Tous les forums
La bande à pas d'sous
16/07/2007 à 16h42
Mes amis, enfin, je poste mon premier cas...
Je vous présente Claude C., homme de 60 ans qui a longtemps été banquier avant de faire, depuis 3 ans enfin ce qu'il voulait: des spectacles "transformistes".
Il est fumeur, célibataire, ne présente pas de contre indications à grand chose.
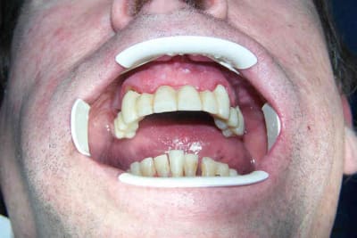
Il vient me voir en Janvier, avec son "bridge provisoire" qui bouge en haut. Il en a marre, il veut quelque chose de bien avec lequel il ne passe pas ses journées à craindre de perdre son truc lors de son show... Son partiel une dent du bas lui convient parfaitement.
Sur le plan des finances, il n'a plus la CMU depuis qu'il gagne 40 de trop, du coup pas de mutuelle non plus. Il est cependant près à prendre un petit crédit à la banque pour payer le tout, mais pas plus de 4000 .
la question est : QU'AURIEZ-VOUS PROPOSE ?
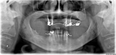
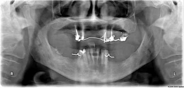
(je joins la pano et deux photos, je précise qu'en rétroalvéolaire, les racines antérieures et prémolaires en haut sont "bonnes" même si la dépose de magnifiques RCR compos infiltrés donne l'illusion du contraire)
16/07/2007 à 17h38
Je crois que j'aurai propose une complete maxillaire qui sera imbattable au niveau esthetique , le fonctionnel ne dependant que de toi.
Mais es tu sur que les racines soient conservables ?
Car on peut penser que ds un futur ou il serait a nouveaqu fortune faire des implants et qu'il est donc dommage d'extraire des dents conservables.
Mais de toute façon ce genre de cas est toujours complique a gerer au niveau de la decision therapeutique.
16/07/2007 à 17h55
Je n'ai ni eu le temps de lui faire les filtres colorés ni de vérifier s'il appartient bien à l'espèce humaine.
HAIG, les racines en question ne présentent pas d'infection, pas d'obstacle au retraitement et une longueur suffisante pour espérer s'en servir.
On m'a, par MP, adressé cette remarque:
"t'as quand meme un sacré degré d'infiltration, que tu ne peux pas reellment mesurer encore, et souvent, apres nettoyage on se rend compte qu'on va au case pipe
meme sans infection ou image apicale, tu n'aura pas assez de tissus fiable pour un travail de cet ampleur, et ne compte pas trop sur le patient pour, sur le long terme ne pas etre deçu lors des prob
au mieux ei tu veux vraiment le dépanner: nettoyage+++
reconstitions coronaires
mais bridge prov seulement, tu peux viser le moyen terme en passant par une cuisson
ensuite l'avenir pour lui est aux implants, ou a la prothese adjointe, il faudra bien lui expliquer ça un jour avant qu'il ne le decouvre par la force des choses
personnellement j'aurais du mal a lui faire emprunter 4000 euros"
La reflexion est intéressante. Mais tu parles de "travail de cette ampleur"... quelle ampleur ? Qu'est-ce qu'on va faire là dessus ?
Ma question c'est justement avec ce qu'on a, qu'est-ce qu'on fait ?
16/07/2007 à 18h52
LdL Ecrivait:
-------------------------------------------------------> personnellement j'aurais du mal a lui faire
> emprunter 4000 euros"
>
c'est vrai ça dis lui d'emprunter plus.
moi perso je ferais un complet, résultat garanti.
maintenant si t'es joueur tu peux faire un stellite avec attachement.
16/07/2007 à 19h09
En ce qui concerne les mauvaises surprises sur ce type de racine , il est vrai que avant d'avoir pris une fraise boule ou un excavateur il est difficile de juger de la conservation ou non .
Si elles sont a extraire , la il n' y a plus de probleme c'est la complete.
La conservation a outrance chez un patient ds sa situation est a mon avis tout aussi discutable , combien de fois ai-je vu des patienst ds les centres de soins qui trainaient des provisoires en attendant d'avoir les moyens de se faire poser les definitives et ou on finisssait toujours par extraire les dents. Le minimum est de poser des inlay-cores genre faux-moignon , je veux dire par la faisant la limite cervicale a l'aide d'un petit chanfrein metallique. C'est a mon avis ce qui protege le mieux de l'eventuelle reprise de carie et par la suite les retailler pour la prothese definitive.
Mais les bricolages de ce genre conduisent generalement a la cata, ou on fait les choses dans les bonnes conditions ou on ne fait pas .
En fait ton probleme se resout a ça en fonction de la conservation ou non des racines
- je lui fais une prothese complete en extrayant et ds le futur si il a des implants çe sera deux ou 4 de plus .
- ou 4 couronnes et un partiel .
Voila mon opinion .
16/07/2007 à 19h20
HAIG Ecrivait:
------------------------------------------------------
> - je lui fais une prothese complete en extrayant
> et ds le futur si il a des implants çe sera deux
> ou 4 de plus .
sauf que là des implants t'es obligé d'en mettre 2 de chaque coté en posterieur, 4 devant, donc 8 soit pareil que si tu fais un complet avec un pronostic moins bon.
donc moi j'enlève tout.
16/07/2007 à 19h32
Oui tu as raison mais moi j'aime bien avoir le max d'implants possible donc en extrayant les dents j'augmente forcement le nombre d'implants futurs.
16/07/2007 à 20h20
Globalament, il avait effectivement entrepris un bridge. y a au moins une paire d'années. Et c'est de rester en provisoire pendant tout ce temps qui fait qu'il a perdu des piliers.
Hé puis alhoun, j'ai dit "la bande à pas d'sous", pas "de quat'sous"
16/07/2007 à 20h49
pourquoi pas faire un complet telescopé sur les 4 dents, sans gencive vestibulaire?
17/07/2007 à 01h05
Moi je trouve miraculeux que son provisoire tienne comme cela,il doit avoir de la chance!
Un complet l'horreur,et il n'a pas les moyens de faire autre chose,donc reste le bricolage,tout nettoyer garder ce qui peut être conservé eventuellement qq IC remboursés par la secu,et lui recoller son beau provisoire,et le prevenir de faire des economies pour la future prothèse au prochain
descellement!
il sera plus confortable un peu de temps encore avec son vieux provisoire,plutot qu'avec son complet tout neuf,beurk!
17/07/2007 à 11h03
donc, d'après vous, hors la fixée sur implants ou le complet, pas de salut...
17/07/2007 à 11h07
alhoun Ecrivait:
-------------------------------------------------------
> mais il veut saluer ou manger?
Les deux mon capitaine. Surout qu'il mange pas des masses, vu que son bridge prov' se casse la figure tout le temps.
dumaille Ecrivait:
-------------------------------------------------------
> pourquoi pas faire un complet telescopé
Kézako ?
17/07/2007 à 11h57
=> "Kézako ?"
Des couronnes en forme de cône, des contre parties métalliques parfaitement ajustées adhérant comme les cônes morse, toutefois il faut tenir compte de la spécificité des piliers sans résilience et muqueuses avec.
Un rebasage final est indiqué.
Ca tient du tonnerre, même de trop, ton proto doit connaître ses contrariétés.
Doutes concernant le remboursement.
17/07/2007 à 12h20
Rick Ecrivait:
-------------------------------------------------------
> adhérant comme
> les cônes morse,[...] ça tient du tonnerre, même de trop
!! le cône morse est une soudure, je vous le rappelle ! ;-)
Merci de ces précisions Rick !
17/07/2007 à 13h28
lapadoué Ecrivait:
-------------------------------------------------------
> reconstitutions des 4 racines, puis 2 fois 2 ccm
> soudées avec attachements pour tenir un stellite
> ajusté pile poil cela va de soi... pour 4000 euros
> ça devrait aller large,
là on dépasse largement le budget.
17/07/2007 à 13h50
lapadoué Ecrivait:
-------------------------------------------------------
> reconstitutions des 4 racines, puis 2 fois 2 ccm
> soudées avec attachements pour tenir un stellite
> ajusté pile poil cela va de soi...
C'était bien là dessus que j'étais parti. Mais la perspective de tout miser sur les pilier et dans l'idée que si un lache tout est naze, ça e faisait un peu peur.
17/07/2007 à 14h55
oui, mais mac ne travaille pas juste pour ne pas être perdant.
moi non plus d'ailleurs.
le type était banquier, il est devenu saltimbanque, et c'est à moi d'assumer son choix?
Ldl, tu n'es qu'un enfoiré si tu lui fais pas gratos.
17/07/2007 à 15h02
Si seulement j'étais un enfoiré, je danserais une fois par an avec Lorie...
Un jour il m'a ammené des photos de lui en spectacle...
...
Certaines personnes ont des vies... bizarres... ;-)
17/07/2007 à 15h14
Vous avez quoi avec le chiffre 4 ? j'ai 5 piliers en haut (15 13 23 24 25).
17/07/2007 à 15h24
=> !! le cône morse est une soudure, je vous le rappelle ! ;-)
De tête l'angulation courante est de 3°, ta phrase m'interpellant je suis allé aux infos: http://www.codeart.org/technique/divers/Vitesse_de_forage/cone%20morse_fr.htm
Dans l'industrie 7 diamètres sont codifiés, je crois pouvoir dire que les télescopes pour l'adjointe relèvent un peu du pif, dont je relève entre autres paramètres, longueur du cône, angulation, nombre de piliers.
De mémoire les soucis:
PAT inf. 4 télescopes dans les règles de l'art (konator) le patient allait au cab pour faire enlever la totale à l'arrache couronne.
Et encore pour une grande dame ;) (prof, pour illustration de livre de prothése) années 78 essais télescopes sur PPAM la croix et la bannière pour régler une friction acceptable pour désinsertion et ajustage (sans faille ;) de l'entretoise palatine.
Avis perso, inférieur à 3° la friction est trop importante (relatif, je tiens compte d'une longueur de couronne normale), mais peut être atténué en raccourcissant la longueur de l'emmanchement, (irreversible).
17/07/2007 à 22h09
Un cahier des charges comme ca il la pousse loin quand meme...
Je penche comme les autres=> complet stabilisé par des attachements cones morses, attachements intraradiculaires.
Normalement ca devrait rentrer dans le budget
Maintenant j espere pour lui qu il ne chante pas et quil ne grimace pas trop :)
Un autre gros problème avec ce traitement => la temporisation pendant les spectacles