Cookie Consent byPrivacyPolicies.comévidemment ça fout la trouille, mais c’est vachement - Eugenol

évidemment ça fout la trouille, mais c’est vachement chouette de ne pas faire d’extraction

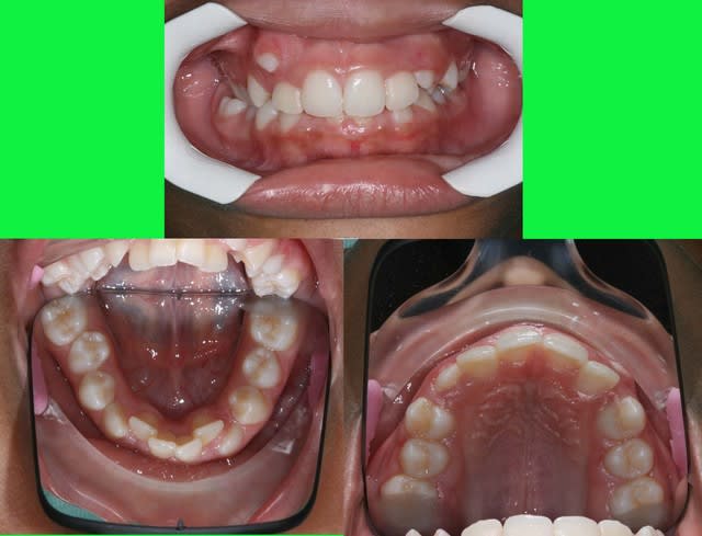
bjc

02/10/2007 à 00h25

si ce n’était pas moi qui présentait ce cas (10 ans)

vous penseriez extractions ou pas d’extraction

P.S. : désolé, la photo en bas à droite est inversée

Rx - Eugenol
Photos 2 yymdcp - Eugenol

Photo pluton1b h9n4ea - Eugenol
pluton

02/10/2007 à 09h33

Dans des cas comme celui-là, moi je commence sans extractions...mais en prévenant les parents que le plan de traitement sera réévalué en cours de traitement et que si çà marche pas il y aura des extractions...


kri

02/10/2007 à 17h20

qu'est ce qui peut marcher ou ne pas marcher?

tu as une photo du profil?car sur la radio ca semble tres bipro mais je me mefie
quelle ethnie?
On ne voit pas bien les racines des premolaires sup...?


bjc

02/10/2007 à 18h50

salut,

je vais préparer les photos, voici les Rx. éclaircies

par contre, tu as raison : qu’est ce qui peut marcher pour donner le plus de chances à mon petit choux ?

@+ Bjc.

Rx - Eugenol

bjc

02/10/2007 à 22h15

Photos du cas

Photos visage 2 cilnfj - Eugenol

bjc

03/10/2007 à 15h28

salut,

je vais procéder ainsi
Q.H. Sup. pour déroter les molaires (canines Post.)
B.H. Crozat Inf. pour redresser les 6 Inf et gagner du temps par rapport à un mb. d’entrée
gain de place Sup. par ressort sur mb
idem en bas, mais de 33 à 43

c’est compliqué ?

@+ Bjc.


Avatar transparent iqadnc - Eugenol
adhoc

03/10/2007 à 21h18

ddm de 6 à 7 mm en bas, non?


bjc

03/10/2007 à 21h25

oui.


kri

03/10/2007 à 22h47

ce qui equivaut a 3 mm d'avancee du bord libres des incisives...ca craint un peu non?


bjc

03/10/2007 à 23h50

je dirais même beaucoup, si on emploie des techniques qui ne savent pas faire autre chose que vestibuler les incisives
d’ou les faux espoir

"je commence sans extractions...mais en prévenant les parents que le plan de traitement sera réévalué en cours de traitement et que si çà marche pas il y aura des extractions"


bjc

04/10/2007 à 04h10


par exemple

Rx - Eugenol
Depart 1 y9ttvq - Eugenol
Materiel  1 efp0tb - Eugenol

Avatar transparent iqadnc - Eugenol
adhoc

04/10/2007 à 13h59

On a l'air en bout à bout, bjc. Comme dit kri, 3mm , ca fait beaucoup.Comment fais tu, si par malheur, entre 2 RV, on a passage en rapport classe 3 incisivo canine?
Bon, on a sans doute la fermeture damon et les forces légères qui vont rendre heureux le dénouement, mais ca doit fiche un peu la trouille. Enfin, moi, je l'aurais!!!!!


bjc

04/10/2007 à 15h04

salut,

évidemment ça fout la trouille, surtout au début,
cela va à l’encontre de tout ce qu’on nous as appris
si c’était toi qui avait montré ces cas, je ne me serai pas lancé dans ces techniques au vu de tes seules photos, j’aurais ou j’aurais pas eu envie d’aller écouter les professionnels du système
j’aurai décidé d’essayer ou pas, après

vous savez comme moi, que bouche ouverte, on a tendance à propulser, ce qui peut tromper sur mes photos
voici une photo bouche fermée du cas en cours, je n’en prends pas assez dans cette position
je peux vous en reprendre une, plus récente, si vous avez des doutes

P.S. : j’utilise la mécanique à ressort de Terrel et Root,
elle marche beaucoup mieux avec des frictions faibles

Bouche fermee rjseyc - Eugenol
Bouche fermee gnk3fn - Eugenol

bjc

04/10/2007 à 15h25

voici les photos du m jour

bouche fermée
bouche ouverte
arcades

@+ Bjc.

Bouche fer et ouv - Eugenol

kri

04/10/2007 à 18h11

Je veux bien voir la tele apres alignement et photo du profil, car en fait c ca qui nous interresse, ce que tu nous montres, c de l'alignement c tout, et ca tout le monde sait faire.


bjc

04/10/2007 à 19h54

tout le monde sait le faire, tout le monde sait le faire …
tu es plus heureux que moi, car avant je ne savais pas le faire
l’occlusion ne me pose pas, en général, de Pb.
c’est pourquoi je ne fais sans doute pas assez de photos en occlusion
je pense que c’est le b.a. ba de l’ortho
aussi j’ai une lacune photographique qu’il va falloir que je rectifie



@+ Bjc.


bjc

05/10/2007 à 00h28

Photo en occlusion prise aujourd’hui

Img occlusion dyoc2h - Eugenol

bjc

05/10/2007 à 02h28

salut,

une fois qu’on a construit la place c’est facile de faire du nivellement, alignement
dans les cas de D.D.M. que je présente, tu en as des semblables traités facilement, sans extractions, par une autre technique ?


@+ Bjc.


Lanar

12/10/2007 à 18h45

Quand tu dis « ne pas faire d’extraction », est-ce que tu parles aussi des troisièmes molaires ?


bjc

12/10/2007 à 19h14

joli piege


Lanar

12/10/2007 à 20h55

Oui ou non ?


bjc

13/10/2007 à 01h24

n´est pas un pb. orthodontique
il y a de la place pour elle ou pas, et un age favorable si besoin d´éxtraction

il ne faut pas confondre
ttt. orthodontique (DDM.) sans reforge d´árcade ni rattrappage de croissance
le pb. est: gain de place par extraction
dans ces cas, ce sera dent de sagesse, P.M., ou m les 6
car dans ces cas, les techniques obligent a extraction

ttt. avec reformage d´arcades et (ou) rattrappage de croissance
dans ces cas, on recule les indications d´éxtraction
et le pb. de la dent de sagesse est independant
il y a des cas ou je demande l´extraction (peu nombreux) d´autres pas, mais pas pour des raisons orthodontiques

@+ Bjc.




Spriford

13/10/2007 à 14h09

"Reformater", "rattrapper"... quelle prétention!


Lanar

13/10/2007 à 17h23

Donc ta réponse (légèrement tirée par les cheveux et alambiquée) est non. La troisième molaire ne peut donc pas être considérée comme une dent normale, c’est vraiment regrettable.

Le médecin et célèbre philosophe Sextus Empiricus disait en substance que la technique a une incontestable utilité, qu’on ne peut s'en passer et donc que ce que tu fais est parfaitement légitime, mais qu'il faut au moins savoir qu’elle s’accompagne toujours d’une dérive dogmatique..

Tu en est ici la preuve vivante.


bjc

13/10/2007 à 21h05

#"Reformater", "rattrapper"... quelle prétention!#
il faudrait plutot dire: quels resultats,
et quel travail de ces confreres qui ont su bousculer les vieux tabous
(on a fait quelques petits progres depuis Sextus Empiricus)

et on fera encore, malgres les philosophes de techniques
pardonnez moi (comme je vous pardonne) si je prefere Gallien


12