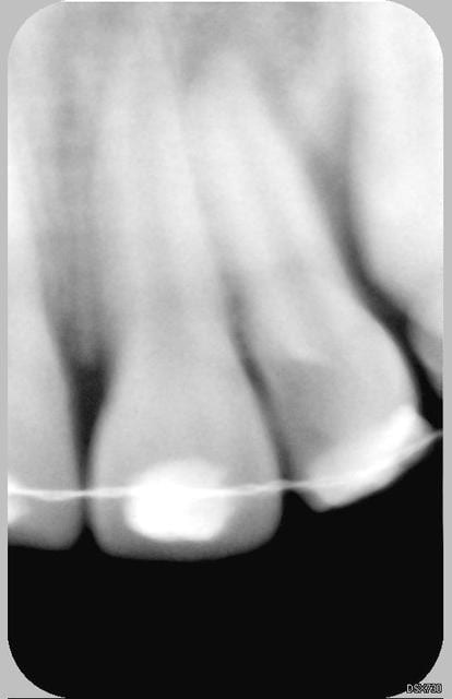
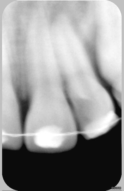
Ci joint la première radio de ces dents avec attelles centre de soins universitaire

22 21 16 04 2007 k6zjk5 - Eugenol
22 21 16 04 2007 ozumpl - Eugenol

ben

03/06/2007 à 10h25

Science sans conscience n'est que ruine de l'âme, conscience sans science ne vaut pas grand chose non plus.
Improvise sur tes gosses si tu veux, mais laisse ceux des autres tranquilles si tu ne sais pas faire.


12