Cookie Consent byPrivacyPolicies.comJe fais quoi ? (cas posté aussi en pédo) - Eugenol

Je fais quoi ? (cas posté aussi en pédo)

Avatar eex0qq - Eugenol
Pépé

15/09/2007 à 13h00

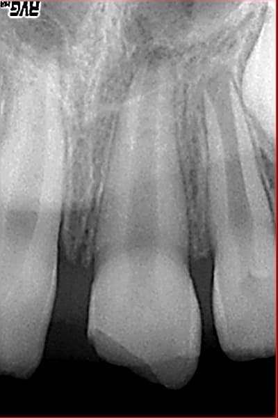
Jeune patient de 8 ans.
La 21 est fracturée depuis 2 ans, apparemment l'ancien dentiste posait un vernis de temps en temps et vérifiait la vitalité.
C'est la bonne méthode ou bien mieux vaut-il reconstituer sachant que la dent n'est pas mature.
La vitalité est toujours positive.

Jeune jksbhf - Eugenol

Dr - Eugenol
JeRis

15/09/2007 à 13h43

... le vernis, c'était quoi? fluor, étancheité?

Pour ma part, si le gosse est coopératif: empreinte, wax-up, clef palatine et reconstitution. Pour l'esthétique et l'étancheité.


Avatar eex0qq - Eugenol
Pépé

15/09/2007 à 14h30

Non en fait je viens d'avoir la maman au téléphone, rien n'était fait juste un test de vitalité de temps en temps.
Rectificatif fracture depuis un an.


200106 10150128247663588 709988587 6466236 5598391 n d7mksb - Eugenol
hallboy

15/09/2007 à 16h07

JeRis Ecrivait:
-------------------------------------------------------
> ... le vernis, c'était quoi? fluor, étancheité?
>
> Pour ma part, si le gosse est coopératif:
> empreinte, wax-up, clef palatine et
> reconstitution. Pour l'esthétique et l'étancheité.


en quoi la clef? pourquioi pas juste un petit moue transparent et sculpter apres?


Image odged8 - Eugenol
ploc

15/09/2007 à 16h14

hallboy Ecrivait:
-------------------------------------------------------
>
> en quoi la clef? pourquioi pas juste un petit moue
> transparent et sculpter apres?

répondu en pedo,non mais!
mais pr hallboy..
le moule ne te permet pas de monter en strat,sauf à le faire à l'envers ds le moule mais il faut dèjà bien connaitre tes teintes(cela dit c'est rigolo à faire et plus simple)
et pr le moule avec les moules d'angle,tu n'as pratiqut rien à resculpter
voili,voilà



Dr - Eugenol
JeRis

15/09/2007 à 16h58

hallboy Ecrivait:
-------------------------------------------------------
en quoi la clef? pourquioi pas juste un petit moue
> transparent et sculpter apres?


... en platre, recouvert d'isolant.
En silicone dur ça doit aussi le faire.

Le petit moule d'angle, c'est bien aussi (moins précis, plus de retouches à mon sens) ... quand on a un assortiment de tailles à disposition ;)

T'es mignon quand tu fais la moue :)))





Spriford

15/09/2007 à 17h19

JeRis Ecrivait:
> empreinte, wax-up, clef palatine et reconstitution.


J'ai jamais vu faire... Tu pourrais nous montrer ?
Merci d'avance.


Dr - Eugenol
JeRis

15/09/2007 à 20h15

... empreintes > le prothésiste reconstitue les zones fracturées en cire dure (intéressant surtout s'il y a plus d'un angle fracturé) et fait une clef palatine en silicone dur voire en platre > tu te sers de cette clef pour guider le montage de ton compo.


Spriford

16/09/2007 à 00h04

Ok merci.
Franchement, ça me parait bien compliqué pour un bout d'angle qui manque. Vous êtes nombreux à faire ça?
(Moi je fais avec un moule transparent et un compo opaque ).


Image odged8 - Eugenol
ploc

16/09/2007 à 00h16

tu peux aussi le faire en indirect en prenant l'empreinte et la coulant au quickdie(bisico):montage du compo sur le modéle puis collage en bouche
avantage:la possibilité de faire le compo tranquille et de coller à un autre RV

il y a eu un cas montré par ivetol ds un temps lointain avec photos si qq'un sait chercher

pr repondre à spritford,le rendu esthetique est incomparable avec du mono teinte
comme pr la ceram en monocouche ou maquillée


catrose

16/09/2007 à 12h19



comme ploc
mais je ne peux m'empecher de m'etonner sur l'attitude du premier praticien:
est-ce que vous ne trouveriez pas impensable de laisser cette incisive non reconstituee chez un adulte?
dent mature ou immature,ce n'est pas le probleme ici
enfants ou adultes, meme techniques de reconstitutions,les CAT sont differentes seulement en cas d'atteintes pulpaires ou de fractures basses


Avatar eex0qq - Eugenol
Pépé

16/09/2007 à 13h03

catrose Ecrivait:
-------------------------------------------------------
> >
> comme ploc
> mais je ne peux m'empecher de m'etonner sur
> l'attitude du premier praticien:
> est-ce que vous ne trouveriez pas impensable de
> laisser cette incisive non reconstituee chez un
> adulte?
> dent mature ou immature,ce n'est pas le probleme
> ici
> enfants ou adultes, meme techniques de
> reconstitutions,les CAT sont differentes seulement
> en cas d'atteintes pulpaires ou de fractures
> basses
>

Merci Catrose
Ma première attitude a été la même que toi, mais la maman du patient toujours en relation avec le premier dentiste avait réussi à me faire douter, d'où une certaine confusion dans mon esprit qui m'a amené à poser la question ici.
Comme toi je trouve ça anormal de laisser une dent dans cet état et se contenter de surveiller la vitalité de temps en temps (combien de fois sur 1 an, d'ailleurs ?)


200106 10150128247663588 709988587 6466236 5598391 n d7mksb - Eugenol
hallboy

16/09/2007 à 13h08

fractures basse + dent immature: à partir de quand vous NE mettez PAS le compo, quoi en attente et qd le met on?

PS: rapide et resultat correct: angle, fraiser la couche superficielle de compo pour conserver un fond, puis seconde couche par dessus, mettre angle


catrose

16/09/2007 à 13h40

hallboy Ecrivait:
-------------------------------------------------------
> fractures basse + dent immature: à partir de quand
> vous NE mettez PAS le compo, quoi en attente et qd
> le met on?


on met toujours un compo,ce qui varie c'est ce qu'on met dessous
et cela va dependre de l'exposition pulpaire(surface exposee et temps d'exposition)
en cas de coiffage pulpaire,de pulpotomie partielle (methode de Cvek)pour une dent immature,le protocole en general est:
-hydroxide de calcium
-glass ionomer
-compo
cela permet d'attendre la maturation de la racine(apexogenese)
test de vitalite et radiographies a 1 mois,puis tous les trois mois


dans ton cas Pepe,la maturation est presque finie et la vitalite positive:pas de souci

pour les fractures,toujours demander aux parents ou a l'entourage de chercher le bout de dent cassee,un collage monopiece(ou multi pour ploc;) est toujours plus esthetique qu'une reconstitution composite





Image odged8 - Eugenol
ploc

16/09/2007 à 14h13

catrose Ecrivait:
-------------------------------------------------------
>> on met toujours un compo,

TOUJOURS!!!!!!!!!!!!!!!!!!!!!!!!!!!!



> et cela va dependre de l'exposition
> pulpaire(surface exposee et temps d'exposition)
> en cas de coiffage pulpaire,de pulpotomie
> partielle (methode de Cvek)pour une dent
> immature,le protocole en general est:
> -hydroxide de calcium
> -glass ionomer
> -compo
> cela permet d'attendre la maturation de la
> racine(apexogenese)
> test de vitalite et radiographies a 1 mois,puis
> tous les trois mois

comme catrose:)
avec un rajout:si tu as,que tu es dévoué (gratuit ds ce cas)ou que tu oses prendre du HN, au lieu du Caoh,mets du MTA (les dernières etudes montrent des resultats bc plus probants pr la formation d'un pont dentinaire)
>
>
>
> pour les fractures,toujours demander aux parents
> ou a l'entourage de chercher le bout de dent
> cassee,un collage monopiece(ou multi pour ploc;)
> est toujours plus esthetique qu'une reconstitution> composite

sauf pr la teinte si le morceau a été conservé ds ...rien et que tu ne le vois que 2 ou 3 jours après
je viens d'en recoller un:c'est bc plus blanc crayeux:(
>
>
>
>
>