Cookie Consent byPrivacyPolicies.comcontention après trauma - Eugenol

contention après trauma

avulsion

19/07/2007 à 13h12

dans le cadre d'un trauma avec expulsion dentaire, quel type de contention réalisez vous après réimplantation? merci de détailler le protocole


1 eugenol dmj5np - Eugenol
Dancha

19/07/2007 à 16h17

Quelque chose comme cela, qui doit rester souple. Fil fin en alliage nickel-titane et collage résine ou composite.

Daniel

Trauma zjgnsl - Eugenol

Image odged8 - Eugenol
ploc

19/07/2007 à 18h31

dent mature:
-tps hors alvéole inférieur à 1 H
contention semi-rigide de 1 à 2 semaines
6 semaines à 8 semaines(en cas de fracture alveolaire)
ttt ds les 7 à 10 jours suivant la réimplantation par Caoh
classique par la suite

-tps hors alveole supérieur à 1h
ttt fait en extra oral avant la réimplantation
contention semi-rigide(rigides proscrites car favorisent l'ankylose)


si dent immature on peut esperer une revascularisation
contention idem


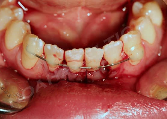
pr la contention le fil odf est très bien + compos
voir photo post au dessus

simple remarque:savez vous qu'il existe qqes bouquins (rares) très bien faits sur pedo et trauma
autour d'une tasse de thé ou d'une tisane,le soir,à la chandelle...


avulsion

19/07/2007 à 19h58

merci pour la photo, c'est beaucoup plus claire maintenant!
je connaisais le protocole en fonction du temps exta-alvéolaire mais la contention "semi-rigide" était plus floue dans mon esprit.
Une dernière question: quelle cotation?


Image odged8 - Eugenol
ploc

19/07/2007 à 20h17

c'est là que cela se corse...


1 eugenol dmj5np - Eugenol
Dancha

19/07/2007 à 21h51

Sc40, par assimilation à une attelle (information donnée récemment par un praticien-conseil SS)
En principe soumis à entente préalable, noter « fait en urgence ».

Daniel


Avatar transparent iqadnc - Eugenol
adhoc

20/07/2007 à 01h41

J'ai peur que ca soir SC8, mon dancha. La sc40 fait appel a une technique de contention coulée.
Mais , en effet, la différence vient du DC qu'il vaut mieux contacter.


Image odged8 - Eugenol
ploc

20/07/2007 à 01h50

c'est ce que je disais (avec mon manque de délicatesse répertoriée)
-patient en urgence,
-un contexte de stress, parent et enfant confondus, -annulation d'un ou 2 RV à suivre parceque tant qu'à le prendre autant que ce soit ds un délai minimum...
pr SC 40
conscience professionnelle qd tu nous tiens!


Image odged8 - Eugenol
ploc

20/07/2007 à 01h53

non,adhoc pas de pb avec le SC 40
autant que je sache et fasse


idou

22/07/2007 à 22h55

Dancha Ecrivait:
-------------------------------------------------------

> Fil fin en alliage nickel-titane et collage résine
> ou composite.

Idem avec de la fibre de kevlar.



Image odged8 - Eugenol
ploc

22/07/2007 à 23h35

plus délicat à positionner
plus cher


1 eugenol dmj5np - Eugenol
Dancha

23/07/2007 à 12h51

pas assez souple.


Image odged8 - Eugenol
ploc

23/07/2007 à 18h17


les ligatures en 8 ou en echelle ainsi que les plaques metalliques ligaturées st rigides et proscrites

les ligatures souples sont:
-fil de pêche(jamais essayé bien que pécheuse)
c'est pr hallboy...

les semi rigides:
- compo seul
ou
- compo +
.kevlar
.metallique(splint-grid)
.orthodontique


l'avantage du fil nickel-titane est sa mémoire de forme qui va permettre de corriger une eventuelle sous-estimation ds le repositionnement et laisser la dent se remettre ds sa position physiologique initiale

je suis d'accord avec daniel pr dire que c'est mieux(si,si tu as bien lu) mais tout le monde n'a pas de fil odf nickel titane ds ses tiroirs et l'adresser= perte de temps et de chances
les matériaux autres cités st aussi "selon les données acquises de la science"




Christophe13

30/07/2009 à 21h26

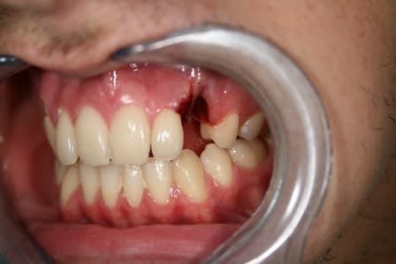
Patient de 20 ans venu en Urg cette après midi:
dent perdue temps moins de 2h
Suite à appel gardée en bouche
Bio réalisée dans une compresse stérile
Réimplantation après rinçage alvéole sérum Phy
Contention au Ribbond + compo , pas facile quand çà saigne
AB pendant 6 jours + Chx.
J'ai juste un doute en ce qui concerne l'hypochlorite , je ne m'en suis pas servi pour rincer le canal de peur de finir d'achever les quelques fibroblastes présents sur le cément du coup j'ai rincer le canal au sérum phy.

désolé pour l'ordre des photos

22  1  sroawn - Eugenol
22 vnlvpy - Eugenol
11 s0erpt - Eugenol
21 xbun5i - Eugenol

belette

30/07/2009 à 23h36

Comment il a fait pour ne perdre que cette dent aussi proprement ?
Joli ttt de racine ! Nickel la réimplantation.(avec AL ?)
Belle intervention d'urgence.
--
^ ... ^
Ô"""Ô
= o =... Tu mérites le pseudo de Christophe"23" !!


19066 1223810679128 1344811835 30546764 2261510 n medium ozxaxj - Eugenol
vitalic

31/07/2009 à 00h17

bravo
chuis d'accord avec ma congénère belette, pour le pseudo, tu le mérites vraiment...


Img 8465 fqhxid - Eugenol
noahaxeltiger-olivier

31/07/2009 à 00h31

ploc écrivait:
--------------
> pr la contention le fil odf est très bien + compos

+1

Initial kardre - Eugenol
Repositionnement ka36ok - Eugenol
Rx repositionnement qraein - Eugenol
Cicatrisation  6 mois srowhm - Eugenol

 mg 0207 xwjxcl - Eugenol
Tillc

14/08/2009 à 00h20

Personne pour demander a Olivier si il a posé la digue pour faire son collage ?
Vous mollissez ou quoi les mecs?