Cookie Consent byPrivacyPolicies.comreformage d’arcades - Eugenol

reformage d’arcades

bjc

14/09/2007 à 04h57

Bonsoir,

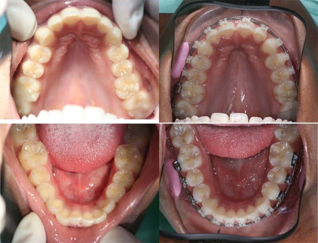
Ce cas est assez banal, il montre les possibilités de reformage de l’arcade Md. avec des systèmes à faible friction

il m’a été pose la question : pourquoi les 7 Inf. ne sont pas appareillées ?
on bague d’entré 6 et 7 dans les anciennes techniques ( friction 125 gr.) où on ne cherche pas d’expansion car on ne sait pas la faire à la Md., on fait du torque d’entré

ici, avec les frottements réduits, on peut obtenir de l’expansion,
si on bague 6 et 7 Md., la m force, en bout d’arc, sera divisée par deux et sera insuffisante,ou très très lente, pour réaliser de l’expansion
on travaille en forces faibles, mais il faut quand m une force minimale
il faut ce qu’il faut, ni plus, ni moins
par contre, elle est suffisante au Max. donc on bague les 7 au Max. et on attends la réponse des 3/5° (Gugguino)

souvent, mais pas toujours, les 7 Inf. suivent
si elle ne suivent pas, les 6 Inf. étant bloquée par l’occlusion, on appareille les 7 Inf. avec la m force d’arc en distal de celui-ci, ou si on a besoin de torque en fin d’expansion

voilà !


@+ Bjc.

Rx - Eugenol
Comparaison arcades 2 ikexll - Eugenol

kri

16/09/2007 à 21h20

Les photos ne rendent probablement pas bien le gros potentiel evoqué, enfin je pense.


bjc

16/09/2007 à 23h43

une photo ne rend pas un potentiel
elle objective un résultat

je pense


kri

17/09/2007 à 22h27

oui justement, comme ca saute pas au yeux.


bjc

17/09/2007 à 23h51

"Quand tu as terminé ce beau travail ortho,"

d'autres, en occlusion voient des choses


kri

18/09/2007 à 16h16

c ce que je disais les photos ne rendent probablement pas toute la gloire que tu merites.

Ou alors c moi qui suis trop limité pour voir .


bjc

19/09/2007 à 00h10

je n’ai aucune gloire, et s’il y en a une, elle revient à des gens comme
Damon, Ronconne, Voudouris, etc.
j’ai appliqué leurs techniques, tout simplement
j’ai voulu montrer combien c’était facile


dento sofiene

19/09/2007 à 04h30

Le profil sur TLR n'est pas assez convexe pour faire de l'expansion qui va d'avantage augmenter cette convexité?
enfin ça reste un point de vue pas plus.


bjc

19/09/2007 à 13h26

"enfin ça reste un point de vue pas plus."
qui dépends de la typologie,
ici créole.


kri

19/09/2007 à 23h35

tu n'aurais pas une photo en occlusion (ou de tes moulages) ? au depart et a la fin


bjc

20/09/2007 à 06h23

je vais te les faire à son prochain RDV.
tu pourras critiquer

amicalement
@+ Bjc.



kri

20/09/2007 à 10h43

c pas le but.

Tu dors jamais?


Avatar transparent iqadnc - Eugenol
adhoc

21/09/2007 à 17h02

Prends ta mappemonde, kri :-))


kri

21/09/2007 à 22h16

serieux il poste en vacance


Avatar transparent iqadnc - Eugenol
adhoc

21/09/2007 à 23h47

Ses vacances peuvent se passer en métropole!!!!!!
(jeu de piste)


kri

23/09/2007 à 20h54

Peut importe, punaize le jour ou je viens sur internet pendant mes vacances....


bjc

26/09/2007 à 05h55

Je ne t’ai pas oublié

le patient a déjà eu un traitement de 3 ans à l’age de 11 ans
(dans un autre cabinet)
voici les modèles en occlusion au départ de mon traitement, (18 ans)

Occlusion 1 ed4c3l - Eugenol

bjc

26/09/2007 à 05h56

voici une comparaison de l’évolution des formes d’arcades sup et inf
11 ans, 18 ans, 19 ans

voyez ce qu’on peut obtenir en 1 an

@+ Bjc.


Comparaison arcades 11 18 19 ans 2 vcfyor - Eugenol

bjc

26/09/2007 à 22h44

Je ne sais pas si vous êtes d’accord, mais la forme d’arcade inférieure à 19 ans ressemble à celle à 11 ans
à l’arcade inférieure, je n’aurai donc fait que récupérer la forme originelle

@+ Bjc.


kri

26/09/2007 à 23h33

Question bete , c'etait quoi le motif de consultation?

Aurais tu l'occlusion actuelle?


SADOUK

27/09/2007 à 00h33

moulages et profil du patient en fin de traitement. Merci


bjc

27/09/2007 à 01h24


il est esthétique, elle a l’impression que ses dents bougent

le pb est : les incisives inf. qui sont comprimées par les canines et partent en avant
photos de son occlusion actuelle au prochain rendez vous

P.S. j’en suis à un an, j’ai pas fini, je ne suis pas magicien

@+ Bjc.

Motif de consultation 4308 xgfgkk - Eugenol

kri

27/09/2007 à 13h01

merci de nous faire part de ton diagnostic, de ton plan de traitement.
De ton pronostic long terme apres traitement.

Ca nous sera certainement profitable a tous.


bjc

27/09/2007 à 15h22

salut,

Diagnostic

la patiente a raison : elle sent ses dents bouger et elle dit qu’elles ne sont pas comme avant
qu’est-ce qui ne va pas là dedans
forme d’arcade du haut ; pas terrible
forme d’arcade Md. étroite avec can. inf. lingualées qui poussent les Inc. en avant, ce qui va pousser aussi en avant les inc. sup.

c’est de l’occlusion instable, la patiente le sens bien quand elle dit que ça bouge et que ce n’est plus avant (sous entendu à la fin de son traitement odf)

bien sur, c’est pas encore très grave et je peux lui proposer une contention
est-ce qu’elle résistera à la poussée des canines ?
de toute manière, ce sera une contention à vie

si Ricketts avait raison en parlant de reformage d’arcades dès le plus age ?
vous avez remarqué qu’à la Md. je n’ai fait, (ou laissé faire) que remettre la forme d’arcade qu'elle avait à 11 ans, et aligné le haut
et si maintenant qu’on sait le faire, ce ne serait pas la solution ?

@+ Bjc.


kri

27/09/2007 à 20h07

et surtout est ce que ton reformage sera stable?


12