Cookie Consent byPrivacyPolicies.comcas à commenter - Eugenol

cas à commenter

vador

01/06/2007 à 11h57

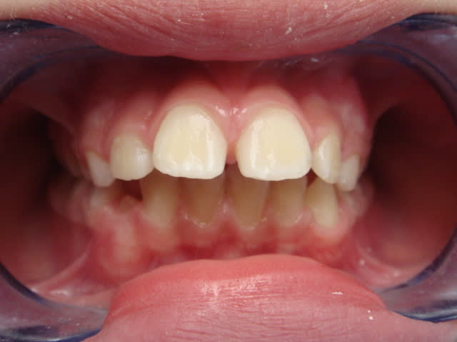
Bonjour, bonjour, cà fait un bail mais mes cas d'ortho ne sont pas légion.

enfin en voilà un qui m'empèche de dormir ( ou presque)
petit fille (10 ans)qui n'a soit disant jamais sucé son pouce (j'en doute) vu la poussée du prémaxillaire) ou magnifique travail de la langue

et maman vient pour que l'on remettre les incisives de la petite à leur place, petite exigeance , elle ne veux rien de fixe, mais je pense pouvoir eventuellement la convaincre.

N'etant pas trés au point sur la mobile en ortho , j'en appelle à la pouvoir de la force Orthodontique

Dsc00780 dolc9m - Eugenol
Dsc00781 jem692 - Eugenol
Dsc00778 ejbweu - Eugenol
Dsc00784 i08ohd - Eugenol

vador

01/06/2007 à 12h01

encore d'autres photos

Dsc00783 ibbacs - Eugenol
Dsc00782 zs8efj - Eugenol

limlim

01/06/2007 à 22h43

Respiration buccale, tres vilaines narines pas musclées, gercures des levres.

Tres bon cas de transfert .

A ne surtout pas toucher, recidive assurée.


S8ysxdzhdqgw00w4q6m07a5d47q2 - Eugenol
gai-luron

01/06/2007 à 23h25

comment ça ne pas toucher?

on ne fait rien?


t45

01/06/2007 à 23h38

gai-luron Ecrivait:
-------------------------------------------------------
> comment ça ne pas toucher?>
> on ne fait rien?

bonsoir,

non, on adresse à son meilleur ennemi et si on le deteste vraiment mais vraiment de vraiment,mieux vaut attendre que 13 soit en position haute vestibulaire ou bloquée ou (on peut rêver),en train de rhizalyser la racine de 12
du coup 23 paraitra très bien
de préférence suggérer d'attendre encore 2 ans
bien fait pour la mère et l'enfant qui ont menti sur la succion du pouce
bien fait pour le confrère



dors bien GL







S8ysxdzhdqgw00w4q6m07a5d47q2 - Eugenol
gai-luron

02/06/2007 à 00h14

merci, on va pas tarder à y aller...

non mais si je demande, sérieusement, c'est que l'ortho et moi....

donc un cas comme ça, récidive assurée??

quelque soit le traitement??


bjc

02/06/2007 à 12h11

salut,

C’est un cas difficile
limlim à raison, il est à transferer, non pas pour se défiler, mais vu le contexte de participation, pour faire prendre conscience aux parents de la difficulté du cas
il va falloir sortir l’artillerie lourde vu l’état du prémaxillaire,
le reste (bien que l’on ait pas de moulage) peut réserver encore des surprises
personnellement, je l’adresserai à un Prof. pour des raisons psychologiques

retrouve le sommeil, ce n’est pas un cas que je prendrai en charge, mais je ferai le maximum pour l’adresser et motiver les parents

@+ Bjc


catrose

03/06/2007 à 12h01


que ce soit succion du pouce ou de la levre inf ou de la langue,peu importe
il doit y avoir aussi perturbation de la phonation et de la deglutition
respiration buccale
hyperdivergence
rejet du traitement fixe,et tant mieux parce qu'il ne va pas regler le probleme et bien sur recidive assuree
conclusions:je trouve que c'est une excellente indication pour un activateur OSB(Soulet et Besombes)
essaie de trouver quelqu'un dans ta region qui le pratique
un lien pour information

http://www.dentosophie.com/article.php3?id_article=1


bjc

03/06/2007 à 15h06

bon,

dans ce cas, il faut surtout stimuler le développement du PréMax. Sup.
sans toucher aux secteurs Post.(mésialisation des 4,5,6), pour faire la place aux 3
à part l’expansion avec torque qui va aider si on en a besoin
1° temps : masque de Delaire Sectoriel avec hyper torques Ant. (De dieu la belle église)
2° temps : reformage d’arcade
Si on obtient un rattrapage de croissance, il y a moins de chance de récidive

C’est ce que les adeptes de OSB cherchent à obtenir
Comment ?
A suivre

@+ Bjc.


leplusnul

04/06/2007 à 20h08

bjc Ecrivait:
-------------------------------------------------------

> 1° temps : masque de Delaire Sectoriel

??


024 vownvo - Eugenol
annie

04/06/2007 à 22h49

Dans le temps ou je faisais un peu d'ortho,j'aurais mis une plaque a verin avec un arc vestibulaire,et une plaque de surélévation
ça ne se fait plus? pourtant c'était pas mal pour regler ce genre de problèmes ?


vador

05/06/2007 à 11h54

j'ai revu la maman ce dimanche à la messe (les voies du seigneur peuvent etre salutaire des fois)
elle n'est plus contre un fixe mais je lui ai tout de meme dit que ce serai pas facile

j'ai aussi récupérer les modeles platres
(sacré plan d'occlusion)


bjc

05/06/2007 à 15h21

"le reste (bien que l’on ait pas de moulage) peut réserver encore des surprises"

@+ Bjc.


vador

05/06/2007 à 16h20

bein les photos sont pas passée

Dsc00835 vddb8n - Eugenol
Dsc00834 wrj9mc - Eugenol
Dsc00831 vwydxx - Eugenol
Dsc00832 e20n54 - Eugenol

dento sofiene

06/06/2007 à 16h54

succion de la lévre inférieure+plan terminal qui nous oriente vers une future classe II+manque de place pour l'éruption des canines supérieures(signe de Quintero),j'aurais proposé un lip bumper fixé sur les molaires supérieures.


bjc

06/06/2007 à 18h03

"un lip bumper fixé sur les molaires supérieures."

tu es sure?


Avatar transparent iqadnc - Eugenol
adhoc

06/06/2007 à 21h05

Non,mon bjc???? Une bonne grille antipouce (antilangue aussi, large!) bien fixée , hé hé, maintenant qu'un ange bienveillant a conseillé a la moman l'acceptation du fixe!
Apres,pff, c'est du banal, on a de la classe 1 molaire, une proalvéolie sup ,pas de ddd apparente (faudrait peut etre quand meme indicer un chouia). Elastics,torquez, mada, elastics, torquez mada, elastics.et encore du torque.


bjc

06/06/2007 à 22h39

mon cher adhoc, on aurait plutot une pro-corono-vestibulie Sup.
le Pb. que limlim traite à sa manière est le developpement du prémax.
comment redresser les Inc. Sup. ?
en dentosophie ?


Avatar transparent iqadnc - Eugenol
adhoc

07/06/2007 à 13h05

Non, vraiment, je ne vois po le probleme, mon grand. On a plein de place libre, on est en classe 1 molaire, il y a du diasteme a quimieux mieux,profitons de l'aubaine!
En moyenne d'apres la regle de bidule, 1 degré de redressement palatin coute un millimètre d'arcade.De la place , on en a!!!!


Ancrage 6 et 7 par légére mesio version radiculaire . Puis un arc de retraction et des elastics et du torque et ca doit marcher sans peine. Bon, faut quand meme modéliser avec peut etre une analyse télé et un wax-up, ca serait mieux.

Je n'arrive pas a voir la réelle difficulté en traitement fixe .Limlim, ton avis? Je n'ai pas trop compris l'histoire du prémaxillaire ....un quadhelix pour aggrandir transversalement nos structures?



hordeotech

10/06/2007 à 21h25

Les plaques dont Annie se souvient, on les trouve toujours chez les membres de
www.i-ortho.net
comme j´espère. Ou des appareils fonctionnels (bionateur, Bimler, Fränkel, plaques couplées, ...). Au lieu de cet affreux masque de Delaire, qui est commercialisé vigoureusement à présent, comme j´ai l´impression. Bien, les FEO sont plus compatibles avec les techniques multibague, comparé aux appareils traditionnels en résine. Mais qui de ceux qui vendent ou recommandent ces harnais de cheval voulait en porter un lui-même?

Ce cas me rappelle à un cas en Autriche d´ouest, dont les parents ont cherché du traitement fonctionnel, et l´ont enfin trouvé au rivage oest du Lac de Constance, en Allemagne. Peut-être je retrouverai une photo...


1 eugenol dmj5np - Eugenol
Dancha

11/06/2007 à 17h53

Dans un cas comme celui-ci où il n’y a qu’une bascule palatine des incisives supérieures à réaliser, l’avantage majeur de l’appareillage fixe est de permettre une correction de la mésio-vestibulo-rotation des molaires supérieures et ainsi de gagner de la place en latéral. Autrement, n’importe quel système mobile bien pensé devrait pouvoir faire l’affaire : la plaque épaisse d’Annie, le mobile d’Hordeotech ou les Soulet-Besombes de Catrose…

Pourquoi récidive assurée ? A cause de l’ascension de l’épine nasale antérieure ?
Pourquoi du torque, encore du torque, toujours du torque ?
Quand à l’idée du masque de Delaire, c’est à l’évidence un gag de notre facétieux !

Pour ma part, je me méfierais quand même des couronnes des canines permanentes supérieures qui sont très proches des racines des latérales et j’aurais tendance à attendre leur éruption pour reculer les incisives.

Daniel

Pourquoi torquer sezid1 - Eugenol
Rotation molaires bmq1jg - Eugenol
Attention canines 2 woo8sv - Eugenol

vador

11/06/2007 à 18h28

Merci à tous pour vos commentaires, en particulier à Dancha pour son travail


vador

11/06/2007 à 19h31

Dancha ,sur la tele de profil, tu notes une ingression des insicives du bas mais je vois pas trop comment tu fais sans appareiller tout le bas et un niti .10 thermique ( si je ne fais pas erreur)


1 eugenol dmj5np - Eugenol
Dancha

11/06/2007 à 22h07

Il n’y a pas beaucoup de mouvement à faire. En fixe, tu pourras réaliser une véritable ingression incisives, par contre en mobile ce sont surtout les autres dents qui égresseront.... Le fil .010 est un fil plutôt fait pour d’alignement, il est trop faible pour de l’ingression. Que tu la réalises en segmentaire avec un arc de base ou en arc continu, il te faudra un fil plus gros. Utilise donc ta technique habituelle.

Daniel


bjc

11/06/2007 à 22h33

ce que dit Dancha est (était) vrai sur adulte
voir autre post.


12