Cookie Consent byPrivacyPolicies.comsupraclusion ! - Eugenol

supraclusion !

maz

11/10/2007 à 00h35

bonjour à tous.

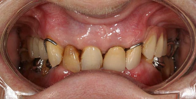
cette patiente que je soigne a des PPA plus adaptées :

bascule antérieure de la prothèse sup qui lui blesse les gencives derrière les 13 et 22

la 35 présente une lésion endo/paro et une mobilité importante me semblant justifier l'avulsion

le premier truc qui m'est passé par la tete a été de faire de la prothèse combinée (après son refus des implants) en couronnant les 5 antérieures avec des contournements fraisés pour éviter la bascule et des attachements pour éviter les crochets

mais quand on y regarde d'un tout petit peu plus près ... ça me semble difficile !

n'hésitez pas à donner quelques idées à un jeune qui se demande bien quoi faire.

G j 1 nlcqag - Eugenol
G j 2 wq7brn - Eugenol
G j 3 jcxyga - Eugenol
G j 4 ydfp6o - Eugenol

maz

11/10/2007 à 00h39

la dernière photo, mais j'ai oublié de photographier la pano

G j 5 bskvyc - Eugenol

Icon poker h4nm2d - Eugenol
jeff

12/10/2007 à 00h29

en fait, tu as quasiment la solution sur la photo 2 : il te reste juste à combler les secteurs latéraux . Cela me fait penser à ce cas presenté sur le N°1 de parole , même si c'était une classe 3.
http://www.dentosophie.com/IMG/pdf/Paroles_1.pdf


maz

13/10/2007 à 11h54

merci,

impressionnant ce cas, une sacrée augmentation de DVO, et une jolie correction de l'articulé inversé !

avant d'aller plus loin, je vais voir ce que je trouve sur les plaques à pistes de planas, parce qu'à première vue, ça n'a pas l'air facile à gérer (en tous cas, ça fait un peu peur d'imaginer mener à bien un truc comme ça)


Avatar transparent iqadnc - Eugenol
adhoc

13/10/2007 à 12h13

Ouaouh, comment fais tu pour aller photographier a l'intérieur de 2 modèles en platre? C'est magnifique!


maz

20/10/2007 à 14h43

bon, je vais finalement couronner toutes les postérieures en haut, et en profiter pour monter la DVO
tout en provisoires quelques mois pour valider la position.

je prévois pas d'augmenter la hauteur en bas, la patiente n'ayant pas un budget infini, mais je pense faire des compo sur les antérieures.

comment choisir la position ou je vais la mettre ?
en parcourant le sujet en occluso sur l'augmentation de DVO, je vois que certains augmentent la hauteur tout en propulsant légèrement, ce qui ne me semble pas trop indiqué ici vu le menton de sorcière de madame.
est ce que je me limite à ce qui est necessaire pour pouvoir faire tranquillement la prothèse ?


Dos02 qpcfgi - Eugenol
Rick

20/10/2007 à 15h57

As-tu des photos des mod avec et sans prothéses?


maz

21/10/2007 à 01h31

non, les deux seules photos des modèles sont celles que j'ai déjà postées

je devrais pouvoir les faire la semaine prochaine et les poster

pour les photos en bouche, c'est la misère, pas reussi à faire les vues occlusales ou latérales :-(


Bouddha 2 wmj1zk - Eugenol
HAIG

21/10/2007 à 15h26

Bonjour ,

si tu sureleves la D.V, laisses la patiente dans une position symetrique et posterieure .

Je n'ai pas tous les elements mais je crois bien que ta patiente n'a pas de supra a l'origine . Je pense a fort un mouvement de propulsion en absence de calage posterieur.
Il se pourrait bien qu'en fait elle avait une belle Classe 2 . Demandes donc des photos realativement anciennes au cas ou elle aurait eu un jolie sourire gingival .


michel06

21/10/2007 à 22h40

monter sur articulateur
augmenter dv pour avoir recouvrement incisif moyen
analyse occlusale pour assurer calage et guidage à la nouvelle dv
wax up-provisoires
pothèses d'usage


maz

25/10/2007 à 01h48

HAIG Ecrivait:
-------------------------------------------------------
> Bonjour ,
>
> si tu sureleves la D.V, laisses la patiente dans
> une position symetrique et posterieure .
>
> Je n'ai pas tous les elements mais je crois bien
> que ta patiente n'a pas de supra a l'origine . Je
> pense a fort un mouvement de propulsion en absence
> de calage posterieur.
> Il se pourrait bien qu'en fait elle avait une
> belle Classe 2 . Demandes donc des photos
> realativement anciennes au cas ou elle aurait eu
> un jolie sourire gingival .



ma chère patiente ayant une tendance à peu sourire sur les photos, et à se débarrasser très facilement des anciennes photos, je montre le peut que j'ai pu récupérer.

Face jeune juso2n - Eugenol
Profil jeune ygaoar - Eugenol
Face actuel vjrx99 - Eugenol
Profil actuel z1tkj8 - Eugenol

maz

25/10/2007 à 01h53

Rick Ecrivait:
-------------------------------------------------------
> As-tu des photos des mod avec et sans prothéses?


j'avais posté deux photos des modèles sans prothèse

voici les modèles prothèses en place

je précise que la 46 est bien présente, je l'ai cassée sur le platre

Modèle face yuu003 - Eugenol
Modèle gauche uzmm1l - Eugenol
Modèles droit upsfgw - Eugenol
Modèles occlusal qed2vn - Eugenol

maz

25/10/2007 à 01h55

adhoc Ecrivait:
-------------------------------------------------------
> Ouaouh, comment fais tu pour aller photographier a
> l'intérieur de 2 modèles en platre? C'est
> magnifique!
>


je garde la recette magique secrète, mais si ça te plait, voila la meme avec les prothèses en place ;p

Modèle derrière i8ylua - Eugenol

maz

25/10/2007 à 02h03

sinon, j'ai prévu :

endos suivies le plus vite possibles d'inlays core / provisoire à l'identique des dents actuelles de tout le maxillaire

puis une belle empreinte de tout ça, wax up et ppa prov chez le prothé
réalisation des provisoires à la nouvelle hauteur, et pause des PPA prov, réalisation probables de compos sur les incisives mandibulaires aussi

et attendre deux trois mois

puis go en vacances pour le reveillon !

l'inconnue est la façon de choisir la nouvelle position de la mandibule, mais j'ai un peu de répit le temps de faire toutes les endos / RTE / InlayCore

et j'ai encore oublié de numériser le pano :/


1 eugenol dmj5np - Eugenol
Dancha

25/10/2007 à 14h59

Il y a un élément fondamental qui manque, c’est son sourire de face qui pourrait indiquer si ce sont les inférieures, les supérieures ou les deux qui sont responsables de cette supraclusie.

Si ce sont les inférieures, une simplification du problème par de l’orthodontie devrait pouvoir être réalisée d’une manière relativement simple, comme dans ce cas avec édentations inférieures gauches que j’ai traité il y a quelques années.

Daniel

Supralusie mzzvnb - Eugenol

maz

25/10/2007 à 18h21

voila deux vues du sourire actuel

Rire face ryl3ns - Eugenol
Sourire face yqtgph - Eugenol

024 vownvo - Eugenol
annie

29/10/2007 à 17h05

Dancha Ecrivait:
-------------------------------------------------------
> Il y a un élément fondamental qui manque, c’est
> son sourire de face qui pourrait indiquer si ce
> sont les inférieures, les supérieures ou les deux
> qui sont responsables de cette supraclusie.
>
> Si ce sont les inférieures, une simplification du
> problème par de l’orthodontie devrait pouvoir être
> réalisée d’une manière relativement simple, comme
> dans ce cas avec édentations inférieures gauches
> que j’ai traité il y a quelques années.
>
> Daniel

Joli!!
puisque la patiente a déja des appareils,il devrait être possible de surélever les dents ou il y a de la résine pour faire des essais et juger la hauteur qui convient le mieux avant de commencer les couronnes