Cookie Consent byPrivacyPolicies.comQuelle reconstruction chez cette bruxomane? - Eugenol

Quelle reconstruction chez cette bruxomane?

Coccinelle mgl0qv - Eugenol
murielle

12/10/2007 à 22h16

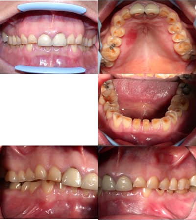
Voici les photos.

La patiente a été soignée à répétition par des composites en technique directe qui finissent toujours par "sauter" puisque l'abrasion de ses dents est de plus en plus importante.
Je pense dans tous les cas lui proposer le port d'une gouttière pour éviter qu'elle continue à tout casser mais j'aimerais vos avis quant au type de reconstruction préférable dans ce cas...
... onlays résine
... onlays céramique
... CCM
sur toutes les dents mandibulaires (bizarrement les dents maxillaires, même si elles sont abrasées, le sont beaucoup moins que les dents mandibulaires)

... d'autres solutions auxquelles je n'ai pas pensé.

Merci.


Ginette 2 nqg37n - Eugenol

Squash u44zd8 - Eugenol
steph

12/10/2007 à 23h18

Le bruxisme ne semble pas centré, et comme la céramique travaille en compression et pas en flexion tu peux oublier les onlays céram.
Des couronnes.


Coccinelle mgl0qv - Eugenol
murielle

12/10/2007 à 23h22

Les couronnes aussi sont en céramique...


Squash u44zd8 - Eugenol
steph

12/10/2007 à 23h55

Bin oui mais montée sur une chape.


200106 10150128247663588 709988587 6466236 5598391 n d7mksb - Eugenol
hallboy

13/10/2007 à 04h38

Et tu scelles pour que tu puisse demonter. Gouttiere obligatoire . reglage soigneux au stade biscuit avec protection canine et guide incisif. eventuellment pistes metalique en platin


024 vownvo - Eugenol
annie

13/10/2007 à 04h49

Supracclusie sans une elevation de la DVO il ne devrait pas avoir bcp de place pour des ceramiques


Cuisinier2 vnbbxx - Eugenol
jeff2

13/10/2007 à 10h48

Historique de la patiente?
Anorexie, reflux, bilan psy?
Recupere les photo de mariage, c'est le seul moment ou elle souriait encore, pour voir si deja elle était comme ca
sinon comme est l'etage inferieur, car on a souvent ces gens là une abrasion sans perte de DV, car les dent s'egresse en même temps.
Si pas de finance c'est mal barré, car tu te diriges tout droit vers 28 ceramiques, avec 28 provisoires porte au moins un trimestre pour tester l'augmentation de DV, , mais si il n'y a pas de perte, pas evident


Spriford

13/10/2007 à 13h30

J'ai eu deux cas ressemblant récemment; ils étaient très gênés par les tassements alimentaires dus aux points de contact qui s'effondrent. J'ai couronné (sur dents vivantes bien sûr), les dents les plus usées .
Ce qui m'étonnait le plus c'est que je ne retrouvais pas toujours les cuspides responsables des usures en creux ???


Cuisinier2 vnbbxx - Eugenol
jeff2

13/10/2007 à 13h38

Spriford Ecrivait:

> Ce qui m'étonnait le plus c'est que je ne
> retrouvais pas toujours les cuspides responsables des usures en creux ???

c'est pour ca qu'il faut chercher les reflux gastro et si c'est le cas lui chercher une solution car l'acidite peut bouffer tes dentsbsous tes restaurations



Coccinelle mgl0qv - Eugenol
murielle

13/10/2007 à 16h49

Pas de problèmes digestifs, pas de reflux gastriques, pas de consommation abusive ni répétitive d'aliments acides ; bien qu'elle ne soit pas très épaisse, je ne soupçonne pas la patiente d'anorexie ; côté psy, elle semble « normale ».
Effectivement, ces cuvettes dans la dentine m'intriguent-moi aussi mais je n'ai pas réussi à cerner la cause.

Il y a effectivement une perte de DV, ce qui est peut-être le seul élément favorable de ce cas.

Étant donné que les abrasions sont largement supérieures à la mandibule par rapport maxillaire, est-il nécessaire de couronner aussi les dents du maxillaire ?
Est-ce pour éviter une abrasion majorée des dents maxillaires par les céramiques mandibulaires ?
Est-ce pour pouvoir reconstruire correctement les guidages ?
Pour d'autres raisons encore ?

Pour cette patiente aussi, la raison de la consultation est les tassements alimentaires qui deviennent de plus en plus fréquents, tout particulièrement là où les composites sont partis.


Squash u44zd8 - Eugenol
steph

13/10/2007 à 18h18

Pour toutes ces raisons, tu n'auras pas de calage efficace si tu as des surfaces occlusales planes.
Comme jeff2 je pense que tu pars sur 32 céramique, mais la difficulté sera l'augmentation de DV, bonjour le réglage des provisoires, le risque de casse et la phonation.


Spriford

13/10/2007 à 18h23

Dans un premier temps, je ne couronnerais que les pm et molaires inf.pour répondre à sa demande, avec des points de contact super forts. Si elle accepte de garder les autres dans cet état, quel est le problème?
Bien sûr il faut surveiller l'évolution et peut-être couronner en haut plus tard? Pas sûr.

Si sa demande est esthétique, faudrait tout couronner. Mais je crains qu'elle ait beaucoup de mal à s'habituer à ses nouvelles dents!




Cuisinier2 vnbbxx - Eugenol
jeff2

13/10/2007 à 18h27

Spriford Ecrivait:
Mais je crains qu'elle ait beaucoup de
> mal à s'habituer à ses nouvelles dents!
Avec un bon reglage occlusal a la planas, et une surveillance aux filtres pas de soucis et ca Mumu , elle sait faire



Coccinelle mgl0qv - Eugenol
murielle

16/10/2007 à 13h05

Quelle type de plaque à thermoformer utilisez- vous pour faire une gouttière chez ce type de patient?


Dos02 qpcfgi - Eugenol
Rick

18/10/2007 à 11h11

Souple??? ou rigide.


Coccinelle mgl0qv - Eugenol
murielle

19/10/2007 à 15h44

Je supposais plutôt une gouttière rigide pour pouvoir y apporter des modidications et il me semble que des gouttières souples ne sont pas indiquées en cas de bruxisme (je fais appel à des souvenirs lointains...), me trompe-je?
Il me semble également qu'il existe des plaques à thermoformer qui sont souples côté dent et rigide de l'autre côté mais je n'en connais absolument pas les références et je ne sais pas ce que cela vaut (je ne parle pas du prix mais de la performance...).

Que penses-tu Rick, qu'il vaille mieux préférer?

NB, les autres aussi peuvent répondre bien entendu ;)

Merci d'avance.




Dos02 qpcfgi - Eugenol
Rick

20/10/2007 à 16h29

Murielle
=> "Que penses-tu Rick, qu'il vaille mieux préférer?"
Très honnêtement je ne peux que te donner des pistes pour réflexion basés sur moult observations, les données scientifiques te resteront à charge ;)
-------------------------------------------------
Souples c'est de l'hérésie, cisaillement et vieillissement prématurés, par thermoformage pas de mise en artic et donc du n'importe quoi, moins cher et aussi traumatisant prescrire des chewing, petit avantage il paraît que ça existe pour blanchir les dents.
Mixtes souple/rigides, le risque de fracture est très important, suffit de gamberger le pourquoi.
Rigides, faut déjà penser à proscrire les crochets pour la tenue, pas besoin dans 99% des cas. Max ou mandib, selon écoles, à la mandib plus difficile d'accorder les violes, le guidage ant est plus délicat, un jour un cas m'a fait réfléchir (pour être politiquement correct) supraclusie +5 ;) avec superbe incrustation des inf au palais et bien sur goutt inf, le patient la portait assez fréquemment, je te laisse réfléchir sur l'inconvenue survenue.
Perso (si ça vaut quelque chose) rigide au max, pistes réglés avec guidage ant uniforme (11,21 faussent) et surtout canines, surfaces des pistes sablées pour les rendre mates et pouvoir enregistrer et visualiser les déplacements naturels du patient pour un meilleur équilibrage hors des contraintes de stress sur un fauteuil, on oublie souvent que propulsion rétrusion et latéralités demandés au patient sans enseignement préalable de mise en conscience et apprentissage faussent ce qu'on croit être bien, faire déplacer la mandibule par guidage manuel provoque une réaction contraire!!!

"Ce qui m'étonnait le plus c'est que je ne retrouvais pas toujours les cuspides responsables des usures en creux ???"
" Effectivement, ces cuvettes dans la dentine m'intriguent-moi aussi mais je n'ai pas réussi à cerner la cause."
Questionnaire sur habitudes culinaires/masticatoires, cas d'une personne qui adorait "bouffer" pas d'autre terme, des os de poulet avec les antérieures, conséquence usure rapide de la dentine et par la suite fracture petit à petit par petits éclats de l'émail périphérique, dans ton cas murrielle l'émail serait usé conjointement par le bruxisme chronique sans toutefois créer des éclats.


200106 10150128247663588 709988587 6466236 5598391 n d7mksb - Eugenol
hallboy

20/10/2007 à 17h01

tes cuvettes ce sont probablement des mylolyses. ça n'existe pas qu'en vest au pied des pm.

AMHA: gouttiere rigide si tu peux en bas. les filtres pourront peut etre ' peut etre ) lui desactiver un peu les masseters. Disclusion pro et canine.

Oui, je sais; Planas....Perso je crois que c'est une jolie boulette à cause du point d'origine du concept ( ensuite c'est tres coherent; mais si t'es pas d'accord avec l'hypothese de depart...)
vaut mieux qu'il bouffe que de la canine dont tu benefiecira par sa proprioception.. Et toi tu pourra mieux le regler.

mais ce n'est que mon avis blablablaba etcetc.


Wra300x300 gotue6 - Eugenol
hop

20/10/2007 à 17h16

"c'est une jolie boulette à cause du point d'origine du concept "

c'est quoi l'hypothèse de départ ?

Mais si c'est "la Terre est plate", ne t'inquiète pas, tu ne risques quand même pas de tomber ;)))


200106 10150128247663588 709988587 6466236 5598391 n d7mksb - Eugenol
hallboy

21/10/2007 à 13h26

que tu dois te peter les genoux parce qu'a 25 ans tu sera bouffé par un tigre à dent de sabre;) J'exagere à peine .

http://www.i-ortho.net/questions.htm

On retombe sur les eternels problemes de l'occluso en fait:
Si c'est vrai ça doit l'etre pour tout le monde. Pourquoi admettre les bases du concept?
Comment vont ceux qui sont en dehors et pas traités.
Où se place le prat dans tous ça ? ( dentosophie )

D'autre part on parle de bruxisme ( qui est un comportement ). Peut etre que les SB peuvent casser une habitude. On est tres patient dependant dans ces cas .


Wra300x300 gotue6 - Eugenol
hop

21/10/2007 à 13h48

Planas:

"La cause fondamentale de la lésion parodontale est le traumatisme occlusal"

on ne va pas pourrir le fil de murielle avec de tels débats sur l'ésotérisme ou autres poudre de perlinpinpin.

si un mec a envie de se faire déglinguer la bouche par une secte, et d'y laisser tout son blé, c'est son problème après tout?


Image19 iebot6 - Eugenol
athos

21/10/2007 à 13h54

mylolyses?
mouais, c'est gonflant ça...mylolyses, abrasions, abfractions, attrition, erosions, etc....faut qu'on categorise quand on ne comprend pas (pas d'impacts precis antag dit elle), mais on oublie simplement que tout ça est souvent associé et imbriqué

l'attrition decouvre de la dentine, l'erosion (endogene ou exogene) rend plus sensible a l'abrasion d'autant que le patient inquiete va s'hyperactiver sur sa brosse a dent (pour peu qu'il utilise des trucs abrasif ou chelatant...) ainsi qu'a l'attrition naturelle... va degager l'etiologie reele dans tout ça! pourtant, faute de ça va proposer un plan de traitement qui tiendra debout!

bon courage!


michel06

21/10/2007 à 22h14

jeff
j'ai fait un post demandant ce que vous pensez de la théorie de planas
tu peux nous en dire plus sur ses reglages occlusaux


michel06

21/10/2007 à 22h35

faire analyse occlusale sur articulateur
analyse cephalometrique pour analyser dvo,spee,guide ant
palpation musculaire et atm
gouttière
rééducation comportementale pour diminuer parafonction
wax-up puis provisoires d'emblée à la dv thérapeutique
voilà les gands idées,trop long à détailler


Coccinelle mgl0qv - Eugenol
murielle

24/10/2007 à 23h13

Merci pour vos réponses!

Je revois la patiente demain matin pour parler de son cas...
Tout cela ne me semble pas super évident et surtout très casse g.....!

Parmi vous, certains ont-ils déjà traité ce genre de cas? Comment cela s'est-il passé? Pendant le traitement et surtout APRES?


12