Cookie Consent byPrivacyPolicies.comun cas comme je les aime...... - Eugenol

un cas comme je les aime......

alhoun

25/10/2007 à 19h00

lâchez vous.

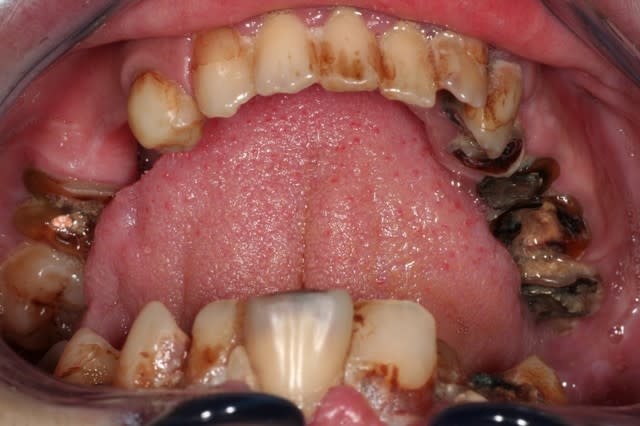
Img 1251 ae8syz - Eugenol
Img 1252 se20gi - Eugenol
Img 1253 qw8lyl - Eugenol

alhoun

25/10/2007 à 19h02

et la suite...

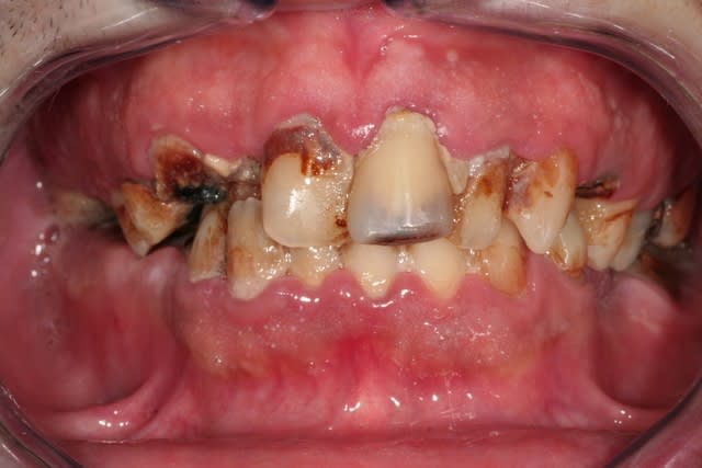
Img 1254 qufvep - Eugenol
Img 1255 terwdz - Eugenol
Img 1256 roryr2 - Eugenol

Image19 iebot6 - Eugenol
athos

25/10/2007 à 19h22

t'as fait du bon boulot


Dos02 qpcfgi - Eugenol
Rick

25/10/2007 à 19h24

Paolo ne sera pas content.


alhoun

25/10/2007 à 19h49

la pano

F brgxob - Eugenol

Wra300x300 gotue6 - Eugenol
hop

25/10/2007 à 21h06

je crois que là, à part dentisterie véto et pédo, tu as tous les thèmes d'eugénol dans une seule bouche.


S8ysxdzhdqgw00w4q6m07a5d47q2 - Eugenol
gai-luron

25/10/2007 à 21h36

si ut les aimes vraiment comme ça, viens chez nous, t'en auras au moins un par semaine...


j'espère simplement que tu nous feras suivre ça, comme ton cas archimultidisciplinaire, c'est intéressant.


Gutt-A

25/10/2007 à 21h52

complets? ou....complets.


alhoun

25/10/2007 à 22h13

j'explique le contexte: jeune homme à l'adolescence plutôt difficile, rangé des voitures. s'est mis à son compte.
hyper motivé, à souscrit un crédit pour la totalité des travaux. on démarre dans quinze jours si tout va bien.
complet, oui, pourquoi pas. mais désolé, j'en ai plus en stock.


Logo vuaztn - Eugenol
mac

25/10/2007 à 22h49

tu fais quand même un scan?


alhoun

26/10/2007 à 00h12

un scan? pourquoi faire?


Wra300x300 gotue6 - Eugenol
hop

26/10/2007 à 00h25

je pense qu'il voulait écrire "un scalp".


Image19 iebot6 - Eugenol
athos

26/10/2007 à 11h43

bon, bien que n'etant plus du club je me lache

tiens? déjà la pano a changé de place
c'est amusant qu'alhoun présente un cas comme ça, quéqui va bien faire comme ttt?

va t y sermoner sur l'hbd? grrr... avec delicatesse surement, parceque le jeune homme a visiblement passé beaucoup de temps chez les dentistes, beaucoup de séances, et le resultat...

mais je parie que la matière va stimuler l'artiste, il y a de quoi faire une belle bouche et ce sera surement le meilleurs outil de motivation

ensuite comment la mécanique alhounienne va t elle s'epanouir et se révéler? par exemple, mais entre autre, va t y se bagarrer avec cette 34 en reprenant l'endo et en esperant resurrection (c'est jouable), va t y virer et implanter avec le reste (il y a tellement d'os si tentant)? comment l'endo qui est au plus profond de lui va t il se confronter avec l'implanto encore plus enfoui?


annickromand

26/10/2007 à 23h37

allez, on veut tout suivre..et tout savoir, Alhoun, tu promets?


Cuisinier2 vnbbxx - Eugenol
jeff2

27/10/2007 à 00h10

Je ne la trouve pas si mal que ca cette bouche.
Le premier truc qui m'interpelle, c'est les photos avec le contraste de certains traitements radiculaires
A mon avis alhoun il a pris la pano a la moitié du traitement, car aucune raison que 34 ne soit pas retraitée comme 17.

Si le patient me promet qu'il a arreter les stups, vac preuves sanguines a l'appuis je me lance, et j'ai quelque doute sur 37, mais dans l'ensemble tout me semble sauvegardable sauf 48 , bien sur si c'est Alhoun qui a fait les traitements d'endo ou son correspondant endo pour savoir si le patient a du repondant.
Même pas sur d'avoir a augmenter la dv , vu comment il vafalkloir retablir le rapport couronne racine en haut
Allez deux implants en bas a droite et une vingtaine de procera et c'est bon

je me lance.. mais j'aime bien toucher et voir le patient, alors c'est au pif


Gé=45knioU18-)°£vévé,H/na

27/10/2007 à 13h14

Alhoun n51btk - Eugenol

200106 10150128247663588 709988587 6466236 5598391 n d7mksb - Eugenol
hallboy

27/10/2007 à 13h58

4 implants ( ? ) et hausse de la DVO. mais avant decouverte du brossage.
Si tu commences dans 15 jours , c'est que wax d'etude realisé et devis fixé je suppose.
ça risque de faire un avant apres spectaculaire;)


Spriford

27/10/2007 à 18h25

Ben moi, j'y crois pas!
Ce type là à mon avis, il demande qu'on lui enlève la totalité de ses dents et Alhoun va lui faire un complet haut et bas quitte à ajouter quelques implants pour le confort et la tenue.

Mais passer de cet état là à un entretien quotidien après des mois de traitement et une fortune dépensée, non! j'y crois pas!


200106 10150128247663588 709988587 6466236 5598391 n d7mksb - Eugenol
hallboy

27/10/2007 à 22h47

J'ai bien arreté de fumer! pire: il m'arrive de mettre la digue;)


S8ysxdzhdqgw00w4q6m07a5d47q2 - Eugenol
gai-luron

28/10/2007 à 00h28

Spriford Ecrivait:
-------------------------------------------------------
> Ben moi, j'y crois pas!
> Ce type là à mon avis, il demande qu'on lui
> enlève la totalité de ses dents et Alhoun va lui
> faire un complet haut et bas quitte à ajouter
> quelques implants pour le confort et la tenue.
>
> Mais passer de cet état là à un entretien
> quotidien après des mois de traitement et une
> fortune dépensée, non! j'y crois pas!
>
>


j'avoue être un peu d'accord avec ça...

mais c'est peut-être être défaitiste.


200106 10150128247663588 709988587 6466236 5598391 n d7mksb - Eugenol
hallboy

28/10/2007 à 02h29

C'est le pb du patient. Pourquoi lui refuser la meilleure qualité de soins sur un a priori? Il arrive motivé puisqu'il a pris un credit etcetc.
Qu'ensuite il faille expliquer, motiver, reeexpliquer , surveiller, c'est sur.
Mais cela une fois fait, c'est le pb du patient.
Sans la partie credit, je serais plus dubitatif


S8ysxdzhdqgw00w4q6m07a5d47q2 - Eugenol
gai-luron

28/10/2007 à 09h27

c'est sûr, hallboy, si il s'est engagé financièrement en prenant ce crédit, c'est qu'il est motivé.

de toute façon, alhoun se rendra vite compte si il suit au niveau de la motivatoin et de la maintenance.


Image odged8 - Eugenol
ploc

28/10/2007 à 12h31

remise en place de 22 avant prothèse....?
ou sacrifice des laterales?


Grueavatar nptrc9 - Eugenol
Le Choixpeau magique

28/10/2007 à 15h17

Au delà du problème de brossage, le résultat est probablement surtout dû à de l'héroïne en IV, donc si le mec est vraiment guéri (est-ce que c'est seulement possible ?) de son addiction, pourquoi pas ?
Comme les autres, j'aimerais bien un suivi au jour le jour didactique et tout et tout (avec les plans et les panneaux de placo), siouplait Msieur.

Autre question niveau com/psychologie: comment s'est fait l'élaboration du PDT et du devis ? Combien de séance de blah blah avant de présenter le pdt et de livrer un chiffre ? Modèles d'études, artic, wax up ? Assainissement et soins de base avant ou pas ?
Mon titulaire me dit que je suis trop rapide dans la présentation du pdt et du devis, mais quand je laisse un peu de temps au poisson avant de le ferrer je le perd avant... En général ce type de patient veut surtout des provisoires antérieures pour être moins moches, si je le fais il se casse une fois qu'il les a, si je ne le fais pas, il se casse au moment de la présentation du pdt/devis.


067 clmun6 - Eugenol
sandrine

28/10/2007 à 15h31

Le Choixpeau magique Ecrivait:
-------------------------------------------------------
> si le mec est vraiment guéri (est-ce que c'est
> seulement possible ?)





oui, c'est possible.


12...