Cookie Consent byPrivacyPolicies.compour s'y mettre... - Eugenol

pour s'y mettre...

shainece

18/09/2007 à 01h40

D'après vous, quelle est la meilleure formation qui existe pour pratiquer l'implanto?
DU? Formations privées?


Grueavatar nptrc9 - Eugenol
Le Choixpeau magique

18/09/2007 à 02h23

Quelle question originale !


024 vownvo - Eugenol
annie

18/09/2007 à 06h12

Tiens j'ai trouvé une formation sur youtube:)

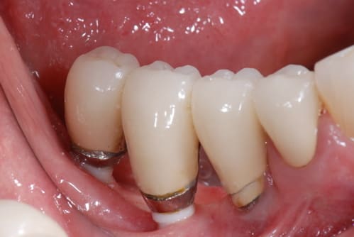
question aux pro,c'est normal que le moignon soit si court,ou c'est un stade intermédiaire?( je sais qu'il va y avoir une couronne dessus:),mais il est vraiment court!


carole

19/09/2007 à 00h19

joli shoot annie :) la vidéo est assez bien filmée....ya plus qu'à se lancer...

à defaut, on peut lancer ....le debat :) débat sur les implants zyrcones, les études faites ou pas, le recul clinique, le nombre d' implants de ce type déjà posés depuis plus de 24 mois, l' état de surface, le couple de serrage, les resistances méca, la stabilité de l' os crestal, le profil de l' implant, les instruments straumann visibles sur la vidéo, le comblement autour de l' implant post exo, le positionnement antéro-postérieur de l' implant....

le seul truc qui ne me choque pas annie, c'est la hauteur du moignon, car, avec un usinage, l' adaptation est telle que ça n' est pas du tout génant comme sur des quenottes, en plus, ici, ça finie type cone morse vue le petit coup de maillet....enfin, j' imagine.....

il n'y a donc plus qu'à s'y mettre... :D


shainece

19/09/2007 à 00h47

Merci, c'est chouette de se sentir épaulé, conseillé, guidé...vive eugenol et son esprit d'entraide, de solidarité, d'assistance...un véritable réseau confraternel. J'adore.


carole

19/09/2007 à 01h04

TOUT est bon! après, il y a des philosophies, des individus, plus que des etiquettes...et ce qui suffit à une personne sera peut etre bien trop insuffisant pour une autre! no stress, ici, j'ai suivi le fil d'annie et de la vidéo car j' ai trouvé ça drole, mais mon humour, parfois....heuuu, enfin, souvent.... heuuuu.. bref, ....passons!!! :S

va voir les conf, les gens, les sociéts, tous et toutes, et fais toi ton idée, approche toi d' un mentor (ou une ;) lol et développe ta clinique.... voilou le peiti conseil d' une jeune....


024 vownvo - Eugenol
annie

19/09/2007 à 03h17

carole Ecrivait:
-------------------------------------------------------
> joli shoot annie :) la vidéo est assez bien
> filmée....ya plus qu'à se lancer...


Facile Carole,guidée par un autre intervenant pour un autre sujet

> à defaut, on peut lancer ....le debat :) débat sur
> les implants zyrcones, les études faites ou pas,
> le recul clinique, le nombre d' implants de ce
> type déjà posés depuis plus de 24 mois, l' état de
> surface, le couple de serrage, les resistances
> méca, la stabilité de l' os crestal, le profil de
> l' implant, les instruments straumann visibles sur
> la vidéo, le comblement autour de l' implant post

Lancez donc ce débat! mais pour le recul???

> exo, le positionnement antéro-postérieur de l'
> implant....

Oui cela m'a choqué aussi,mais comment aurais-je pu oser le dire vu mon incompétence en la matière!
>
> le seul truc qui ne me choque pas annie, c'est la
> hauteur du moignon, car, avec un usinage, l'
> adaptation est telle que ça n' est pas du tout
> génant comme sur des quenottes, en plus, ici, ça
> finie type cone morse vue le petit coup de
> maillet....enfin, j' imagine.....

Tu veux dire que la hauteur du moignon n'a aucune incidence sur la tenue de la couronne? N'y a t-il pas le même probleme de bras de levier et d'equilibration des forces?
>
> il n'y a donc plus qu'à s'y mettre... :D

Pour moi ,je pense qu'il est trop tard,mais effectivement il est difficile de nos jours de ne pas s'y mettre,la demande est là,et les methodes je crois ,grandement simplifiées!



maxx

27/09/2007 à 23h37

le plus sympa pour se lancer c'est d'avoir un pote ou une qui puisse venir à ton cabinet et poser avec toi, sur tes propres patients, et simultanément faire ta formation implanto ( perso j'ai fait une formation privée, le cfi, certains pdt cette formation avaient fait le du de garancière et avaine t été très déçu. le du de cochin est pas mal.


Péach

28/09/2007 à 02h27

annie Ecrivait:
>
> > à defaut, on peut lancer ....le debat :) débat
> sur les implants zyrcones, les études faites ou
> pas, le recul clinique, le nombre d' implants de ce type déjà posés depuis plus de 24 mois, l' état de surface, le couple de serrage, les resistances méca, la stabilité de l' os crestal, le profil
de l' implant,
> Lancez donc ce débat! mais pour le recul???

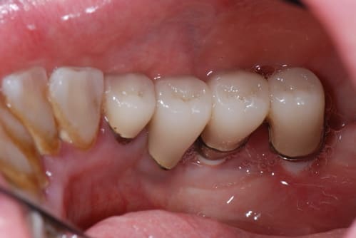
pour le débat, voici ce que j'ai posé en 1990, 1 TBR vissé + 2 zircones vissés de Sandhaus, et voici le résultat 17 ans plus tard. comme le mélange des genres va interpeller, j'explique. il s'agit là de la 2ème pose d'implant de ma carrière débutante, alors que je faisais le DU de la Salpétrière. c'était à l'époque où l'on débatait sur le risque de solidariser un implant à une dent. j'ai finalement préféré ne pas solidariser mes 2 implants 36-37 à la 34 et j'ai donc rajouté un implant en 35 par la suite; entre temps, j'avais abandonné les implants en zircone car la technique chirurgicale proposée avec ne me plaisait pas et que celle proposée pour les implants en titane me convenait davantage. il s'agissait déjà pour Sandhaus de poser les implants sans faire de lambeau et pour le débutant que j'étais, je trouvais ça trop délicat; j'ai donc terminé le cas avec un TBR en technique Branemark plus sécurisante.

1990 z z6g6mg - Eugenol
1990 ufkjgx - Eugenol
2007vest fz9ez9 - Eugenol
2007 ling bd1ehk - Eugenol

Péach

28/09/2007 à 02h29

suite doc

2007 moynzw - Eugenol
2007 2 dbp0qc - Eugenol

lololescrocs

06/10/2007 à 16h28

J'ajouterai qu'un implant ZrO, c'est fait pour mettre une chape ZrO par dessus:

Retouche du moignon impossible (joli "bosse" vestibulaire en perspective sur cette latérale)

Impossible de compenser le manque de hauteur par l'épaisseur de la chape (Zro) donc gosse épaisseur de céramique au bord libre (fine et opaque en vestibulaire) et gros risque de fracture de la Céramo Céramique.

Une conf donnée sur la ZrO par un enseignant INSA a amené gentiment la conclusion que malgré ses faculté d'"autoréparation par "autocomblement" (c'est de la cristallo avec changements de phase etc...) la zircone (même la meilleure, même usinée, même sans retouche) présente toujours des imperfections qui ne feront que s'aggraver avec le nombre de cycles de contraintes...
... pour finir tôt ou tard avec une fracture.
Et déposer de la zircone, bonjour les échauffements et la casse de matos!

Les orthopédistes en reviennent, mais, les dentistes, on y va à donf!

Ben pas moi!


HTI

08/10/2007 à 12h09

lololescrocs Ecrivait:
-------------------------------------------------------
> J'ajouterai qu'un implant ZrO, c'est fait pour
> mettre une chape ZrO par dessus:
>
>>
> Une conf donnée sur la ZrO par un enseignant INSA
> a amené gentiment la conclusion que malgré ses
> faculté d'"autoréparation par "autocomblement"
> (c'est de la cristallo avec changements de phase
> etc...) la zircone (même la meilleure, même
> usinée, même sans retouche) présente toujours des
> imperfections qui ne feront que s'aggraver avec le
> nombre de cycles de contraintes...
> ... pour finir tôt ou tard avec une fracture.
> Et déposer de la zircone, bonjour les
> échauffements et la casse de matos!
>
> Les orthopédistes en reviennent, mais, les
> dentistes, on y va à donf!
>
> Ben pas moi!


Bonjour,


Permettez moi de préciser les faits auxquels vous faites allusion.
Je pense qu'il ne faut pas tout mélanger. Comme pour les matériaux métalliques, il y a céramique et céramique et tout matériau "vieilli" lors de sollicitation en fatigue.

Dire que les orthopédistes en reviennent est un peu hatif. En 2000/2001 le plus gros fabricant (français) de ce matériau (zircone) livre des lots produits non conforme à l'exigence normative. Sur 3 de ces lots, il y aura des taux de rupture in vivo trés important. Pour éviter de reconnaitre une erreur industrielle (et donc d'indemniser éventuellement les patients), cette société fermera l'application médicale et jettera le discrédit sur le matériau, relayé en celà par un de nos confrères qui se servira de l'argument marketing pour remettre en selle un matériau obsolescent.
Résultat des courses, les orthopédistes qui enregistraient des taux de rupture de têtes fémorales en céramique voisins de 1 pour 10.000 têtes implantées enregistrent aujourd'hui des taux de rupture de l'ordre de 2 à 3 pour 1.000 têtes. A un point tel que la HAS se pose aujourd'hui des questions sur l'utilisation de la céramique...

La zircone est utilisée en orthopédie depuis 1988. Plus d'un million de pièces sont implantées dans le monde. En 2007, nous cherchons désespérement des explants et des communications scientifiques objectives...

Pour finir, l'utilisation de la zircone est, comme l'alumine, une idée française. Comble de l'ironie, ce matériau est en train de revenir par les USA et le Japon...

Pour votre information et toujours dans le domaine orthopédique, savez vous que la matériovigilance française enregistre 5 fois plus de rupture de tiges fémorales en titane que de têtes fémorales en céramique ?

Je reste à votre entière disposition pour vous fournir toute précision complémentaire voire vous montrer en situation le comportement des matériaux.

Philippe


lololescrocs

08/10/2007 à 16h09

Ce que j'en dis est ce que j'en ai entendu à la conf (ingénieur en biomat de l'INSA).

Plusieurs remarques toutefois:

1-Ils ont effectivement souligné que tout matériau vieillit, mais que les métaux supportent environ 100 fois de cycles de "vieillissement" en flexion que la meilleure des céramiques, à savoir la Zircone usinée et NON retouchée.

2-J'utilise pour ma part des implants Grade 5 en alliage de Titane, justement parceque leur résistance est supérieure à celle du titane pur (généralement grade 2 à 4 en dentaire)
ça me paraît plus sécurisant chez un bruxomane (ou futur bruxo potentiel)ou si mon implant est de petit diamètre.

3-Vous comparez des taux de fractures de têtes en Zircone (lesquelles travaillent en compression, ce qu'elles encaissent le mieux) à celui de tiges en titane, lesquelles travaillent plutôt en flexion... ou bien j'ai mal compris votre argumentaire, auquel cas désolé. :-*

Les implants dentaires antéro-sup sont destinés à un travail en cisaillement, peu en compression.

4-Dans l'application qu'on nous invitait à admirer (je voudrais voir dans 10 ans), il aurait fallu retoucher au minimum la face vestibulaire, d'où une chute vertigineuse des aptitudes au vieillissement de l'implant.

Plutôt risqué non?

Et ça ne résolvait toujours pas le problème de l'épaisseur de céramique au bord libre, à moins de compenser en réalisant une chape plus haute et épaisse... en métal? ;)


A la limite, il faudrait sous la main (ou sur commande quîte à différer la réimplantation) un grand éventail d'implants de différents diamètres, angulations et hauteurs de moignons, avec des "gabaris" permettant d'anticiper le choix. :I

5-Loin de moi l'idée de ruiner l'industrie française, mais je maintiens que retirer un implant fracturé en ZrO sans échauffer l'os doit être une sacré partie de plaisir (:o

Cela étant, je pense que la zircone a sans doute plein d'application judicieuses en compression.

Merci de votre offre, et je reste à l'écoute...
;)




HTI

09/10/2007 à 20h22

lololescrocs Ecrivait:
-------------------------------------------------------
> Ce que j'en dis est ce que j'en ai entendu à la
> conf (ingénieur en biomat de l'INSA).
>
> Plusieurs remarques toutefois:
>
> 1-Ils ont effectivement souligné que tout matériau
> vieillit, mais que les métaux supportent environ
> 100 fois de cycles de "vieillissement" en flexion
> que la meilleure des céramiques, à savoir la
> Zircone usinée et NON retouchée.
>
> 2-J'utilise pour ma part des implants Grade 5 en
> alliage de Titane, justement parceque leur
> résistance est supérieure à celle du titane pur
> (généralement grade 2 à 4 en dentaire)
> ça me paraît plus sécurisant chez un bruxomane (ou
> futur bruxo potentiel)ou si mon implant est de
> petit diamètre.
>
> 3-Vous comparez des taux de fractures de têtes en
> Zircone (lesquelles travaillent en compression,
> ce qu'elles encaissent le mieux) à celui de tiges
> en titane, lesquelles travaillent plutôt en
> flexion... ou bien j'ai mal compris votre
> argumentaire, auquel cas désolé. :-*
>
> Les implants dentaires antéro-sup sont destinés à
> un travail en cisaillement, peu en compression.
>
> 4-Dans l'application qu'on nous invitait à admirer
> (je voudrais voir dans 10 ans), il aurait fallu
> retoucher au minimum la face vestibulaire, d'où
> une chute vertigineuse des aptitudes au
> vieillissement de l'implant.
>
> Plutôt risqué non?
>
> Et ça ne résolvait toujours pas le problème de
> l'épaisseur de céramique au bord libre, à moins de
> compenser en réalisant une chape plus haute et
> épaisse... en métal? ;)
>
>
> A la limite, il faudrait sous la main (ou sur
> commande quîte à différer la réimplantation) un
> grand éventail d'implants de différents diamètres,
> angulations et hauteurs de moignons, avec des
> "gabaris" permettant d'anticiper le choix. :I
>
> 5-Loin de moi l'idée de ruiner l'industrie
> française, mais je maintiens que retirer un
> implant fracturé en ZrO sans échauffer l'os doit
> être une sacré partie de plaisir (:o
>
> Cela étant, je pense que la zircone a sans doute
> plein d'application judicieuses en compression.
>
> Merci de votre offre, et je reste à l'écoute...
> ;)
>
>
>
>
Bonsoir,


Merci pour votre réponse rapide. Je ne connais pas le conférencier auquel vous faites allusion mais je précise simplement que certains « experts » de cette grande école sont en partie à l’origine des réponses alambiquées qui ont fait que vos confrères orthopédistes ne savent plus à quels saints se vouer… et de toutes ces théories « surprenantes » sur le matériau zircone.

Avant de vous répondre, je vous signale simplement que nous n’avons pas d’expérience et de compétence « produit » nous réalisons seulement et « a façon » pour vos fournisseurs les composants demandés. Nous sommes donc bien incapables de répondre sur vos points 3, 4 & 5. En revanche, nous avons un certain recul in vivo (bientôt 20 ans) sur le comportement de nos matériaux. Ne cherchez pas dans mon propos une quelconque justification à l’emploi de tel ou tel matériau.
Chacun à ses propriétés propres et doit etre utilisé en toute connaissance de cause. C’est le rôle d’un professionnel que de vous proposer le matériau (polymère, métal ou céramique) qui répondra techniquement à votre attente.

Sur le matériau céramique zircone et pour revenir sur le fond de ma réponse, qu’entendent ils par la meilleure céramique est une zircone usinée et non retouchée ? Quelle zircone, stabilisée, partiellement stabilisée et à quoi ? Une zircone obtenue par quels moyens (injection, pressage…) ? Quel est le référentiel normatif ? Si elle est usinée, elle est, me semble t’il, « retouchée » ? Quelle est leur définition mécanique d’une retouche ? En quoi engendrerait elle une altération mécanique des propriétés mécaniques ? Vous évoquez un vieillissement en fatigue pourquoi pas, quel est le protocole, est ce un vieillissement hydrothermal ? Il y aurait encore des quantités de questions.
Dans ma réponse initiale, je voulais simplement souligner le danger d’une généralisation hâtive. Il n’y a pas de mauvais matériaux, seulement de mauvaises utilisations de ces matériaux… Dans l’orthopédie et face aux rumeurs les plus folles qui ont circulé en 2000 et 2001, ce qui a prévalu et je le conçois parfaitement, est le principe de précaution en retournant à des matériaux plus classiques et pour lesquels l’historique (bon ou mauvais) était important. Aujourd’hui la « tempête » est en train de retomber... et quand je vois certains apprentis sorciers vous offrir des « produits zircones »…

De même, dans ma comparaison sur la différence de ruptures constatées entre les têtes et tiges fémorales, vous avez totalement raison de souligner la différence de sollicitations mécaniques et donc « la non-objectivité » de cette affirmation.
En revanche et c’était l’objet de ma remarque, trouvez vous normal que l’on fasse autant de « battage » pour la casse d’un des composants d’une PTH et que l’on passe sous silence la rupture d’un autre composant sachant de surcroît que ce taux est largement supérieur ?
Surtout quand on connaît les courbes de survie à 5/7 ans dans le cas d’une reprise de PTH… (60% à 5 ans et 42% à 7 ans, source Jérôme Allain JBJS 85A n°5 p285)

Pour finir, oui les céramiques en général et la zircone en particulier sont de meilleurs emplois en compression mais elle est aussi très utilisée (zircone) pour sa capacité de déformation « élastique » notamment dans les roulements de précision. La plus grosse utilisation de la zircone aujourd’hui dans le monde est dans votre voiture ou plus exactement dans votre pot catalytique, c’est la fameuse sonde « lambda » … Encore une application … sans compression ;-)

Merci encore une fois de votre réponse et je reste toujours à votre disposition pour un échange non virtuel.



Philippe

Question subsidiaire, hormis l’implant Sandoz, avez-vous souvent rencontré des implants dentaires en zircone fracturés ? Nous avons très peu de recul (4 ans) et seulement quelques milliers de pièces endo osseuses implantées (dentaire) mais, à ma connaissance, sans fracture à ce jour. Je suis preneur de toute information sur ce sujet.



alhoun

09/10/2007 à 20h51

HTI Ecrivait:
-------------------------------------------------------
> lololescrocs Ecrivait:
> --------------------------------------------------
> -----
> > Ce que j'en dis est ce que j'en ai entendu à la
> > conf (ingénieur en biomat de l'INSA).
> >
> > Plusieurs remarques toutefois:
> >
> > 1-Ils ont effectivement souligné que tout
> matériau
> > vieillit, mais que les métaux supportent
> environ
> > 100 fois de cycles de "vieillissement" en
> flexion
> > que la meilleure des céramiques, à savoir la
> > Zircone usinée et NON retouchée.
> >
> > 2-J'utilise pour ma part des implants Grade 5
> en
> > alliage de Titane, justement parceque leur
> > résistance est supérieure à celle du titane pur
> > (généralement grade 2 à 4 en dentaire)
> > ça me paraît plus sécurisant chez un bruxomane
> (ou
> > futur bruxo potentiel)ou si mon implant est de
> > petit diamètre.
> >
> > 3-Vous comparez des taux de fractures de têtes
> en
> > Zircone (lesquelles travaillent en
> compression,
> > ce qu'elles encaissent le mieux) à celui de
> tiges
> > en titane, lesquelles travaillent plutôt en
> > flexion... ou bien j'ai mal compris votre
> > argumentaire, auquel cas désolé. :-*
> >
> > Les implants dentaires antéro-sup sont destinés
> à
> > un travail en cisaillement, peu en compression.
> >
> > 4-Dans l'application qu'on nous invitait à
> admirer
> > (je voudrais voir dans 10 ans), il aurait fallu
> > retoucher au minimum la face vestibulaire, d'où
> > une chute vertigineuse des aptitudes au
> > vieillissement de l'implant.
> >
> > Plutôt risqué non?
> >
> > Et ça ne résolvait toujours pas le problème de
> > l'épaisseur de céramique au bord libre, à moins
> de
> > compenser en réalisant une chape plus haute et
> > épaisse... en métal? ;)
> >
> >
> > A la limite, il faudrait sous la main (ou sur
> > commande quîte à différer la réimplantation) un
> > grand éventail d'implants de différents
> diamètres,
> > angulations et hauteurs de moignons, avec des
> > "gabaris" permettant d'anticiper le choix. :I
> >
> > 5-Loin de moi l'idée de ruiner l'industrie
> > française, mais je maintiens que retirer un
> > implant fracturé en ZrO sans échauffer l'os
> doit
> > être une sacré partie de plaisir (:o
> >
> > Cela étant, je pense que la zircone a sans
> doute
> > plein d'application judicieuses en compression.
> >
> > Merci de votre offre, et je reste à l'écoute...
> > ;)
> >
> >
> >
> >
> Bonsoir,
>
>
> Merci pour votre réponse rapide. Je ne connais pas
> le conférencier auquel vous faites allusion mais
> je précise simplement que certains « experts » de
> cette grande école sont en partie à l’origine des
> réponses alambiquées qui ont fait que vos
> confrères orthopédistes ne savent plus à quels
> saints se vouer… et de toutes ces théories «
> surprenantes » sur le matériau zircone.
>
> Avant de vous répondre, je vous signale simplement
> que nous n’avons pas d’expérience et de compétence
> « produit » nous réalisons seulement et « a façon
> » pour vos fournisseurs les composants demandés.
> Nous sommes donc bien incapables de répondre sur
> vos points 3, 4 & 5. En revanche, nous avons un
> certain recul in vivo (bientôt 20 ans) sur le
> comportement de nos matériaux. Ne cherchez pas
> dans mon propos une quelconque justification à
> l’emploi de tel ou tel matériau.
> Chacun à ses propriétés propres et doit etre
> utilisé en toute connaissance de cause. C’est le
> rôle d’un professionnel que de vous proposer le
> matériau (polymère, métal ou céramique) qui
> répondra techniquement à votre attente.
>
> Sur le matériau céramique zircone et pour revenir
> sur le fond de ma réponse, qu’entendent ils par la
> meilleure céramique est une zircone usinée et non
> retouchée ? Quelle zircone, stabilisée,
> partiellement stabilisée et à quoi ? Une zircone
> obtenue par quels moyens (injection, pressage…) ?
> Quel est le référentiel normatif ? Si elle est
> usinée, elle est, me semble t’il, « retouchée » ?
> Quelle est leur définition mécanique d’une
> retouche ? En quoi engendrerait elle une
> altération mécanique des propriétés mécaniques ?
> Vous évoquez un vieillissement en fatigue pourquoi
> pas, quel est le protocole, est ce un
> vieillissement hydrothermal ? Il y aurait encore
> des quantités de questions.
> Dans ma réponse initiale, je voulais simplement
> souligner le danger d’une généralisation hâtive.
> Il n’y a pas de mauvais matériaux, seulement de
> mauvaises utilisations de ces matériaux… Dans
> l’orthopédie et face aux rumeurs les plus folles
> qui ont circulé en 2000 et 2001, ce qui a prévalu
> et je le conçois parfaitement, est le principe de
> précaution en retournant à des matériaux plus
> classiques et pour lesquels l’historique (bon ou
> mauvais) était important. Aujourd’hui la « tempête
> » est en train de retomber... et quand je vois
> certains apprentis sorciers vous offrir des «
> produits zircones »…
>
> De même, dans ma comparaison sur la différence de
> ruptures constatées entre les têtes et tiges
> fémorales, vous avez totalement raison de
> souligner la différence de sollicitations
> mécaniques et donc « la non-objectivité » de
> cette affirmation.
> En revanche et c’était l’objet de ma remarque,
> trouvez vous normal que l’on fasse autant de «
> battage » pour la casse d’un des composants d’une
> PTH et que l’on passe sous silence la rupture d’un
> autre composant sachant de surcroît que ce taux
> est largement supérieur ?
> Surtout quand on connaît les courbes de survie à
> 5/7 ans dans le cas d’une reprise de PTH… (60% à
> 5 ans et 42% à 7 ans, source Jérôme Allain JBJS
> 85A n°5 p285)
>
> Pour finir, oui les céramiques en général et la
> zircone en particulier sont de meilleurs emplois
> en compression mais elle est aussi très utilisée
> (zircone) pour sa capacité de déformation «
> élastique » notamment dans les roulements de
> précision. La plus grosse utilisation de la
> zircone aujourd’hui dans le monde est dans votre
> voiture ou plus exactement dans votre pot
> catalytique, c’est la fameuse sonde « lambda » …
> Encore une application … sans compression ;-)
>
> Merci encore une fois de votre réponse et je reste
> toujours à votre disposition pour un échange non
> virtuel.
>
>
>
> Philippe
>
> Question subsidiaire, hormis l’implant Sandoz,
> avez-vous souvent rencontré des implants dentaires
> en zircone fracturés ? Nous avons très peu de
> recul (4 ans) et seulement quelques milliers de
> pièces endo osseuses implantées (dentaire) mais, à
> ma connaissance, sans fracture à ce jour. Je suis
> preneur de toute information sur ce sujet.
>
>
>


ça vous dérangerait beaucoup de ne pas citer les messages e,n entier??


ariel

09/10/2007 à 21h52

alhoun Ecrivait:
-------------------------------------------------------
> HTI Ecrivait:
> --------------------------------------------------
> -----
> > lololescrocs Ecrivait:
> >
> --------------------------------------------------
>
> > -----
> > > Ce que j'en dis est ce que j'en ai entendu à
> la
> > > conf (ingénieur en biomat de l'INSA).
> > >
> > > Plusieurs remarques toutefois:
> > >
> > > 1-Ils ont effectivement souligné que tout
> > matériau
> > > vieillit, mais que les métaux supportent
> > environ
> > > 100 fois de cycles de "vieillissement" en
> > flexion
> > > que la meilleure des céramiques, à savoir la
> > > Zircone usinée et NON retouchée.
> > >
> > > 2-J'utilise pour ma part des implants Grade 5
> > en
> > > alliage de Titane, justement parceque leur
> > > résistance est supérieure à celle du titane
> pur
> > > (généralement grade 2 à 4 en dentaire)
> > > ça me paraît plus sécurisant chez un
> bruxomane
> > (ou
> > > futur bruxo potentiel)ou si mon implant est
> de
> > > petit diamètre.
> > >
> > > 3-Vous comparez des taux de fractures de
> têtes
> > en
> > > Zircone (lesquelles travaillent en
> > compression,
> > > ce qu'elles encaissent le mieux) à celui de
> > tiges
> > > en titane, lesquelles travaillent plutôt en
> > > flexion... ou bien j'ai mal compris votre
> > > argumentaire, auquel cas désolé. :-*
> > >
> > > Les implants dentaires antéro-sup sont
> destinés
> > à
> > > un travail en cisaillement, peu en
> compression.
> > >
> > > 4-Dans l'application qu'on nous invitait à
> > admirer
> > > (je voudrais voir dans 10 ans), il aurait
> fallu
> > > retoucher au minimum la face vestibulaire,
> d'où
> > > une chute vertigineuse des aptitudes au
> > > vieillissement de l'implant.
> > >
> > > Plutôt risqué non?
> > >
> > > Et ça ne résolvait toujours pas le problème
> de
> > > l'épaisseur de céramique au bord libre, à
> moins
> > de
> > > compenser en réalisant une chape plus haute
> et
> > > épaisse... en métal? ;)
> > >
> > >
> > > A la limite, il faudrait sous la main (ou sur
> > > commande quîte à différer la réimplantation)
> un
> > > grand éventail d'implants de différents
> > diamètres,
> > > angulations et hauteurs de moignons, avec des
> > > "gabaris" permettant d'anticiper le choix. :I
> > >
> > > 5-Loin de moi l'idée de ruiner l'industrie
> > > française, mais je maintiens que retirer un
> > > implant fracturé en ZrO sans échauffer l'os
> > doit
> > > être une sacré partie de plaisir (:o
> > >
> > > Cela étant, je pense que la zircone a sans
> > doute
> > > plein d'application judicieuses en
> compression.
> > >
> > > Merci de votre offre, et je reste à
> l'écoute...
> > > ;)
> > >
> > >
> > >
> > >
> > Bonsoir,
> >
> >
> > Merci pour votre réponse rapide. Je ne connais
> pas
> > le conférencier auquel vous faites allusion
> mais
> > je précise simplement que certains « experts »
> de
> > cette grande école sont en partie à l’origine
> des
> > réponses alambiquées qui ont fait que vos
> > confrères orthopédistes ne savent plus à quels
> > saints se vouer… et de toutes ces théories «
> > surprenantes » sur le matériau zircone.
> >
> > Avant de vous répondre, je vous signale
> simplement
> > que nous n’avons pas d’expérience et de
> compétence
> > « produit » nous réalisons seulement et « a
> façon
> > » pour vos fournisseurs les composants demandés.
>
> > Nous sommes donc bien incapables de répondre
> sur
> > vos points 3, 4 & 5. En revanche, nous avons un
> > certain recul in vivo (bientôt 20 ans) sur le
> > comportement de nos matériaux. Ne cherchez pas
> > dans mon propos une quelconque justification à
> > l’emploi de tel ou tel matériau.
> > Chacun à ses propriétés propres et doit etre
> > utilisé en toute connaissance de cause. C’est
> le
> > rôle d’un professionnel que de vous proposer le
> > matériau (polymère, métal ou céramique) qui
> > répondra techniquement à votre attente.
> >
> > Sur le matériau céramique zircone et pour
> revenir
> > sur le fond de ma réponse, qu’entendent ils par
> la
> > meilleure céramique est une zircone usinée et
> non
> > retouchée ? Quelle zircone, stabilisée,
> > partiellement stabilisée et à quoi ? Une
> zircone
> > obtenue par quels moyens (injection, pressage…)
> ?
> > Quel est le référentiel normatif ? Si elle est
> > usinée, elle est, me semble t’il, « retouchée »
> ?
> > Quelle est leur définition mécanique d’une
> > retouche ? En quoi engendrerait elle une
> > altération mécanique des propriétés mécaniques
> ?
> > Vous évoquez un vieillissement en fatigue
> pourquoi
> > pas, quel est le protocole, est ce un
> > vieillissement hydrothermal ? Il y aurait
> encore
> > des quantités de questions.
> > Dans ma réponse initiale, je voulais simplement
> > souligner le danger d’une généralisation
> hâtive.
> > Il n’y a pas de mauvais matériaux, seulement de
> > mauvaises utilisations de ces matériaux… Dans
> > l’orthopédie et face aux rumeurs les plus
> folles
> > qui ont circulé en 2000 et 2001, ce qui a
> prévalu
> > et je le conçois parfaitement, est le principe
> de
> > précaution en retournant à des matériaux plus
> > classiques et pour lesquels l’historique (bon
> ou
> > mauvais) était important. Aujourd’hui la «
> tempête
> > » est en train de retomber... et quand je vois
> > certains apprentis sorciers vous offrir des «
> > produits zircones »…
> >
> > De même, dans ma comparaison sur la différence
> de
> > ruptures constatées entre les têtes et tiges
> > fémorales, vous avez totalement raison de
> > souligner la différence de sollicitations
> > mécaniques et donc « la non-objectivité » de
> > cette affirmation.
> > En revanche et c’était l’objet de ma remarque,
> > trouvez vous normal que l’on fasse autant de «
> > battage » pour la casse d’un des composants
> d’une
> > PTH et que l’on passe sous silence la rupture
> d’un
> > autre composant sachant de surcroît que ce taux
> > est largement supérieur ?
> > Surtout quand on connaît les courbes de survie
> à
> > 5/7 ans dans le cas d’une reprise de PTH… (60%
> à
> > 5 ans et 42% à 7 ans, source Jérôme Allain JBJS
> > 85A n°5 p285)
> >
> > Pour finir, oui les céramiques en général et la
> > zircone en particulier sont de meilleurs
> emplois
> > en compression mais elle est aussi très
> utilisée
> > (zircone) pour sa capacité de déformation «
> > élastique » notamment dans les roulements de
> > précision. La plus grosse utilisation de la
> > zircone aujourd’hui dans le monde est dans
> votre
> > voiture ou plus exactement dans votre pot
> > catalytique, c’est la fameuse sonde « lambda »
> …
> > Encore une application … sans compression ;-)
> >
> > Merci encore une fois de votre réponse et je
> reste
> > toujours à votre disposition pour un échange
> non
> > virtuel.
> >
> >
> >
> > Philippe
> >
> > Question subsidiaire, hormis l’implant Sandoz,
> > avez-vous souvent rencontré des implants
> dentaires
> > en zircone fracturés ? Nous avons très peu de
> > recul (4 ans) et seulement quelques milliers de
> > pièces endo osseuses implantées (dentaire) mais,
> à
> > ma connaissance, sans fracture à ce jour. Je
> suis
> > preneur de toute information sur ce sujet.
> >
> >
> >
>
>
> ça vous dérangerait beaucoup de ne pas citer les
> messages e,n entier??


je suis d'accord, c'est très fatigant...


lololescrocs

09/10/2007 à 22h11

C'était pour que tout le monde suive bien...

N'étant pas moi-même ingénieur, j'ai fait l'impasse sur l'exposé des protocoles de tests et autres procédés de mise en forme.
je n'ai pas non plus relevé le nom de l'intervenant (me disant en début d'exposé que j'avais peu de chances de retourner l'écouter plus tard...)

Je me rappelle seulement qu'après frittage, les pièces étaient cuites sous pression puis usinées mécaniquement et (je crois) recuites sous pression... à ne SURTOUT plus retoucher!

Et les défauts proviendraient des microfêlures liées à l'usinage ET des impuretés incluses avant usinage (notamment alumine, frittée dans les mêmes chaînes de fabrication)

Pour le reste... pas compétent.

Quant à avoir vu des implants ZrO fracturés, le dernier était en photo à je ne sais plus quelle conf, et ce n'était peut-être même pas de la zircone (je ne suis pas un gros poseur)

Mais je en prendrai pas le risque d'en déposer dans la mesure où d'autres matériaux sont plus adaptés à ce type d'applications.


vale73

10/10/2007 à 10h32

Pour ajouter mon eau à ce moulin...

Les implants vont rester combien de temps en bouche ? 15 ans, 20 ans 30 ans ?
Combien de cycle supportera la zircone ?

Deplus, la zircone à tendance à absorber de l'eau en surface, et les cristaux finissent par "gonfler" et initie des fractures...

Enfin quel interet à la zircone ? Qu'apporte t elle de plus que le titane ?

Comment déposer en cas de fracture ?
Quelle connectique, vis métallique dans une céramique ?

On parle souvent de zircone comme ceramique intelligente, elastique ... faut pas pousser,
la ténacité de la zircone (resistance à la propagation de fracture) est 5 fois superieur au autres ceramiques, mais 100 fois inferieur à celle d'un alliage...


HTI

11/10/2007 à 16h24

lololescrocs Ecrivait:
-------------------------------------------------------
> >
> Je me rappelle seulement qu'après frittage, les
> pièces étaient cuites sous pression puis usinées
> mécaniquement et (je crois) recuites sous
> pression... à ne SURTOUT plus retoucher!
>
> Et les défauts proviendraient des microfêlures
> liées à l'usinage ET des impuretés incluses avant
> usinage (notamment alumine, frittée dans les mêmes
> chaînes de fabrication)
>
>

Bonjour,


Ne le prenez surtout pas mal mais j'ose esperer que vous faites une confusion dans la re-lecture de vos notes.

A ce jour et à ma connaissance, une zircone destinée à etre implanté chez un patient ne peut etre obtenue qu'en ayant été usinée après pressage frittage (cuisson) pour satisfaire la norme (ISO 13 356).
Les autorités de santé françaises ont été les premières (1990 - 1992) dans le monde à valider 5 sociétés (2 françaises, 1 anglaise, 1 suisse et 1 japonnaise) pour la zircone médicale (1 société US a demarré il y a 2 ans la qualification son matériau). Le reste du monde à suivi sauf aux US ou seulement 2 voire 3 des 5 sont qualifiées (toujours pour une utilisation implantaire).

Avoir des impuretés ou des microfelures avant frittage me semble totalement impensable dans les produits de ces sociétés. Il suffit de connaître les gammes et moyens de contrôle mis en place dans les fabrications.

Je pense que votre intervenant a du vouloir vous mettre en garde sur les dangers potentiels que vous rencontreriez si vous utilisiez n'importe quelle origine de matière ou si vous "usiniez" sans connaissance ce matériau. Mais c'est également vrai pour les autres matériaux, il faut un minimum de connaissance pour usiner du polymère ou du métal.

Pour revenir à l'origine de mon intervention, je pense que vous mesurez aujourd'hui les confusions qu'il y a sur le marché notament par le fait d'affirmations partielles. Si vous etes interessés à voir in situ un process complet d'élaboration d'un composant médical en céramique, je suis à votre entière disposition.


Philippe




HTI

11/10/2007 à 18h13

vale73 Ecrivait:
-------------------------------------------------------
> Pour ajouter mon eau à ce moulin...
>
> Les implants vont rester combien de temps en
> bouche ? 15 ans, 20 ans 30 ans ?
> Combien de cycle supportera la zircone ?
>
> Deplus, la zircone à tendance à absorber de l'eau
> en surface, et les cristaux finissent par
> "gonfler" et initie des fractures...
>
> Enfin quel interet à la zircone ? Qu'apporte t
> elle de plus que le titane ?
>
>>
> On parle souvent de zircone comme ceramique
> intelligente, elastique ... faut pas pousser,
> la ténacité de la zircone (resistance à la
> propagation de fracture) est 5 fois superieur au
> autres ceramiques, mais 100 fois inferieur à celle
> d'un alliage...


Bonjour,


Désolé de citer une grande partie du message...
De quels cycles parlez vous ? Avez vous connaissance d'un référentiel qui permettrait de comparer scientifiquement le comportement d'un même élément en différents matériaux (métallique et céramique) ? Le vieillissement en fatigue qui est évoqué plus haut dans le fil, semble étre un vieillissement artificiel en autoclave. Dans ce cas, vous conviendrez que cela est assez éloigné des conditions que vous rencontrez.

Vous évoquez la capacité qu'aurait la zircone à absorber de l'eau. Connaissez vous les conditions dans lesquelles cela peut se produire ? On peut trouver dans la litterature quelques expérimentations de ce type notament au Japon mais de mémoire et pour le cas le plus défavorable ces phénomèmes n'apparaissent qu'entre 80 et 130°C et sous charge, encore une fois assez loin de ce que vous rencontrez tous les jours. Là encore je suis preneur de toute pièce que vous auriez "imprégnée"

Pour vous répondre rapidement et sans faire l'argumentaire de mes clients, il semble que les principaux avantages soit la biocompatibilité, l'isolation électrique et la couleur.

Sur un plan mécanique savez vous par exemple qu'une zircone pressée frittée à des propriétés mécaniques supérieures à un acier inoxydable ? Que la resistance en flexion entre cette même zircone et un titane Ta6v4ELI (votre grade 5) est quasiment identique ? Ce qui change est effectivement la limite elastique quoique expérimentalement parlant, il soit possible de réaliser des ressorts en zircone.
http://www.soo.com.fr/soo_site/p_protec/aoo37/Matinee%203.pdf


Philippe


lololescrocs

11/10/2007 à 23h11

http://www.soo.com.fr/soo_site/p_protec/aoo37/Matinee%203.pdf
Lien mort...

Je ne sais pas si Vale73 utilise du grade 5. Moi oui.

Si vous avez des références indiquant la résistance en flexion comparée de ces matériaux, je suis moi aussi preneur...

L'intéret en matière de teinte est grandement amoindri par du platform switching (si possible) qui augmente l'épaisseur gingivale au niveau du col du moignon, et à la rigueur, un moignon Zircone fracturé pose moins de problèmes qu'un implant fracturé.
Et on a plus de choix quant aux angulations et hauteurs... ce qui évite (?) les retouches in situ

Faible conductibilité thermique et électrique du titane à ma connaissance(pour ce que ça nous sert...)

Pour ma prise de notes, c'est celle d'un béotien ;-)
...qui n'en fait pas son cheval de bataille.
Mais j'ai retenu le sens profond du message qu'on voulait nous faire passer, et je ne suis pas le seul.
Les conclusions étaient celles édictées en couperet par Vale 73.

Elles semblaient incriminer toutes les zircones, en soulignant des disparités de facteur 3 quant aux divers critères de résistance selon les qualités de fabrication (peut-être êtes vous au top?):

> On parle souvent de zircone comme ceramique
> intelligente, elastique ... faut pas pousser,
> la ténacité de la zircone (resistance à la
> propagation de fracture) est 5 fois superieur au
> autres ceramiques, mais 100 fois inferieur à celle
> d'un alliage...

Après, on tombe dans la bataille d'experts... que je ne suis pas.

Merci pour votre offre en matière de visites sur site de fabrication (même si je me sentirai peu apte à en déduire des conclusions différentes de ce que les chiffres semblent indiquer?)

Je croyais l'INSA plutôt neutre en matière d'expertise. (:-°

Peut-être devriez-vous leur réserver cette offre et me tenir informé?
Leurs questions/réponses seraient plus pertinentes que les miennes sur un plan strictement technologique...

Quant à la simplicité d'utilisation en bouche et la fiabilité qui en résulte... J'ai mon avis et le garde. :-)

Merci pour toutes ces infos.


HTI

12/10/2007 à 11h42

Bonjour,


Merci pour vos précisions et voici le lien, désolé.
http://www.soo.com.fr/soo_site/p_protec/aoo37/Matinee%203.pdf
Oups, je n'arrive pas à rendre le lien actif, copiez, svp, l'integralité de l'URL dans la barre de votre navigateur, cela fonctionne.

Ce que vous appelez grade 5 est le titane utilisé en orthopédie pour la fabrication les tiges et cupules fémorales, les tiges humérales... (bien que largement décrié aux US pour son relarguage...) Maintenant en dentaire je ne suis pas compétent pour l'utilisation d'un grade 2, 3, 4 ou 5.

Quelques chiffres:
- Resistance en flexion :
800 - 900 MPa pour le titane Grade 5 et > 1000 MPa pour la zircone
Pour le titane grade 2 à 4 on est dans les eaux de 350 MPa.
- Module de Young :
100 - 120 GPa pour le titane et < 200 GPa pour la zircone
- Ténacité :
40 - 50 MPa:Vm* pour le titane et 15 - 20 MPa:Vm pour la zircone**
*(Lire méga pascal par racine de mètre)
** trés loin des facteurs 100...

Je ne reviendrais pas sur les argumentaires de vos fournisseurs d'implants, mais je précise simplement que les implants dentaires zircone que nous réalisons pour eux sont des implants monobloc. Il n'existe pas, à ma connaissance, d'implants zircone 2 temps sauf ceux réalisés par mon confrère français et aujourd'hui arretés pour les raisons que j'ai précisé dans ma première réponse.

Ce qui m'inquiétait (et m'inquiete toujours) dans les affirmations de votre conférencier, c'est notamment le peu de rigueur dans les méthodes de fabrication et l'absence totale de pièces explantées (hors des lots incriminés) présentant ce genre de problème. Jusqu'à preuve du contraire, dans un débat technique, il est logique de présenter des faits et non des théories. Le plus grave est, à mes yeux, l'utilisation et la perception que peuvent en avoir les "auditeurs" de ce discours, la demonstration est faite, à son corps défendant, par Vale 73. Quand on veut tuer son chien...

Depuis 7 ans que ces arguments sont avancés, nous n'avons jamais pu trouver le premier contradicteur crédible. Croyez vous sincèrement qu'une entreprise industrielle puisse toujours fabriquer (et vendre) ce genre de matériau pour des applications médicales s'il y avait le moindre fondement ?

Vous savez certainement à quel point les liaisons entre l'université et le monde industriel sont difficiles, surtout pour les PME. Je ne reviendrai pas aussi sur l'historique de nos relations avec certaines écoles. Ne voyez pas non plus dans mon invitation un quelconque sens "commercial" je n'ai strictement rien à vous vendre, mais l'invitation tient toujours ;-).

Maintenant, rassurez vous, je n'ai pas la moindre prétention à vous faire changer d'avis, je suis totalement incompétent et même admiratif des prouesses que vous réalisez à partir des composants que vous avez.


Philippe


HTI

12/10/2007 à 20h15

lololescrocs Ecrivait:
-------------------------------------------------------
> > 4-Dans l'application qu'on nous invitait à admirer
> (je voudrais voir dans 10 ans), il aurait fallu
> retoucher au minimum la face vestibulaire, d'où
> une chute vertigineuse des aptitudes au
> vieillissement de l'implant.
>

Sauf erreur, dans ce cas, il y a déjà 17 ans de recul ?


Philippe


lololescrocs

12/10/2007 à 23h51

Merci pour ces infos... Des prospectives intéressantes s'annoncent sur la céramique composite à ce que je crois comprendre.

A quand les implants céramique à hexagone interne et switching? ;-)

Où êtes vous implantés?
Enfin votre site de fabrication...
:))


003 penrd2 - Eugenol
Cingulum

14/10/2007 à 00h58

HTI Ecrivait:
-------------------------------------------------------

> Quelques chiffres:
> - Resistance en flexion :
> 800 - 900 MPa pour le titane Grade 5 et > 1000 MPa
> pour la zircone
> Pour le titane grade 2 à 4 on est dans les eaux de
> 350 MPa.
> - Module de Young :
> 100 - 120 GPa pour le titane et < 200 GPa pour la
> zircone
> - Ténacité :
> 40 - 50 MPa:Vm* pour le titane et 15 - 20 MPa:Vm
> pour la zircone**
> *(Lire méga pascal par racine de mètre)
> ** trés loin des facteurs 100...

j'aimerais bien savoir d'ou vous sortez 20MPa/Vm², en général les études retiennent 10MPa/Vm²...et 45 - 65 pour les titanes...

les facteurs ne sont pas de 100 mais de 5 à 10 en tre la zircone et les alliages dentaires (NiCr...)


12