Cookie Consent byPrivacyPolicies.comamélogénèse imparfaite - Eugenol

amélogénèse imparfaite

joe

06/10/2007 à 02h29

existe il un protocle de soins pour cette maladie?
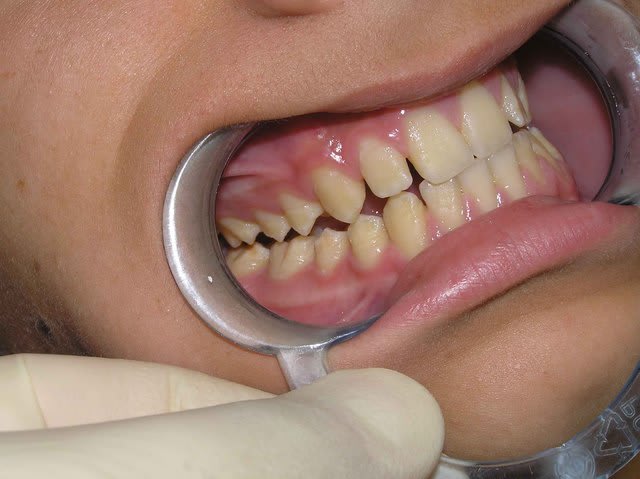
en pj il y a les photos d'un frere et d'une soeur ayant cette affection,
(pour les puristes l'abcès sur la 2ième photo a été soigné)

Joe

Amelog imp 1 b1zrho - Eugenol
Amelo imp 2 lxnce4 - Eugenol

eah

17/10/2007 à 11h27


Je n'ai pas de réponse mais justement celle-ci m'intéresse ,alors j'en rajoute une couche:quel est LE traitement pour une amélogénèse imparfaite avec faces mésiales des molaires style "sucre mouillé"?


Image odged8 - Eugenol
ploc

17/10/2007 à 14h23

chercher les fils sur le MIH ou demander aux pro du forum de les trouver
merci pr eux


joe

18/10/2007 à 02h49

qd j'ai reçu ces deux patients il y a environ un an, j'ai demandé conseil à la fac, il faut dire que je n'ai pas eu une réponse uniforme,
ce que j'en ai retiré c'est evidemment une grosse motivation à l'hygiène et essayer de préserver la dv,
l'ainé de la frateri ayant 13 ans à l'époque ct un peu tot pour couronner tous les secteurs postérieurs,

sinon au niveau esthétique il n'y avait aucune demande ni des jeunes patients ni de leur parent


Image odged8 - Eugenol
ploc

18/10/2007 à 11h02

prevention:
-enlever tout l'email poreux avec grosses boules à vitesse lente ou mieux aux US diamantés jusqu'à ariver sur un email dur et minéralisé(sous AL ces dents st svt très sensibles)
-compo si possible
-sinon couronne de chez 3M d'attente ou mieux cerec

esthetique:compos sur les anterieures:on obtient de bons resultats
s'is s'en fichent et que l'email est dur,tu laisses

duraphat ts les 3 mois


joe

20/10/2007 à 03h37

duraphat????? qu'est-ce que c'est?


j'ai dejà eu du mal à faire admettre aux parents qu'il fallait que je protège les cuspides d'appui avec du composite alors cureter tous l'email avec possibilité de 16 couronnes même provisoires pour un enfant de 13 ans...

en fait j'ai préparé l'email à minima et mis des compo sur cuspide d'appui et ça tient depuis un an, j'ai sans doute eu de la chance


Image odged8 - Eugenol
ploc

20/10/2007 à 11h05

joe Ecrivait:
-------------------------------------------------------
> duraphat????? qu'est-ce que c'est?


fluor concentration elevée
>
>
>>
> en fait j'ai préparé l'email à minima et mis des
> compo sur cuspide d'appui et ça tient depuis un
> an, j'ai sans doute eu de la chance

si ça tient c'est que tu as enlevé tout l'email déminéralisé,ce qu'il fallait faire,mme pas exprès..
la reussite sourit aux innocents:)
les cour ne st indiquées que s'il y a impossibilité de reconstruire en gardant la DV et les pts de contacts
ce n'est pas une systematisation à but financier... et c'est explicable aux parents: il reste à employer "les mots pr le dire"




joe

21/10/2007 à 21h40

je ne sais pas si je suis innocent en tout mon objectif etait de ne pas nuire meme si mon traitement ne marche pas, alors j'ai "degrossi"

moi à la première lecture de ton poste je pensais que ce que tu proposais etais plus invasif, j'ai sans doute mal compris