Cookie Consent byPrivacyPolicies.comcomblement alveole? - Eugenol

comblement alveole?

killer

28/08/2007 à 17h19

est-il utile de combler les alveoles en post-extractionnel en vue d'implantation différée? et si oui, quelle taille des particules utilisés vous( bio oss, Cerasorb...)?


Blason dql7mj - Eugenol
growler

28/08/2007 à 20h18

oui si les parois alvéolaires sont fines et dans ce cas tu dois recouvrir ton matériau avec soit de la muqueuse tractée, soit une membrane type biomend extend.
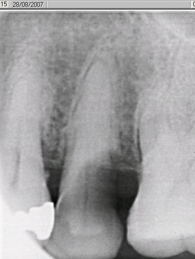
mais dans la mesure du possible implantes tout de suite. Ci joint radio d'une prémolaire que je vais extraire demain matin avec implantation immédiate.

mac et alhoun nous en ont montré de beaux cas.

Prémol pétée xekobx - Eugenol

damdam

28/08/2007 à 23h31

killer Ecrivait:
-------------------------------------------------------
> est-il utile de combler les alveoles en
> post-extractionnel en vue d'implantation différée?
> et si oui, quelle taille des particules utilisés
> vous( bio oss, Cerasorb...)?


SBS 40/60 de chez expanscience et membrane liquide Atrisorb

.... on verra dans quelques mois ce que çà donne...
le tout étant biensur de maintenir le caillot...
mais pkoi pas prf.... hihihi


killer

29/08/2007 à 01h09

t'as deja utilise cette membrane? et le prix d'un flacon de ce TCP de 1cc?


Blason dql7mj - Eugenol
growler

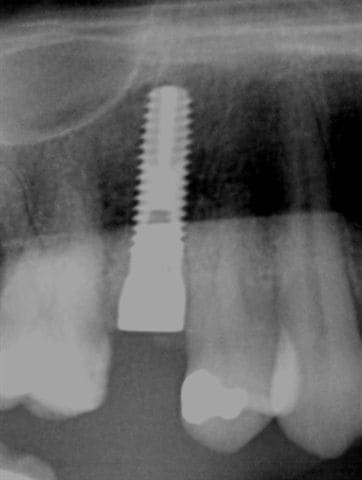
30/08/2007 à 00h21

suite de la prémolaire fracturée: extraction , mise en place d'un implant tekka diametre 4 longueur 15 mm pour aller chercher un bon ancrage primaire. Il y avait 2 mm d'espaceentre l'implant et la corticale en vestibulaire et 1 mm en palatin, j'ai comblé au bio-oss et tracté la muqueuse sans tensions pour le recouvrir.

pas de photos du bio-oss en place car assistante absente et donc galère pour prendre la photo à ce stade.

@+

2007 08 29 001 f9nk9m - Eugenol
2007 08 29 003 hxkn3z - Eugenol
2007 08 29 005 yvvcun - Eugenol
2007 08 29 006 gq7sjn - Eugenol

Blason dql7mj - Eugenol
growler

30/08/2007 à 00h26

.


Blason dql7mj - Eugenol
growler

30/08/2007 à 00h28

suite

Le 15 mm en place q4w2ic - Eugenol
2007 08 29 007 ncayrk - Eugenol

3f3boxni50k58rq7e9ce9ddqrxgk - Eugenol
dentiste57

30/08/2007 à 00h32

beau boulot mon ami!

( au fait c'est quoi ton appareil photo, car tu as une bonne profondeur de champ ?)


Blason dql7mj - Eugenol
growler

30/08/2007 à 00h56

bah justement, là la profondeur de champ était pas top car j'ai eu des difficultés à prendre les clichés étant seul pour l'intervention.

normalement je ferme un peu plus le diaph

nikon D80 flash annulaire sigma et obj macro 105 mm sigma

si tu n'as pas de matos, regardes aussi du côté de Canon et chez sigma il y a un objectif macro de 70 mm dont la focale me semble être un bon compromis (avec mon 105 je suis embêté pour prendre un visage en entier, il faut que je me recule pas mal et donc que je relève le patient complétement).

@+


maxx

03/09/2007 à 23h23

si tu combles tu ne pourras pas implanter avant un délai moyen de 6 mois quelque soit le matériau utilisé.Le biooss est un bon matériau de comblement qui se resorbe en 6 a 7 mois mais dans lequel tu peux tjs implanter si tu es tres pressé comme dans certains cas de comblement de sinus.


Avatar ow44t3 - Eugenol
Chicot

05/09/2007 à 23h36

growler Ecrivait:
-------------------------------------------------------
> bah justement, là la profondeur de champ était pas
> top car j'ai eu des difficultés à prendre les
> clichés étant seul pour l'intervention.


tu poses tes implants en solo ?

pas d'assistante stérile ?
pas d'assistante non stérile ?


chapeau


Blason dql7mj - Eugenol
growler

06/09/2007 à 00h19

d'habitude je ne suis pas en solo mais cette fois l'assistante m'a fait faux bond.

2 ou 3 paires de gants et tout se passe bien.

@+


trimarc

06/09/2007 à 00h30

salut inspecteur gadget


Img 1744 z0evts - Eugenol
dumaille

07/09/2007 à 01h07

growler Ecrivait:
-------------------------------------------------------
> d'habitude je ne suis pas en solo mais cette fois
> l'assistante m'a fait faux bond.
>
> 2 ou 3 paires de gants et tout se passe bien.
>
> @+


j'aime bien ce concept de non sacralisation de l'implanto.


alhoun

08/09/2007 à 20h28

ça me rappelle une intervention chez un confrère: un sinus + 4 implants, sans aspiration.
pas si terrible que ça.


Logo vuaztn - Eugenol
mac

08/09/2007 à 20h51

alhoun Ecrivait:
-------------------------------------------------------
> ça me rappelle une intervention chez un confrère:
> un sinus + 4 implants, sans aspiration.


le con, y en a qui doutent de rien...