Cookie Consent byPrivacyPolicies.comA quand les points de formation sur Eugenol.... - Eugenol

A quand les points de formation sur Eugenol....

003 penrd2 - Eugenol
Cingulum

29/08/2007 à 13h50

Tout d'abord un GRAND MERCI à Dancha...
Un praticien qui n'hésite pas à partager, son temps et son savoir...

http://www.eugenol.com/eugenol/read.php?4,142157,page=1

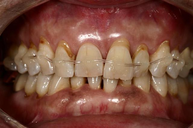
Mon premier cas d'ortho... (si un jour on m'avait dit que j'ecrirais ça...)

Patiente : ma belle mere... (quitte à expérimenter quelque chose....)

Envie d'améliorer le sourire... petit traitement d'alignement avec une technique simple et efficace à la portée de tous la preuve...



Depart  large  npodyy - Eugenol
Img 5220  large  cqaaiz - Eugenol
Haut et bas  large  i3w2ix - Eugenol

003 penrd2 - Eugenol
Cingulum

29/08/2007 à 13h53

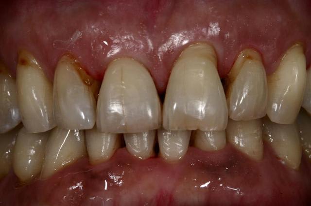
Et la fin....


Merci Daniel...

Depart closeup kjpk42 - Eugenol
Arrivee closeup joic2o - Eugenol
Img 5504  large  ebzp4u - Eugenol

1 eugenol dmj5np - Eugenol
Dancha

29/08/2007 à 14h28

Je suis vraiment très heureux que cela ait pu te servir (et te faire passer pour un magicien aux yeux de ta belle-mère).

Félicitations !

Daniel


1 eugenol dmj5np - Eugenol
Dancha

29/08/2007 à 21h28

C’est vraiment bien ce que tu as fait.

Je présume que tu as réalisé une contention permanente au moment de la dépose.

C’est un point important qui pose souvent problème.

Pourrais-tu nous dire ce que tu as mis, toi, et comment tu l’as fait ?
Ce serait vraiment sympa de ta part.
Tu fais de si belles photos…

Daniel


bjc

30/08/2007 à 17h12

Peut on laisser passer ça

C’est la négation de toutes les connaissances en ODF. depuis plus de 50 ans
aucune technique ne propose un traitement ODF. avec uniquement des arcs ronds uniques
parce que
ce résultat immédiat esthétique entraîne
une contention à vie
et de gros risques parodontaux
il n’y a aucune étude avec 5 ans de recul

le faire sur un animal, peut être,
mais pas sur sa belle-mère ! (même pour se faire passer provisoirement pour un magicien)
son avenir dentaire est trop compromis (à moins que ce ne soit le but)

finalement, en voyant ça, je pense que le C.E.S.M.O. a du bon



Utilisateur banni

30/08/2007 à 18h06

bjc Ecrivait:
-------------------------------------------------------
> le faire sur un animal, peut être,
> mais pas sur sa belle-mère !


:)


En gros tu sous entends que c'est de la fumisterie?
Pourrais-tu au néophyte que je suis, m'éclairer sur les soucis de de cas?


1 eugenol dmj5np - Eugenol
Dancha

30/08/2007 à 18h08

Ne t'énerve pas comme cela...


1 eugenol dmj5np - Eugenol
Dancha

30/08/2007 à 18h10

Non, ne t'énerve pas comme cela..

Du calme bjc dcjaog - Eugenol

bjc

30/08/2007 à 18h40

Cher Dancha

On va régler le Pb. une fois pour toute
j’aurais pu comme toi avoir l’équivalence S.Q.
comme d’autres, je n’ai pas voulu
peut être ais-je eu tord

maintenant, je vais répondre à narik

P.S. : j’aime beaucoup tes bandes dessinées, elles ressemblent à tes traitements


bjc

30/08/2007 à 19h29

Fumisterie ou poudre aux yeux

Dans les cas présenté, on ne réaligne que les couronnes
si c’était aussi facile que çà, il y a longtemps que ça se saurait
les dents, c’est comme les icebergs, il y a aussi la partie immergée,
invisible pour les patients, mais avec les Pbs. que nous connaissons
principalement les pbs. paro et occluso

les cas présentés issus d’une technique pratiquée depuis longtemps par notre ami
ne sont jamais iconographies avec Rx à long terme

par contre, il est bien dit que ces techniques de ttt. nécessitent des contention à vie
je veux bien le croire
mais
mais
Mais
une contention n’est jamais parfaitement rigide, ce que ce type de traitement nécessite
il n’y a que les bridges qui répondent à cette exigence
si pas de contention parfaitement rigide, Pbs. paro et occluso
et, et, et …

donc pourquoi ne pas faire d’entrée les bridges complets
sur un chien …
comme sur sa belle-mère …

ah oui,c’est cher



Utilisateur banni

30/08/2007 à 19h37

Donc à l'occasion si cingulum pouvait nous montrer les radios avant et aprés traitement on pourrait voir qu'il y a probléme?


003 penrd2 - Eugenol
Cingulum

30/08/2007 à 20h06


> par contre, il est bien dit que ces techniques de
> ttt. nécessitent des contention à vie
> je veux bien le croire
> mais
> mais
> Mais
> une contention n’est jamais parfaitement rigide,
> ce que ce type de traitement nécessite
> il n’y a que les bridges qui répondent à cette
> exigence
> si pas de contention parfaitement rigide, Pbs.
> paro et occluso
> et, et, et …
>
> donc pourquoi ne pas faire d’entrée les bridges
> complets
> sur un chien …
> comme sur sa belle-mère …
>
> ah oui,c’est cher
>
>
>
N'importe quoi... je prendrais le temps de te répondre bientot... cher BJC.


bjc

30/08/2007 à 21h19

Cingulum, élève de dancha, qui n’a jamais montré aucune Rx. post-op à moyen terme
s’est lancé, avec beaucoup de savoir faire, dans ces techniques qui sont discutables pour le devenir des dents de sa belle-mère
sans aucune assise scientifique minimale

on ne sait pas toujours ce qu’il faut faire
on sait surtout ce qu’il ne faut pas faire

les bons points et images pieuse distribuées par notre ami Dancha
devraient faire l’objet d’un thème à part

mais sans richemond-cingulum
ce n’est pas parce qu’on a de nombreux enfants, qu’il faut en faire d’autres sur nonol
un sera suffisant
(pour les points nonol)


Utilisateur banni

30/08/2007 à 21h45

Pourrais-tu bjc, m'expliquer un peu plus le principe du traitement proposé et de ses probléme et de ce qu'il aurait fallu faire...


bjc

30/08/2007 à 22h35

Cher narik

Toutes les techniques ODF. en arc droit commencent par des arcs ronds pour faire ce qu’on appelle l’alignement-nivellement.
Ensuite, pour stabiliser nos traitements, on place des arcs carrés, on utilise le torque pour positionner les racines en fonction de concepts occlusaux
Tout cela pour éviter des conséquences occlusaux-parododontales si on se contentait d’un simple alignement de ce qui dépasse
(alvéolyse verticale et horizontale)

Ce qui nous est montré là, sans Rx. ni avant, ni après, est une grande première
en ce sens que je ne connais pas de techniques qui disent qu’il faut s’arrêter en chemin
(je ne connais pas tout)

@+ BJc.




bjc

30/08/2007 à 22h36

c’est comme si en prothèse on s’arrêtait au bridge provisoire !


Utilisateur banni

30/08/2007 à 22h40

Désolé d'être nul en ortho mais si je peux apprendre quelque chose...
Les fils ronds c'est pour ce qui est horizontal et les carrés vertical?

Quelle est la différence entre ce fil rond et carré?

Merci par avance pour les explications... On peut pas tout savoir...


003 penrd2 - Eugenol
Cingulum

30/08/2007 à 23h21

Alors ça y est le repas est fini et les enfants sont couchés...

Alors,
Tout d'abord, le but de mon intervention n'est pas de donner une leçon d'orthodontie, mais d'exposer une technique qui me semble accessible, peu honnéreuse et qui permet d'améliorer la prise en charge de mes patients.

En effet qui n'a jamais été devant une situation ou "un peu" d'orthodontie permettrait de faciliter la réalisation d'une prothèse, ou de corriger les effets d'une parodontite sur l'aligenement dentaire ?

Le Hic c'est que bien souvent, la visite chez l'orthodontiste se termine par un multibague, quelque soit la demande... avec le coût et le temps du traitement qui en découle, je beux bien que l'ODF se compte en semestre, mais il y a là quelque chose qui me dépasse...Et bien souvent cette option "assistance orhtodontique au traitement" passe à la trappe pour ces raisons


Maintenant en ce qui concerne le cas présenté ici et les critiques de bjc (je passerai sur les phrases rapprochant ma belle mere à un animal pour ne garder que la substantif moelle):


1.
bjc Ecrivait:
-------------------------------------------------------

> Dans les cas présenté, on ne réaligne que les
> couronnes
> si c’était aussi facile que çà, il y a longtemps
> que ça se saurait
> les dents, c’est comme les icebergs, il y a aussi
> la partie immergée,
> invisible pour les patients, mais avec les Pbs.
> que nous connaissons
> principalement les pbs. paro et occluso
>

Il ne m'a pas echappé qu'il y avait un truc sous la couronne cher confrère. Je sais avec mes reliquats de cours d'ODF de formation initiale que la dent tourne autour de l'hypomochlion. Et que pour faire tourner une dent ET sa racine il faut controler le torque et donc utiliser un arc de section rectangulaire dans un boitier rigide...soit...

Mais ici, il ne vous aura pas échappé bjc, que ma patiente qui n'a jamais souffert de dysharmonie dentaire, se retrouve avec une animation marquée de incisives suite à une parodontite de l'adulte chronique... Dites moi, la nature qui à déplacer ces dents si bien alignées, elle a controler le torque ? Non ? Donc le retour à leur place d'origine ne devrait pas necessiter non plus un grand controle du torque...


2.
bjc Ecrivait:
-------------------------------------------------------
> ce résultat immédiat esthétique entraîne
> une contention à vie
> et de gros risques parodontaux


> les cas présentés issus d’une technique pratiquée
> depuis longtemps par notre ami
> ne sont jamais iconographies avec Rx à long terme
>
>
> par contre, il est bien dit que ces techniques de
> ttt. nécessitent des contention à vie
> je veux bien le croire
> mais
> mais
> Mais
> une contention n’est jamais parfaitement rigide,
> ce que ce type de traitement nécessite
> il n’y a que les bridges qui répondent à cette
> exigence
> si pas de contention parfaitement rigide, Pbs.
> paro et occluso
> et, et, et …
>

Alors là c'est du grand n'importe quoi.
Tout d'abord montrez moi un cas d'ODF chez un adulte avec un terrain parodontal affaibli sans contention!
Déjà que les jeunes adultes se retrouvent avec une contention à vie dans 90% des cas...
Et c'est normal, meme la plus équilibrée des classes I ne peut etre garantie stable à vie... ça arrive, mais c'est rare... Une contention permet de figer un certain temps un résultat esthétique désiré par le patient et chèrement aqcuis...

De plus j'ai bien cherché, mais des radios aprés 5 ans de déposes des arcs j'en ai pas trouvé dans vos posts... par ailleurs fort bien iconographiés.
Toujours une occasion pour tapper sur Dancha... On aura compris que vous ne vous appréciez pas... mais cela n'est pas le sujet...

Par contre le besoin de contention rigide là je comprends pas...
Pour éclairer ce qui semble etre une lacune, je vous conseil un excellent ouvrage:

http://www.editionscdp.fr/librairie/?page=fiche_detaillee&ref=WD7767

J'ai rédigé avec deux amis le chapitre 4 qui y traite de la contention...
1. La contention n'améliore pas la santé parodontale... Elle améliore le confort du patient, facilite les phases de traitement, mais ne sauve pas les dents.
2. La contention la plus efficace, reste le fil tressé dans des plots de composites... Parceque justement elle n'est pas rigide et laisse à chaque dent sa mobilité necessaire à la physiologie du ligament... (rigide...pourquoi pas relier les dents à des implants pendant qu'on y est...ça c'est rigide...)
Si c'est rigide, cela fini par casser,se décoller, se desceller...
Pourtant j'en ai fait des contentions...(Attelle or avec pins, cavalier, Ribbond, etc etc...)
Quelques photos jointes pour vous'assurer que je ne bluffe pas ;)



Je ressens comme un malaise dans tes posts, comme si l'absence de titre qualificatif en orthodontie vous poussez prouver à la terre entière (en tout cas au monde d'eugenol...) que vous "savez faire"

T'inquietes pas vous savez faire, vos nombreux cas sur le Sujets ODF le prouve... Bien que je n'y connaisse pas grand chose en ODF, sur ce point on est d'accord.

Attelle  1  ne1mam - Eugenol
Attelle pupii2 - Eugenol
Attelle  7  gm8v9j - Eugenol
Attelle  6  iyjh06 - Eugenol

003 penrd2 - Eugenol
Cingulum

30/08/2007 à 23h27

Et une autre, collée au Rocatex + Superbond


décollée au bout d'un an....

Attelle  2  aqctt9 - Eugenol
Attelle  3  tid8e2 - Eugenol
Attelle  4  buxwdc - Eugenol
Attelle  5  dblulf - Eugenol

bjc

30/08/2007 à 23h27

"Quelle est la différence entre ce fil rond et carré?"

Fil rond : agit principalement sur la partie coronaire des dents
Alignement :correction des rotations
Nivellement : correction des différences de hauteur
on applique des forces

Fil carré : agit sur l’angulation des racines
par ex : sur une Inc. Sup. on corrige l’angulation d’une racine sans déplacer la couronne
grace aux Bk. de section rectangulaires et aux arc rectangulaires
on applique des moments de force

jt’i sui cler ?

@+ Bjc.



Avatar transparent iqadnc - Eugenol
adhoc

31/08/2007 à 03h39

Un petit complément graphique au tres bon cours de bjc. Si le fil rond permet les mouvement de traction , il ne permet pas de REDRESSER une racine.
Sur le gif animé, observez bien la position en coupe du fil rectangulaire , son action sur des brackets rectangulaires, et le redressement d'une racine d'une dent qui a subi un effet de "rabitting" par un mouvementt de retraction désiré.

Un fil rond , qui glisse, ne permet pas cette action de TORQUE, tres important dans certains cas d'odf, bon, ok, pas tous :-)))))

Torque gavmby - Eugenol

bjc

31/08/2007 à 05h30

moi aussi, le repas est fini

A propos d’approximations : (et le n’importe quoi )

C’est la 1° fois que vous parlez de terrain parodontal affaibli
(il y a de belles photos, mais pas de Rx.)
a quand les cas avec au moins un an de recul ou plus si possible?
personnellement, je n’ai pas de cas avec 10 ans de recul, c’est vrai, mais j’applique des techniques qui elles les ont, et j’ai montré des cas avec 5 ans post traitement

petites observations avant de revenir au sujet
1°) « la dent tourne autour de l'hypomochlion »
oui pour une dent saine, le centre de rotation est à peu près celui là
mais pour une dent atteinte de lésions parodontales, dont la valeur extrinsèque est modifiée, ce n’est plus vrai, le centre de rotation n’est plus l'hypomochlion

2°) « Dites moi, la nature qui à déplacer ces dents si bien alignées, elle a controler le torque ?
Non ? Donc le retour à leur place d'origine ne devrait pas necessiter non plus un grand controle du torque »
Je vous dirait que le principe du retours inverse de la lumière n’est pas applicable aux dents, et que votre argument ne tient pas compte du temps, et des délabrement osseux qui se sont installés


3°) « Déjà que les jeunes adultes se retrouvent avec une contention à vie dans 90% des cas. . »
C’est quoi un jeune adulte, c’est un adulte ou c’est un ado ?.
Il reste de la croissance ou il n’en reste plus ?
2° remarque, selon votre raisonnement, il faudrait mettre sous contention tous les cas normaux

Tout ceci est des broutilles, revenons au sujet
il y a 5 étapes dans un ttt. Orthodontique, je ne vous ferais pas l’injure de vous les rappeler
la première étant encore actuellement : l’alignement, nivellement
donc la question est
dans des cas parodontaux, peut on se contenter d’un simple alignement nivellement
sans handicaper le devenir osseux masticatoire fonctionnel de notre patient

OUI, si on pense pouvoir stabiliser le cas
par des techniques parodontales avant ttt. ODF.
(widmann modifié)
par des techniques parodontales après ttt. ODF
surfaçages et Kayes

il faut agir avec précaution sur des dents atteintes de lésions verticales et, ou horizontales
car on va ouvrir l’espace desmodontal sur des dents avec poches

c’est à mon avis toute la difficulté
il ne faut pas qu’un résultat esthétique immédiat handicape l’avenir dentaire de notre patient


@+ Bjc.


003 penrd2 - Eugenol
Cingulum

31/08/2007 à 06h42


> C’est la 1° fois que vous parlez de terrain
> parodontal affaibli

J'avais l'impression que cela se voyait dés la première photo...mais c'est vrai cela n'était pas précisé


> 1°) « la dent tourne autour de l'hypomochlion »
> oui pour une dent saine, le centre de rotation est
> à peu près celui là
> mais pour une dent atteinte de lésions
> parodontales, dont la valeur extrinsèque est
> modifiée, ce n’est plus vrai, le centre de
> rotation n’est plus l'hypomochlion

La dent à bougé parceque le parodonte s'est affaibli...L'hypomochlion EST le centre de rotation... il se déplace en fonction de l'affaiblissement paro...


>
> 2°) « Dites moi, la nature qui à déplacer ces
> dents si bien alignées, elle a controler le torque
> ?
> Non ? Donc le retour à leur place d'origine ne
> devrait pas necessiter non plus un grand controle
> du torque »
> Je vous dirait que le principe du retours inverse
> de la lumière n’est pas applicable aux dents, et
> que votre argument ne tient pas compte du temps,
> et des délabrement osseux qui se sont installés

la je suis d'accord avec vous, mais admettez qu'il y a une différence "en besoin de controle de torque" entre corriger une migration dentaire secondaire à un prob paro, et faire un traitement de ClII par exemple...


> 3°) « Déjà que les jeunes adultes se retrouvent
> avec une contention à vie dans 90% des cas. . »
> C’est quoi un jeune adulte, c’est un adulte ou
> c’est un ado ?.
> Il reste de la croissance ou il n’en reste plus ?

Ado, adulte jeune, adulte... peu importe 90% des traitements se terminent par une contation jusqu'a ce "qu'elle lache"


> donc la question est
> dans des cas parodontaux, peut on se contenter
> d’un simple alignement nivellement
> sans handicaper le devenir osseux masticatoire
> fonctionnel de notre patient
>
> OUI,

ben voilà....alors ça servait à quoi de s'exciter..

si on pense pouvoir stabiliser le cas
> par des techniques parodontales avant ttt. ODF.
> (widmann modifié)
un quoi ?....ça se fait encore ça ???

> par des techniques parodontales après ttt. ODF
> surfaçages et Kayes

comme on peut aussi le deviner sur les photos (je le pensai en tout cas...) la maladie paro à été stabilisée avant tout autre traitement...



sur ce...bonne nuit.

pour ce qui est de l'heure tardive ce n'est pas que le sujet m'empeche de dormir...mais mon petit deuxième à 1 mois...et ne fait pas encore ses nuits :)



bjc

31/08/2007 à 14h25

CONCLUSION :
Si vous ou d’autres présentez des cas similaires, précisez bien le terrain et les contraintes de préparation et de maintenance, et précisez vos choix de traitement
Car présenté comme vous l’avez présenté, on pourrait croire que c’est un ttt. classique, applicable à des cas sans maladie parodontale
des omnis nous lisent, imaginez qu’ils demandent à leur correspondant :
pourquoi ne traitez vous pas, avec cette nouvelle méthode qui donne des résultats en qq. mois !
vous avez vu ça ou ?
sur eugenol !

ou que des ortho débutants appliquent cette technique sur des adolescents !

P.S. : si vous vous voulez voir des cas ados traités sans contention à vie
les conférenciers des frictions faibles en montrent avec plus de 7 ans de recul

à propos, félicitation pour le dernier !

@+ Bjc.


003 penrd2 - Eugenol
Cingulum

31/08/2007 à 14h48

Et il aurait suffit de poser les questions que semblaient soulever le cas présenté, plutot que de ruer dans les brancards, et de crier au crime....


12...