Cookie Consent byPrivacyPolicies.comça c'est de la contention. - Eugenol

ça c'est de la contention.

Logo vuaztn - Eugenol
mac

14/09/2007 à 20h52

je vais démonter cette contention et essayer de faire un peu mieux que ça.

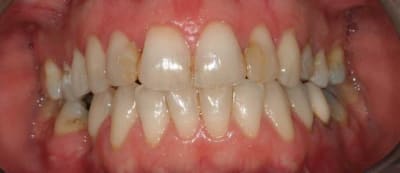
quelle est la meilleure méthode pour faire une contention au maxillaire, sachant que les latérales vont sûrement avoir des facettes ou des couronnes.

-fil de fer?
-ribbond?
-autre?

Img 4608 gyivm5 - Eugenol

Logo vuaztn - Eugenol
mac

15/09/2007 à 11h56

allo?

y a quelqu'un?

me laissez pas seul...


1 eugenol dmj5np - Eugenol
Dancha

15/09/2007 à 12h12

2 questions :

- Pourquoi et depuis quand cette personne a-t-elle cette contention ?
- Quel est son age ?

Daniel


Logo vuaztn - Eugenol
mac

15/09/2007 à 12h17

30 ans.

elle l'a depuis 1 an suite à traitement ortho, elle avait déjà eu un traitement ortho à l'adolescence mais apparemment ça avait "rebougé".

j'ai pas encore de radio, ce qui est sûr c'est que je peux pas la laisser avec ce truc qui empêche d'avoir une bonne hygiène et qui est partiellement décollé.


1 eugenol dmj5np - Eugenol
Dancha

15/09/2007 à 13h48

Un an après, il ne s’agit plus d’une « consolidation », mais bien d’une « contention ».

Autres questions :
Quelle était sa durée prévue par l’orthodontiste ?
Qu’en est-il de l’occlusion des canines ? En classe I avec un bon « verrouillage » ?
Y a-t-il aussi une contention inférieure ?
L’arcade supérieure n’est-elle pas maintenue par l’arcade inférieure ? Dans ce cas, la contention supérieure pourrait s’avérer obsolète..

Une contention « à vie » est différente d’une contention temporaire.

Daniel


Logo vuaztn - Eugenol
mac

15/09/2007 à 13h54

Dancha Ecrivait:
-------------------------------------------------------
> Un an après, il ne s’agit plus d’une «
> consolidation », mais bien d’une « contention ».



effectivement c'est une contention.


> Autres questions :
> Quelle était sa durée prévue par l’orthodontiste
> ?


à vie.


> Qu’en est-il de l’occlusion des canines ? En
> classe I avec un bon « verrouillage » ?


qu'appelles tu verrouillage?



> Y a-t-il aussi une contention inférieure ?


non.

> L’arcade supérieure n’est-elle pas maintenue par
> l’arcade inférieure ?


je ne sais pas.


Dans ce cas, la contention
> supérieure pourrait s’avérer obsolète..


comment je peux le savoir à part la déposer et voir.


> Une contention « à vie » est différente d’une
> contention temporaire.


là c'est censé être à vie.


Img 4607 igiboc - Eugenol

1 eugenol dmj5np - Eugenol
Dancha

15/09/2007 à 14h12

On reprendra la discussion lundi, si tu veux bien.

Daniel

Mac kjqbdf - Eugenol

bjc

15/09/2007 à 14h46

c’est le bas qui te déglingue le haut
les canines inf rentrent et poussent les inc inf en avant
et entraînent le haut en avant
à mon avis, aucune contention sup ne tiendra


Logo vuaztn - Eugenol
mac

15/09/2007 à 16h55

Dancha Ecrivait:
-------------------------------------------------------
> On reprendra la discussion lundi, si tu veux
> bien.
>
> Daniel


bien sûr que je veux, c'est très intéressant.

donc y a un verrouillage, ça implique quoi?


Logo vuaztn - Eugenol
mac

15/09/2007 à 16h55

bjc Ecrivait:
-------------------------------------------------------
> c’est le bas qui te déglingue le haut
> les canines inf rentrent et poussent les inc inf
> en avant
> et entraînent le haut en avant
> à mon avis, aucune contention sup ne tiendra
>


et donc?


Grueavatar nptrc9 - Eugenol
Le Choixpeau magique

15/09/2007 à 22h13

Si j'ai bien compris:
- il y a un verrou à gauche mais pas à droite, donc situation à risque.
- La contention est en haut alors qu'elle devrait être en bas.


200106 10150128247663588 709988587 6466236 5598391 n d7mksb - Eugenol
hallboy

15/09/2007 à 22h47

le pb c'est qu'on c'est pas occupé du bas.

43 sur 12 et 13 sur 44 qui commence deja a faire la gueule ( fente de stillman? on voit pas bien )

l'autre coté, j'aimerai voir en mouvement


Logo vuaztn - Eugenol
mac

15/09/2007 à 23h18

hallboy Ecrivait:
-------------------------------------------------------
> le pb c'est qu'on c'est pas occupé du bas.
>
> 43 sur 12 et 13 sur 44 qui commence deja a faire
> la gueule


la 44 fait la gueule parce que la 45 lui manque, je pense.


catrose

16/09/2007 à 16h06



il serait aussi interessant de voir la situation avant le ttt odf:les recidives sont en rapport avec les mouvements effectues pendant le ttt
tu en as un bon exemple dans le dernier cas de Dancha en rubrique cas clinique:la 21 est repartie en migration distale(masquee par un gros compo mesial qui tient l'attelle abjean-genon),les autres dents n'ont pas bouge

pour ton cas,si tu veux une contention qui te permette de respecter au mieux hygiene,esthetique et fonction dans un avenir durable,je ne vois que 4 ceram,12-11,21-22
evidemment c'est dommage,et tres lourd
donc il va falloir que tu renonces a certaines exigences
une solution combinee et acceptable serait facettes sur 12 et 22(probleme du retour palatin?),puis empreinte envoyee au labo odf qui te modelera un fil tresse colle en palatin de 12 a 22 tout en respectant l'occlusion
au niveau hygiene,ca passe,esthetique et fonction respectees sans trop de sacrifice tissulaire,contention fiable


Logo vuaztn - Eugenol
mac

16/09/2007 à 16h31

ben justement je m'étais posé la question si des coiffes ou des facettes solidarisées de 12 à 22 étaient une contention suffisante, étant donné que 12 et 22 risquent de se transformer en facettes et que la patiente n'aime pas la forme de ses 11 et 21.

des avis?


bjc

16/09/2007 à 18h07

des facettes solidarisées, hum ! why not

les canines inf. vont continuer à migrer, les inc. Inf. à se chevaucher, pousser sur le haut etc…
c’est le bas qui va gagner, ce qui entraînera une version du bloc antéro-sup. 12/11/21/22
(les dents qui courent après le beefsteak comme on dit dans les campagnes)

éventuellement si tu fais un bridge 13/23
et que tu mise sur une abrasion des Inc. Inf.

@+ Bjc.



200106 10150128247663588 709988587 6466236 5598391 n d7mksb - Eugenol
hallboy

16/09/2007 à 19h02

traiter le bas en ortho pour l'aligner correctement et fonctionellement, c'est juste une idée d'omni a coté de la plaque?


Logo vuaztn - Eugenol
mac

16/09/2007 à 19h15

hallboy Ecrivait:
-------------------------------------------------------
> traiter le bas en ortho pour l'aligner
> correctement et fonctionellement, c'est juste une
> idée d'omni a coté de la plaque?



ben le problème c'est que la patiente vient de finir son second traitement d'ortho et qu'en théorie c'est bon.


Image odged8 - Eugenol
ploc

16/09/2007 à 20h18


pr les interrogations de mac,pas de contention collée:elle ne tiendra pas plus mais comme tu n'es pas SQ!!!, tu es donc plus facilement attaquable et remis en question
délègues à un SQ....
ou passe en fixe,mais il va falloir expliquer et convaincre pourquoi 4 ou 6 couronnes soudées


>


bjc

16/09/2007 à 23h53

voici un cas qui parait plus qu’acceptable

Img 0216 bfc2pz - Eugenol

bjc

16/09/2007 à 23h57

3 ans de ttt. ODF.
la patiente vient consulter pour refaire ses contentions car elle sent que ses dents bougent (11/12)
elle a été traitée par extraction des 4 P.M. !!!

2 maxillaires 1 uhmamu - Eugenol

bjc

17/09/2007 à 00h01

elle a cassé la contention collée du haut, remplacée par une plaque à bandeau
et la contention du bas laisse apparaître un diastème

je lui ai répondu qu’il fallait reprendre le ttt.
elle ne veut pas
je ne peux pas grand-chose pour elle, toutes mes contentions casseront
et ce sera ma faute !

Contention 1 ncdquq - Eugenol

Logo vuaztn - Eugenol
mac

17/09/2007 à 00h07

ploc Ecrivait:
-------------------------------------------------------

> ou passe en fixe,mais il va falloir expliquer et
> convaincre pourquoi 4 ou 6 couronnes soudées

est ce que 4 ça suffit ou pas?


bjc

17/09/2007 à 00h21

je dirai 6
tu as de la chance, car dans mon cas, c’est contention par bridge complet haut et bas
vas expliquer ça !

@+ Bjc.


Logo vuaztn - Eugenol
mac

17/09/2007 à 00h23

bjc Ecrivait:
-------------------------------------------------------
> je dirai 6
> tu as de la chance,


c'est surtout la patiente qui en a pas.


12