Cookie Consent byPrivacyPolicies.comUne idée (autre problème) ? - Eugenol

Une idée (autre problème) ?

vernal

13/06/2007 à 17h08

La série. Trois urgences différentes avec a priori un problème similaire.
Dans les trois cas , nuit difficile
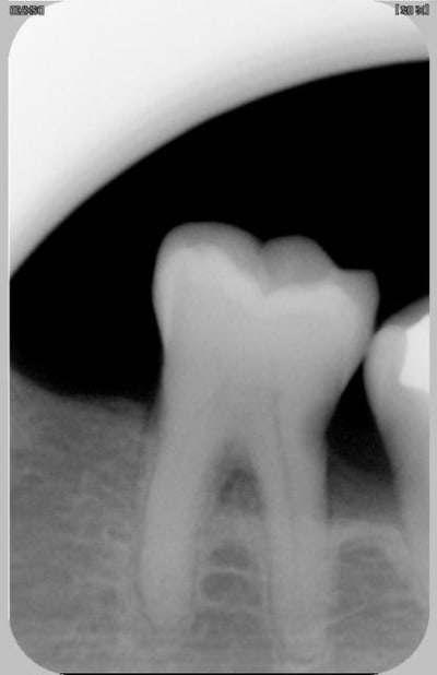
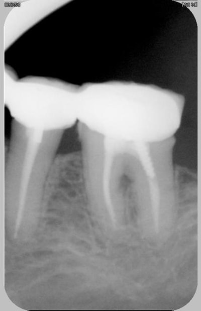
Douleur à la pression localisée sur un dent particulièrement. Pas douleur au froid. Douleur au chaud et évidemment à la percussion.
Pas de gingivite autour de la dent si ce n'est ponctuellement en vestibulaire. La sonde pénétre nettement en interradiculaire unique siège de la douleur pour les 3 dents et uniquement en interradiculaire pour la radio 1 et 3.

J'ai désinfecté localement bain de bouche et ultrason. Je ne sais pas comment éliminer surement le problème (surtout pour 1 : bridge complet réalisé il y a un an sans problème jusqu'à maintenant)

Qu'en pensez-vous ??


vernal

13/06/2007 à 17h56

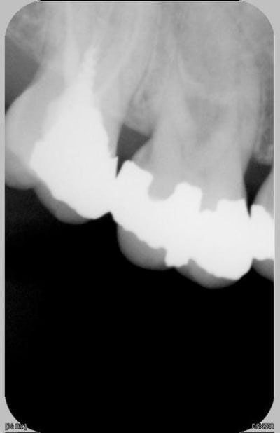
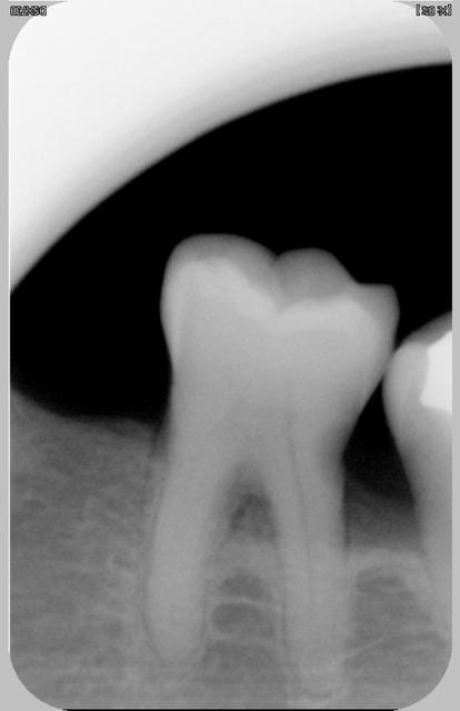
Les radios 1, 2 et 3 sont ici

Interradiculaire 1 uvcttp - Eugenol
Interradiculaire 2 u7i5kk - Eugenol
Interradiculaire 3 uajcag - Eugenol

Utilisateur anonyme

13/06/2007 à 20h42

vernal Ecrivait:
-------------------------------------------------------
> Les radios 1, 2 et 3 sont ici


pour la radio 2 il y a une carie proximale mésiale au niveau radiculaire


canin2

13/06/2007 à 20h45

pas sûr pour la carie mais sinon je pense qu'il s'agit d'un syndrôme septum faut leur apprendre à faire soins locaux avec brossettes


zno

14/06/2007 à 00h57

si la douleur vient d'une inflammation infection donc d'une compression je prescris solupred(1à3)par jour sur 3 jours plutot le matin et abique
pour le diagnostic plus precis sondage paro interradiculaire /evaluation pulpaire etc...


024 vownvo - Eugenol
annie

14/06/2007 à 01h43

La deuxième,elle a tout pour plaire quand même


zno

14/06/2007 à 01h58

le probleme de la 2eme pourrait etre l'egression par manque d'antagoniste par exemple
consequence rupture du point de contact et précarie mesiale associé à une prélesion interadiculaire et à une hypersensibilité radiculairedentinaire mesiale liee à la rupture du point de contact mesial
Et si j'osais pour etre plus leger ds un contexte diagnostic si obscur,
avec Annie il faut garderle contact


zno

14/06/2007 à 02h05

venal pour la 1 il faut voir au niveau de la furcation,dernierement j'ai eu un cas proche de celui ci radiologiquement mais sur une mol sup et ça s"est exprimé par une fistule vest au bout de qq semaines d'interrogations j'ai alors hemisectionné(il s'agit d'une 26 amputation racine vest mes) et mis à jour une lesion granulomateuse interadiculaire ++
chir faite samedi dernier je te donnerai des nvelles


Utilisateur anonyme

14/06/2007 à 20h46

vernal Ecrivait:
-------------------------------------------------------
> Les radios 1, 2 et 3 sont ici


si cela n'est pas une carie ...


024 vownvo - Eugenol
annie

15/06/2007 à 02h16

zno Ecrivait:
-------------------------------------------------------
> le probleme de la 2eme pourrait etre l'egression
> par manque d'antagoniste par exemple
> consequence rupture du point de contact et
> précarie mesiale associé à une prélesion
> interadiculaire et à une hypersensibilité
> radiculairedentinaire mesiale liee à la rupture du
> point de contact mesial
> Et si j'osais pour etre plus leger ds un contexte
> diagnostic si obscur,
> avec Annie il faut garderle contact
>
contact pour contact,Zno,c'est quoi une precarie?
a mon avis il y a carie .point!,qui agrave surement encore le problème paro,ou bien provoquée par le problème paro,mais le résultat final est là,pas si obscur comme diagnostic!
Pour le traitement,il peut y avoir controverse:!



1 eugenol dmj5np - Eugenol
Dancha

15/06/2007 à 10h35

zno Ecrivait:
-------------------------------------------------------
> le probleme de la 2eme pourrait etre l'egression
> par manque d'antagoniste par exemple
> consequence rupture du point de contact et
> ..

Permettez-moi d’intervenir en tant qu’orthodontiste :
L’égression d’une dent se fait normalement avec son parodonte (c’est le principe même de l’orthodontie), une simple égression ne peut donc pas expliquer la perte osseuse de ce cas n°2.

Daniel



Utilisateur anonyme

15/06/2007 à 11h42

perte osseuse ou pas il y a bien une carie ...
et c'est ce qui motive la consultation

le but premier n'est il pas de soulager le patient ?

>
>
>



zno

23/06/2007 à 00h41

je parle de precarie par rapport à ce que j'ai decouvert lors de conf de Darmond et Blique ou parfois on peut esperer une remineralisation d'une lesion debutante
Par contre je pense que egression plus rupture du point de contact est souvent à l'origine d'une telle image
Enfin concernant l'egression de la dent avec son parodonte c'est souvent possible mais pas tjrs la regle ne serait ce que si l'inflammation s'en mele et ds ce cas on peut observer une perte paro ,enfin c'est juste mon avis .


Marsu n7qyqe - Eugenol
kaol

03/07/2007 à 12h08

la carie sur la 2ieme photo atteind la moitier dentinaire, ce n'est pas une lesion débutante, donc il n'y a pas de reminéralisation possible


m24

03/07/2007 à 14h38

une idée toute bête; t'aurais pas laissé du ciment par hasard? style fuji ? parce qu'avec le café chaud ça brûle le patient. c'est juste une idée...pour la carie, moi, je pense qu'elle y est...mais pas facile à choper.
nettoyage aux US, apprentissage de la brossette, soin de la carie ( comme tu peux), et tu vois à deux semaines pour juger du tissu osseux.