Cookie Consent byPrivacyPolicies.comA quand les points de formation sur Eugenol.... - Eugenol

A quand les points de formation sur Eugenol....

bjc

08/09/2007 à 14h02

bonjour,

"Un eugénolien bien connu m’a demandé en MP « tu as l'air de dire que ton cas paro ortho est à la portée des non ortho (..)"

voilà ce que je redoutais

ne travailler qu’avec des coulisseaux, n’est pas à la portée du premier venu, car il faut une grande expérience pour choisir les cas ou on n’aura pas besoin de torque,
ce sont des cas ou on doit
choisir de nombreux compromis
et les réussir

le cacher va entraîner qq. confrères à tenter d’essayer cette technique
cela me fait peur, et pourtant dieu sait que je suis pour que de nombreux confrères fassent de l’ODF.
tous les omnis font des collages, acheter qq. Bk., c’est pas le bout du monde !

je répète, persiste et signe

MEFIEZ VOUS DE LA FACILITE

P.S. : il semblerait que lapadouée soit revenue sous un autre pseudo
tant mieux


1 eugenol dmj5np - Eugenol
Dancha

08/09/2007 à 14h30

bjc Ecrivait:
-------------------------------------------------------
>..
> je répète, persiste et signe
> ..


Tant pis.

Ciao.


Daniel


catrose

08/09/2007 à 14h35

athos Ecrivait:......



juste quelques remarques pour en finir avec les sujets sensibles et parasites:
que ceux qui inversent le role des mp et des posts ne s'en prennent qu'a eux meme
il y a un moyen tres simple de continuer a avancer sur un fil,c'est d'ignorer les critiques ou les interventions qui ne vous plaisent pas,de ne pas y repondre et de garder ca pour les mp
evidemment l'ego va en etre quelque peu frustre...
et si lapadoue a demande a effacer tous ses posts,c'est certainement qu'elle avait un probleme general avec le forum et pas qu'avec bjc
maintenant,nombreux sont les decus qui ont claque la porte et sont revenus sous d'autres pseudos,quand on a goute a eugenol,on ne peut plus s'en passer

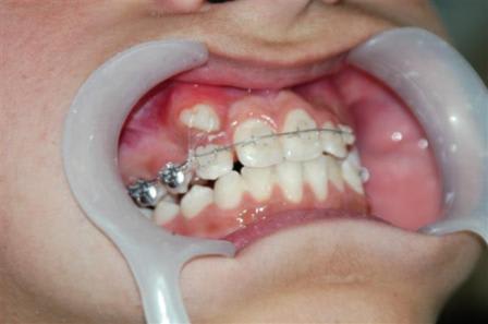
maintenant j'aimerais revenir sur le debut du post ,c'est-a-dire le cas de cingulum en ortho
tout d'abord bravo de t'etre lance cingulum,et de surcroit sur ta belle-mere...:)
mais desolee,j'ai du mal a m'extasier,et ceci sans aucun esprit de polemique ou d'appartenance a quelconque clan

Dancha,quand tu ecris:"Bravo, Cingulum. Tu maîtrises parfaitement. Tu peux traiter maintenant toi-même "de a jusqu'à z" des cas beaucoup plus avancés sans être obligé de passer obligatoirement par l'orthodontiste."
je ne suis pas d'accord,l'alignement(le but du traitement)est loin d'etre parfait(22-42 notemment) et pourquoi avoir pose des contentions de ce type :pas de fil tresse,composite epais retenteur de plaque etc..?
justement en tant qu'omnipraticienne qui fait de l'ortho depuis 9 ans et qui encourage fortement les autres a en faire,je ne crois pas qu'il faille encourager et se contenter d'un travail comme celui-ci
ce n'est pas parce qu'on n'a pas de brackets dans son tiroir qu'on va se lancer dans le bricolage et l'a-peu-pres
l'omnipraticien doit avoir la meme exigence de qualite et de rigueur dans ses traitements odf,et s'en donner les moyens(seminaires,formations plus ou moins courtes,visites chez un ortho)
sinon les "exclusifs" auront raison,"laissez l'odf aux competents accredites,n'y touchez pas,vous faites n'importe quoi"
et pour revenir sur une remarque de cingulum sur ce sujet,si il a l'impression que quelques omnis cherchent toujours a se justifier c'est parce que ce sont les exclusifs qui le leur demandent



ps:je n'avais pas lu les 2 messages precedents


003 penrd2 - Eugenol
Cingulum

08/09/2007 à 15h37

merci pour ta participation constructive...
Le probleme ce n'est pas temps le fond, mais la forme des posts de BJC...

Je suis tout pret à recevoir des critiques, c'est toujours pour cela que post des cas cliniques...

Mais pas de la façon d'on le fait bjc...


Image19 iebot6 - Eugenol
athos

08/09/2007 à 15h46

que répondre puisque c'est moi que cat à cité... et que je n'ai aucune envie de répondre sur le ton

si ça vous arrange je peux prendre tout ça pour moi et m'arranger facilement avec mon ego, me concernant ça ne me demandera pas d'effort

mais si vous trouvez que l'esprit d'echange est bienveillant j'ai certainement de grosses lacunes en lecture


003 penrd2 - Eugenol
Cingulum

08/09/2007 à 16h15

> je ne suis pas d'accord,l'alignement(le but du
> traitement)est loin d'etre parfait(22-42
> notemment)

Bien d'accord avec toi...

et pourquoi avoir pose des contentions
> de ce type :pas de fil tresse,composite epais
> retenteur de plaque etc..?

Que proposes tu en contention ?

> je ne crois pas qu'il faille
> encourager et se contenter d'un travail comme
> celui-ci
> ce n'est pas parce qu'on n'a pas de brackets dans
> son tiroir qu'on va se lancer dans le bricolage
> l'a-peu-pres

Oui et non,
Cette technique, est interessante pour egresser une dent en vue d'une meilleure réalisation prothétique, pour redresser un axe d'une dent versée, ou aligné des petites migrations secondaire à la paro...
Mais celà m'a donné envis de commander quelques boitier ortho...

Ce qui est génant avec BJC c'est ça:

BJC:
>C est la négation de toutes les connaissances en ODF. depuis plus de 50 ans

>le faire sur un animal, peut être,
mais pas sur sa belle-mère ! (même pour se faire passer provisoirement pour un magicien)
son avenir dentaire est trop compromis (à moins que ce ne soit le but)

>donc pourquoi ne pas faire d entrée les bridges complets
sur un chien
comme sur sa belle-mère
ah oui,c est cher

>Cingulum, élève de dancha, qui n a jamais montré aucune Rx. post-op à moyen terme

>mais sans richemond-cingulum
ce n est pas parce qu on a de nombreux enfants, qu il faut en faire d autres sur nonol
un sera suffisant
(pour les points nonol)

>on peut rigoler
mais si on tombe sur des imbéciles
ça peut aller loin

sans compter les réponses de mauvaises fois, les abnégations d'études scientifiques, les mensonges...etc etc...


bjc

08/09/2007 à 16h32

"sans compter les réponses de mauvaises fois, les abnégations d'études scientifiques, les mensonges...etc etc..."

mauvaise foi, c’est toi qui sort les phrases de leurs contextes
les études scientifiques, il ne faut pas non plus les sortir de leurs contextes
mensonges : NON

j’appelle un chat, un chat,


alhoun

08/09/2007 à 20h29

si même catrose hausse le ton, on est mal barré, c'est moi qui vous le dit!!


alhoun

08/09/2007 à 20h36

Un eugénolien bien connu ....

franchement daniel, tu peux dire célèbre, on est entre nous!!

tu redoutes quoi, exactement bjc? que des non initiés accèdent au graal et mettent du nesquick dedans?
j'ai demandé à daniel d'exposé le "rational" de son dernier cas, et il s'est engagé à le faire en public, à une condition!!.....

pourrait-on le laisser faire et essayer ensuite, à la fin de l'exposé, de critiquer les points qui vous semblent criticables? on peut faire ça? merci beaucoup.



daniel, à toi de jouer.


catrose

09/09/2007 à 02h26

Cingulum Ecrivait:

> Que proposes tu en contention ?

sans rentrer dans le pourquoi-quand-comment de la contention ,dans ton cas,je poserais le classique 2-fils torsades colles au flow style LR de chez 3M
un 33-43 et un 12-22,les canines sup ayant peu bouge,tu n'as pas besoin de les inclure dans la contention et cela t'evite ainsi les problemes de surocclusion(fais attention au cingulum;)
pour les etapes pratiques,etant donne que je n'ai pas trois ou quatre assistantes d'ortho qui travaillent pour moi et que je cherche a gagner du temps au fauteuil,je prends une empreinte avant de debaguer et l'envoie a mon technicien ortho qui me faconne ca parfaitement sur le modele
le jour de la depose je n'ai plus qu'a coller et me concentrer sur finition et polissage





> Cette technique, est interessante pour egresser
...

sa facilite d'execution lui donne un interet evident ,et pas que pour les debutants:photo(tres tres minable a cote des tiennes) a l'appui ,si j'arrive a l' envoyer bien sur




> Mais celà m'a donné envis de commander quelques
> boitier ortho...

ca c'est bien le meilleur de l'histoire
et si Dancha en est a l'origine,bravo


Dsc 0039 ylc5ml - Eugenol
Dsc 0040 sh6xfy - Eugenol
Dsc 0039  small  s2uza5 - Eugenol

024 vownvo - Eugenol
annie

09/09/2007 à 07h35

Catrose écrivait

maintenant,nombreux sont les decus qui ont claque la porte et sont revenus sous d'autres pseudos,quand on a goute a eugenol,on ne peut plus s'en passer


Oui ,c'est vrai Catroe,mais combien l'ont claquée sans revenir ou n'osent plus poster,j'en connais pas mal dans ce cas,et pas des moindres,qui sont fortement regrettés!
L'amour a ses limites ,et il ne faut pas les depasser!


t45

09/09/2007 à 13h11

annie Ecrivait:
-------------------------------------------------------
>j'en connais> pas mal dans ce cas,et pas des moindres,qui sont> fortement regrettés!

bonjour,

Merci annie,gentil à toi mais seules les vacances en sont cause
Ne t'inquiètes pas, pour ce remake,je n'ai pas l'intention de quitter la salle

bon Dimanche



>


024 vownvo - Eugenol
annie

09/09/2007 à 19h24

t45 Ecrivait:
-------------------------------------------------------
> annie Ecrivait:
> --------------------------------------------------
> -----
> >j'en connais> pas mal dans ce cas,et pas des
> moindres,qui sont> fortement regrettés!
>
> bonjour,
>
> Merci annie,gentil à toi mais seules les vacances
> en sont cause
> Ne t'inquiètes pas, pour ce remake,je n'ai pas
> l'intention de quitter la salle
>
> bon Dimanche
>
;) bienvenue,t45!



1 eugenol dmj5np - Eugenol
Dancha

10/09/2007 à 17h48

alhoun Ecrivait:
-------------------------------------------------------
> ...
> j'ai demandé à daniel d'exposé le "rational" de
> son dernier cas, et il s'est engagé à le faire en
> public, à une condition!!.....
>
> pourrait-on le laisser faire et essayer ensuite, à
> la fin de l'exposé, de critiquer les points qui
> vous semblent criticables? on peut faire ça? merci
> beaucoup.
>
>
>
> daniel, à toi de jouer.

Et bien, allons-y, voyons ce cas ensemble.

Pour que ce soit plus instructif, je vais essayer de te guider pour que tu puisses le traiter toi-même (virtuellement).

Tout d’abord, tu vas commencer par t’asseoir, observer le cas, établir un diagnostic et réfléchir à l’étiologie… et ce n’est qu’à partir de là que tu pourras aller plus loin…

Quel est le problème à résoudre ?
Comment ce cas en est-il arrivé là ?
Qu’est-ce qu’on aimerait bien faire ici ?
Quelle position des dents aimerait-on obtenir ?...
Quelle est la demande du patient (imagine) ?

Peux-tu répondre, Alhoun, ?

A toi.

Daniel

7406 avant lfmhhn - Eugenol

alhoun

10/09/2007 à 21h14

ah non, pourquoi moi??


Logo vuaztn - Eugenol
mac

10/09/2007 à 21h23

parce que t'as voulu faire le malin...


Image19 iebot6 - Eugenol
athos

10/09/2007 à 21h27

héhé...
ça pique hein?


200106 10150128247663588 709988587 6466236 5598391 n d7mksb - Eugenol
hallboy

10/09/2007 à 21h32

moi je repondrais bien ,mais ya marqué Alhoun


024 vownvo - Eugenol
annie

10/09/2007 à 21h35

Laissons lui le temps de la reflexion!


1 eugenol dmj5np - Eugenol
Dancha

11/09/2007 à 13h26

alhoun Ecrivait:
-------------------------------------------------------
> ah non, pourquoi moi??

Parce que tu es demandeur, que je te considère comme quelqu’un d’intelligent, capable de réflexion.
Tu verras, l’orthodontie pour un cas comme celui-là est beaucoup plus simple qu’on voudrait bien le faire croire. Il faut oublier la technique apprise et se concentrer sur le cas lui-même.
Ill faut simplement définir ce que l’on désire réaliser, puis en fonction des mouvements nécessaires créer une mécanique ou puiser dans notre arsenal thérapeutique le système le mieux adapté.
Et tu verras, ici c’est vraiment simple et tout à fait à ta portée.

Actuellement, tout est enseigné à l’envers dans les cours commerciaux. On apprend une technique très élaborée et très compliquée, avec des braquets très chers dont on en est ensuite captifs.
C’est comme si en cuisine on apprenait une recette et une seule, très difficile, très chère, et qu’après on se sente obligé de l’adapter à tous les cas.

Dans une « Master class », le public ne fait pas de remarques désobligeantes à l’élève. Tout le monde est bien élevé ici, tu ne risques donc rien…

A toi.

Daniel


200106 10150128247663588 709988587 6466236 5598391 n d7mksb - Eugenol
hallboy

11/09/2007 à 14h07

allez Sacha saute, parce que j'ai une double reponse et une question dans ma réponse.

Et ça me derange pas qu'on me tombe dessus, vu que je suis tres officielement une banane en odf.


Image19 iebot6 - Eugenol
athos

11/09/2007 à 15h53

si l'ambiance s'assinit et le permet nous ferons regime?


Spriford

11/09/2007 à 17h31

et partagerez un chocolat! Nesquick ou bien...

Banania ykyngh - Eugenol

200106 10150128247663588 709988587 6466236 5598391 n d7mksb - Eugenol
hallboy

11/09/2007 à 19h56

ça se voit que personne n'a payé son incription ;)

Alhoun, tu veux mes questions en mp?


alhoun

11/09/2007 à 20h33

j'ai réussi à faire illusion jusqu'ici, tu vas tout ruiner!!


envoie quand même!
;)


1...456...