Cookie Consent byPrivacyPolicies.compatients je vous aime - Eugenol

patients je vous aime

dt

18/07/2007 à 19h19

Bonjour,
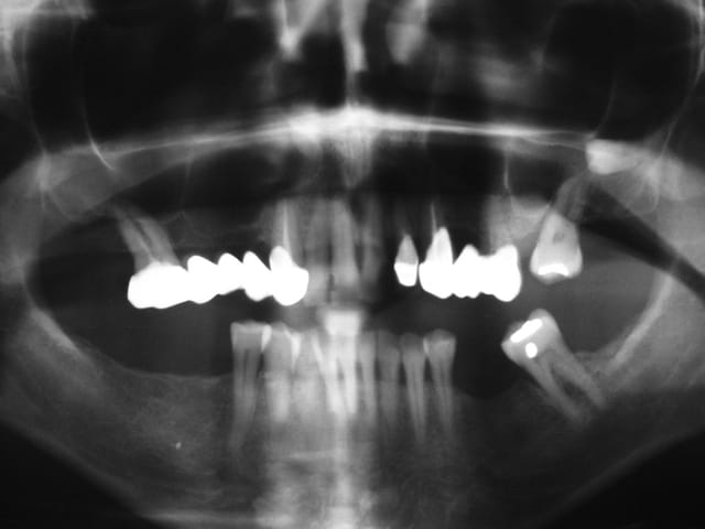
Patient qui tel, j’ai très mal sous le bridge que vous m’avais posé (23 24 25 en 2004, après dépose d’un bridge pour raison esthétique). Faut me voire aujourd’hui (lundi), elle arrive avec scanner des sinus fait en 2005, suite à des sinusites. Compte rendu du Radiologue, présence d'apex et d'Ag dans le sinus gauche, et que l’on peut rien faire et lui dit qu'au USA on fait des procès pour ça.
Je lui demande de me faire une pano, je cherche toujours les apex et les amalgames, par contre sans trop m’avancer je dirais qu’il y a la présence d’une dent, voir même d’une 28…..(que j’avais remarqué sur le scanner).
Pour la dl, Bridge RAS, par contre la 22 ! Et là elle me dit, c’est quand vous avait posé votre bridge. Et la marmotte…
Restons Zen, les prochains de la journée sont sympas (heureusement)

Pano rd7x1h - Eugenol
G22 fujbon - Eugenol

Cuisinier2 vnbbxx - Eugenol
jeff2

18/07/2007 à 19h25

le compte rendu du radiologue est par ecrit?
Par ce que si c'est le cas, il peut changer de metier
radio merdique, mais c'est peut etre la photo (toujours maintenant demander aux radiologues un support CD, ca les emmerde mais ils n'ont qu'à s'équiper, faut pas oublier que dans la fourchette des revenus medicaux , ils sont aux sommets
Non, mais!!


Images qct94b - Eugenol
themumbly

18/07/2007 à 19h37

quand on a une bouche dans cet état on la ferme


Utilisateur banni

18/07/2007 à 19h40

Ne pas hésiter à téléphoner au radiologue pour mettre les choses au points... Y'en a qui sont déja pas capable de faire la différence entr'un kyste et trou mentonnier...


jeanphy

18/07/2007 à 20h26

Ben non, aux USA, on fait pas des procès pour ça... à moins qu'on veuille donner encore pluss d'argent au dentiste et aux avocats.


dt

18/07/2007 à 20h28

La seule erreur que j’ai faite, je crois, hormis le fait de lui demande (gentiment..)d’aller voir un confrère pour la 22 ( trop peur d’aller rejoindre les infirmières bulgares), c’est de faire une photocopie du compte rendu radio …


Utilisateur banni

18/07/2007 à 20h55

C'est pas une erreur de faire une photocop, fait péter qu'on se marre...


dt

18/07/2007 à 21h10

Non désolé, ma trompé, je voulais dire « de ne PAS avoir fait de photcop », mais je jure que j’ai lu « présence d’apex et d’amalgames » Donc VRAIMENT une erreur


Avatar transparent iqadnc - Eugenol
adhoc

18/07/2007 à 21h23

Tu aurais du scanner cette anthologie. Collector. Pffffffffui.


Utilisateur banni

18/07/2007 à 21h37

Alors là, vraiment...


Amibien

18/07/2007 à 22h43

Pourquoi dt n'a t'il pas traité TOUTE la bouche en 2004 ?


dt

18/07/2007 à 23h29

Si j’avais traité toute la bouche, probablement qu’aujourd’hui je serais en prison, car pour elle mauvais travaille, je cherche à faire du pognon et je suis certainement incompétent. Alors que bien sur en 2004, plan traitement pour expliquer son état dentaire etc… Mais Patiente modeste, moyens limités, peur du dentiste, ville du sud-est ( !!!). Mais pour moi le problème n’est pas là, ce sont des gens influençables, si un autre pro lui dit qu’une erreur a était faite, je me met à ça place (intellectuellement), qui croire, le dentiste du coin plein de pognon ou le radiologue avec un beau scanner pour une sinusite d’origine dentaire que l’on ne peut pas traiter ? Au faite sa sinusite va mieux plus qu’un rhume….


024 vownvo - Eugenol
annie

18/07/2007 à 23h41

dt Ecrivait:
-------------------------------------------------------
> La seule erreur que j’ai faite, je crois, hormis
> le fait de lui demande (gentiment..)d’aller voir
> un confrère pour la 22 ( trop peur d’aller
> rejoindre les infirmières bulgares), c’est de
> faire une photocopie du compte rendu radio …

Si tu la revois demande le lui,ou telephone lui pour lui demander,un pretexte quelconque ,demander l'avis d'un confrère par ex!



dt

19/07/2007 à 00h04

C’est prévu pour demain, mais l’intérêt est juste pour moi et pour vous (pour pas que vous pensiez que je dis n’importe quoi ), sinon pour elle ça ne change rien


024 vownvo - Eugenol
annie

19/07/2007 à 00h24

dt Ecrivait:
-------------------------------------------------------
> C’est prévu pour demain, mais l’intérêt est juste
> pour moi et pour vous (pour pas que vous pensiez
> que je dis n’importe quoi ), sinon pour elle ça ne
> change rien

Surtout pour toi,tu auras une preuve de ce qu'elle te reproche,avant qu'elle ne change d'avis et qu'elle trouve un autre motif plus difficile à
justifier pour toi!
Avec ce papier ,n'importe quel dentiste expert,commencera par rigoler!



Bjorn

19/07/2007 à 00h52

Nt, t'es français?


canard59

19/07/2007 à 00h55

Bjorn Ecrivait:
-------------------------------------------------------
> Nt, t'es français?


T'as trouvé ça tout seul Bjorn ?


dt

19/07/2007 à 01h01

Annie, c’est gentil de ta part, mais moi je n’ai rien fait sur ce cas, sauf démonté un bridge pour en refaire un autre, certes je n’ai pas fait de reprise de ttr endo, dents asymptomatiques. Mais le pb n’est pas là. ..


dt

19/07/2007 à 01h03

Bjorn Ecrivait:
-------------------------------------------------------
> Nt, t'es français?


Ou dt et toi..


lamaline

19/07/2007 à 01h04

je piges pas? pourquoi tu lui traites pas sa 22, elle ira mieux et tu deviens son héros. fait retourner la situation à TON avantage. pour le radiologue, tu réponds " chacun son métier madame,lui est photographe, moi je suis dentiste" et après tu l'embrouilles "je suis très préoccupé par votre état mais je pense avoir trouvé votre pble" blablabla...


dt

19/07/2007 à 01h09

lamaline Ecrivait:
-------------------------------------------------------
> je piges pas? pourquoi tu lui traites pas sa 22,
> elle ira mieux et tu deviens son héros. fait
> retourner la situation à TON avantage. pour le
> radiologue, tu réponds " chacun son métier
> madame,lui est photographe, moi je suis dentiste"
> et après tu l'embrouilles "je suis très préoccupé
> par votre état mais je pense avoir trouvé votre
> pble" blablabla...


Sympas ton histoire de photographe, pour la 22 elle persuadé que c’est à cause de mon bridge, alors…


lamaline

19/07/2007 à 01h14

alors, tu dis " ok, tentons le coup. je vous assure que la 22 n'a rien à voir avec le bdge mais que la douleur vient de 22. si je traite 22, vous irez mieux"blablabla tu l'embrouilles. le but , c'est d'avoir raison et de lui montrer que tu lui as fait du bien. donc redorrer ton blason à ses yeux.
maintenant, si c'est une c...e qui veut rien comprendre, et qui te parle de procès à tout bout de champ, tu ricanes et tu lui dis à bientôt. " votre cas me préoccupe, je vais cherhcer dans mes bouquins, je vous rapellerais"


dt

19/07/2007 à 01h25

lamaline Ecrivait:
-------------------------------------------------------
> alors, tu dis " ok, tentons le coup. je vous
> assure que la 22 n'a rien à voir avec le bdge mais
> que la douleur vient de 22. si je traite 22, vous
> irez mieux"blablabla tu l'embrouilles. le but ,
> c'est d'avoir raison et de lui montrer que tu lui
> as fait du bien. donc redorrer ton blason à ses
> yeux.
> maintenant, si c'est une c...e qui veut rien
> comprendre, et qui te parle de procès à tout bout
> de champ, tu ricanes et tu lui dis à bientôt. "
> votre cas me préoccupe, je vais cherhcer dans mes
> bouquins, je vous rapellerais"

Exact, trop persuadé que je suis nul et avide, mais pour la 22 c’est ma faute pour elle , donc je ne veux même pas la toucher, ATB il y a une semaine et elle va mieux, mais elle me dit que elle va avoir bcq de choses à faire la semaine prochaine (….).


lamaline

19/07/2007 à 01h28

assied toi au bord de la rivière et tu verras passer son corps...

(recopie pas à chaque fois le message précédent, ça énerve le modo. et après, il te zappe. )

moi, ce que j'en dis...


024 vownvo - Eugenol
annie

19/07/2007 à 01h33

dt Ecrivait:
-------------------------------------------------------
> Annie, c’est gentil de ta part, mais moi je n’ai
> rien fait sur ce cas, sauf démonté un bridge pour
> en refaire un autre, certes je n’ai pas fait de
> reprise de ttr endo, dents asymptomatiques. Mais
> le pb n’est pas là. ..


Ne vois rien qui me ferait dire que tu as quelque chose à te reprocher,tu presentes le cas d'une patiente à l'allure procèdurière,et dans ce cas il est preférable de mettre toutes les pièces qui te seraient favorables dans un dossier au cas ou!
ça partait d'un bon sentiment!



12