Tous les forums
Echec anesthésie 15
18/09/2007 à 22h05
Pour écrire ça, il me faut ravaler ma fierté. Je vous l'assure. Quelle honte !!!! une 15.
Jamais je n'avais vu ça.
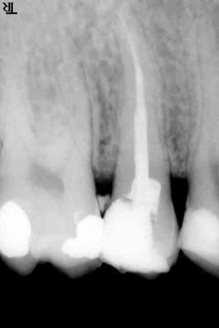
Douleur sur une 15 sur laquelle un composite avait été "posé" à peu près 1 an avant.
Douleur spontanée, patati, patata..... Pulpec
J'y vais avec ma para apicale haute, cartouche de chlorhydrate d'articaïne adrénalinée au 1/200000.
Je fais sauter le compo; c'est sensible. Intra ligamentaire c'est encore sensible. Je me dis pulpite chronique ... temporiser. Je dépose complètement le compo. Je curete à minima délicatement et je place dans la cavité un eugénate.
Une semaine après, même protocole et ... même résultat sauf que je finis tant bien que ma le curetage.
Une semaine plus tard, para apicale. Sensible ++.
intraligmantaire. Sensible ++. Intra osseuse (Xtip). Toujours sensible même à l'air ?!?!?
J'ai tout de même mis environ 3 cartouches.
Qu'est ce qui ne fonctionne pas? Technique? Molécule?
Allez y, moquez vous; ma fierté est déjà bien atteinte....
18/09/2007 à 22h33
Ce qui ne fonctionne pas? Le post de ta radio?
18/09/2007 à 23h28
Surement un alcoolo! ou malade du foie!
En fait j'ai vu ta radio,et si tu as fait l'anesthesie dans l'axe de la dent,l'apex est à coté, la racine étant coudée,ceci explique peut -être cela!
19/09/2007 à 02h50
Je te dirais comme GL; à partir de 2 para appicales,il faut s'eloigner, donc en premier retro tuberositaire, et si pas assez voir si il n'y aurait aps un passage nerveux en palatin. ce que j'ai eu a faire peut etre 2 ou 3 fois en 25 ans.
A part ça effectivement alcoolo ou heroinomane?
19/09/2007 à 14h30
en palatin pourquoi pas mais Gaudy dit que cela n'est ni plus ni moins qu'une intraligamantaire et ça j'ai fait.
En outre j'avais pensé à faire une tubérositaire haute mais en relisant le bouquin de Gaudy (ça m'a travaillé !!), il semble dire de ce type d'anesthésie ne prend que les molaires.
J'avais presque envie d'envoyer un mail à Gaudy mais je ne l'ai pas.
19/09/2007 à 15h10
si tu suis les trajets nerveux, en palatin je vois pas comment (la solution va pas traverser l'os et le grand palatin n'inerve pas là), en paratuberositaire pourquoi pas si linnervation vient de si loin, mais en general apres les racines vest de la 6 bof. peut etre une radio défilée pour essayer de voir ou se situe le bout de la racine par rapport au processus zyg
sinon, superomoyen ou superoanterieur, mais bon tout ça c'est de l'anat, en secteur premo c'est etonnant qu'une paraapicale foire, ou imaginer une recurrence lointaine des filets tres ant du superoant ou un prolongement tres en avant du superopost (paratub)
intrapulpaire alors? parceque là t'en est vraiment pas loin et que de toute maniere tu vas finir par agacer ta patiente:)
19/09/2007 à 17h13
athos Ecrivait:
-------------------------------------------------------
> si tu suis les trajets nerveux, en palatin je vois
> pas comment (la solution va pas traverser l'os et
> le grand palatin n'inerve pas là), en
> paratuberositaire pourquoi pas si linnervation
> vient de si loin, mais en general apres les
> racines vest de la 6 bof. peut etre une radio
> défilée pour essayer de voir ou se situe le bout
> de la racine par rapport au processus zyg
> sinon, superomoyen ou superoanterieur, mais bon
> tout ça c'est de l'anat, en secteur premo c'est
> etonnant qu'une paraapicale foire, ou imaginer une
> recurrence lointaine des filets tres ant du
> superoant ou un prolongement tres en avant du
> superopost (paratub)
>
> intrapulpaire alors? parceque là t'en est vraiment
> pas loin et que de toute maniere tu vas finir par
> agacer ta patiente:)
Exactement! Fais touner la turbine a fond avec une fraise grain noir neuve et en 0.1s tu es dans la pulpe. Fais une intrapulpaire et on n'en parle plus.
19/09/2007 à 17h40
essaye un XTip entre 15 et 16. Y a 95% de chance que ça marche alors...
19/09/2007 à 19h11
ariel Ecrivait:
-------------------------------------------------------
> essaye un XTip entre 15 et 16. Y a 95% de chance
> que ça marche alors...
déjà essayé. Raté!
alors peut être aussi que je l'ai mal faite. Je ne suis pas un expert du Xtip. La radio que j'ai prise avec le foret en place me laisse penser qu'il est orienté trop en distal.
19/09/2007 à 19h16
athos Ecrivait:
-------------------------------------------------------
>> intrapulpaire alors? parceque là t'en est vraiment
> pas loin et que de toute maniere tu vas finir par
> agacer ta patiente:)
Je suis d'accord avec toi athos. Je pensais à cette solution. deux bonnes douleurs bien nettes et on en parle plus.
Le problème, c'est que je fous en l'air des années de travail à me forger une réputation de "fait pas mal". :)
Est ce que certaines personnes peuvent être peu ou pas sensibles à certaines molécules analgésiques ??
19/09/2007 à 22h38
Une intra pulpaire ne fait pas mal, quand j'en fais je ne sens rien...
J'y ai recours de temps à autre, mais le patient est tellement soulagé "instantanément" quand c'est fait que l'intensité de la douleur il l'oublie vite. Rappelez-vous de cette douleur lors d'une fracture quelconque... Aucun souvenir? Ben c'est ce que me raconte le patient au rdv suivant (ils reviennent tous...) on a eu mal mais c'est tout et comme j'ai prévenu ils ne m'en veulent pas puisque c'était la seule solution.
19/09/2007 à 22h50
chab Ecrivait:
------------------------------------------------------
>
> Est ce que certaines personnes peuvent être peu ou
> pas sensibles à certaines molécules analgésiques
> ??
>
Si tu veux te refraichir la memoire sur les anesthesiques,cela a été postésur un autre fil
http://www.septodont.ca/Septodont/francais/divers/cea_dh02.html
19/09/2007 à 23h29
pr l'intra pulpaire je serais assez d'accord avec narik...plutôt que ttes ces anesthésies sans succès préalables
être d'accord avec narik,c'est grave Dr?
19/09/2007 à 23h54
J'ai eu le même pb la semaine derniere et j'ai réalisé l'intra osseuse en situation plus apicale que d'ab.. Silence radio. A mon avis on est généralement trop loin de l'apex...
20/09/2007 à 10h36
ploc Ecrivait:
-------------------------------------------------------
> pr l'intra pulpaire je serais assez d'accord avec
> narik...plutôt que ttes ces anesthésies sans
> succès préalables
> être d'accord avec narik,c'est grave Dr?
C'est signe d'intelligence...
Et la tronche du patient quand tu as à peine injecté, son visage tordu de douleur et tu lui demande si il a mal: "non"... Ben pourquoi vous faites une grimace alors?
20/09/2007 à 10h44
une micro-boulette d'arsenieux immédiatement , dès que la première anesthésie ne fonctionne pas.
( moins toxique que 2 carpules d'anesthésique.)
20/09/2007 à 18h24
lu je pense à une anastomose entre l'infraorbitaire et le maxillaire sup.Essai un complément avec une canine haute voir une infraorbitaire.
02/10/2007 à 20h09
ça y est j'ai réussi !!!!!!!
Anesthésie tubérositaire haute + paraapicale haute au niveau de 14.
Encore une très légère sensation à l'ouverture donc j'ai rajouté une dose en intrapulpaire.
Enfin tout est bien qui finit bien.
A la fin de l'endo, le patient avait son T-shirt trempé. Il avait flippé à mort .... et moi aussi.
Merci pour vos conseils
02/10/2007 à 20h26
comment etait la pulpe quand tu as enfin ouvert? saignement ? pas de saignement? du rouge? du noir? grise,strucurée, morveuse,et au gout?
02/10/2007 à 20h57
Derrière le masque je n'ai rien senti et pour le gout je lècherai les protaper tout à l'heure.
Quant à l'aspect, ce n'était pas particulièrement inflammatoire. Je n'ai pas eu un saignement abondant. Je pense que le problème était vraiment un problème d'anesthésie. Une particularité anatomique ???
Toujours est-il ( je continue à avouer mes échecs ...) que ma séance précedente durant laquelle j'ai injecté, injecté et encore injecté m'a valu une nécrose en palatin. Cependant rien de catastrophique.
03/10/2007 à 05h53
chab Ecrivait:
-------------------------------------------------------
> ça y est j'ai réussi !!!!!!!
> Anesthésie tubérositaire haute + paraapicale haute
> au niveau de 14.
> Encore une très légère sensation à l'ouverture
> donc j'ai rajouté une dose en intrapulpaire.
> Enfin tout est bien qui finit bien.
> A la fin de l'endo, le patient avait son T-shirt
> trempé. Il avait flippé à mort .... et moi aussi.
> Merci pour vos conseils
Bravo! ben tu vois si tu ne l'avais pas loupée la première fois,tu n'aurais pas eu une si grande joie de la reussir aujourd'hui! ce n'aurait été qu'un acte banal,reussi sans qu'il soit mémorable!