Cookie Consent byPrivacyPolicies.comfleuve - Eugenol

fleuve

debi-debo

01/06/2007 à 13h49

bonjour
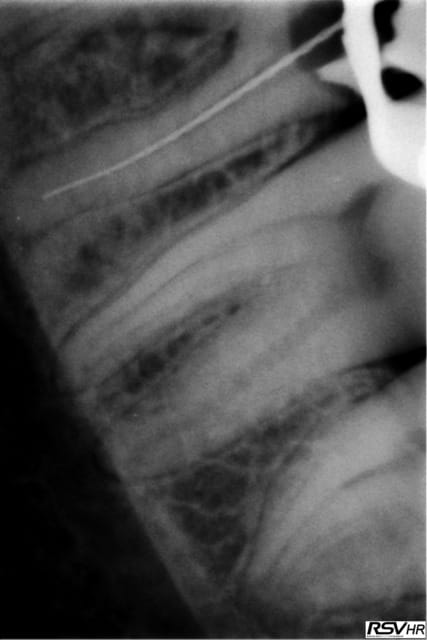
je viens actuellement de commencer une endo sur une 36 sur un patient de 24 ans, pas de problemes de santé, pas de medicaments....
apres 45 minutes d'irrigation, le canal distal saignait encore abondemment...mais vraiment abondemment si je m'arretais 5 secondes d'irriguer (ne serait-ce que pour recharger la seringue) j'avais une petite mare de sang sur la digue.
j'ai donc temporisé et refermé la dent en attendant de voir le patient la semaine prochaine.
j'ai tout de même pris une radio avec un instrument dans la racine pour etre sure de n'avoir pas fait de fausse boie mais je ne vois rien de special
je vais tenter de joindre la radio...
merci de m'indiquer les causes possibles de ce saignement intempestif et eventuellement de m'indiquer la marche à suivre pendant l'endo afin que je sache quoi faire si le probleme se presnte à nouveau (ps: le patient n'a pris ni aspirine ni anticoagulants d'aucune sorte...)

Marcha veayhj - Eugenol

Coeur n9py1g - Eugenol
patvat

01/06/2007 à 14h58

on dirait qu il y a une lesion apicale d ou Sang irrigation h2o2 100 VOL ca mousse et laisser un cone papier puis Pate hydroxyde iodoforme en attente OU laser yag avec fibre


Stéphane

01/06/2007 à 15h28

le plus simple est de ne rien faire jusqu'a la prochaine seance.
Quant a une quaterisation in situ, ca regle la consequence mais pas la caude du probleme... et avec un caillot fragile, ca reviendra de plus belle une fois sorti du cabinet.
Laissez le patient tranquille pendant deux semaines avec hydroxyde de calcium en place, et reprendre l'endo tranquillement.

Deux causes possibles : restes de tissus pulapires en apical qui est dans un etat inflammatoire tel qu'il y a hemorragie

ou inflammation periapical a cause d'une surinstrumentation agressive ou passage de solution d'irrigation dans le peri apex.

Quoiqu'il en soit, ne pas obturer tant que ce n'est pas sain


Father ted 280 422484a zg0rur - Eugenol
Oméga

01/06/2007 à 21h05

J'attends toujours la pate endo qui prend dans le sang et dans le pus, plus à s'embêter avec ces scéances intermédiaires.
;)


Img 1392 s73srk - Eugenol
Guttaman

02/06/2007 à 18h05

Stéphane, dans le cas d'une extrusion de NaOCl dans le péri-apex, j'aurai tendance à mettre le patient sous ATB + corticoïdes...qu'en penses-tu ?


Grueavatar nptrc9 - Eugenol
Le Choixpeau magique

02/06/2007 à 21h24

Il y a sans doute une différence entre "lavage" du peri-apex à l'hypo et injection d'hypo, le premier entraînant une grosse inflammation, le second un hématome immédiat et justifiant la prescription.


Img 1392 s73srk - Eugenol
Guttaman

02/06/2007 à 23h09

Tout à fait d'accord, mais là, justement, on parle de "fleuve"...


ben

03/06/2007 à 10h14

En cas d'injection il y a une douleur violente, qui n'a pas été décrite ici. Dans un cas comme ça j'amène un protaper plus large, branché sur un localisateur, non loin de l'apex, au cas où ça serait un problème de parenchyme pulpaire résiduel. Si ça ne suffit pas, je touche alors cette lime à la LT avec un bistouri HT en position coag. Et que ce soit un souci d'apex surintrumenté, d'injection dans le périapex, de canal latéral, secondaire, de perforation, de pulpe inaccessible, ça s'arrête TOUJOURS de saigner. Tu peux alors reprendre ton irrigation puis sécher délicatement et obturer.


Marque a3 orange fyvhyq - Eugenol
Marc Apap

03/06/2007 à 11h15

Ben, cette intéressante méthode t'est elle venue par intuition ou as tu lu quelque chose dans ce goût là ? Etant donné la technique, peu conventionnelle, on pourrait craindre une lésion du desmodonte au voisinage de l'apex (reversible sans doute)... Bref, y a t il des études histologiques relatives à ce type de traitement ?


ben

03/06/2007 à 11h34

Avec un bistouri THF, l'échauffement est limité en température et très peu étendu. Ce qui m'a donné l'envie d'essayer tel que décrit. Je n'ai jamais rien lu là dessus. Je le fais depuis des années, sans différence avec les autres cas.
Tu as peut être une lésion du desmodonte apical, tout comme tu abimes le desmodonte cervical quand tu l'utilises à cet endroit...sans suites.


ben

03/06/2007 à 11h38

Avec le système "endox", ils font une fulguration à l'apex dans le but d'améliorer la décontamination. Et là ils ont fait des études et publications sur l'innocuité du système. Mon bistouri ne possède pas de mode fulguration, alors je place en coag.


Marque a3 orange fyvhyq - Eugenol
Marc Apap

03/06/2007 à 12h03

Merci !
Si les fabricants connaissaient cette utilisation, il feraient peut être des électrodes spécifiques directement adaptables sur le manche du bistouri.
Quelle est la marque du tiens ?


ben

03/06/2007 à 12h08

Pas besoin d'électrodes spécifiques. Une lime, gainée dans le canal est efficace et moins onéreuse, sans parler d'ergonomie ;).
J'ai un Ellman.


Stéphane

03/06/2007 à 15h17

on ne peut obturer une dent que si elle est asymptomatique, sinon on enferme le probleme.
Obtenir l'arret du saignement ne permet pas de supprimer la cause. Certes ca peut rendre service, mais le caillot formé est instable et a tout les chances d'exploser peu de temps apres.

L'(injection d'hypochlorite est doulouresue a partir du moment ou elle est massive.
Le saign,ement ici peut egalement etre du à un residu pulpaire inflammatoire.
Dans le doute, personnellement je n'obture pas dans la seance. Mais c'est mon choix.


ben

03/06/2007 à 16h11

"L'(injection d'hypochlorite est doulouresue a partir du moment ou elle est massive." je ne pense pas. L'injection d'une faible quantité d'hypochlorite au dela de l'apex (quelques gouttes) entraine une douleur spontanée vive qui passe en une à deux minutes. Elle est également accompagnée d'un saignement relativement important qui peut être arrêté comme décrit ci dessus, sans conséquence post op.
Que l'arrêt du saignement soit spontané ou aidé, la différence ne me pose pas de problème intellectuel, pas plus qu'elle ne pose de complication post op.


ben

03/06/2007 à 16h22

"Obtenir l'arret du saignement ne permet pas de supprimer la cause" : je ne suis pas d'accord non plus.
Si la cause est un reste de parenchyme pulpaire, il sera carbonisé par le bistouri THF puis les résidus seront supprimés par l'hypochlorite et les US.
Si c'est un canal latéral, secondaire, un delta apical, c'est idem, l'arrêt du saignement s'obtient en supprimant la cause.
De même pour une surinstrumentation, temporiser ne répare pas l'apex. Je coagule et j'obture.
Une temporisation a un coût et mon exercice libéral m'impose d'éviter les surcoûts qui n'apportent rien de prouvé.
Mais c'est mon choix.


Stéphane

04/06/2007 à 13h37

ben Wrote:
-------------------------------------------------------

> De même pour une surinstrumentation, temporiser ne
> répare pas l'apex.

Ah bon.... effectivement, il n'est pas question de reparer ad integrum les tissus durs eclates, mais bien d'induire une cicatrisation des tissus periapicaux du parodonte profond

> Une temporisation a un coût et mon exercice
> libéral m'impose d'éviter les surcoûts qui
> n'apportent rien de prouvé.

Un bon traitement ce n'est pas une belle radio ; c'est juste la gestion d'un probleme biologique.
Quant a "rien de prouve", je t'invite juste a lire quelques pages de "biologic considerations in endodontology" (S.Seltzer, derniere edition 1990).

Pour les considerations materielles, c'est un autre probleme qui pour moi ne peut prendre le dessus.


ben

04/06/2007 à 14h29

Je vais donc continuer d'une façon qui réussit jusqu'au jour où on m'apportera la preuve qu'on obtient de meilleurs résultats en retardant l'obturation.
A+


Amibien

04/06/2007 à 14h32

Oméga Ecrivait:
-------------------------------------------------------
> J'attends toujours la pate endo qui prend dans le
> sang et dans le pus, plus à s'embêter avec ces
> scéances intermédiaires.
> ;)


bin tu as ma pâte secrète... c'est imparable

Rxc mai 2007 implants 47 et  46 et 44  ter tprevs - Eugenol

ariel

04/06/2007 à 17h10

tu mets des implants aussi dans les canaux ?


Stéphane

04/06/2007 à 17h33

ben Wrote:
-------------------------------------------------------
> Je vais donc continuer d'une façon qui réussit
> jusqu'au jour où on m'apportera la preuve qu'on
> obtient de meilleurs résultats en retardant
> l'obturation.
> A+


je n'ai pas dit que la temporisation donne de meilleurs resultats ; c'est bien mal connaitre mon point de vue sur le "une visite vs multiples visites".

En endo, c'est comme sur la route, il y a des regles a ne pas transgresser si on veut eviter les deboires; la prinicipale est que l'on ne peut obturer une dent qu'a partir du moment ou elle est asymptomatique.
Un saignement dans un canal est une preuve de symptomatologie, et notamment de la presence d'un phenomene inflammatoire.
La seule chose que l'on ne sait pas dans un cas comme celui-ci c'est est ce le residu pulpaire ou le periapex qui est enflamme.

Dans le doute, je ne prends pas le risque d'obturer. alors effectivement si l'origine est pulpaire, la temporisation n'apporte rien. Si elle est au dela, elle a tout son interet. le prbleme, c'est que je n'ai pas d'yeux au bout des limes...

et puis, entre nous... tout "marche" ! ca depend juste de la facon dont on les regarde !


debi-debo

04/06/2007 à 18h04

en fait, pour preciser mon premier envoi, le saignement a commencé à peine le premier instrument rentré de quelques millimetre, au point que j'ai cru avoir fait une perforation...d'ou la radio du premier envoi.
je penchais aussi pour un residu pulpaire mais si tel etait le cas le saignement n'aurait il pas dû s'arreter avec pres de 40 minutes d'irrigation intensive? ou alors ai-je peché par exces c'est à dire qu'à force d'irriguer j'ai provoqué une inflamation?


Amibien

04/06/2007 à 18h11

ariel Ecrivait:
-------------------------------------------------------
> tu mets des implants aussi dans les canaux ?


c'est vrai que ça fait illusion, tu noteras que le verre ionomère pousse la pâte d'obturation


Amibien

04/06/2007 à 18h16

40 minutes d'irrigation, putain les gars vous faîtes quoi pendant l'rrigation ? vous regardez le soleil et admirez le paysage ? le laser vous concocte des bulles de gaz brûlants qui décapent les parois... ou alors vous faîtes plusieurs dent en même temps, une qui boit, l'autre qui se fait limer, une seconde qui boit, une qui s'assèche, une autre qui se fait fourrer, etc...

les dernières étude ne montrent-elles pas que malgré votre irrigation fleuve les biofilms sont toujours là, la la la lèèèrreeuuu ?


Stéphane

04/06/2007 à 18h36

quelle etait l'indication du traitement sur cette dent ?


12