Cookie Consent byPrivacyPolicies.comfelure or not - Eugenol

felure or not

Grueavatar nptrc9 - Eugenol
Le Choixpeau magique

05/09/2007 à 22h02

Hallboy, il faut arrêter de vouloir prendre à ton compte toute la misère du monde. Si patient ne veut pas d'implant pour des raisons irrationnelles (ohoh), en quoi est-ce ton problème ? C'est lui qui ne pourra pas manger, pas toi. Il ne faut pas avoir peur de dire non à un patient, souvent d'ailleurs ils disent "je sais bien que vous avez raison...".
Quand tu acceptes de faire un bridge casse gueule, même en disant au patient "c'est chaud", lui il n'entend que la partie "mais je veux bien vous le faire", donc il a confiance.
Et puis vous aimez tant que ça les emmerdes ?


200106 10150128247663588 709988587 6466236 5598391 n d7mksb - Eugenol
hallboy

05/09/2007 à 23h52

Oui;) j'en ai 2 ou 3 en memoire.


faouz

06/09/2007 à 00h16

Pour en revenir au post initial..

Je ne pense pas que ce soit une ^fêlure. D'ailleurs, même avec un certain grossissement, une "fêlure " aussi grosse s'appellerait plutôt une fracture. Auquel cas, plus de doute..

Si on émet l'hypothèse de la "fêlure" : CAT :
Tu épluches le surplomb dentinaire avec un ETBD ou une fraise boule acier sur CA bague bleue faible vitesse (sous aide visuelle). Je penses que tu auras l'agréable surprise de trouver un mv2. Sinon simplement, le sillon (teinte marron-jaune) du plancher qui relie les différentes entrées canalaires entre elles.

Et pour être sûr, un petit coup de BM confirmerait le tout.


024 vownvo - Eugenol
annie

06/09/2007 à 01h43

ploc Ecrivait:
-------------------------------------------------------
> si de surcroit vs prenez la canine,l'argument
> financier economique s'effondre...,d'autant que
> sur dent vivante pas de rembourst SS ,soit le plus
> souvent pas de Rb mutuelle
> reste l'appréhension de l'implant et là c'est à ns
> d'être convaincant si on est convaincu!

la question d'adhoc était sans solution implantaire,et je crois argent mis à part que les chances de survie ce bridge augmenteront en s'appuyant sur une dent plus solide qu'une PM,mais ce n'est que mon avis:)






Logo vuaztn - Eugenol
mac

06/09/2007 à 13h35

pour relancer le débat, dans un cas comme ça vous faites quoi?


- bridge? avec 27 vivante?

- sinus + implant ? coronoplastie de la 27 pour redresser l'axe ?

- stellite une dent?

- obiwan kenobi?


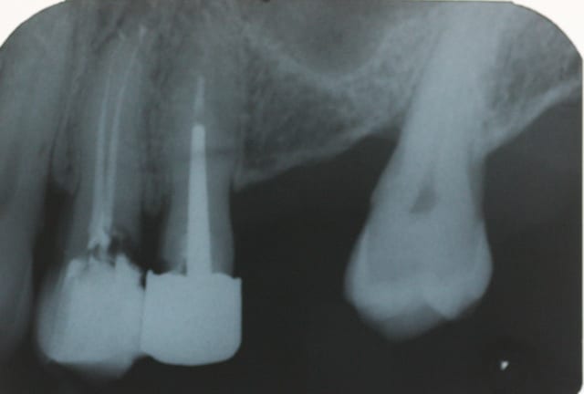
Logo vuaztn - Eugenol
mac

06/09/2007 à 13h37

la radio...

Img 4546 acjmkm - Eugenol

Squash u44zd8 - Eugenol
steph

06/09/2007 à 14h11

J'irais d'autant plus volontiers vers l'implant que tu vas rigoler à déposer (exploser?)le tenon sur 25.


Image odged8 - Eugenol
ploc

06/09/2007 à 14h56

pas de dépose,tu tailles
ou
ça se descelle aux vibrations et IC
ça ne se descelle pas et cela devient l'IC

le pb de l'implant est qu'il faudrait redresser l'axe de 27?
ou vs pouvez le mettre tel que,ds un espace trop etroit avec poche en mesial? pas implanto mais cela ne me parait pas adequat?


docdent

06/09/2007 à 15h19

hallboy Ecrivait:
-------------------------------------------------------

>
> Reste que l'implant est la meilleure solution. On
> peut choisir de ne rien faire aussi. mais il me
> semble qu'en bas ça commence a egresser.


De toute façon en bas on aura droit à une belle CCM pour remettre tout en équilibre tourteau non?....


200106 10150128247663588 709988587 6466236 5598391 n d7mksb - Eugenol
hallboy

06/09/2007 à 15h21

;)) Ya qd meme des cas de merde!! meme si tu fais une plastie sur la 27 tu aura un balcon. pas bon ni pour ton bridge, ni pour ton implant.



Logo vuaztn - Eugenol
mac

06/09/2007 à 15h31

ploc Ecrivait:
-------------------------------------------------------
> pas de dépose,tu tailles
> ou
> ça se descelle aux vibrations et IC
> ça ne se descelle pas et cela devient l'IC


on est d'accord.


> le pb de l'implant est qu'il faudrait redresser
> l'axe de 27?


si on se lance là dedans autant virer virer la dent direct et mettre deux implants.




Image odged8 - Eugenol
ploc

06/09/2007 à 15h40

solution intermédiaire après discussion avec le patient
24 25 26 et sur 27 inlay onlay après assainissement et sur patient motivé pr nettoyer
qd pb coupe en arrière de 25(on peut prevoir) et 2 implants

ça vs fait hurler?


Logo vuaztn - Eugenol
mac

06/09/2007 à 15h55

pourquoi inlay-onlay?


tourteau

06/09/2007 à 17h57

Pour equilibrer les valeurs rétentives des piliers , non?


tourteau

06/09/2007 à 18h20

Heureusement que tu es la pour remonter cette nullité hexagonale mon bjorn !
Autre patiente 14,16 bien amochée vue il ya 10 ans : pas de moyen pour de l’implanto , bridge très aléatoire realisé . Je la revois 10 ans après : sa situation a évoluée , elle est prete à faire des implants quand le bridge lachera …
Loin de moi l’idée de faire de ces cas isolés une règle de conduite : mais je pense que nous avons en face de nous des patients et non pas que des cas cliniques , et un peu de souplesse dans un dialogue raisonné avec le patient peut aider à faire evoluer et arriver à soigner dans des conditions acceptables pour les 2 parties.

Gegr 1997 oyueta - Eugenol
Degre 2007 yugar3 - Eugenol

Bjorn

06/09/2007 à 23h28

Ce cas n'a rien à voir avec le précédent.


"J'aimerais bien savoir comment tu vas coter l'élément sur la prémolaire", tu ne m'as pas répondu...

Pas d'accord du participe passé avec avoir.

A+.


tourteau

07/09/2007 à 14h04

La prémolaire sera cotée HN.
Ces cas ne sont pas identiques mais la démarche est la meme : faut il laisser un patient avec ses problemes dentaires et laisser les choses se dégrader parce qu'il n'a pas la possibilité de réaliser le traitement idéal ou essayer de trouver un compromis qu'il lui permettra plus tard de faire ce traitement ?


12