Cookie Consent byPrivacyPolicies.comA quand les points de formation sur Eugenol.... - Eugenol

A quand les points de formation sur Eugenol....

1 eugenol dmj5np - Eugenol
Dancha

21/09/2007 à 10h37

Excellent !

Une méthode simple pour limiter les forces latérales nocives à l’apex consiste donc à diminuer d’une manière ou d’une autre la largeur du braquet.
Tu l’as parfaitement compris, je te félicite.

A votre avis, est-ce que la diminution de la friction du fil dans les gorges du braquet peut limiter ces forces latérales apicales nocives ?

Daniel


1 eugenol dmj5np - Eugenol
Dancha

23/09/2007 à 20h37

La friction du fil dans les gorges du braquet doit évidemment être la plus faible possible, mais il n’y a aucun rapport avec les forces latérales à l’apex (il suffit de regarder les flèches sur le schéma).

Vous avez compris qu’il faut diminuer la largeur du braquet, l’idéal étant de le réduire à un point.

Vous aurez compris aussi que c’est un non-sens d’utiliser des braquets classiques pour des cas de migrations dentaires suites à des pertes osseuses. Ils ne sont absolument pas adaptés et vont même à l’encontre de mouvements recherchés. Et le fait que la dernière génération proposée à grand renfort de publicité (et de coûts) soit à friction réduite ne change absolument rien à cet état de fait.

Des braquets à dimension latérale réduite (et à prix légers) étaient autrefois commercialisés en métal ou en porcelaine pour la technique de Begg. On peut encore trouver des métalliques (plus difficile esthétiquement pour des adultes) en cherchant bien alors que les porcelaines ne sont plus fabriqués.
Mais le plus simple consiste à en fabriquer soi-même comme je l’ai montré. Il suffit de coller un petit fil en silicone au centre de la couronne avec une pointe de composite. Ce fil est ensuite retiré et remplacé par un fil en NiTi (je redonnerai les références plus tard si vous le désirez). La pointe de composite devient un pont qui fait office de braquet.

Mais allons plus loin, en plus du « comment », voyons aussi quel est le meilleur moment pour intervenir. Nous répondrons ainsi à la fameuse question qui taraude hallboy : le « quand ».
Ce sera la semaine prochaine..

Daniel

P. S. : Pardonnez ma lenteur, j’ai beaucoup de choses en cours et ne peux passer autant de temps que je voudrais sur eugénol.


Squash u44zd8 - Eugenol
steph

23/09/2007 à 20h53

Disons OK pour ta technique, il faut cependant s'assurer de trouver un "fil de silicone(?)" qui ait le même diamètre que le fil ortho, sinon celui-ci va flotter dans le composite.
Ce ne sera pas efficace alors.


1 eugenol dmj5np - Eugenol
Dancha

23/09/2007 à 21h02

Cela n’a pas grande importance, vous verrez.

Dès que je peux et avant tout le reste je vous remontre la technique en photos et vous mets les références du matériel (2 bobines, une de fil silicone et une de NiTi).

Daniel


bjc

24/09/2007 à 05h32

simulation
sur Rx. du résultat du déplacement de 21/22/23/24 autour des apex
le résultat peut être amélioré en cas de béance,

courtoisement
Bjc.

Simulation z20qty - Eugenol

1 eugenol dmj5np - Eugenol
Dancha

24/09/2007 à 14h29

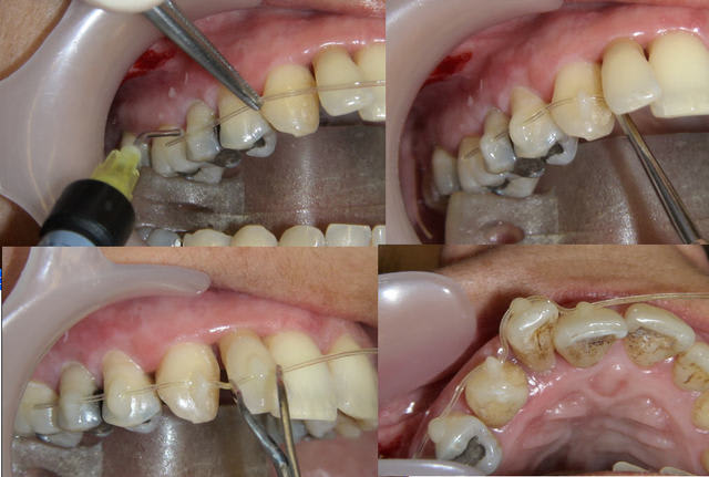
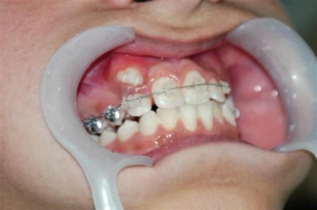
C'était ce matin, j'en ai profité pour faire ces photos à votre intention.

Des questions sur la procédure ?

Daniel

10700 rq9ccw - Eugenol
10700 0 mjmjmp - Eugenol
10700 1 jmltnl - Eugenol
10700 2 zccoj3 - Eugenol

Squash u44zd8 - Eugenol
steph

24/09/2007 à 23h49

Non c'est pas sorcier mais le décollement du composite est assuré non, vu les contraintes en traction et cisaillement.
Faut les refaire tous les 15j?


1 eugenol dmj5np - Eugenol
Dancha

25/09/2007 à 00h34

Et bien non, cela tient. Il n'y a pas à craindre de décollement du composite.

Daniel.


200106 10150128247663588 709988587 6466236 5598391 n d7mksb - Eugenol
hallboy

25/09/2007 à 01h10

comment decide tu de la tension appliquée?


Squash u44zd8 - Eugenol
steph

25/09/2007 à 10h03

Et des ancrages?
Sur tes photos tu t'arrêtes au prémolaires, pourquoi ça?


1 eugenol dmj5np - Eugenol
Dancha

25/09/2007 à 11h31

hallboy Ecrivait:
-------------------------------------------------------
> comment décides tu de la tension appliquée?

La plus faible possible, le fil NiTi le plus fin que l’on trouve sur le marché.

steph Ecrivait:
-------------------------------------------------------
> Et des ancrages?
> Sur tes photos tu t'arrêtes aux prémolaires,
> pourquoi ça?

Qu’entends-tu par « des ancrages » ?

Pourquoi aller plus loin que les prémolaires ?
Le problème à traiter est la 12 qui migre suite au problème paro.

Cette jeune femme a 35 ans, elle va perdre cette dent si on n’intervient pas.
Je n’ai pas l’intention de traiter son endo ni sa classe II dentaire à gauche ni la linguoclusie de sa 16… Elle n’est pas demandeuse et son praticien traitant non plus.


Daniel


1 eugenol dmj5np - Eugenol
Dancha

25/09/2007 à 17h27

Imaginez un arbre qui manque de racine et que le vent arriverait à coucher.
Est-ce qu’on le maintiendrait dans cette position couchée et est-ce qu’on renforcerait ses racines avant de le redresser ?
Ce serait une manœuvre illogique.

Le raisonnement est le même pour une dent qui a migré et qui est mobile, il est préférable de la remettre en place avant de la stabiliser.
Dans le cas dont nous discutons, le meilleur moment pour intervenir est donc après la désinfection, mais avant la consolidation.

Les problèmes qui se posent sont ceux des forces à utiliser et de la réaction de l’os. Nous allons en parler..

Daniel


1 eugenol dmj5np - Eugenol
Dancha

25/09/2007 à 18h08

La force à utiliser doit être à peine supérieure à celle qui a permis la migration (déséquilibre labio-lingual), mais en sens inverse.
L’expérience montre que la plus petite force utilisable en orthodontie (développée par le fil le plus léger, le plus fin) est généralement suffisante.
Nous utiliserons donc un fil NiTi de 0,3 mm, c’est celui qui est le plus fin disponible en bobine. L’acier qu’on trouve encore en plus fin diamètre est trop déformable et ne pourrait pas passer dans les tunnels de composite sans se déformer.
Nous avons vu comment le mettre en place.

Pour l’action de fermeture des diastèmes, on pourra utiliser le même fil de silicone que celui qui a été utilisé comme gabarit.

A suivre.

Daniel


Avatar transparent iqadnc - Eugenol
adhoc

25/09/2007 à 18h16

Dancha, j'ai un peu la trouille que cela soit dangereux pour les ceuss qui n'ont jamais fait d'ortho classique.
Le fil rond, c'est bien comme guide par exemple, en effet pour resserer et aligner, mais achtung, vraiment achtung pour ceux qui seraient tentés d'utiliser cette technique pour des décalages squelettiques, avec action dans le plan frontal.
Perut etre devrais tu, honnetement , delimiter précisemment les indications de cette technique.


Image19 iebot6 - Eugenol
athos

25/09/2007 à 18h22

!!!!!
honnetement??!!??


Spriford

25/09/2007 à 18h36

1- "Pour l’action de fermeture des diastèmes, on pourra utiliser le même fil de silicone que celui qui a été utilisé comme gabarit".
Tu le places à l'intérieur des ponts en composite en plus du fil niti, ou par dessus ? et tendu comment?

2- Pour l'intermède sans intérêt, que je sache, la qualification " traitement global exclusif" n'est pas encore une obligation, ni même en cours d'authentification et il est encore autorisé de penser . La liberté semble compromise .

3- En fin d'études, j'aurais été capable de faire un diagnostic ODF, donc de choisir des cas "faciles". Mais l'absence de pratique fait qu'on oublie tout.
Un cas "facile" est-il choisi avec un bilan radio? Que risque-t-on à se lancer dans un traitement comme celui-ci?


Avatar transparent iqadnc - Eugenol
adhoc

25/09/2007 à 18h39

Le "honnetement" est ici une formule d'insistance, ami athos.


Avatar transparent iqadnc - Eugenol
adhoc

25/09/2007 à 19h06



Une fenestration ou expulsion si le point d'attache est mal calculé!!!!

Je ne critique pas du tout cette méthode, je la considére comme un ensemble thérapeutique INCLUS dans notre pratique en ODF, et pratiquée avec grand art et conscience par dancha, qui a un CESCSMO, et a déjà pratiqué l'art classique, appris dans nos facultés.
"ah tiens, je me retrouve dans cette situation, je vais faire de l'arc rond sans brachets"
Ceci est issu d'une mécanique intellectuelle déjà aguerrie.





1 eugenol dmj5np - Eugenol
Dancha

25/09/2007 à 20h51

Spriford Ecrivait:
-------------------------------------------------------
> 1- "Pour l’action de fermeture des diastèmes, on
> pourra utiliser le même fil de silicone que celui
> qui a été utilisé comme gabarit".
> Tu le places à l'intérieur des ponts en composite
> en plus du fil niti, ou par dessus ? et tendu
> comment?
>

S'il y a un NiTi, c'est au dessus des ponts de composite. Il suffit de faire un noeud de chaque coté et le passer par dessus le fil, par dessous.., comme on veut. Il faut simplement qu'il ne puisse pas glisser jusqu'à la gencive.

Daniel

10338 fil ycgiup - Eugenol

Spriford

25/09/2007 à 21h17

adhoc Ecrivait:
> Une fenestration ou expulsion si le point d'attache est mal calculé!!!!

Fénestration de la racine ? sans torque ? avec un fil si fin ?
Tu m'étonnes qu'on n'a pas envie de faire de l'odf!



Tu es sérieux adhoc? Tu peux expliquer ?


1 eugenol dmj5np - Eugenol
Dancha

26/09/2007 à 13h47

Spriford Ecrivait:
-------------------------------------------------------
> ..
> 3- En fin d'études, j'aurais été capable de faire
> un diagnostic ODF, donc de choisir des cas
> "faciles". Mais l'absence de pratique fait qu'on
> oublie tout.
> Un cas "facile" est-il choisi avec un bilan radio?
> Que risque-t-on à se lancer dans un traitement
> comme celui-ci?

Un cas facile, pour moi, est un cas qui possède trois caractéristiques :
- L’étiologie du problème est connue, on sait ce qui s’est passé et où on doit repositionner les dents.
- Les mouvements à réaliser sont simples.
- On est soi-même capable de mettre en place une mécanique appropriée et de suivre sa progression.

Un cas facile pour un pourra être difficile pour un autre, et réciproquement.

alhoun Ecrivait:
-------------------------------------------------------
>..
> j'ai demandé à daniel d'exposé le "rational" de
> son dernier cas, et il s'est engagé à le faire en
> public, ...

Dans ce cas-ci,
- Quelle est l’étiologie, qu’est-ce qui s’est passé ? Un problème paro a permis la migration des dents.
- Quels sont les mouvements à réaliser ? De simples mouvements de version pour redresser les dents et fermer les diastèmes..
- Quelle mécanique ? Je viens de vous la montrer…

Est-ce que j’ai répondu à tes questions, Alhoun ?

Les cas de migrations dentaires dus à un problème paro sont vraiment les cas types pour ce genre de traitement
Ce sont des traitements simples que tout chirurgien-dentiste est capable de réaliser.



Daniel


003 penrd2 - Eugenol
Cingulum

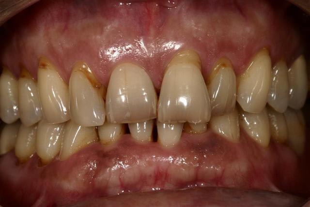
12/10/2007 à 17h03

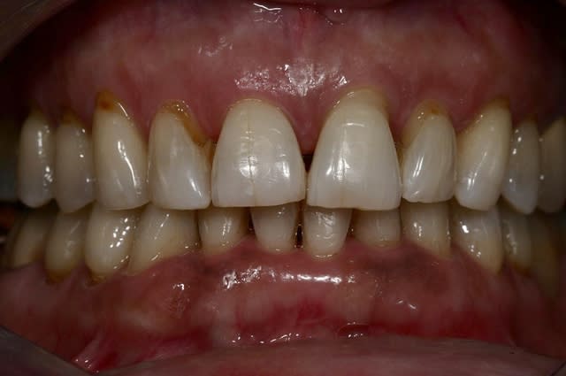
pour terminer avec ma patiente qui initia ce post:

aprés blanchiment.

Depart  large  b6xkgx - Eugenol
Img 5721  custom  w8zujv - Eugenol
Img 5724  custom  s4vnde - Eugenol
Img 5722  custom  pkesln - Eugenol

arno

15/11/2007 à 21h06

Bonsoir,

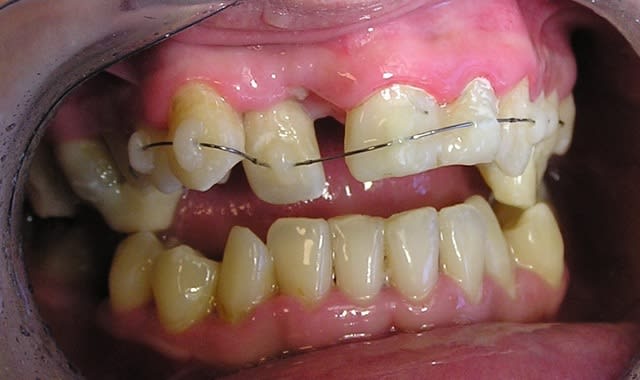
Après de nombreux échanges avec Dancha, j'ai mis en route ce cas.
On part de loin, on se bat encore pour l'hygiène mais on avance.
J'en profite pour renouveller un immense merci à Daniel pour le temps passé à transmettre ses connaissances (et il doit être colossal vu la précision de tes réponses).
arno

Depart wr58ph - Eugenol
Ortho 14 11 07 lz59jm - Eugenol

024 vownvo - Eugenol
annie

16/11/2007 à 02h30

pour debuter t'as choisi la facilité:)!!
c'est vrai que Dancha explique tres bien et est
toujours prêt à partager son savoir,et cette pratique semble tellement attractive et efficace,ça donnerait presque envie d'essayer!


1 eugenol dmj5np - Eugenol
Dancha

13/01/2008 à 10h57

Chère Catrose, tu nous as présenté ici-même le 9 septembre cette photo d’un cas que tu traites.
Il semble fort intéressant. As-tu la suite ?
Pourrais-tu nous en dire en peu plus ?
Merci.

Daniel

Dsc 0039  small  n6smzl - Eugenol

1...78910