Cookie Consent byPrivacyPolicies.comCarie radiculaire - Eugenol

Carie radiculaire

024 vownvo - Eugenol
annie

08/06/2007 à 15h31

ben Ecrivait:
-------------------------------------------------------
> C'est qui bon escient, un nouveau ?? Connais pas.
Bon et Scient sont deux jumeaux,tres gentils,tres intelligents , très cultivés ,qui sont mes interlocuteurs préférés,!!


plt

08/06/2007 à 19h23

plt Ecrivait:
-------------------------------------------------------
> Tozzi Ecrivait:
> --------------------------------------------------
> -----
> > Ne rien faire est parfois préférable que de
> faire
> > ce qu'il ne faut pas faire. Non ?
>
> -------------------------------------------------------------------------------------------------------------------------------------------------
> L'histoire de la petite carie qui finit par
> l'implant...A cause de l'acharnement
> thérapeutique..!!

Nous ne devons pas craindre cette histoire,au point de ne rien faire.

> La localisation de la lésion renseigne que le
> contrôle de plaque est impossible...

Donc la lésion va evoluer en s'aggravant,si rien n'est fait.

> On laisse faire dame nature et personne ne sera
> responsable....???

C'est une interrogation.
Amha,on ne peut pas laisser une telle lésion en bouche.Compte tenu des risques de complications.

> Il faut ,bien entendu, prendre une decision
> éclairée et se donner les moyens.

Les patients te disent parfois que c'etait juste une toute p'tit carie alors le choix est large( de la conservation à l'implant),pour ce cas précis.

J'attire seulement l'attention!


PS: Je suis nouveau sur ce forum, que je trouve trés instructifs.

Je suis en train de lire les anciens et nouveaux post en même temps.C'est pas chose facile, mais c'est important afin de ne pas altérer la qualité des échanges.

Ce forum est instructif.Et vous faites partie de ceux qui s'investissent pour rendre ce site interessant et agréable.

Je salus votre esprit d'ouverture,de rassembleur, de générosité dans des échanges nous permettant de tirer le maximum de profit.

J'ai lu plusieurs de vos post.Je me permet de vous vouvoyer pour vous temoigner mon respect...cher Alhoun...

J'y associe tous ceux qui contribuent qualitativement.....

Merçi et je vous souhaite bonne continuation...

A+ ..plt..
>
>
>
> ;


Tozzi

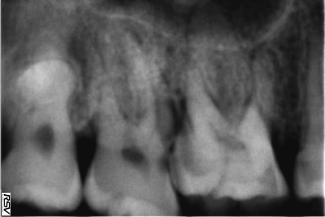
10/06/2007 à 15h33

Voici la radio de la 17, évidemment que la dent est conservable...
La dent est passée en pulpite donc plus de question à se poser si ce n'est du pronostic à long terme.

Dent wvwoxh - Eugenol

024 vownvo - Eugenol
annie

10/06/2007 à 19h48

Avec des fraises boules tu devrais pouvoir y accèder,et obturer au VI par exemple
La carie est plus petite que ce que tu laissais imaginer!


alhoun

10/06/2007 à 19h51

tozzi, tu as l'intention de faire quoi exactement, sur cette dent?
en dehors de la carie elle même, il n'y a rien qui te chagrine?


Squash u44zd8 - Eugenol
steph

10/06/2007 à 22h54

Oui, l'élongation coronaire dont je parlais est déjà faite.


024 vownvo - Eugenol
annie

10/06/2007 à 23h59

faudrait demander à Dancha si apres le soin et la réhabilitation prothétique inférieure probable,
on pourrait ingresser cette dent
la possibilité d'ingression étant nouvelle pour moi,je n'en connais pas les règles,les indications ni contre-indications,c'est juste une question!


Logo vuaztn - Eugenol
mac

11/06/2007 à 00h16

annie Ecrivait:
-------------------------------------------------------
> faudrait demander à Dancha si apres le soin et la
> réhabilitation prothétique inférieure probable,
> on pourrait ingresser cette dent


bien sûr annie.


Squash u44zd8 - Eugenol
steph

11/06/2007 à 00h19

Annie faut vraiment que t'apprennes à ne rien dire, ne plus rien dire!!!!


200106 10150128247663588 709988587 6466236 5598391 n d7mksb - Eugenol
hallboy

11/06/2007 à 01h00

Tozzi Ecrivait:
-------------------------------------------------------
> Bonjour,
> sur une 17 carie mésiale dans la partie supérieure
> de la racine, .......................................................................


L'état paro gingival et osseux est de
> hauteur normale.


C'est pas exactement ce que montre ton cliché... Peut-etre que tu devrais reevaluer le pronostic. En tous cas ne laisse pas trainer: même si les douleurs disparaissent, ta 16 finira par en beneficier.



024 vownvo - Eugenol
annie

11/06/2007 à 01h14

steph Ecrivait:
-------------------------------------------------------
> Annie faut vraiment que t'apprennes à ne rien
> dire, ne plus rien dire!!!!

eh bien c'est plus facile de ne pas me lire,tu zappes!!



024 vownvo - Eugenol
annie

11/06/2007 à 01h20

La poche? le cliché es flou ! mes yeux??


zno

12/06/2007 à 11h12

reponse à TOZZI
Je ferais dans la même seance le traitement des racines palatines et disto vestibulaire et la section de la racine mesio vestibulaire


LdL

12/06/2007 à 12h34

On peut aussi extraire la 16, et du coup on a un accès sur cette face mésiale de 17.

"Attendre que ça devienne symptomatique"... je ne vois pas l'intérêt sachant que ça va se déclencher un vendredi soir ou une veille de fêtes, qu'à ce moment ta paro sera encore plus dégueu et que, dans le contexte de pulpite, ton endo aura quelques chances en moins d'être parfaite.

Moi j'aurai tenté un peu d'OC mixé à de la chir, histoire d'etre acrobate, mais seulement si la paro avait été nickel.

Il semble que le sort s'acharne sur cette dent.


12