Cookie Consent byPrivacyPolicies.comJ'ai quelques idées mais ... - Eugenol

J'ai quelques idées mais ...

bru

20/11/2007 à 08h58

Et vous ?
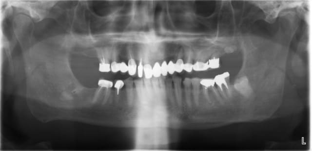
36 et 37 toutes les 2 fêlées ont été extraites, comme 24.
patient de 72 ans en bonne santé, j'ai carte blanche...

Mrx sdijud - Eugenol

bru

20/11/2007 à 11h43

Qu'en pensez-vous ?
-au max : ext, implantation, MCI
-à la mdb : impl 36, rett endo 45 46, ccm partout ( perte de dv ~3 mm )

MCI dans son occlusion actuelle et réalisation de la proth définitive dans la nouvelle occlusion.


Ylfwcw979cz1jnx9gfqeaxndiuzk - Eugenol
Algi

20/11/2007 à 12h22

MCI???? Quoi t'est-ce que ça?

En bas OK pour moi, en haut faut que je reflechisse.

ps: 27: la racine est quasi à l'horizontale ou quoi?
28: il semble rester un truc par là, à surveiller au moins.
48 incluse: à surveiller et peut être pas obligatoirement à extraire si tu places implant en 46 car elle sera à distance mais pense au cas où tu devrais l'extraire 1 de ces 4 alors que les protheses seront en place.... peut être envisager intervention en 1 temps, pose implant et extraction 48?


bru

20/11/2007 à 12h36

Mise en Charge Immédiate = MCI
tu veux parler de 38 ? j'espère ne pas avoir à l'extraire ( j'ai galéré un max pour ext 36 37 ).
pour ce qui est de 27, comme 26, les raçines sont fracturées ; je pense les extraire dans un 1er temps.
28 est là sans bouger depuis 50 ans ; je croise les doigts