Cookie Consent byPrivacyPolicies.comQuelle reconstruction chez cette bruxomane? - Eugenol

Quelle reconstruction chez cette bruxomane?

Cuisinier2 vnbbxx - Eugenol
jeff2

25/10/2007 à 00h13

je pense, qu'i est important pour toi, de presenter le devis max, Cad, 28 ceramiques comme le meilleur traitement , apres tu feras des compromis, mais il faut que tu sois sur perso, que c'est le meilleur traitement.
le mieus si elle refuse la totale, c'est le confrère du coin


Coccinelle mgl0qv - Eugenol
murielle

25/10/2007 à 00h22

Quels compromis te semblent envisageables?


Wra300x300 gotue6 - Eugenol
hop

25/10/2007 à 00h26

Je vais suivre ça avec un oeil très intéressé car j'ai eu lui comme cas:

64 ans, bruxomane avéré et qui a du rencontré une minette car il veut tout refaire (du moins la façade) en céramique.

pour le calage post, il ne veut ni appareil ni d'implant...donc en fait, il ne veut pas de calage postérieur...gloups.

Schtroumpf retraité r6wq4o - Eugenol

Cuisinier2 vnbbxx - Eugenol
jeff2

25/10/2007 à 00h36

c'est un compromis general, j'essaye de fouiller tres loin le bilan de santé.
Comme je l'ai dis plus haut je soupconne autre chose, on n'use pas ses dents comme ca, et aucun des praticiens n'a chercher avant.
Si rien n'est cherche, même si tu mets complet ceram haut et bas et que le probleme de base n'est pas resolu, c'est courire a la reprise de carie sous couronne
Donc se faire aider, mais il faut que par ton interrogatoire tu aies débusqué, le probleme de base, alimentation?, medicaments?, reflux,stress etc etc,
il faut que tu sois rigoureuse, et bien explique a la patiente que son etat n'est pas normal et qu'elle doit te dire ce qu'elle en pense, tu risques d'avoir des surprises
surtout ne pas te fier a la premiere reponse, attendre un peu, puis reposer la même question, si negatif tu lui reponds gentiment que tu ne peux rien faire pour elle, car il te manque des parametres
1) tu t'en debarasse
2) si vraiment elle nie tout, tu demandes un bilan de gastroenterologue sur une possibilite de reflux (c'est mon expetrience) avec lettre ecrite au gastro, qui lui va faire touus les bilans necessaires
apres tu verras
soit elle suit, elle est honnete
soit elle refuse, er bon debarras, mais tu seras occupe d'elle en vraie pro


Coccinelle mgl0qv - Eugenol
murielle

25/10/2007 à 01h01

Merci Jeff2,
je fouille demain et je vous tiens au courant.

Hop, sans callage postérieur, perso, je ne réfléchirais même pas à la question.


Image odged8 - Eugenol
ploc

25/10/2007 à 02h15

murielle Ecrivait:
-------------------------------------------------------
>
> Hop, sans callage postérieur, perso, je ne
> réfléchirais même pas à la question.

idem,laisse tomber
>
>



200106 10150128247663588 709988587 6466236 5598391 n d7mksb - Eugenol
hallboy

25/10/2007 à 02h43

Pareil.
même si tu lui colles une gouttiere pour pas qu'il eclate ses ceram, pour etre mignon au saut du lit, il va pas la porter.


Wra300x300 gotue6 - Eugenol
hop

25/10/2007 à 03h27

"pour etre mignon au saut du lit, il va pas la porter."


d'un autre côté, c'est puet-être parce qu'il n'avait pas de minette qu'il était stressé et donc bruxait.
le fait d'en avoir une maintenant va sûrement le décontracter, si elle sait s'y prendre pour le rassurer et qu'elle est sympa.
et si c'est pas le cas (pas de minette), alors il mettra sa gouttière car il n'aura pas honte...
enfin moi à sa place, c'est comme ça que je serais et que je ferais.


200106 10150128247663588 709988587 6466236 5598391 n d7mksb - Eugenol
hallboy

25/10/2007 à 04h25

Hop, imagine que tu regarde qq chose avec un filtre rouge, la chose devient rouge. Regarde autre chose, ça sera rouge aussi.
regrde de combien il ouvre actuellement ( estce inferieur a trois doigrts- dans tous les cas , mesure ) est cce qu'il ouvre en byonette? est ce qu'il a mal aux trapezes ou à la nuque, ou uax muscles masticateurs? Trouve un repere que le port de la gouttiere pourrait modifier ( en bien ) .
Est ce q'uil grince ( mouvements et donc use - vers où ? ) ou simplement serre.? puis realise ta gouttiere et vois ( si il accepte )
a/ s'il la porte
b/ si elle change qqchose

Rajoute un speech lui expliquant le mecanisme pour qu'au moins il ne serre pas dans la journée, essaye de savoir a quoi il relie son bruxisme blablabla.

Et reeevalue


Wra300x300 gotue6 - Eugenol
hop

25/10/2007 à 09h31

tu sais, c'est un ancien ingénieur du génie militaire et civil à la retraite..alors la mécanique et les constructions, on ne les lui fait pô...;))
tiens, en l'écrivant, je pensais que tu allais me dire que sa minette risque plutôt de le stresser encore plus...;)
gouré.

mouais..à revoir.


Image19 iebot6 - Eugenol
athos

25/10/2007 à 11h53

comme jeff2, si tu ne cernes pas l'etiologie, comment proposer un plan de traitement, surtout de cette importance?

je m'étonne que tu ne trouves pas d'impacts d'attrition quand meme, on ne peut juger que sur tes photos mais l'usure me semble bien generale et harmonieuse, que la dentine fasse des cuvettes quoi de surprenant? que ces cuvettes ne moulent pas les antag ça peut s'expliquer par l'association d'autres causes

l'erosion acide ou simplement l'abrasion de brossage seront plus actives sur un tissus tendre

une érosion acide d'origine endogene est etonnante puisque localisée uniquement sur les faces occlusales, et aucune trace en faces buccales
une erosion acide d'origine exogene donnerait quand meme quelques traces en vest, il y en a tres peu
concernant le "stess" ocllusal éventuel, je ne vois pas de signes d'abfraction cervicale, meme si les mylolyses peuvent etre localisées ailleurs, c'est rarissime qu'on n'en trouve pas aux collets! mais c'est aussi dépendant du soutien paro, comment est il?
enfin concernant l'abrasion due au brossage c'est étonnant qu'il n'y ait pas de trace vest au moins sur les Pm maxillaires.

alors si pas d'erosion, pas d'abrasion, pas d'abfraction?
en fait il est possible qu'il y ait un peu de tout ça, le(s) probleme(s) etant plus anciens qu'aigus


ZORBECA

30/10/2007 à 19h55

murielle Ecrivait:
------------------------------------------------------
> Tout cela ne me semble pas super évident et
> surtout très casse g.....!
>
> Parmi vous, certains ont-ils déjà traité ce genre
> de cas? Comment cela s'est-il passé? Pendant le
> traitement et surtout APRES?
>
>
Dans ma longue carrière j'en ai vu des dizaines ou centaines de cas semblables, j'en ai posé des gouttières qu'ils "bouffaient" ou oubliaient de mettre, je n'ai jamais eu le courage d'entreprendre totalement ce type de traitement ne me sentant pas assez compétent, toujours connaître ses limites. Je n'avais pas l'envie de me casser la gu.....

J'en ai parlé dernièrement avec mon successeur qui lui, avantage de la jeunesse, semble plus positif sur ce genre de cas. Affaire à suivre, mais je ne verrai certainement pas l'après.

Donc si tu n'es pas en confiance, passe la main, sinon tu vas passer des nuits blanches.


024 vownvo - Eugenol
annie

30/10/2007 à 21h07

Je ferais deux bridges complets en augmentant la DV ou un bridge complet en haut puisque 11 et 21 sont à refaire car trop moches,un calage mandibulaires de cr ceramiques postérieures ,et compos pour les autres dents en attendant de les couronner en ccm,pour eviter ou en réparer l'usure ,,si trop lourd à supporter financièrement


Cuisinier2 vnbbxx - Eugenol
jeff2

30/10/2007 à 22h01

je suis d'accord avec toi Annie, deux bridges complets et obligation de porter une gouttiere nocturne, renouvelable tous les six mois HN.
Si le patient refuse, et bien qu'il aille voir ailleurs, mais il saura instinctivement que c'est le meilleur traitement qu'on pouvait lui proposer,et qu'il n'avait pas à changer de voiture...


Wra300x300 gotue6 - Eugenol
hop

30/10/2007 à 22h12

et moi ?

si je ne lui fais pas ses céramiques et que sa minette le largue ( même si c'est pour autre chose, il me dira que c'est à cause de ça, car il lui faudra une porte de sortie )...

...et qu'il me bute ;) ?
je serais mort, mais j'aurais ma conscience professionnelle pour moi ;))


024 vownvo - Eugenol
annie

31/10/2007 à 20h49

Pour ton cas Hop,si c'est juste pour le temps de la séduction,avant qu'il ne se fasse larguer,bridge en haut à gauche et en bas bridge,avec une dent en cantilever de chaque coté pour ne pas que le haut se casse la figure,il sera beau,et tu seras riche!)


Wra300x300 gotue6 - Eugenol
hop

31/10/2007 à 21h05

annie...tu sais bien que seule la richesse intérieure m'intéresse, mais si sa satisfaction générée par sa beauté et son succès peut m'en procurer, c'est ce que certains appellent du gagnant/gagnant.


024 vownvo - Eugenol
annie

01/11/2007 à 00h18

hop Ecrivait:
-------------------------------------------------------
> annie...tu sais bien que seule la richesse
> intérieure m'intéresse, mais si sa satisfaction
> générée par sa beauté et son succès peut m'en
> procurer, c'est ce que certains appellent du
> gagnant/gagnant.
tu le prendras en photo à coté de ton goeland,,au coucher du soleil,ce sera superbe!



Fouilla h6plsy - Eugenol
fouilla

08/11/2007 à 13h57

chère murielle (si si j'ose)

je te réponds dans un preier temps avec un cas que j'ai traité du mieux possible (paro occluso implanto et un peu de blanchiment deux ans après sur quatre incisives )

et par la suite je te montrerai quel dégat cela peux faire avec un autre cas qui n'a pas été réalisé en global que je n'ai pu traiter totalement le patient refusant l'idée de greffe et de soulevé de sinus et la casse que cela peux générer quant on travaille sans être "occluso conscient"


Coccinelle mgl0qv - Eugenol
murielle

13/11/2007 à 14h04

Bon, je n'ai pas trop trop eu le temps d'écrire ces derniers temps, mais je reprends le fil.

Comme prévu, j'ai revu la patiente et nous avons passé un bon petit moment à discuter, à chercher d'où pouvait venir son problème.
Bilan : rien de très spécifique ; pas de traitement médicamenteux particulier vraiment au long cours (trois mois maxi), question alimentation pas de dada du genre « petit jus de pamplemousse toute la journée » (j'ai déjà vu une patiente qui faisait cela et sur laquelle on
retrouvait des énormes cuvettes en creux au niveau de la dentine dans toute la bouche), patiente ayant effectivement une tendance anxieuse.

Je lui ai proposé de faire un bilan chez un gastro-entérologue pour explorer une possibilité de reflux ; la patiente a tout de suite accepté cette idée. On verra...

Par ailleurs, la chose la plus bizarre qu'elle m'ait dite est qu'elle a l'impression de moins crisper les masséters depuis que ses dents sont moins hautes ! ! !


Coccinelle mgl0qv - Eugenol
murielle

13/11/2007 à 14h05

Fouilla, merci beaucoup pour ta réponse et la présentation très complète du cas que tu as traité (cf bruxogirl).
Tu parais être un des rares à avoir osé traiter ce genre de cas. Bravo !

Ce qui m'épate le plus, c'est que la patiente dont tu parles, une fois traitée ne bruxe plus !
Peut-on croire, à l'image de ce cas, qu'on arrête le bruxisme parce qu'on reconstitue ? (dit ainsi, cela me semble un peu réducteur...)

J'attends avec impatience ta seconde présentation.


200106 10150128247663588 709988587 6466236 5598391 n d7mksb - Eugenol
hallboy

13/11/2007 à 14h32

murielle Ecrivait:
-------------------------------------------------------

> Tu parais être un des rares à avoir osé traiter ce genre de cas. Bravo !


non on est parfois bine obligé de traiter
c'est l'aspect un brin aleatoire de l'aret du bruxisme qui pose probleme.

> Ce qui m'épate le plus, c'est que la patiente dont
> tu parles, une fois traitée ne bruxe plus !
> Peut-on croire, à l'image de ce cas, qu'on arrête
> le bruxisme parce qu'on reconstitue ? (dit ainsi,
> cela me semble un peu réducteur...)

ça serait ( a la louche ) de l'ordre de une fois sur 2 . Growler a du traiter l'autre;) .
Ou Mark.

Et foullia en parle tres bien.


> J'attends avec impatience ta seconde
> présentation.


Pareil.


Fouilla h6plsy - Eugenol
fouilla

13/11/2007 à 15h39

pour te répondre je pense que l'arrêt du bruxisme est vraiment multifactoriel mais avec une composante stress prépondérante+++
pour le deuxième cas je rencontre un problème car comme je l'ai dit je n'ai put le traiter en implantologie "conventionnelle"=fut cylindrique et le patient a été traité en implantologie basale :

le cas est vraiment spectaculaire au niveau radiologique mais ce patient bruxe énormément et il a été équipé en 4 temps avec un mélange d'implanto conventionnelle et basale : résultat ça casse tant au niveau des restaurations prothétiques dentaires mais aussi au niveau des structures posées type disque (exposition des implants) je ne saurai dire si cela tient à l'occlusion certes compliquée où au type d'implants utilisés(disque et à appui malaire) ?


comme il ne s'agit pas de "mon cas " je ne peux me permettre de montrer ces radios et photos en me les appropriant et "on" ne souhaite pas que je le fasse...


donc désolé pour cette proposition que je ne pourrai tenir sauf peut être en mp ?
je te mets simplement un ratrapage sur ce patient d'une conséquence occlusale (endo rtr +prf) des que je peux ou on voit bien les conséquences occlusales sur le parodonte


Fouilla h6plsy - Eugenol
fouilla

13/11/2007 à 17h11

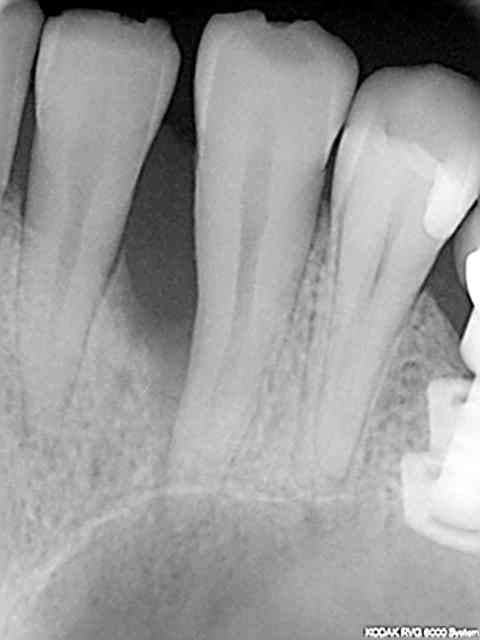
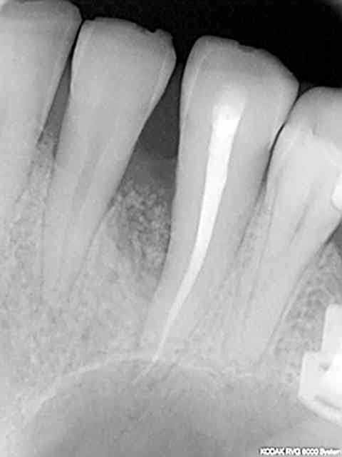
rvg avant endo et 3 mois après endo retouche occlusale et rtr +prf on voit le "fut.." en 15 !

c'est le coté droit qui a été équipé en dernier c'est de ce coté que commence les problèmes cad fenestration en haut fracture dentaire en bas.


comme je n'oserai pas me lancer dans ce type d'implantologie j'ai souhaité ne pas faire la partie prothétique et donc ca manque de cohérence car je réalise d'autres soins (déja mis en place deux implants mandibulaires et dois bientôt en mettre deux autres) franchement on a tous une croix ce sera la mienne !


mais une chose est sure je ne ferai plus ce type d'exercice : soit je fait tout soit je ne fait rien c'était la règle jusqu'alors mais pour faire plaisir à un copain il y à ...l'exception et... c'est celle là qui fait mal...
.

1 ivkdpa - Eugenol
2 iwpzrw - Eugenol

12