Cookie Consent byPrivacyPolicies.comUn cas pour faire bisquer Dancha - Eugenol

Un cas pour faire bisquer Dancha

bjc

21/08/2007 à 19h54

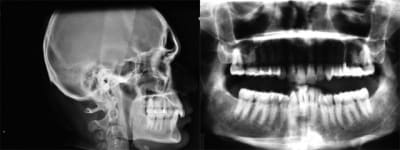
Départ



Depart 1 pohixz - Eugenol

bjc

21/08/2007 à 19h56

Actuellement

et
je pense que dans 6 mois, j’aurai fini les dernières corrections

Actuellement 2 dilnlk - Eugenol

1 eugenol dmj5np - Eugenol
Dancha

21/08/2007 à 20h44

Mon bon bjc,
Peux-tu nous expliquer l’intérêt de montrer ce cas ?
On ne voit que de l’alignement, toujours de l’alignement, encore de l’alignement.
L’alignement, c’est facile, tout le monde sait faire.
Il n’y a même pas de diagnostic initial ni de plan de traitement… rien que de l’alignement..

Et il serait bon que tu lises de temps en temps pour ne pas paraître idiot quand tu te moques bêtement..
Ce terme d’orthognathodontie est un terme officiel reconnu. Le « nouveau dictionnaire des termes d’orthognathodontie » a été publié en avril de cette année sous l’égide de la Société Française d’Orthopédie Dento-Faciale. Tu tapes « orthognathodontie » sur google et tu as même la page ci-jointe..

Daniel

P .S. Pourquoi ne réponds-tu pas à Spriford ?
Tu veux vraiment que je le fasse à ta place ?

Orthognathodontie a8nspu - Eugenol

Image odged8 - Eugenol
ploc

21/08/2007 à 21h03

daniel,
je veux bien que le but de l'odf ne soit pas aligner et mettre en occlusion stable et confortable le patient mais alors qu'est ce que c'est?
plutôt que vos critiques reciproques qui commencent à fatiguer le public,inversons les rôles
ds le cas de depart de bjc,avec demande d'un patient adulte qui se sent mal (fonctionnel plus qu'esthetique?),
que fais tu? quel but poursuivras tu?
et quel resultat vas tu penser pouvoir obtenir?
comment,pourquoi?


200106 10150128247663588 709988587 6466236 5598391 n d7mksb - Eugenol
hallboy

21/08/2007 à 21h15

merci pour eux.


1 eugenol dmj5np - Eugenol
Dancha

21/08/2007 à 21h17

Bien sûr que je fais de l’alignement. Mais je ne le publie pas comme il l’a fait sur « eugénol », car il me semble relativement banal. C’est tout.


Image odged8 - Eugenol
ploc

21/08/2007 à 21h27

c'est un banal qui me parait plus constructif et reproductible pr ceux qui hésitent à l'odf adulte(encore que l'odf adulte paraiise plus dif à stabiliser que sur enfant) que le cas de l'haubannée ,beau spectacle de jeu du cirque mais avec un resultat à court terme puis qu'elle va devoir passer à autre chose après ce stade intermédiaire
tu en es où à propos ou plutôt elle?
recup endo? implants? débaguée?


bjc

21/08/2007 à 21h33

C’est vrai ça, montre nous tes cas banaux ?

si tu ne vois dans ce cas que de l’alignement
retourne regarder

P.S. : j’adore ta mauvaise foi


bjc

21/08/2007 à 22h22

Parmi ceux qui viennent dans la rubrique
Il y a ceux qui ne sont pas ortho,
mais qui viennent pour voir ce qui est faisable
ceux là, je ne vais pas les embèter avec notre charabia, les Rx. etc…


et qq. orthos, peu nombreux
ceux là sont, théoriquement, capable de reconnaître les Pbs.
et s’ils sont intéressés ils posent des questions
ou demandent des documents
je ferai de mon mieux pour les satisfaire


kri

21/08/2007 à 22h29

Pour BJC merci de ce cas moi j'y vois une chose en plus que de l'alignement c la correction de la supra, ce qui m'interresserait au plus haut point ca serait d'avoir une tele avant et apres pour comparer les plans d'occlusion. N'y vois aucune agression, ni critique dans cette demande.

A ta derniere remarque j'en ai deja pose un paquets de question auquelles tu n'a pas repondues...


bjc

22/08/2007 à 00h17

l'alignement, nivellement
correction de la supra,
modification des formes d’arcades
réalignement des points interincisifs
etc… …

modification du visage (plus détendu)

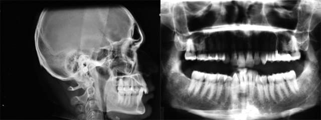
je t’envoie les Rx. avant


bjc

22/08/2007 à 00h50

Rx.

Rx - Eugenol

bjc

22/08/2007 à 04h23

"le cas de l'haubannée ,
beau spectacle de jeu du cirque mais avec un resultat à court terme puis qu'elle va devoir passer à autre chose après ce stade intermédiaire
tu en es où à propos ou plutôt elle?
recup endo? implants? débaguée?"

il y a un moine en jeu :))


bjc

22/08/2007 à 13h22

Revenons à ton plan d’occlusion
j’ai demandé à mon patient de faire des Rx.
qu’est-ce que tu aimerai voir (ou ne pas voir)
qu’est ce qui te dérangerai à propos de ce plan d’occlusion ?
qu’il soit modifié ?
pourquoi pas, je n’en sais rien
ce que je sais c’est que mon patient n’avait pas de Pb. ATM. en arrivant
(malgré le blocage Inc.)
et qu’il n’en a toujours pas
c’est donc qu’il était dans son seuil de tolérance
s’il n’a pas bougé, est-ce une bonne chose ?
peut on dire qu’un plan d’occlusion, dans un tel cas de recouvrement, est bon
et qu’il faudrait le conserver
ou alors, qu’il faudrait le modifier ?
untel va te dire : il faut ingresser les Inc. Inf.
un autre que c’est dangereux, et qu’il faut égresser le secteur postérieur
chaque cas est différent, et répondra différemment
ils auront tous raison,
mais pour l’instant, personne ne sait le prévoir

Par exemple, à ton avis, dans ce cas,
qu’est-ce qu’on va voir ?

quelque soit le résultat de la Rx. il sera intéressant de comparer les modèles en plâtre de début et fin de ttt.


@+ Bjc.

Supracclusion 1 a3z7uj - Eugenol

bjc

22/08/2007 à 14h56

oui, c'est le cas au départ
interresting ?

Ceux qui veulent faire un simple alignement dans ce cas
ont du souci à se faire
même avec des extractions !


bjc

23/08/2007 à 13h28

les dogmes

tout ce qu’on a appris est tiré d’analyse de cas idéaux
60 cas qui n’ont jamais eu de ttt. ODF.

et nous on travaille sur des cas à Pbs.,
donc on peut se poser la question :
les normes des cas parfaits sont elles valables pour les cas à Pbs.
et
est-ce les plus gros décalages par rapport à ces normes
qui sont responsables des désordres que nous rencontrons

déplacer une dent, c’est facile
mais qu’elle reste là ou on l’a mise (avec de l’os autours)
c’est autre chose
s’il y a récidive, c’est que les reconstructions que nous avons décidé
d’après ces fameuses normes céphalométriques et autres,
ne conviennent pas toujours

@+ kri
Bjc.


Richmond

23/08/2007 à 16h35

Vous dites que l’analyse de 60 cas idéaux aurait défini toutes les mesures que nous utilisons.
Pardonnez-moi, mais ce n’est pas que j’ai appris.
D’où tenez-vous ces informations ?
Pouvez-vous nous en dire plus ?


bjc

23/08/2007 à 17h05

Ricketts


Richmond

23/08/2007 à 17h51

Je ne suis pas spécialiste, mais tout le monde ne se réfère pas à Ricketts, il n'y a pas que Ricketts.
Et Steiner, et Sassouni, et Bimler, Fränkel, et Delaire et tout plein d'autres. Tous les grands orthodontistes ont donné leurs mesures moyennes pour ses référer.
Et Ricketts lui-même a continué à complèter sa base données grâce aux mesures récoltées par la suite. Des milliers et des milliers de cas traités.
C'est ce que j'ai appris.
C'est faux ?


bjc

23/08/2007 à 20h21

C’est vrai, c’est très vrai, c’est on ne peux plus vrai

aussi, on peut se demander pourquoi il existe autant de méthodes d’analyse


Richmond

24/08/2007 à 10h42

et on peut aussi se demander pourquoi vous affirmez :
"tout ce qu’on a appris est tiré d’analyse de cas idéaux
60 cas qui n’ont jamais eu de ttt. ODF. ",
puisque vous reconnaissez vous-même maintenant que c'est faux.


bjc

24/08/2007 à 13h52

Ce que vous dites est vrai, de m que ce que j’ai dit
R.M.O. a édité un ouvrage reprenant tous les articles de Ricketts

ceci dit ça ne vous dérange pas que l’on veuille remettre tous nos cas
quelque soit leur ethnie
dans le m moule ?


Richmond

24/08/2007 à 14h07

Il est certain que les visages sont différents suivant leur race.

Ce n’est pas d'ethnie différente que vous parliez quand vous écriviez :
« et nous on travaille sur des cas à Pbs.,
donc on peut se poser la question :
les normes des cas parfaits sont elles valables pour les cas à Pbs.
et
est-ce les plus gros décalages par rapport à ces normes
qui sont responsables des désordres que nous rencontrons »


bjc

24/08/2007 à 15h31

L’ethnie n’est pas une composantes des Pbs. ?
doit on résoudre les m Pbs. de la m manière sur des ethnies différentes

Exemple facile: une bi-pro
Etc … etc … etc …


P.S.:on derive, reste dans tes certitudes


Richmond

24/08/2007 à 16h32

Non, l’ethnie n’est pas une composante des problèmes.
On ne dérive pas, on clarifie.


12