Cookie Consent byPrivacyPolicies.comvive la rentrée ! - Eugenol

vive la rentrée !

vernal

25/08/2007 à 12h58

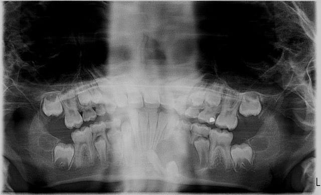
Petit gamin léger retard mental
"en bas ça a gonflé dans la nuit !!"

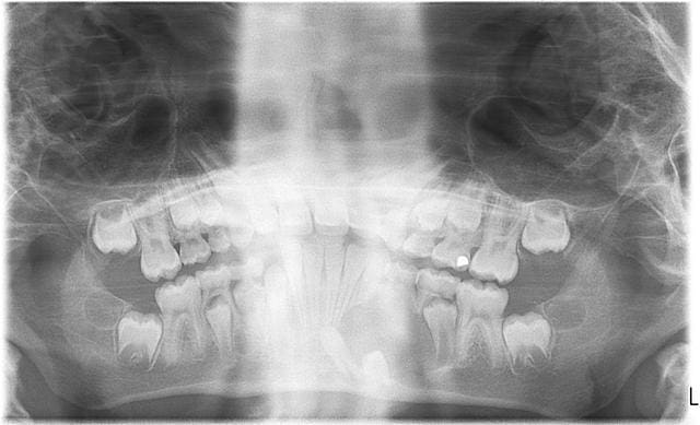
pano comme on a pu

a piori je pense enlever la 74 et compter sur l'élimination spontanée du kyste


vernal

25/08/2007 à 13h40

la pano n'est pas passée

deuxième essai

73 74 75 awxkld - Eugenol

Image odged8 - Eugenol
ploc

25/08/2007 à 14h51

pas de chance,c'est au niveau de 74 qu'on ne voit pas gd chose: une petite rx?
cela dit vu l'evolution de 44,mme si léger décalage par comparaison, cela ne doit pas poser de pb


puis que fait ce fil en cas clinique?
zou à la niche pedo!:)
on dort les modos ce matin?le we est commencé?


vernal

25/08/2007 à 15h05

-- moved topic --


Image odged8 - Eugenol
ploc

26/08/2007 à 00h04

autant pr moi j'ai regardé la 75
la pano n'est vraiment pas terrible,mme le kyste je ne le discerne pas tant(mais où st donc mes lunettes)
par contre tout en bas ,les 2 images,sont les germes de 33 et 34,j'imagine
franchement je ne vois pas gd chose sur ta pano
tu ns en reposte une stp,vernal?
toi qui as la pano d'origine et vu l'enfant que supposes tu des images qu'on aperçoit?

et bien sur lapadoué a raison tu ne touches à rien,pas d'extraction hâtive:je te retire ma bénédiction
cependant lapadoué dire que la 74 est saine... euh... pas de carie ,d'accord mais au niveau des racines elles ne me semblent pas d'aspect normal
et puisque kyste il y a on peut s'interroger sur sa vitalité
mais
tu vois qu'on est plus intelligent à plusieurs,sans crier de suite haro sur le baudet
le baudet te renouvelle ses remerciements pr être venue intervenir en pedo:)
c'est tout benef pr vernal à qui j'allais peutêtre faire faire une c...

je vais eSsayer de bricoler la pano pr mieux voir...


Image odged8 - Eugenol
ploc

26/08/2007 à 12h53

après avoir trafiqué un peu la pano pr mieux voir,je pensais ext de 73 et 74 sous AG (mais ds un service pedo) à cause du curetage du kyste:il me semble trop important,trop bas et la cicatrisation à cet âge trop rapide pr permettre un drainage naturel suffisant
puis attente 6 mois pr voir l'evolution des germes,l'angulation de 33 laissant préjuger qu'elle va peutêtre demander traction

selon mon principe que ds des cas comme ça,on est plus intelligent à plusieurs,je vs adresse la reponse issue d'un service pedo belge(aucune plaisanterie douteuse)

"Je fais ça sous AG,,, avec extraction 73, 74, 75 et nettoyage….puis je fais une prière en post-op !!!
Il y a moyen après, de faire une petite prothèse pour garder la place….."

mail a été envoyé à nancy,s'il y a reponse,je te transmets,vernal
je remets ta pano un peu retravaillée sur photoshop



"

73 74 75 a693at - Eugenol

Image odged8 - Eugenol
ploc

26/08/2007 à 14h11

nancy

xxx dit :
tu extraits et tu curtes
extraction sous AG
et prothese amovible
et tu sers les fesses
test de vitalite sur 32
NTERDICTION de sport pdt longtemps
a faire par un competent !!!

voilà,vernal mme option pro
seule difference,l'un prie,l'autre serre les fesses:)

la ligne de conduite des 3 avis qu'on te donne,c'est"n'y touches pas toi mme au fauteuil pr juste extraire 74,il faudra réintervenir,alors une fois suffit"
je ne sais pas ds quelle region tu es,je peux te donner contact ds certaines si tu veux




Image odged8 - Eugenol
ploc

27/08/2007 à 00h17

d'un chir,exerçant ds un service qui accueille bc d'enfants et d'handicapés et les traite sous MEOPA

"salut
il me semble judicieux de pratiquer l'avulsion de la dent causale sous A.L; aspirer le contenu du kyste et suturer les berges du kyste avec la muqueuse pour empêcher la fermeture du site et réaliser une marsupialisation avec seringuage de la cavité toutes les semaines.
bises"


j'avoue que je n'y aurai pas pensé et surtout pas osé gérer le côté chir-aspi-sutures des berges du kyste,et je n'ai tjours pas accès au MEOPA

voilà tu as tout:des infos qui se recroisent avec cependant un pt commun:extraction et drainer le kyste

si c'est possible d'être sous AL malgré l'âge et le handicap de ton patient,cette solution evite l'AL et l'extraction de 3 dents(sous AG on ne va pas faire trop ds la dentelle au risque d'y revenir)

à toi de faire ton choix...
quelle que soit la solution que tu vas préférer,il faut trouver le compétent,surtout ds la dernière...pas evident à mon avis les sutures des berges du kyste quoi qu'il en dise:je ne m'y risquerai pas:)


vernal

29/08/2007 à 17h38

suite

une précision : quand je dis que l'enfant a un retard mental : je veux dire qu'il a une attitude d'enfant de 3-4 ans et non de 6-7 ans, mais il est controlable et de plus extrémement doux et gentil. Ce serait dommage de le traumatiser.

patient revu aujourd'hui suite aux antibiotiques.

Toutes les dents sont sensible au froid (autant que je puisse en juger) ; il n'y a aucune carie visible et l'occlusion est correcte.

Cela n'avait pas du tout dégonflé mais le père m'a dit qu'il ne se plaigner plus.

Décision d'enlever la 74. En fait, anesthésie et vidange à flot par le point d'anesthésie. Finalement , j'ai pris un bistouri ouvert sur 1.5 cm environ à 1 cm en V de la 74 et aspiré à l'aspiration chirurgicale autant que faire se peut.

Cela devenait douloureux pour l'enfant. Donc stratégie de diversion avec l'enfant!. Vérification de l'ouverture et je le revoie samedi.

Le problème est simple en ce qui concerne ce gamin : tout le monde est en vacances donc je le suis (au départ, ce n'est pas un de nos patients).


catrose

30/08/2007 à 15h59

vernal,
si j'ai bien compris tu n'as pas extrait 74 ?
tu as decongestionne le kyste ok pour le sos,mais cela va recidiver et les 33-34 risquent d'etre perdues plus encore pas mal d'os mandibulaire....
explique bien aux parents que leur enfant doit continuer les soins avec extraction,et curetage du kyste comme decrit dans les reponses fournies de ploc,merci madame...


bjc

31/08/2007 à 05h33

Le problème est simple en ce qui concerne ce gamin : ce n'est pas un de nos patients).

Bravo!


vernal

31/08/2007 à 14h38

Bon, précision de précision.....

Il n'y a aucune intention malveillante de ma part.

Pour BJC : pourquoi "bravo" ???? (humour, racourci, dedain ....????)

Pour Catrose je le revoie Samedi (demain). Je ne suis pas sur que j'aurais pu anesthésier correctement dans la situation de mercredi. Un autre problème est la perte du maintien de l'espace sacahnt que ces dents 74-75 sont en parfait état. Est-ce que la 74 est la dent causale ???


A propos Merci PLOC


Image odged8 - Eugenol
ploc

31/08/2007 à 15h25

perso je pense 73 ET 74 mais c'est mon avis
le maintien de l'espace peut être fait par amovible ou fixe(je préfère) mais question de choix

et à propos Vernal De Nada,
pr un cas comme celui là sur un gamin,je suis prête à tirer plein de sonnettes pr avoir les bonnes reponses
cependant je te fais juste remarquer que ts les avis y compris le dernier de catrose,pedo-odf de reference sur eugenol:)(ne rougis pas catrose) concordent:extraction 74
seule difference ds les avis:avec ou sans 73 et 75


vernal

31/08/2007 à 18h17

pourquoi vernal de nada ???


Image odged8 - Eugenol
ploc

31/08/2007 à 19h46

j'ai oublié les 2 points:)
au merci,réponse: de nada ,de rien quoi!


vernal

31/08/2007 à 20h14

je savais que l'allemand ne me servirait à rien, so...


vernal

01/09/2007 à 14h11

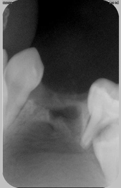
J'ai extrait la 74.

Elle était vivante, saine autant que je puissen en juger. Un surface osseuse nette et en bonne état était présente sous la dent.

A l'ouverture, la paroi kystique était épaisse et peu adhérente. Je n'ai pas pris le risque de tirer dessus, je l'ai vidé gentillement et suturé surtout pour limiter l'alimentation alimentaire de la cavité.

74 avant ext iqm7tn - Eugenol
74 après ext début ouverture oeiosw - Eugenol

vernal

01/09/2007 à 14h13

Ah j'oubliais! en curetant en périphérie de la 74 pas de sensation de racine de 73 et 75 proéminente...


Image odged8 - Eugenol
ploc

01/09/2007 à 15h36

je crois que je n'aurai pas suturé pr qu'un drainage naturel continue mais bon en situation on ne fait pas tjours ce qu'on avait pensé et je n'y étais pas

il retourne chez son dentiste le gamin?
ds ce cas je ferais contrôle à une semaine,puis à un mois puis pano à 3 pr voir si les germes on bougé et suivi regulier ts les 3 mois pr voir s'il y a besoin d'aller les chercher

la conclusion à tirer serait qu'on ne fait peutêtre pas assez de pano systematique sur les gamins à 7/8 ans pr voir où st les germes
et il y a de plus en plus d'agenesies j'ai l'impression par rapport à il y a 20 ans(ou je faisais moins de pedo?)
cela permet aussi de voir les angulations des canines,le manque de place et intercepter en envoyant en odf
hier encore gamine de 6 ans1/2:agenesie des 4 2è PM permanentes

sinon on peut se retrouver avec des suprises...
(nina vue à 11 ans)


Image odged8 - Eugenol
ploc

01/09/2007 à 15h44

re-essai

Dscn1483  small   2  vgqznq - Eugenol
Dscn1483  small   2  nzvrxs - Eugenol

vernal

03/09/2007 à 11h36

Pour Ploc traitement ??? exérèse pb de sensibilté ???


vernal

03/09/2007 à 13h43

En ce qui concerne la suture c'est pour limiter les aliments dans la cavité (y a-t-il une meilleure solution ??) je n'ai pas détruit la périphérie osseuse de la 74.


bjc

03/09/2007 à 14h33

vernal Ecrivait:
-------------------------------------------------------
> Pour Ploc traitement ??? exérèse pb de sensibilté
> ???

de quoi parles tu?
>



Image odged8 - Eugenol
ploc

03/09/2007 à 21h48

idem,
traitement de quoi?


catrose

04/09/2007 à 21h37

vernal Ecrivait:
-------------------------------------------------------
> En ce qui concerne la suture c'est pour limiter
> les aliments dans la cavité (y a-t-il une
> meilleure solution ??)

en general suture et drain apres curetage du kyste(cf marsupialisation citee plus haut)









12