Cookie Consent byPrivacyPolicies.compour alhoun et d'autres qui veulent bien répondre - Eugenol

pour alhoun et d'autres qui veulent bien répondre

Image odged8 - Eugenol
ploc

18/07/2007 à 16h49

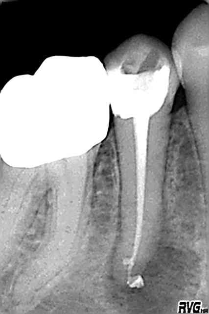
patiente en urgence la semaine dernière
douleurs sur 45 traitée en 2004 (à peu près correctement je trouvais mais sans digue et probablement pas assez hypoclorisée)
c'est pas tant le pb en dehors que cela apporte une pierre à l'edifice diguois

ttt repris ce jour(inutile de s'extasier ou critiquer,c'est une reprise lambda)

une phrase d'alhoun m'interpelle: il me semble que tu as dis que "tu enchainais directement sur la prothèse celle- ci participant à la cicatrisation"(citation à peu près)
pourquoi?
mon principe de prudence est de revoir à 1 mois,à 3 mois et de faire la couronne ensuite(souvent il y a une prov d'attente)
c'est con?(le patient disparaissant assez svt sans faire la cour,sur ce plan là oui!)
mais pratiquement,avantages et inconvenients de terminer en suivant?,ce qui m'arrangerait le plus souvent..

45 broche en place jdrvuc - Eugenol
Obturation ljyruh - Eugenol

Logo vuaztn - Eugenol
mac

18/07/2007 à 16h57

ploc Ecrivait:
------------------------------------------------------
> mais pratiquement,avantages et inconvenients de
> terminer en suivant?,ce qui m'arrangerait le plus
> souvent..


avantages : tu fais la couronne.

inconvénients : si tu perds la dent tu fais un avoir pour un implant.

si je suis "sûr" de mon endo, je prends l'empreinte le jour même.


Image odged8 - Eugenol
ploc

18/07/2007 à 17h03

moi aussi maintenant que je bosse sous digue et en rotation continue
mais là il y a image apicale
tu pars du pcpe qu'il y aura cicatrisation à 100%?

ma question est sans doute mal posée
y a t'il des arguments scientifiques(clastes,blastes ou je ne sais quoi) disant qu'immanquablement si tout est bien fait comme il faut lors d'une reprise de traitement,l'image apicale va régresser?


Logo vuaztn - Eugenol
mac

18/07/2007 à 17h25

ploc Ecrivait:
-------------------------------------------------------
> moi aussi maintenant que je bosse sous digue et en
> rotation continue
> mais là il y a image apicale
> tu pars du pcpe qu'il y aura cicatrisation à
> 100%?


non je pars du principe que t'as plus de chance de perdre la dent parce qu'elle est restée plusieurs mois ou années sous provisoire (ou sans ) que à cause du problème endo.


> ma question est sans doute mal posée
> y a t'il des arguments
> scientifiques(clastes,blastes ou je ne sais quoi)
> disant qu'immanquablement si tout est bien fait
> comme il faut lors d'une reprise de
> traitement,l'image apicale va régresser?


t'as des études, mais aucune n'arrive à 100 % de réussite.


Images qct94b - Eugenol
themumbly

18/07/2007 à 17h39

il faut le voir de manière encore plus simpliste;

t'as refait l'endo c'est à dire l'acte le plus compliqué et le plus important,donc:

soit tu prends l'empreinte et tu termines ( 15 minutes de plus ). si ça marche t'es le roi, si ça marche pas c'est implant ou bridge


soit tu temporises, tu te fais chier à faire une provisoire ( correcte ). si ça marche t'es bon pour reprendre une empreinte, en espérant qu'il n'y ait pas eu d'infiltration, de casse etc et t'es aussi le roi; si ça marche pas c'est implant ou bridge


donc autant aller au plus rapide



Avatar transparent iqadnc - Eugenol
adhoc

18/07/2007 à 17h40

Comme tu as déjà dit,ma ploc, la célèbre formule "ca se saurait". Réveil du loup dans la bergerie ou silence radio quelque soit ton bon retraitement? Boule de cristal et savoir faire ne sont ils pas les deux faces agonistes du boulot?


Audi tt 2007 jzsdts - Eugenol
sbire

18/07/2007 à 18h20

dans ce ceas, je fais empreinte pour inlaycore ou reconstitution directe et je mets en place une provisoire. rendez vous suivant, empreinte pour définitive si ok.

Pour des raisons d'étanchéité coronaire.


Marque a3 orange fyvhyq - Eugenol
Marc Apap

18/07/2007 à 18h38

Le consensus aujourd'hui est de dire que si l'on est sûr de son endo (pourquoi ne pas en être sûr, cela voudrait dire qu'on n'a pas fait le max la première fois) on doit aller le plus vite possible pour la suite définitive afin d'éviter une recontamination du canal.
Si on n'est pas sûr, ça ne sert à rien d'attendre: on extrait et on passe à autre chose. Si on est sûr du traitement (cad qu'on ne peux plus faire mieux) et que la racine est sauvable, on s'autorise la résection apical (voie rétrograde comme ils disent) en cas de non guérison


Stéphane

18/07/2007 à 19h53

En resume Ploc,

Si tu peux faire mieux, fais le de suite. Si tu ne peux pas, tu nele pourras pas non plus dans 6 mois.

L'etancheite coronaire participe pour une grande part a la cicatrisatione t surtout comme l'a laisse entendre Alhoun, la remise en fonction de la dent participe a la cicatrisation osseuse.

maintenant, l'Inlay core, c'est pas oobligatoire, s'il n'y en a pas besoin. une simple reconstitution collee suffit parfois, et le tenon est a mon avis utilise de facon excessive en france (a priori ca rassure...)

En cas d'echec quelles seront les solutions ? Chirurgie apicale ou extraction. est ce que la couronne genera pour l'une ou l'autre situation ? absolumment pas.

Donc si une couronne est necessaire (ca, ce'st un autre probleme), il est preferable de la faire de suite. mais la urveillance et le rappel du patient, c'est uneobligation morale a mes yeux.
Et pis tu verras que finalement, la chirurgie endodontique, on en fait de moins en moins, quoique l'on en dise !


alhoun

18/07/2007 à 20h12

merci stéphane, c'est exactement mon sentiment, vérifié presque systématiquement.
je ne suis pas submergé par des articles d'endo, mais tout ça me semble être le bon sens même.
allez ploc, on rappelle tout le monde :)


Image odged8 - Eugenol
ploc

18/07/2007 à 20h51


pfuiiiittt!
coucouche panier,papattes en rond

j'ai eu réponse
merci à ts ceux qui m'ont expliqué et convaincu
d'ailleurs au sujet du tenon, stephane m'avait déjà convaincu:),j'en mets de moins en moins
et je m'en vas faire cette couronne ilico
comme c'est grâvce à vous que ce sera aussi rapide,RV pr apéro offert par ladite couronne en septembre


200106 10150128247663588 709988587 6466236 5598391 n d7mksb - Eugenol
hallboy

18/07/2007 à 21h19

Enfer!!! J'arrive trop tard. De toute façon je dois des coups à boire à la moitié du Forum.


024 vownvo - Eugenol
annie

18/07/2007 à 21h50

Quand il y a un si gros doute et si les compos sur dents dévitalisées sont tellement bien ,pourquoi si les conditions le permettent ne pas faire un compo dans l'attente de la guérison?


alhoun

18/07/2007 à 21h58

Stéphane Ecrivait:
- une simple
> reconstitution collee suffit parfois,








annie, tu lis les messages au moins?


Img 1392 s73srk - Eugenol
Guttaman

18/07/2007 à 21h58

parce qu'une molaire ou prémolaire dévitalisée à 5 à 6 fois plus de risque de se fracturer...ce serait con de perdre la dent après une belle reprise de traitelent endo...


Stéphane

18/07/2007 à 22h11

Guttaman Wrote:
-------------------------------------------------------
> parce qu'une molaire ou prémolaire dévitalisée à 5
> à 6 fois plus de risque de se fracturer...ce
> serait con de perdre la dent après une belle
> reprise de traitelent endo...

Ce sont les bruits qui courrent. mais maintenant, ca m'interesserati sincerement d'avoir les references bibliographiques de tout cela.

Quelqu'un l'a dit il n'y a pas longtemps. ce n'est pas la depulpation de la dent qui la fragilise le plus (meme si l'on peut discuter de l'hydratiation, module d'elasticite, etc...), mais bien la perte de substance qui a engendree la depulpation.

et moi ce qui me fascine de plus en plus c'est de voir le nombre de traitements endodontiques qui se font tous les jours en france, et le nombre qui se fqit en grqnde Bretqgne ou les inlqys onlqys, et couronnes sur dent vivante ont bien meilleure presse.

alors oui on peut dire aue les anglais ne font rien comme les autres, et que c'est nul, etc, etc...

Moi ca me fait reflechir.

Pour le cas de Ploc : la radio ne nous donne aucune incfrmation sur le delabrement coronaire. Alors couronne ou non, elle est la seule a savoir si elle est justifiee ou non.

une derniere refleion que je me fais de plus en plus :
c'est marrant en fait comme tout est "drive" par un probleme d'argent (je ne blame pas, je constate et surtout je compatis...). On a peur de faire une couronne a un patient, parce qu'on lui demande de l'argent pour le faire, et que parce qu'il a paye, il a le droit de se plaindre, et ce dont on a peur.

la vraie question a se poser, c'est :"si les soins etaient remuneres a une valeur decente, est ce que l'on couronnerait toutes les dents depulpees ? et est ce que l'on depulperait autant de dents que l'on ne le fait aujourd'hui ?

ca c'est une vrai question de sante publique. en attendant, on peut toujorus penser que carie dit trqitement endo, dit couronne ...

Ne pas voir de malice dans ce message. J'ai exerce en liberal en france pendant 12 ans et connais tres bienles problemes et je vois surtout le peu de solutons qui s'offrent grace aux representants syndicaux et autres auto-proclames scientifiques et sqchqnt tout sur tout, et notqmment l'ethique.
encore une fois, je compqtis, mqis je me demqnde si des fois, on ne se cherche pqs des excuses pour se donner bonne consccience !


alhoun

18/07/2007 à 22h43

comme nous tous, stéphane, tu l'a dans le q.


Amibien

18/07/2007 à 22h47

Une dent dévitalisée réclame couronne, point barre !


024 vownvo - Eugenol
annie

18/07/2007 à 23h08

alhoun Ecrivait:
-------------------------------------------------------
> Stéphane Ecrivait:
> - une simple
> > reconstitution collee suffit parfois,
>
>
>
>
>
>
>
>
> annie, tu lis les messages au moins?

oui,mais qqfs je dois aller trop vite! ou regarder en téléphonant!
Parce que les compos collés étaient mis,apres
"l'inlay core n'est pas toujours...
une simple reconstitution collée suffit", j'ai compris pour la reconstitution sous la couronne!
il n'etait pas dit la "couronne n'est pas toujours...
ça n'a pas fait tilt ! on pouvait le prendre dans les deux sens




024 vownvo - Eugenol
annie

18/07/2007 à 23h15

Amibien Ecrivait:
-------------------------------------------------------
> Une dent dévitalisée réclame couronne, point barre
> !

Amibien,attention! pour avoir dit à peu pres la même chose,je ne te raconte pas.........!



Img 1392 s73srk - Eugenol
Guttaman

18/07/2007 à 23h37

Stéphane, ne penses-tu pas que certains confrères couronnes des dents "vivantes" sans faire de tests pour évaluer le statut endodontique de la dent concernée et se retrouvent in fine à couronner une dent nécrosée asymptomatique ?

Pour ce qui est de couronner une dent vivante, j'ai retrouvé la trace de l'étude de Felton que tu cites dans ton cours de CES, dans le pathways of the pulp où il est dit qu'une dent traitée avec une recontruction et une couronne a 30 foi plus de risque de se nécroser qu'une dent non restaurée (Fleton 1989). Certes, une dent non restaurée ne se nécrose pas tous les matins, alors 30 fois plus de risque de pas grand chose ça reste minime (sans doute les 13% cités).

Après, dans ce même livre il est dit q'une large étude clinique a permis de mettre en évidence qu'une couronne permettait de diminuer significativement le risque de fracture (mais pas sur les dents antérieures). Je sais très bien que ce que j'écris, tu le sais...je me demande si la malice dont tu te défends n'est pas réelle !
Enfin, ça lance le débat et la réflexion ma foi...


Grueavatar nptrc9 - Eugenol
Le Choixpeau magique

18/07/2007 à 23h49

Guttaman Ecrivait:
-------------------------------------------------------
> Après, dans ce même livre il est dit q'une large
> étude clinique a permis de mettre en évidence
> qu'une couronne permettait de diminuer
> significativement le risque de fracture (mais pas
> sur les dents antérieures)


... et une extraction réduit très significativement les risques de pulpite...


Img 1392 s73srk - Eugenol
Guttaman

18/07/2007 à 23h52

Je ne vois pas trop le rapport...ici, on a une dent traitée endodontiquement et on a deux philosphies de restauration...pour péreniser la dent.
L'extraction n'est que la solution à l'échec d'une des deux philosophies cités plus haut.


Grueavatar nptrc9 - Eugenol
Le Choixpeau magique

18/07/2007 à 23h59

Bah c'est un peu comme si tu me disais: on a constaté que les patients à qui on a réalisé un platre entier de la jambe ont beaucoup moins de risque que ceux qui n'en ont pas de se péter un ligament croisé. Encore heureux !
Tu nous indiquerait que les couronnes augmentent les risques de fracture, il y aurait de quoi flipper...


tyr

19/07/2007 à 00h07

Demain nous nous retrouvons face à une dent indemne de toute carie mais nécrosée depuis des lustres.

Va-t-on se précipiter à voler à son secours en la ...couronnant ?