Cookie Consent byPrivacyPolicies.compour Phil - Eugenol

pour Phil

AMG

29/09/2007 à 19h33

Bonjour Phil, je me permet de te soumettre ce cas aux autres aussi mais je connais ta gentillesse et je sais que tu va me répondre.
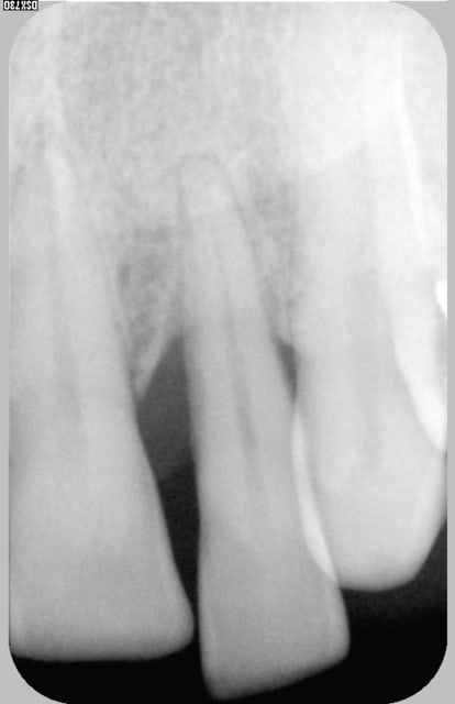
Patient de 44 ans qui vient me consulter en février 2006 pour une 12 egressée (donc non esthetique) et de mobile 3.
Première séance de motivation (h2o2 bicar brossettes etc) et un détartrage surfaçage radiculaire (leger le surfaçge) au cours d'une 2ième seance
le patient a disparu comme souvent
revu seulement le 28 septembre 2007.
Je vais poster les 2 radios 2006 2007et une photo 2007 pas terrible car je ne suis pas équipée pour ça.
le patient a continué le traitement h2o2 bicar en solo surtout au niveau de la 12 le reste bien moins fait.
La 12 n'est plus mobile, mais toujours egréssée et vestibulée ,la gencive est encore un peu inflammatoire,(cf la photo) mais la radio montre que l'os alveolaire a bien réagi et il n'y a pas de poche.
Que fairais-tu si j'arrivai a bien le remotiver sachant qu'ici aucun ortho ne s'occupera de son cas

Marcho radio fev 06 brmd02 - Eugenol
Marcho radio sept 07 mtf60m - Eugenol
Marcho 1 qneb9i - Eugenol
Marcho 2 qnjfsd - Eugenol

henri

03/10/2007 à 17h04


> Que fairais-tu si j'arrivai a bien le remotiver
> sachant qu'ici aucun ortho ne s'occupera de son
> cas

dans un premier temps je mettrais des gants


200106 10150128247663588 709988587 6466236 5598391 n d7mksb - Eugenol
hallboy

03/10/2007 à 17h09

;)) Tu mets des gants aux patients toi??


henri

03/10/2007 à 17h22

pourqoi c'est le praticien qui a ces dents magnifiques ?


024 vownvo - Eugenol
annie

03/10/2007 à 22h45

Si je me souviens bien de ce qu'a dit Dancha, et sauf erreur de comprenette,souvent cette egression de la 12 est causée par la 38 en malocclusion?


bjc

06/10/2007 à 13h33

salut,

si la 12 est égressée et vestibulée, il faut rechercher un contact en malocclusion, en postérieur du coté opposé (26/27/28-36/37/38) souvent absence de 36 ou 26
Regle de Tylmann

lorsque l’inflammation parodontale est réduite, la 12 va avoir tendance à se lingualer, sauf si son cingulum touche en occlusion
tu as 2 solutions : ingression et tu augmente la profondeur de la poche
ou coronoplastie linguale
dans le cas ou tu choisis la coronoplastie, tu règles l’esthétique du bord incisal


200106 10150128247663588 709988587 6466236 5598391 n d7mksb - Eugenol
hallboy

06/10/2007 à 22h23

tu peux etre +clair sur le coté opposé: 26 donc et pas 16.??


bjc

06/10/2007 à 22h33

merci hallboy, je tape trop vite, j’ai rectifié
cette règle est appelée parfois
la corde de Tylmann