Cookie Consent byPrivacyPolicies.comMon 1er cas implanto/prothèse sur pilotis... - Eugenol

Mon 1er cas implanto/prothèse sur pilotis...

nolive

28/10/2007 à 15h40

Salut à vous tous.
Je sollicite vos avis avisés sur un prochain cas:
Patiente de 60 ans (retraitée) en bonne santé:
.........12.11.|.21.22.23.24.25.........
.....44.........|....32.33.34.35.36......

Tout bouge en bas -> je vais tout extraire et faire un complet provisoire immédiat. Ensuite, Je vais lui proposer un complet du bas sur 5-6 implants para-symphysaires inter-mentonniers (à la suédoise...).
au maxillaire, je vais la laisser tel quel (au moins dans un premier temps): stellite postérieur et dents antérieures avec une très légère mobilité.

Puis-je tenter une MCI avec la prothèse provisoire suivie rapidement de la prothèse définitive ?
Ou vaut-il mieux attendre quelques mois, pour assurer une bonne ostéo-intégration, avant de mettre en charge étant donné que le maxillaire n'est pas une prothèse amovible complète ?

Un grand Merci d'avance pour vos critiques et vos conseils.
PS: ça urge. Je revois la patiente dans 15 jours pour lui exposer le plan de traitement.


Logo vuaztn - Eugenol
mac

28/10/2007 à 15h58

nolive Ecrivait:
------------------------------------------------------ité.
>
> Puis-je tenter une MCI avec la prothèse provisoire
> suivie rapidement de la prothèse définitive ?
>



oui, c'est même une obligation.


nolive

28/10/2007 à 16h24

A vos ordres, général...

Question subsidaire: Puis-je pousser le bouchon un peu plus loin et tenter de faire les extractions, le jour de la pose des implants ?
Ou est-ce un peu gonflé ! (surtout pour un premier cas de ce type...)


Logo vuaztn - Eugenol
mac

28/10/2007 à 17h41

si tu as suffisamment de hauteur pour écrêter au niveau des alvéoles pourquoi pas, surtout que tu dois plus en avoir beaucoup si ça flotte.
le problème va surtout être dans la gestion du provisoire je pense.


Blason dql7mj - Eugenol
growler

28/10/2007 à 18h19

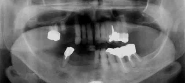
nolive, tu as une pano à nous montrer?

@+


nolive

28/10/2007 à 18h55

J'ai effectivement une pano et même un scan. Je posterai dès que possible (au cab...) Merci à vous.


nolive

28/10/2007 à 23h15

Voilà la pano et les coupes de scan de la dent 44 à 35.

Pano jj5e6o - Eugenol
Scan 1 calhxm - Eugenol
Scan 2 lozwjp - Eugenol
Scan 3 qvvm5h - Eugenol

nolive

28/10/2007 à 23h17

Les suivantes:

Scan 4 azy6ld - Eugenol
Scan 5 go7h1x - Eugenol
Scan 6 kcnfpc - Eugenol

carole

02/11/2007 à 22h11

extractions/implantation/MCI, mais va d'abord voir quelqu'un qui sait faire pour lui tenir l'aspi....


gerard

06/11/2007 à 08h12


bonjour nolive,
1/ tu implantes beaucoup , et la chir meme complexe n'a plus de secrets pour toi et une MCI avec un protocole type all on four ou DIEM sera impeccable .
2/ c'est ton premier cas , alors la, cherche pas les emmerdes, extraies,attends que ton complet soit bien en place et la et alors seulementla tu fais ton scan pour avoir les emplacements des carottes. et tu fais ton truc classique ,type bridge sur pilotis.
3/ tu as fait ton scan mais je ne vois pas dans ton post les souhaits de la patiente,elle veut du fixe? un clapier qui tienne bien? une prothèse " comme mes dents"? A PRIORI, c'est quand meme bien ca qui doit nous guider, cad ce que souhaitent nos patients et pas un plan de traitement fait a posteriori après les exos, sinon tu cours aux pépins; ta patiente doit etre informée avant le traitement de toutes les alternatives avec avantages et inconvénients , pas après!!!imagine qu'elle refuse tes traitements et qu'elle te dise qu'elle aurait préféré garder ses ratiches mobiles , tu fais quoi???alors nolive sois encore plus rigoureux , en implanto on fait pas de la cuisine, enfin pas toujours ,mais ton approche me parait sur un cas comme ca pas assez fouillée.
amicalement, gégé


nolive

06/11/2007 à 08h47

gerard Ecrivait:
-------------------------------------------------------
> > bonjour nolive,
> 1/ tu implantes beaucoup , et la chir meme
> complexe n'a plus de secrets pour toi et une MCI
> avec un protocole type all on four ou DIEM sera
> impeccable .


Je "plante" assez régulièrement depuis 1 an et demi -> une diziane d'implants par mois + 3 ans de DU d'implanto. Je ne découvre donc pas l'implanto. Par contre, je n'ai jamis posé plus de 3 implants sur un même patient.


> 3/ tu as fait ton scan mais je ne vois pas dans
> ton post les souhaits de la patiente,elle veut du
> fixe? un clapier qui tienne bien? une prothèse "
> comme mes dents"? A PRIORI, c'est quand meme bien
> ca qui doit nous guider, cad ce que souhaitent nos
> patients et pas un plan de traitement fait a
> posteriori après les exos, sinon tu cours aux
> pépins; ta patiente doit etre informée avant le
> traitement de toutes les alternatives avec
> avantages et inconvénients , pas après!!!imagine
> qu'elle refuse tes traitements et qu'elle te dise
> qu'elle aurait préféré garder ses ratiches mobiles
> , tu fais quoi???alors nolive sois encore plus
> rigoureux , en implanto on fait pas de la cuisine,
> enfin pas toujours ,mais ton approche me parait
> sur un cas comme ca pas assez fouillée.
> amicalement, gégé

La patiente est au courant de toutes les alternatives et des risques et avantages pour chaque cas.
- garder ses ratiches pendant quelques années (mois ?)
- extraire au fur et à mesure et rajouter sur son berlingot
- tout extraire et faire un complet amovible
- tout extraire et faire un complet implanto-stabilisé par 2-3 implants (boules ou barre)
- bridge sur pilotis

La patiente a "du temps et de l'argent" et m'a semblé très intéressée par la dernière solution.
Je la revois bientôt pour une 2ème fournée d'explications suite au passage du scan.
Les souhaits du patient sont évidemment un guide principal mais les conditions cliniques et les compétences du praticien aussi -> d'où ma question. :-)

Il y a de grandes chances que je me lance dans Exo - implanto - MCI si la patiente est d'accord. (et je pourrai toujours m'arrêter à une des étapes en cas de soucis)
Je vous tiendrai au courant et j'essaierai d'iconographier dans ce fil pour ceux qui se trouveraient dans ce cas.

Merci à tous. (la décision continue à murir grâce à vous)


nolive

10/02/2008 à 00h42

Bon, ça y est, je suis dépucelé du complet sur pilotis avec MCI.

ça s'est bien passé. J'ai posé 5 implants mandibulaires (4 de 4x13 et 1 4x11) et 1 implant maxillaire de 3x10.

La patiente est ravie, elle n'a pas mal (toute juste un peu gonflée). J'ai bien évité de léser les mentonniers ;-). J'ai pu solidariser la prothèse sur 4 implants. Le tube provisoire central était mal centré, la vis risquait de trop forcer, j'ai préféré rester ancré sur les 4 implants distaux.
Le premier résultat est conforme à mes simulations (sous facilitate = simplant par astra).
Encore merci pour vos avis et merci aussi à ceux qui avaient posté des cas similaires. Je m'en suis largement inspiré (pose de digue etc...).

Il n'y a plus qu'à espérer que la cicatrisation se passe pour le mieux.

Il faudra quand même que j'améliore ma procédure de solidarisation de la prothèse sur les tubes.

Pour une première, je suis assez content.

Salut.

Tubes ealwqq - Eugenol
Prothèse en place gojmqp - Eugenol

alhoun

10/02/2008 à 08h43

cool, le seul truc, c'est que je ne fais jamais d'extensions avec une mci, j'attends la prothèse définitive.


nolive

10/02/2008 à 09h25

J'ai hésité...
Mais vu que j'ai posé un implant en place de 14, j'ai gardé le nouveau stellite.
Il n'y a pas d'occlusion possible dans le secteur des 6...

Faut-il que je coupe quand même ?

PS: quand je citais ceux qui ont posté des cas similaires qui m'ont bien aidés, tu en faisais parti alhoun... Un grand merci donc.


Logo vuaztn - Eugenol
mac

10/02/2008 à 09h29

good job.

facilitate tu as fait un guide avec ou juste la simulation?


nolive

10/02/2008 à 09h38

Non, je n'ai pas fait de guide mais ça faciliterais franchement le boulot. J'attends les tarifs avant de me lancer.

Le truc qui a l'air génial c'est aussi de se servir du guide avec des répliques d'implants pour obtenir un modèle de travail. Et là facile de gérer la MCI.

Pour bientôt je pense... j'ai déjà le logiciel et la trousse de chir...


Humator t9r5wy - Eugenol
humator

10/02/2008 à 11h40

super, ça fait plaisir quand c'est posé, hein?
par contre, à chaque fois, je flippe un peu dans les premières semaines. J'ai toujours la hantise que tout foire et que le patient revienne avec l'ensemble dans la main!! ( suis un peu parano!)
2 remarques pour moi:
1) je n'aurais pas fais les extentions si longues (un peu trop frileux, peut etre)
2) dans ce genre de cas, je souhaite rester abordable, et donc, pas de scan, et surtout pas de robotiso-informatico-assistance. Toutes ces merveilles technologiques alourdisent le devis de plus en plus.
Mais c'est ma philosophie pour l'instant: ces techniques séduisantes sont chères, et vouées à court terme à etre remplacées par d'autres encores plus pointues. Dans quelques temps, se sera surement vulgarisées. Il est donc urgent d'attendre...
En tous cas, encore bravo et bonne continuation


Blason dql7mj - Eugenol
growler

10/02/2008 à 15h42

bravo nolive, c'est propre.

@+


rene

20/02/2008 à 23h03

entre tubes et provisoire : quel materiau pour solidariser?

et comment le mettre en place ? injection? avec quoi?