Cookie Consent byPrivacyPolicies.comVos avis m’intéressent - Eugenol

Vos avis m’intéressent

bjc

26/11/2007 à 12h21

salut à tous,

Pour utiliser des arcs modernes Ni.Ti. qui délivrent des forces faibles, (de 20 à 100 gr.), constantes entre 20° et 80°, il faut une friction faible, pour avoir de la glisse
Ce n’est pas possible avec des ligatures conventionnelles, métalliques ou élastiques qui ont, en moyenne, une friction de 125 gr.
Tous les Bk. présentent des angles vifs sur lesquels la ligature vient se former lors du toronnage, pour prendre une forme en U (double agrafe). ceci pour une bonne immobilisation de l’arc dans la gorge du Bk.
il faut donc modifier le chemin des ligatures, supprimer les angles vifs (encochage), pour pouvoir fabriquer des ligatures lâches, qui ont la même friction passive que la porte des Bk. autoligaturants
c’est avec ces Bk. modifiés que j’ai traité les cas présentés
l’avantage est : on continue à utiliser les Bk. dont nous avons l’habitude
surtout que tous les ans, il sort un nouveau modèle d’auto-ligaturant

vous en pensez quoi ? (pas des cas présentés avant, du système)


Avatar transparent iqadnc - Eugenol
adhoc

26/11/2007 à 19h59

On doit prendre la fraise flamme pour modifier nos brackets, bjc?


bjc

26/11/2007 à 23h13

J’utilise une fraise fine diamantée, conique, je te fais une photo
Je passe ensuite une grain fin pour les Bk. céramique


bjc

27/11/2007 à 11h49

photos

Bk - Eugenol

1 eugenol dmj5np - Eugenol
Dancha

27/11/2007 à 12h40

Très ingénieux. Félicitations.

Daniel


bjc

27/11/2007 à 17h23


la ligature, même sur un Bk. rectifié, peut entraîner un cintrage de l’arc (blocage)
ici, lig. de 0.010 sur arc de 0.014

Img 0589 - Eugenol

bjc

27/11/2007 à 17h40

la solution est simple

diminuer la taille des ligatures et
ligaturer à contrario de tout ce qu’on nous a appris


bjc

27/11/2007 à 18h11

donc, utiliser des fils de ligature de 0.008 pour des arcs de 0.014 Ni.Ti.
et changer de technique de ligature
ça, c’est plus long à expliquer


bjc

28/11/2007 à 04h22

technique de ligature

il faut ligaturer en tenant le brin du toron parallèle à l’arc, et s’arrêter quand l’angle des deux brins forme un angle de 90° (1° photo)
ensuite on coupe et on rabat (2° photo) on voit que la ligature a tourné, preuve de sa laxité

Ligature lache 1 orl26n - Eugenol

bjc

28/11/2007 à 17h27

et si on ne veut plus de glisse, mais du torque, avec des arc carrés ou rectangulaires, on augmente la section des ligatures, et on ligature, toron perpendiculaire à l’arc
on a une ligature conventionnelle avec friction
on met donc le torque et l’ancrage ou on veut sans etre tributaire du Bk.
ah, que j’aime les ligatures métalliques


1 eugenol dmj5np - Eugenol
Dancha

28/11/2007 à 19h35

C’est fort intéressant, mais penses-tu vraiment que tu puisses traiter un cas comme celui-ci sans avulsion de prémolaires simplement grâce aux forces légères et aux glissements du fil dans les braquets ?

Qu'en pensent les autres eugénoliens ?

Daniel

Bj0 mn8mqv - Eugenol

bjc

29/11/2007 à 12h27

la friction faible n’est pas une nouveauté,
Begg l’obtenait déjà avec ses Bk. à clavette, mais il était obligé de travailler en double arc rond pour avoir du torque

ce qui est récent,
c’est les forces faibles et constantes
qu’on n’est plus obligé d’additionner à la friction de Bk.-ligatures
si on utilise des Bk. auto-ligaturants

bien que les Bk. autoligaturants soient un gros progrès, leur avantage devient un inconvénient en cours de traitement, car on ne peut pas mettre le torque dès les premiers arcs quadrangulaires (si on le veut)
d’où les Bk . interactifs, qui sont un progrès
vous me direz :
on peut aussi mettre des ligatures sur les Bk. auto-ligaturants,
mais à ce prix là c’est du gâchis !

d’où mon idée de système de Bk. modifié qui permet
soit des ligatures lâches qui ont la m friction passive que des auto-ligaturants,
soit des ligatures conventionnelles avec de la friction,
donc du torque sur les dents choisies
ou de l’ancrage symétrique ou asymétrique,
quand et ou on veut

@+ Bjc.



Picture1111 zburnd - Eugenol
saidkholoki

29/11/2007 à 18h04

Tiens tiens, on dirai ce n'est pas la meme personne qui parlait des brakets autoligaturants il y a qqs mois !!!


bjc

29/11/2007 à 20h23

cher Dancha
voici ce que j’ai trouvé d’approchant
tu veux le cas de G. ou de D. ?

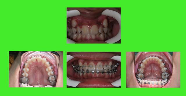
Ex - Eugenol

bjc

30/11/2007 à 17h04

photos

Eug - Eugenol

dento sofiene

30/11/2007 à 19h54

cher Daniel!
pour le cas que tu présente il serait purement mécanique de parler de traiter avec ou sans extraction mais d'aprés la foto de profil ce patient à l'air d'etre un respirateir buccal,donc on verra si aprés disjonction maxillaire et reeducation de la respiration buccale on arrive à gagner assez d'espace pour pouvoir traiter sans extraction mais c'est pas tout y'a aussi le problem de la Dimension verticale qui à l'air d'etre élevée donc personnellement ce que je pense c'est qu'il y'a 02 possibilités thérapeutiques:
-01 traitement avec extraction des 4 deuxiémes prémolaires:ce qui permet de traiter la DDM , ne pas trop applatir le profil qui l'est déja et diminuer un peu de la DV
-02 Traitement sans extraction avec disjonction et travail en paralléle avec un spécialiste en ORL et controle du sens vertical avec des FEO à tractions hautes.
enfin ça reste un avis personnel et je me suis référé à la fotos de profil et intra buccale et c'est trés peu pour pouvoir établir un diagnostic pareil.
T'en penses koi?


1 eugenol dmj5np - Eugenol
Dancha

30/11/2007 à 20h23

Cher (chère ?) dento sofiène, ce que tu écris est très pertinent. Si on n’extrait pas, il faut effectivement gérer la place manquante sans altérer le profil.
Est-ce que la méthode de notre ami bjc permettrait ce tour de force grâce aux forces légères délivrées par ses braquets à ligatures contrôlées (méthode Damon modifiée d'une manière ingénieuse) ?
Il semblerait que « oui », car il vient de publier un cas qu’il dit être identique.

Est-ce que c’est bien cela, bjc ?
Tu penses vraiment que tu pourrais traiter ce cas sans avulsion ?

Daniel


dento sofiene

30/11/2007 à 20h58

cher daniel!
la place manquante n'est pas le souci majeur qui se présente à nous dans ce cas mais essayons de le résumer:
on a un probléme de DDM, défaut de croissance maxillaire dans le sens sagittal et transversal,un excés de dimension verticale, probléme fonctionnel respiratoire(à confirmer)+posture linguale basse, probléme esthétique (profil concave).donc à mon avis meme si on n'extrait pas et qu'on réussit à loger toutes les dents on aurait un probléme de coordination de nos 02 arcades qui nécessitera le recours aux TIM (elastiques iner maxillaires) or la face est longue.
je pense que la solution la plus sage et de traiter avec extraction bimaxillaire des 2émes prémolaires sinon si les dents de 06 ans sont trés altérées on les extrait , je reste +/- septique vis a vis de l'extraction des 1éres prémolaires.


dento sofiene

30/11/2007 à 21h01

une petite erreur je viens de vérifier sur la foto intra buccale les dents de 6 ans sont saines donc exo des 2émes prémolaires


Picture1111 zburnd - Eugenol
saidkholoki

30/11/2007 à 21h12

Salut a tous,
En revenant aux photos de ton cas Dancha, on dirait qu'il y a une petite tendance de classe III et dans ce cas je crois que les extractions des 1eres ou des 2emes premolaires ne soient pas tres benefiques pour le profil. J'essayerai au max de developper ce maxillaire transversalement et sagitalement quit a utiliser un masque. Car apres la derotation des molaires et l'expansion du max la classe III molaire apparaitera plus. C'est mon avis de premiere vue.


dento sofiene

30/11/2007 à 21h30

c'est une classe III Said!


dento sofiene

30/11/2007 à 21h43

classe III squeulettique, avec classeI molaire, les molaires supérieures se sont mésialées au dépend de l'espace nécessaire à l'evolution des canines supérieures.
Vous proposez koi comme traitement svp?


Picture1111 zburnd - Eugenol
saidkholoki

30/11/2007 à 22h07

Je propose le plan de traitement suivant:
1- Quad Helix pour reformage et expansion du maxillaire
2- Utiliser un masque de Delaire pour remettre le maixillaire dans une bonne situation dans le plan sagittal et developper le pre maxillaire
3- Utiliser un arc de base d'avancement en TMA .016 X .022 en mettant des brackets a torque 0 sur les 4 incisives superieures afin de provoquer le plus possible l'avancement des racines
4- Finition et coordination des arcades.
Le tout en meme temps qu'une reeducation fonctionnelle pour ameliorer la respiration et la posture linguale.
Du moins c'est ce que je pense...


dento sofiene

30/11/2007 à 22h58

et pour la dimension verticale?


Picture1111 zburnd - Eugenol
saidkholoki

01/12/2007 à 04h08

Pour la dimension verticale je ne ferai rien car je pense qu'a cette age il ne faut pas rever nous ne pouvons pas tout traiter. Si je peux moderer ou garder la situation tel quelle est ca sera deja bien. En effet, j'ai deux objectifs contradictoires: Controler la dimension verticale avec FEO traction haute comme vous l'avez suggerer, et controler la position sagittale du maxillaire. Entre les deux je prefere maitriser le deuxieme. Si plus tard le probleme vertical est tres inesthetique avec une symphyse tres longue en courgette, une genioplastie correctrice suffira.
Une precision si l'age n'est pas tres favorable et il faut aller vite je commencerai le masque d'abord, le QH ensuite ou un disjoncteur avec un masque en meme temps comme le suggere Delaire.
Un dernier point je sais que Dancha a un plan de traitement tres efficace et bien defini, et qu'il n'a pas besoin d'indication pour traiter un tel cas et je serai curieux de savoir comment il l'a pris en charge.


12...