Cookie Consent byPrivacyPolicies.comkyste gingival - Eugenol

kyste gingival

gilles69

16/11/2007 à 14h51

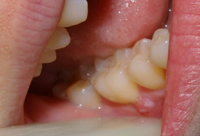
patiente genée par protub gingivale, pas de douleus, hygiene impeccable, pas de cause decelée, quoi faire?antiseptiques locaux, eviction et greffe?

Imgp0397 kkpsww - Eugenol

Pa050055 igyagy - Eugenol
mark

16/11/2007 à 17h37

rien au sondage?


gilles69

16/11/2007 à 18h00

rien au sondage (on avait une petite recession gingivale, 1mm)!


Dr - Eugenol
JeRis

16/11/2007 à 21h17

... on ne voit pas bien, mais ça ne serait pas plutôt un papillome?


Wra300x300 gotue6 - Eugenol
hop

16/11/2007 à 21h46

c'est pas Claudia Schiffer, ta patiente, par hasard ?


gilles69

19/11/2007 à 10h34

Why Claudia schiffer?


Spriford

19/11/2007 à 10h50

gilles69 Ecrivait:
-------------------------------------------------------
> Why Claudia schiffer?


http://www.eugenol.com/eugenol/read.php?11,282873


gilles69

19/11/2007 à 13h24

tout ça ne me dis pas quoi faire, un p'ti coup de birodogyl ou des tetracyclines....


pepe54

19/11/2007 à 13h45

exerese - analyse. Sans doute un papillome


gilles69

21/11/2007 à 18h11

c'est bon, j'y suis pour Claudia...


gilles69

26/11/2007 à 15h53

modalités de l'exerese, inclinaison de la lame, largeur du prelevement, remplacement des tissus enlevés?