Cookie Consent byPrivacyPolicies.comparo mystere - Eugenol

paro mystere

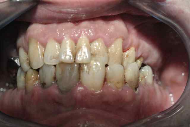
Img 1527 l6cp3r - Eugenol
djer

10/10/2007 à 00h32

voila mon souci,
Mr x, fumeur ( 20c/Jour) vient me voir pour la deuxieme fois pour des douleurs parodontales tres violentes, qui ne cedent pas a l'ibuprofene et l'empeche de dormir. Or cette fois elles ne disparaissent pas avec la prescription d'antibiotique.
l'origine semble être au niveau de 11 12.
le diagnostic initial de GUN me parait éronné mais alors de quoi s'agit il?

age : 25
nombreux soins à realiser
hygiene mediocre

Merci de vos lumieres!!

Guivet ncpnwa - Eugenol

Squash u44zd8 - Eugenol
steph

10/10/2007 à 01h38

Les problèmes paro sont rarement douloureux, revois ton diagnostic avec les radios ; t'es peut-être passé à côté de qqchose.


Images qct94b - Eugenol
themumbly

10/10/2007 à 11h38

à l'impossible nul n'est tenu


olivier

10/10/2007 à 13h59

"Les problèmes paro sont rarement douloureux"

Ah bon , les gun sont assez douloureuses


Img 1527 l6cp3r - Eugenol
djer

11/10/2007 à 22h57

à l'ortho rien de special:
pas de peche au maxillaire, pas de carie, pas de composite ou amalgame proche de la pulpe.
les tests de vitalité sur les dents vitales au maxillaire sont normal.
le patient m'explique qu'avant chaque episode douloureux ses gencives gonflent.

Merci en tout cas pour vos reponses.


Squash u44zd8 - Eugenol
steph

12/10/2007 à 01h10

Le parodonte superficiel semble épais, donc si problème paro ça se manifestera par des poches et des pertes d'attache aggravées par l'occlusion dans ce cas.
On sait que les parodontites se développent par phases, est-ce que ces phases sont si rapprochées?
Quel AB as-tu donné?


catcindai

15/10/2007 à 20h38

Tout d'abord le diagnostic n'a pas été posé.
Ce qui est impt en paro : age. medoc. stress ?
Est ce que ce patient présente des poches ou non?

En tout cas vu la photo, les anciennes resto st completement iatrogènes, bcp de plaque et en plus fumeur.

Ne jamais donner d'ATB sauf ds les cas de parodontites agressives ce qui n'est apparement pas le cas.


1. Motivation hygiene + BDB CHX listérine très efficace en paro (pas remboursé mais l'impt est de soigner agit bien sur la flore patho Aa Pg)
1. Bilan radio - poches - mobilité
3. det et surfaçage
4 . refaire compo et soins
5. réévaluation à 6 semaines et maintenance

Bon courage et merci de me tenir au courant

Tiens moi au courant


Img 1527 l6cp3r - Eugenol
djer

17/10/2007 à 10h12

pas de poche de plus de 3mm et plus de saignement apres les AB.
la premiere crise date de 6 mois.
pour repondre a catcindai j'avais commencer à assainir l'ensemble mais le patient avait stopper devant l' importance du cout financier, depuis je prefere laisser en l'etat que de refaire des compo
sans garantie de pouvoir terminer.
l'occlusion est peut etre un facteur ( comme le stress) car il y a un pas de secteur posterieur valable.


catcindai

18/10/2007 à 15h07

au moins pas de parodontite.
Son problème de gingivite il est certain que ça provient de ses anciennes restaurations.

Si tu penses qu'il est préférable de ne pas reconstituer, on ne peut pas forcer un patient à prendre soin de lui-même.
En tout cas ton diagnostic est posé et le patient sait pourquoi il a des douleurs et ses gencives qui "gonflent".

De toute façon il reviendra et tu pourras refaire au fur et à mesure ses restaurations sans le faire paniquer. Mais il doit comprendre que sa plaque dentaire est mal nettoyée et que notre compétence s'arrete s'il ne fait pas d'efforts.

En tout cas bon courage cher confrère