Cookie Consent byPrivacyPolicies.comRions toujours.......... - Eugenol

Rions toujours..........

Gaudi parc guell lezard  ntokms - Eugenol
lezard

18/09/2011 à 20h00

Scusi, je l'ai reçu en anglais et j'ai eu la flemme de le traduire, mais je sais qu'il y a beaucoup d'anglophones parmi vous.

What happens when you ask for help with an erection lasting more than 4 hours?
Earl walked into a drug store in Kentucky and asked to talk to a male pharmacist. The woman he was talking to said that she was the only pharmacist and as she and her sister owned the store, there were no male employees. She then asked if she could help him. Earl said that it was something that he would be much more comfortable discussing with a male pharmacist. The lady pharmacist assured him that she was completely professional and whatever it was that he needed to discuss, he could be confident that she would treat him with a high level of professionalism.

Earl then agreed and began by saying, 'This is tough for me to discuss, but I get erections every day that last more than four hours. It causes me a lot of problems and severe embarrassment, and I was wondering what you could give
me for it.'

The pharmacist said, 'Just a minute, I'll talk to my sister..'
When she returned, she said,

"We discussed it at length and this is the absolute best we can do.
1/3 ownership in the store, a company pickup truck, a king size bed and $3,000 a month in living expenses.





200106 10150128247663588 709988587 6466236 5598391 n d7mksb - Eugenol
hallboy

18/09/2011 à 20h47

un gars se presente dans une pharmacie et la fille derreire le comptoir lui dit: " en quoi puis je vous aider?"
ce a quoi le gars repond" c'est un peu embarassant pour moi , je prefererais parler de ce qui me fait venir a un homme "

la fille repond que la pharmacie appartient à sa soeur et qu'en fait il se trouve qu'il n'y a que des femmes qui travaille içi; elle n'est qu'assistante, mais une vraie professionelle, ave bcp d'experience et qu'elle sera de parfaite discretion.

Le gars hesite et finalement , comme ils sont seuls dans la pharmacie explique à mi-voix: " voila c'est un peu embarassant et cela me pose probleme , en milieu professionel,comme dans ma vie quotidienne; mais tous les jours j'ai des erctions qui ne durent jamais moins de 4 heures et je ne sais absolument plus quoi faire, et j'ai peur de perdre mon travail...

La fille semble ne pas savoir que faire et dis : juste une minute, je vais voir avec ma soeur

Elle revient un peu apres et dit:
On en a discuté, et voila le mieux qu'on puisse vous proposer: 1/3 de la pharmacie,un lit king size, une voiture de fonction et 3000 dollars par mois pour vos depenses personelles.


Gaudi parc guell lezard  ntokms - Eugenol
lezard

18/09/2011 à 21h12

Thank's for the translation

Mais une fois suffit ;o))


Pa050055 igyagy - Eugenol
mark

22/09/2011 à 22h28

bis repetita placent ;)


Img 3657 cwjvqm - Eugenol
alapex

03/10/2011 à 11h47

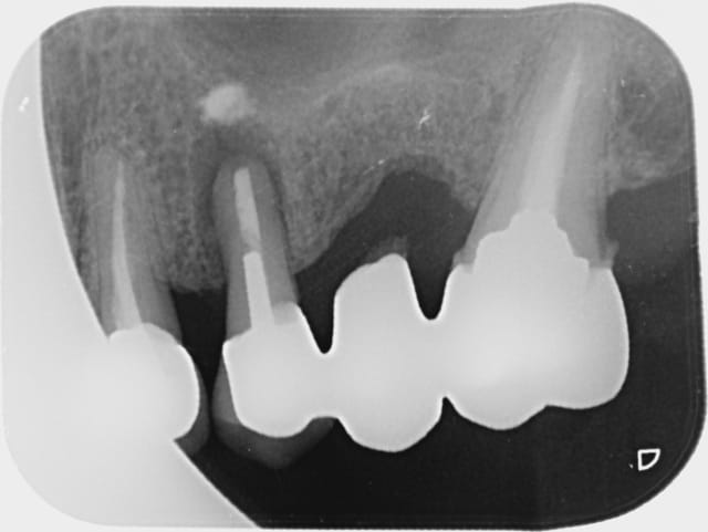
Je balance entre vous fournir une radio sans commentaire ou la vengeance est un plat qui se mange froid...
Patient vu en octobre 2009 , fidèle depuis années 80 . Il faut remplacer la 26 , proposition ostéotension , implant , devis . La 25 ne me branche pas pour un bridge .
Mai 2010 , pb paro léger en mésial de la 27 . Surprise : Oh , un bridge ?
Mais qu'est ce que d'où est ce qu'il vient-il me dis-je en me le disant à moi même en me le disant que je lui avais dit à l'époque que les prémos du haut...ouin . Le patient habite depuis à 15 kms , je ne dis rien .
Ce matin abcès sur la 25 ...

J    guy 002 oeog48 - Eugenol

Gaudi parc guell lezard  ntokms - Eugenol
lezard

13/10/2011 à 10h19

"Ten years ago we had Steve JOBS, Bob HOPE and Johnny CASH, now we have no jobs, no hope and no cash."




Img 3657 cwjvqm - Eugenol
alapex

27/10/2011 à 20h25

http://www.sudouest.fr/2011/10/27/manoeuvre-ratee-a-libourne-une-auto-en-equilibre-537676-2966.php

Qu'aurait elle fait en se rendant chez son dentiste ?


Images cu89bm - Eugenol
Tizott

04/12/2011 à 16h00

Jacob qui habite Tel Aviv téléphone à son fils Samuel qui a émigré à New York et lui dit :
"Je regrette de te gâcher ta journée, mais je dois t'informer que ta mère et moi sommes en train de divorcer. Quarante cinq ans de souffrance, c'est assez."
"Papa, comment peux tu dire ça ??? Et juste avant les fêtes !!!!", lui cria le fils.
"Nous ne pouvons plus nous voir", répondit le père, " nous sommes fatigués l'un de l'autre et j'en ai ras l'bol de toute cette histoire, donc tu me rendras service si tu appelles ta soeur Anna à Chicago."
Et il raccrocha abruptement.
Désespéré, le fils appelle sa soeur.
"Comment ils vont divorcer, à leur âge ??? Je me charge de l'affaire."
Aussitot, la fille téléphone a son père et lui dit :
"Vous N'ALLEZ pas divorcer. Ne faites rien jusqu'à ce que nous venions Samuel et moi chez vous. Tu m'as bien entendu. RIEN...tu nous attends !!!"
Le père raccroche, se retourne vers sa femme et lui dit :
"Rebecca, tout est parfait, les deux viennent passer les fêtes avec nous et ils payent eux mêmes leur billet d'avion !"


Img 3657 cwjvqm - Eugenol
alapex

12/12/2011 à 12h24

Il faut mettre son égo au placard , ça peut devenir dangereux sinon .
http://fr.news.yahoo.com/faux-chirurgien-v%C3%A9ritable-injection-silicone-mort-092936636.html


Roger federer 300x217 eqdnuv - Eugenol
Patatrasse

13/12/2011 à 15h35

Un professeur à l’École de Médecine fait un cours aux élèves de 1e année
sur "Les contractions musculaires involontaires".
Réalisant que l'intérêt suscité chez ses étudiants est très relatif, il
décide de les réveiller un peu en posant la question suivante à une jeune femme assise au 1er rang :
"Est-ce que vous savez ce que fait votre trou du c.. lorsque vous avez un orgasme ?"
Et elle de répondre :


"Oui, il est au parc des princes pour encourager le PSG."

Il a fallu plus d'une demi-heure pour rétablir l'ordre dans l'amphi.


Pa050055 igyagy - Eugenol
mark

13/12/2011 à 20h17

Loule décide d'aller en vacances en Chine.
Il se présente à la Gare de l'Estaque et demande un billet pour Pékin.

"Ah! mais je ne peux que vous donner un billet pour Marseille Saint-Charles.
- Donnez"

A Marseille à sa demande d'un billet pour Pékin on lui propose un billet pour Paris.

A Paris, pas de billet direct pour Pékin, on lui vend un billet pour Berlin (capitale de l'Europe...)

A Berlin, un billet pour Moscou.

Enfin à Moscou un billet transibérien pour Pékin.

Après 15 jours de vacances, Loule pense à rentrer, se présente au guichet de la gare de Pékin et demande un billet pour l'Estaque.

Le guichetier: " Oui, pas de ploblèm'... L'Estaque-Ville ou l'Estaque-Port?"


Img 3657 cwjvqm - Eugenol
alapex

15/12/2011 à 18h42


...


Images cu89bm - Eugenol
Tizott

18/12/2011 à 21h37

Enigme : comment sortir la voiture ?

Dde belge acwucb - Eugenol

Img 3657 cwjvqm - Eugenol
alapex

19/12/2011 à 08h54

Je suis pour la suppression des petites mains de vote , surtout la rouge parce que c'est méchant . Pis en plus on peut voter qu'une fois de toute façon , c'est dommage .
Ça me file le blues , voilà !


RépondreCiter
Gaudi parc guell lezard  ntokms - Eugenol
lezard

23/12/2011 à 13h36

Depuis qulques jours, les nouveaux horaires de la SNCF sont mis en place. Pour le moment, tout se passe bien, les retards sont à l'heure.
_____________________________________________________________

Un mec achète des préservatifs et le pharmacien lui demande s'il voulait un sac.
"Non ça ira, elle n'est pas moche a ce point !"
_____________________________________________________________

Deux amis qui ne s'étaient pas vus depuis longtemps se parlent :
- Ça va mal en ce moment...

- Pourquoi ta femme et toi vous allez vous séparer ?

- Oui... Tu accepterais toi de vivre avec quelqu'un qui rote, qui pète, qui picole et qui ne fait rien de ces journées ?

- Oh que non !

- Et ben ma femme non plus ...
____________________________________________________________

Denis et dans la cour de l'école et vole des pommes.De retour en classe, Denis est assis au fond et l'instituteur demande aux élèves :
- Qui a volé les pommes ??

Denis répond :
- Monsieur, on entend pas au fond !

Alors l'instituteur dit :
- Puisque tu entends mal on va inverser. Tu vas me poser une question et je vais m'asseoir à ta place.

Denis pose la question :
- Qui couche avec ma mère quand mon père est au boulot ?

L'instituteur répond :
- C'est vrai qu'on entend mal au fond !
___________________________________________________________

Bon Noël à tous




DLLB

23/12/2011 à 13h48

Combien de personnes travaillent à la sécu??????????


réponse:
1 sur 4


canard59

29/12/2011 à 19h43

L'entraîneur de l'OM est à la recherche d'un nouvel attaquant et est informé de l'existence d'un extraordinaire jeune Irakien.
> Il prend donc l'avion pour Bagdad et assiste à un match du jeune prodige.


Il est subjugué par ce qu'il voit et s'arrange pour que la future superstar déménage à Marseille.
> Deux mois plus tard, en championnat le PSG mène 2 - 0 contre l'OM et il ne reste plus que dix minutes à jouer.
> Il décide alors de faire entrer sa nouvelle recrue.
> Le jeune marque 3 buts et donne la victoire à l'OM !
> Les supporters pleurent de joie, les joueurs et l'entraîneur se jettent sur lui pour l'embrasser.
> Lorsqu'il rentre aux vestiaires, il appelle sa mère pour partager sa joie.
> Salut M'man, tu ne devineras jamais quoi ! en moins de dix minutes, j'ai marqué 3 buts et on a gagné. Tout le monde est fou, même la presse est dingue de moi !
> Comme je suis contente pour toi, mon fils.
> Et toi, maman, comment ça va ?
> Mal mon fils ! Ton père vient juste de se faire tirer dessus en pleine rue il est aux urgences, ta soeur a été violée à l'école et ton jeune frère a été arrêté avec un copain il conduisaient une voiture volée ...
> Le jeune joueur se sent subitement très embarrassé.
> Je ne sais pas quoi te dire m'man, j' suis désolé.
> Désolé, désolé ? C'est toi qui as voulu qu'on quitte Bagdad pour venir habiter à Marseille !


Img 3657 cwjvqm - Eugenol
alapex

30/12/2011 à 12h08

Plaisir des yeux les filles .


Rape p0as4f - Eugenol
rapelapente

06/01/2012 à 20h42

D'actualité... qu'elle soit scientifique, politique ou syndicale...

Einstein ehffis - Eugenol

canard59

14/01/2012 à 21h07

Le passager d'un taxi se penche vers l'avant pour poser une question au chauffeur et lui touche l'épaule doucement son attention.

Le chauffeur lâche un cri, perd le contrôle du véhicule, évite un autobus de justesse, monte sur le trottoir et s'arrête à quelques centimètre de la vitrine d'un magasin !
Pendant quelques instants c'est le silence, puis le chauffeur, d'une voix tremblante :


- Je regrette, mais vous m'avez vraiment fait peur !

Le passager s'excuse en disant qu'il ne pensait pas qu'un simple
toucher sur l'épaule pourrait l'apeurer autant.
>
Le chauffeur répond :

-Ne vous excusez pas, c'est entièrement de ma faute.

C'est ma première journée de taxi... Pendant 25 ans, j'ai conduit un corbillard...
>


belette

31/01/2012 à 23h09

Entre PARIS et MARSEILLE, un homme et une femme qui ne se connaissent pas doivent partager une même cabine de wagon-lit.
Bien qu'un peu gênés d'avoir à partager autant d'intimité, les deux sont fatigués et tombent bien vite endormis.Lui sur la couchette du haut, elle sur celle du  bas. 
Vers 1heure du matin l'homme se penche au dessus de la couchette du bas et réveille la dame  :« Madame...Madame, excusez moi de vous déranger, mais  j'ai terriblement froid. Auriez-vous la gentillesse de me donner la couverture qui se trouve dans le casier ?  »
« J'ai  une bien meilleure idée, répond la femme. Faisons comme si nous étions tous deux mariés juste pour cette nuit. Ça vous va? »
«Quelle idée intéressante vous avez là » s'exclame l'homme. Je suis bien d'accord !
«Bon alors,dit-elle, va la  chercher toi-même ta couverture et fais pas chier  » 
^ ... ^
Ô"""Ô
= o =


Pa050055 igyagy - Eugenol
mark

07/03/2012 à 19h39

bon appétit!

Roumi mac halal ztgrlb - Eugenol

Utilisateur banni

08/03/2012 à 11h24

Journée de la femme

Monstre dxswoe - Eugenol

RépondreCiter
Images cu89bm - Eugenol
Tizott

09/03/2012 à 11h59

Election présidentielle : l'affiche.

La v rit  si je mens      v6hn9h - Eugenol

sagito

28/03/2012 à 17h40

connaissez vous le point commun entre DSK et mohamed mera :
Quans ils sortent de la douche ils ont tous les deux une grosse envie de tirer


1...124125126...