Tous les forums
et en plus elle est ravie!!!
11/09/2007 à 01h12
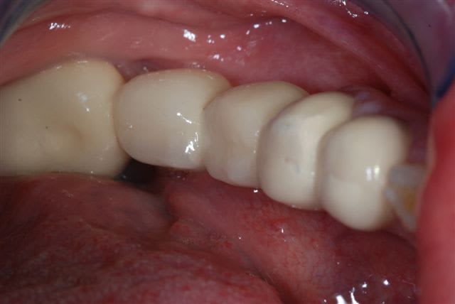
un patient d'origine croate me demande hier si je n'étais pas interessé par la réalisation de mes travaux de prothèse céramique, par un de ces amis prothésiste en croatie. Il me vante ses qualités: "...il a même travaillé aux USA...". "Bref, le mieux Docteur c'est que vous voyez directement ses réalisations, justement ma femme s'est fait soigner là bas cet été". Par curiosité je lui demande de passer 5 minutes aujourd'hui, elle ouvre la bouche, je saisi mon Nikon et ne peux me priver du plaisir de vous faire partager le spectacle.
bien sûr elle est ravie et n'ai pas voulu lui sabrer le moral. Mais parfois, je me demande à quoi çà sert qu'on se décarcasse!
11/09/2007 à 01h43
L'adresse,l'adresse!c'est blanc ,mais c'est le seul point commun avec une dent aussi bien sur l'esthétique que le physiologique!
Le pire ,c'est que le fait que tu prennes des photos ,doit la conforter dans son idée que c'est un travail hors pair!
11/09/2007 à 02h13
En même temps, elle va bien finir par le voir, le métal !
Ce que je ne comprend pas c'est que ça puisse être aussi horrible, ils n'ont pas accès aux protos chinois là bas ? Où est-ce encore trop cher pour eux ?
11/09/2007 à 02h36
growler Ecrivait:
-----------------
> je saisi mon Nikon et ne peux me priver du plaisir de vous faire partager le spectacle.
aaahhhhhhh.. putain, mais c'est à vomir !!
Sans meme critiquer le sens 'artistique', ces bricolages ne sont pas CONFORMES.(ça, tu peux lui dire).
Tu es sur que ce ne sont pas des trucs d'occasion?
Merci beaucoup growler... ces clichés sont supers et très interressants.
11/09/2007 à 11h54
Impressionnant....
Et alors?... Tu as appelé le type pour bosser avec lui?... Ou pour lui apprendre l'anatomie dentaire?... :-))
11/09/2007 à 12h11
Ca me fait penser à la salle de bain pour ses nouveaux carreaux blancs, va falloir que j'appelle le platrier, merci growler, j'avais oublié.
11/09/2007 à 12h29
adhoc Ecrivait:
-------------------------------------------------------
> Ca me fait penser à la salle de bain pour ses
> nouveaux carreaux blancs, va falloir que j'appelle
> le platrier, merci growler, j'avais oublié.
>
MDR.....
11/09/2007 à 12h36
EXEPTIONNEL !!! ( enfin facon de parler )
belle trouvaille Growly ...
11/09/2007 à 18h24
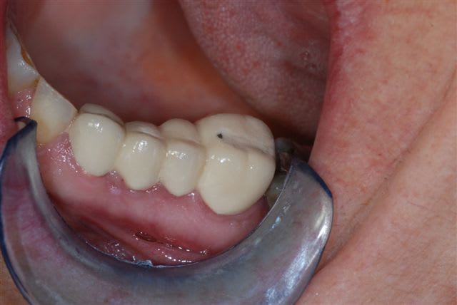
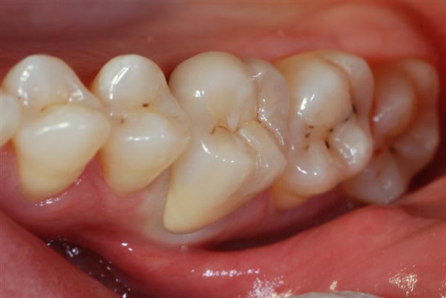
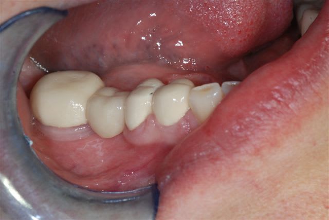
rien de transcendant sur la pano: la plupart des coiffes ont été réalisées sur dents vivantes (vu la tronche des coiffes les piliers n'ont sans doute pas été beaucoup taillés.
11/09/2007 à 18h48
growler Ecrivait:
-------------------------------------------------------
> les piliers n'ont sans doute pas été beaucoup taillés.
Pas d'inlay pour les 37 47.
La nana fait du bruxisme.
Dans 5 ans, tu aura 2 bridges à faire, et p'tet aussi d'autres choses.
Notes que les 16 et 17 sont toujours fragiles.
Et le plan d'occlusion coté droit n'est pas conforme, mais bon, si il n'y avait que ça.
Comment noteriez vous un étudiant pour ça ?
11/09/2007 à 22h57
Sans doute un nouveau concept, couronnes et gouttière tout-en-un ; pas de calage possible.
12/09/2007 à 00h04
Heureusement qu'elle n'a que fait refaire ces dents!!!
Imagine la tête du gynéco...si elle s'est fait refaire toute autre partie de son corps... pas cher!!!
12/09/2007 à 01h10
cocopuce Ecrivait:
-------------------------------------------------------
>si elle s'est fait
> refaire toute autre partie de son corps...
Je comprends mieux ton pseudo!!!!
12/09/2007 à 01h19
c'est de la m....et mince alors ..tu aurais du photographier d'autres parties de son corps ....bon je vais dormir ..salut
06/10/2007 à 16h34
Tlé Zouli ;)
t'as une photo de l'emp ou de la taille sur le modele? c'est pour voir comment tu as preparé en vest mesial