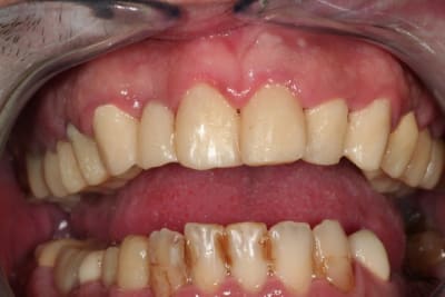
Cookie Consent byPrivacyPolicies.comun cas comme je les aime...... - Eugenol

un cas comme je les aime......

Image19 iebot6 - Eugenol
athos

06/12/2007 à 16h39

ah...on aura ecrit en meme temps, sorry.


Spriford

06/12/2007 à 17h25

alhoun Ecrivait: non je déconne: c'est beaucoup plus subtil...

L'endo c'est pour assainir le parodonte et... mieux implanter après !!!


alhoun

06/12/2007 à 22h48

pour implanter, j'attends qu'il soit en provisoires nettoyables de partout...
normalement début janvier...
quant à ma petite 34, c'est une dent presque intacte, bien sûr que je la conserve.


alhoun

13/12/2007 à 12h11

le traitement poursuit son bonhomme de chemin..
une vue du côté droit après élongation coronaire à une semaine...


à suivre..

Elongation 6 jrs bis fohxgm - Eugenol
Elongation 6 jrs umrfb1 - Eugenol

200106 10150128247663588 709988587 6466236 5598391 n d7mksb - Eugenol
hallboy

13/12/2007 à 13h09

avec quoi l'elongation? fraise ceram?


alhoun

13/12/2007 à 14h21

non, bistouri, lambeau, fraise à os....


Marque a3 orange fyvhyq - Eugenol
Marc Apap

13/12/2007 à 15h57

Franchement alhoun, tu déconnes : il y avait un peu de buée sur ton miroir. La 7 et la 8 ne sont pas très nettes !


alhoun

13/12/2007 à 17h27

c'est parce que j'ai acheté le mirroir que tu as recommandé!


Marque a3 orange fyvhyq - Eugenol
Marc Apap

13/12/2007 à 18h39

Tu aurais pu cracher dessus avant pour enlever la buée.


débutante

09/01/2008 à 20h12

c'est maintenant début janvier non?


alhoun

10/01/2008 à 19h43

bientôt on va m'installer une pointeuse!!

plus de connexion au cabinet, donc les images la semaine prochaine. je compte sur débutante pour me le signaler ;)
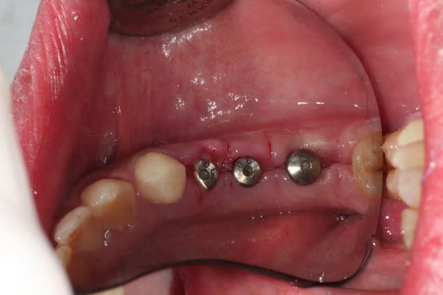
ce matin, pose de trois implants.


alhoun

17/01/2008 à 19h36

salut les petits clous...
voilà, je me suis remis un peu au boulot.
voici quelques images....
juste une remarque: pour l'instant je suis à la même DV.

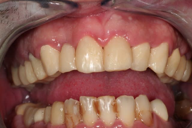
Provisoires rz6hcn - Eugenol
Provisoires occlusal qccrqk - Eugenol
Occlusal bas yjd5gb - Eugenol
Vue occlusale wxod3u - Eugenol

alhoun

17/01/2008 à 19h38

et la suite...

Prep droite g1ul8z - Eugenol
Prep gauche cwodjc - Eugenol
Implants sans fil ot1vm0 - Eugenol

Openlogo nd 50 h1qdks - Eugenol
etch

17/01/2008 à 21h46

athos Ecrivait:
-------------------------------------------------------
> t'as fait du bon boulot


+1


Grueavatar nptrc9 - Eugenol
Le Choixpeau magique

17/01/2008 à 23h32

Comm=ent tu fais pour aller aussi vite, tu le vois cinq fois par semaine ou quoi ?


alhoun

18/01/2008 à 08h08

depuis fin octobre, il a en gros deux rdv de deux heures par semaine.


Logo vuaztn - Eugenol
mac

18/01/2008 à 08h24

et en plus il est matinal, il sait tout faire!

un café, merci.


Grueavatar nptrc9 - Eugenol
Le Choixpeau magique

18/01/2008 à 08h43

C'est ce qui s'apelle un patient motivé.
En tout cas, il a l'air d'en avoir pour son argent, c'est rondement mené :)


catrose

18/01/2008 à 09h29

toujours pas d'ortho prevue?je lui aurais bien aligne les inc sup
un cafe aussi ,merci


200106 10150128247663588 709988587 6466236 5598391 n d7mksb - Eugenol
hallboy

18/01/2008 à 14h34

2 sucres.
Tu donnes des points?


Logo vuaztn - Eugenol
mac

18/01/2008 à 22h45

hallboy Ecrivait:
-------------------------------------------------------
> 2 sucres.


et tu mets du coca dans ton whisky?


alhoun

19/01/2008 à 20h25

non catrose, pas d'ortho.
on va un peu tricher avec la prothèse.


Pa050055 igyagy - Eugenol
mark

20/01/2008 à 20h32

merci alhoun, c'est un plaisir!


Image19 iebot6 - Eugenol
athos

21/01/2008 à 18h23

tout pareil merci


003 penrd2 - Eugenol
Cingulum

23/01/2008 à 18h43

On suit avec assiduité....


1...789...