Cookie Consent byPrivacyPolicies.comVos avis m’intéressent - Eugenol

Vos avis m’intéressent

ortho-sxm

06/12/2007 à 16h30

Dancha Ecrivait:
------------------------------------------------------
> J’ajoute pour orto-sxm qu’on ne peut augmenter
> sans risquer de rechute une largeur canines
> inférieures (hormis le cas d’inclinaisons
> linguales avérées). Un déficit de place ne peut
> être compensé à l’arcade inférieure que vers
> l’avant ou latéralement dans la partie postérieure
> de l’arcade.
Cela corroborerait-il ma 1ère remarque, qui précisait que le nivellement mand. sans extraction était risqué vu le parodonte, puisqu'il était uniquement question d'avancer les incisives et non pas de faire de l'expansion canine?
Mais cela décompenserait cette arcade et accentuerait le cross-bite.




ortho-sxm

06/12/2007 à 16h46

Bonjour Bjc
ces photos sont édifiantes. Pendant l'avancée du traitement, on pense que le choix des extractions est justifié (à droite tension musculaires, sensation d'une bouche "pleine de dents" et finalement il s'avère que les extractions sont catastrophiques.Le profil sans extractions s'améliore avec la maturation du visage.
Si on revient en arrière, on s'apercoit qu'à priori c'était plus à doite qu'à gauche qu'il fallait extraire. Profil gauche déjà plus rectiligne.
Ah, si on pouvait tous avoir plusieurs exemplaires de patients...


bjc

06/12/2007 à 18h09

salut,

Bagden excellent praticien a pu se tromper,
si lui à pu, moi, petit ortho, encore plus !
et si lui dire, maintenant moins de cata, moi y en a être d’accord


Picture1111 zburnd - Eugenol
saidkholoki

06/12/2007 à 18h57

bjc Ecrivait:
-------------------------------------------------------
> salut,
>
> Bagden excellent praticien a pu se tromper,
> si lui à pu, moi, petit ortho, encore plus !
> et si lui dire, maintenant moins de cata, moi y en
> a être d’accord
>


Tans mieux pour toi si tu trouve ton bonheur et bonne chance, en esperant qu'un jour tu sera un grand ortho, tout comme Bagden.


bjc

06/12/2007 à 19h08

Bagden n’est pas plus grand que moi, ou alors pas de beaucoup, 1.76 m.
quant au bonheur dentaire, c’est celui de mes patients, pas le mien
quoique,
quelques miettes me suffisent


Picture1111 zburnd - Eugenol
saidkholoki

06/12/2007 à 19h53

Ca n'empeche, tu n'as pas repondu a ma question: Est-ce logique ou pas ?
Une autre question: Est-ce que Damon et coll, conseillent de faire enlever les dents de sagesse et de quel pourcentage?


bjc

06/12/2007 à 21h01

garde ta logique, je préfère les résultats


1 eugenol dmj5np - Eugenol
Dancha

06/12/2007 à 21h06

Bjc, au vu des photos que tu as présentées du cas Bagden-Damon, je suppose que tu es, toi, opposé à des extractions pour mon cas.
Est-ce bien cela ?

Daniel


Picture1111 zburnd - Eugenol
saidkholoki

06/12/2007 à 21h39

bjc, ton probleme comme toujours tu reponds pas aux questions qu'on te pose, tu tournes autour car tu n'as pas des reponses. Dire je ne sais pas c'est demande du courage, mais faisant semblant savoir tout en etant ignorant est grave. Maintenant tu as trois questions a repondre si tu connais les reponses, deux pour moi et une pour Dancha. Soit direct pour une fois et reponds clairement, es-tu d'accord avec Dancha ou pas? Es-tu d'accord avec mon raisonnement ou non? et les dents de sagesse on les enleve ou pas et de quel % ?


dento sofiene

06/12/2007 à 21h46

Je vais poser une derniére question aux principaux intervenants pour ce cas:

-DANCHA:Assume-tu ta décision thérapeutique(exo des 1éres prémolaires) et quand est-ce qu'on peut avoir des fotos de fin de traitement ou à défaut au cours de traitement?

-BJC:Est-ce que c'est un cas dans lekel les différentes anomalies existantes:DDM + anomalies dentaires et/ou squelettiques dans les 03 sens de l'espace pourraient etre traitées en frictions faibles seules, et ce que tu penses du choix thérapeutique de Dancha?

-SAID:Si bt'avais un choix à faire, opterais-tu à la technique DAMON sans extraction ou fixe multi attaches avec extraction? et quelles dents extraire?

ps: je veux des réponses bréves et claires svp
pas besoin d'ecrire tout un discours pour faire le tour de la question.
merci et @ bientot


1 eugenol dmj5np - Eugenol
Dancha

06/12/2007 à 22h02

dento sofiene Ecrivait:
-------------------------------------------------------
> Je vais poser une derniére question aux principaux
> intervenants pour ce cas:
>
> -DANCHA:Assume-tu ta décision thérapeutique(exo
> des 1éres prémolaires) et quand est-ce qu'on peut
> avoir des fotos de fin de traitement ou à défaut
> au cours de traitement?
>...

Non.
Ce n’est pas un cas d’avulsion de premières prémolaires, mais des secondes.
Je montrerai le cas appareillé la semaine prochaine.

Daniel

P.S. J’attends aussi un réponse claire de bjc (« oui » ou « non ») à ma question.



Picture1111 zburnd - Eugenol
saidkholoki

06/12/2007 à 23h04

Si j'avais le choix je ferai a la technique de Ricketts tout en essayant de ne pas extraire. Pour moi je l'ai deja dit je ferai tout pour ne pas extraire, la solution final ne sera qu'un compromis en tout cas et j'assumerai ma decision.
N.B. La technique Damon n'est pas la seule solution miaculeuse pour ne pas extraire, il s'agit en realite des objectifs fixes et du concept mecanique a mettre en place, Damon n'est qu'un moyen entre autres.


Spriford

06/12/2007 à 23h30

Dancha Ecrivait: L'idée est bonne mais je ne pense pas que ce serait la bonne solution, Spriford, car c’est une classe I molaires. On serait obligé de terminer avec une molaire inférieure en occlusion bâtarde avec la seconde prémolaire supérieure, ce qui
n’est quand même pas l’idéal..

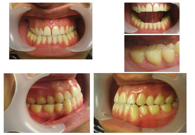
J'ai vu ce jeune ce soir pour la 1ère fois, 24 ans. Ttt Odf "très ancien"; il se souvient qu'il avait les incisives inf en avant des sup,qu'il respirait tout le temps par la bouche, qu'on lui a enlevé des dents, et à la fin, on a utilisé la fraise.Il est content du résultat et son dentiste habituel lui dit toujours que tout va bien.

Je l'ai pris en photo, en pensant à ce post...(Je trouve qu'il y a des points communs )et je me demande "quels sont les objectifs d'un traitement ODF?

Faudrait peut-être commencer par là!

Dans le cas de Moha, une expansion correcte aurait agrandit l'arcade, laissant de la place pour 2 PM de plus . Quant à l'occlusion,elle aurait pas pu être pire !!!

Moha oo7fwa - Eugenol

bjc

06/12/2007 à 23h53

salut,

je ne suis pas d’accord avec Daniel,
une extraction est un acte irréversible
je tenterai un traitement sans extraction en friction faible,
car je me méfie de l’évolution une fois le cas bien terminé orthodontiquement

logique de said
d’après tes postulats c’est logique, mais pas biologique

pour les dents de sagesse, j’envisagerai l’extraction des dents de sagesse du bas, après avoir vu les Rx.

P.S. : Daniel, tant que tu y es, montre en m temps le cas terminé


200106 10150128247663588 709988587 6466236 5598391 n d7mksb - Eugenol
hallboy

07/12/2007 à 01h13

n'étant pas ortho et pas loin d'être incompétent dans le domaine, a quel point la seule raison d'une esthétique différente sur un profil peut elle vous faire décider d'extractions alors que sans, vous auriez obtenu une occlusion satisfaisante?

jamais ?
parfois? dans ce cas comment ce guide ce choix? d'autant que si je comprends bien, les exos se faisant + ou - vers 12 ans comment s'estime le futur visage adulte?


Images 1 qtgoxf - Eugenol
ciwil

07/12/2007 à 01h32

bsr ou bjr bjc,

si tu n'extrais pas dans un cas comme ça, comment fais-tu passer la pilule d'une contention à vie ?
et quel type de contention choisis-tu ?

boujou,
cyril

(j'ai remarqué qu'il était d'usage dans cette rubrique de se saluer, même après s'être vannés comme il faut)


Picture1111 zburnd - Eugenol
saidkholoki

07/12/2007 à 06h32

bjc Ecrivait:
-------------------------------------------------------
> > logique de said
> d’après tes postulats c’est logique, mais pas
> biologique

Je n'ai rien compris, qu'est ce qui n'est pas biologique?????????? Explications, stp, et jusqu'au bout.

> pour les dents de sagesse, j’envisagerai
> l’extraction des dents de sagesse du bas, après
> avoir vu les Rx.

Je ne demande pas ton avis a toi, mais celui de Damon et Bagden puisque tu as assiste a pas mal de conference sur la friction faible, qu'est-ce qu'ils en pensent? la question doit etre posee pendant les stages..




Picture1111 zburnd - Eugenol
saidkholoki

07/12/2007 à 06h51

Spriford Ecrivait:
-------------------------------------------------------
Je trouve qu'il y a des points communs )et je me
> demande "quels sont les objectifs d'un traitement
> ODF?
>
> Faudrait peut-être commencer par là!
>
Mais tu as tout a fait raison, car en ODF il y a trois questions principales, quel est le/les problemes, quels sont les objectifs et comment les realiser.
Ces trois questions trouvent leures reponses grace a une etudes approfondie du cas (analyses + VTO), a une experience clinique et au bon sens clinique.
Tous ceux qui critiquent l'etude cephalometrique et se contentent du reste seulement, a moins qu'ils ont une experience extra ordinaire(et encore car des grands noms peuvent se tromper aussi, demandez a Dancha!), alors leures reponses seront incompletes, les objectifs seront vagues en disant on commence et on verra apres, les moyens seront standardises ( par exemple, autoligaturants pour tout le monde et on y va) et bien sure les resultats comme on voit dans le cas de Moha.
Fixer les objectifs c'est primordial, quant aux moyens pour y parvenir, ils peuvenet etre differents selon la methode de chaque orthodontiste.




1 eugenol dmj5np - Eugenol
Dancha

07/12/2007 à 13h13

Bjc, tu dis que tu n’es pas d’accord avec moi, tu l’es quand même sur un point qui est l’incompétente de ce professeur qui voulait extraire les quatre premières rémolaires, n’est-ce pas ?

Adhoc, tu n’as plus rien dit.. Qu’en penses-tu, toi ?

Orth-sxm, ta première remarque était excellente, un nivellement mandibulaire sans extractions serait effectivement risqué.

Hallboy, tu as soulevé un vrai problème. A mon tour, je te pose une question :
Qu’appelles-tu occlusion satisfaisante ?
Quand et comment peut-on être certain qu’elle gardera toujours cette caractéristique ?

Spriford, le cas que tu montres est le modèle parfait de ce que je pense depuis longtemps, c'est-à-dire que ce les reliefs des dents (cuspides) devraient avoir disparu chez l’adulte. C’est la persistance des morphologies dentaires enfantines qui créent tous les problèmes. Nous devrions tous avoir les dents complètement usées et en bout à bout, comme celles de nos ancêtres qui vivaient avant l’apparition de la fourchette et de la moulinette. L’occlusion de ton patient semble parfaite, peu importent alors le nombre de dents et leurs rapports si l’esthétique est correcte.

Daniel


Spriford

07/12/2007 à 14h06

Dancha disait:"L’occlusion de ton patient semble parfaite, peu importent alors le nombre de dents et leurs rapports si l’esthétique est correcte."

Ah bon?
Moi, je trouve qu'il a des dents de ruminant ! A 24 ans!!! Il n'a pas l'espérance de vie de l'homme de Cromagnon!

Meuler les molaires pour résoudre le problème vertical me parait pas très économe en matière dentaire;
Et puis elle se positionne comment la mâchoire, sans recouvrement des dents maxillaires?
Et puis toutes ces récessions c'est que dû à la brosse à dents? (je lui ai dit d'en changer et d'arrêter de l'écrabouiller sur ses gencives, mais je ne suis pas convaincu...)

Pour l'esthétique, je ne peux pas le montrer, j'ai pas pensé à le photographier et ne le revois qu'en janvier;
Mais moi je le trouve bien! Finalement, si c'est ça le plus important...


200106 10150128247663588 709988587 6466236 5598391 n d7mksb - Eugenol
hallboy

07/12/2007 à 14h18

Dancha Ecrivait:

> Hallboy, tu as soulevé un vrai problème. A mon
> tour, je te pose une question :
> Qu’appelles-tu occlusion satisfaisante ?


ce serait la plus proche de l'occlusion que je viserais pour un jeune adulte si j'avais un cas prothetique ( 28 ceram ) uniquement


Classe 1
centrée myorelachée et surtout bien positionnée en saggital
guide I en pro
guide C en lat
pas de contacts NT
( en gros, et c'est un objectif . plus une direction qu'une cible )


> Quand et comment peut-on être certain qu’elle
> gardera toujours cette caractéristique ?

en voila une autre question qu'elle est bonne;)


> Spriford, le cas que tu montres est le modèle
> parfait de ce que je pense depuis longtemps,
> c'est-à-dire que ce les reliefs des dents
> (cuspides) devraient avoir disparu chez l’adulte.
> C’est la persistance des morphologies dentaires
> enfantines qui créent tous les problèmes. Nous
> devrions tous avoir les dents complètement usées
> et en bout à bout, comme celles de nos ancêtres
> qui vivaient avant l’apparition de la fourchette
> et de la moulinette.


Et c'est là ou on a un pb. On devrait probablement tous etre morts avant d'avoir atteints ce stade, bouffé par un lion à la premiere cheville foulée, crane fendu à coup de pierres parce que le voisin est passé un jour où on avait la grippe, ou emportés par la premiere appendoque venu.
Si on fait des gosses vers 30 ans maxi, c'est en general parce qu'a 60 on est plus considéré comme un partenaire sexuel attirant.
la theorie est interessante, coherentez, mais je la trouve "irrelevent" ( impossible de remetre la main sur le terme français )

les fentes de Stillman ou le debut de denudation radic comme on le voit sur les racines mesiales des 6 du cas ne m'emballe pas.


Toutes mes excuses pour cette semi derivation.

En tous cas merci tout le monde . superfil!


1 eugenol dmj5np - Eugenol
Dancha

08/12/2007 à 13h37

hallboy Ecrivait:
-------------------------------------------------------
> n'étant pas ortho et pas loin d'être incompétent
> dans le domaine, a quel point la seule raison
> d'une esthétique différente sur un profil peut
> elle vous faire décider d'extractions alors que
> sans, vous auriez obtenu une occlusion
> satisfaisante?
>
> jamais ?
> parfois? dans ce cas comment ce guide ce choix?
> d'autant que si je comprends bien, les exos se
> faisant + ou - vers 12 ans comment s'estime le
> futur visage adulte?

Questions fondamentales qui donnent l’occasion de préciser certains points sur les extractions « orthodontiques ». Il est stupide de dire qu’elles entraînent toujours un profil rétrusif, car c’est alors la preuve que l’indication n’était pas bonne…
Quand donc peut-on extraire ?
Lorsqu’on ne peut pas obtenir une occlusion correcte (telle que tu l’as décrite, hallboy) avec des dents esthétiquement bien placées parce qu’il n’y a pas assez de place pour toutes les loger.
Que sont des dents esthétiquement bien placées ?
Dans le sens antéro-postérieur, ce sont des dents qui soutiennent correctement les lèvres, ni trop en avant, ni trop en arrière, paraissant droites dans le visage par rapport à une ligne (ou une courbe) qui relie front, pommettes, menton. Cela dépend évidemment de la race.. Ce sont également des dents qui remplissent correctement le visage dans le sens transversal, sans laisser d’espace latéral entre elles et les joues quand on sourit, etc..

S’il y a besoin supplémentaire de place en plus du fameux « reformatage d’arcade » actuellement à la mode, on choisira le site d’extraction en fonction d’un décalage éventuel antéro-postérieur à corriger, d’une asymétrie et de la quantité de place à gagner. Plus la dent extraite sera antérieure et plus il y aura une influence sur la région antérieure et plus la dent extraite sera postérieure et moins y en aura.
L’avulsion d’une seconde prémolaire permettra plus facilement une mésialisation de la molaire et l’avulsion d’une première prémolaire permettra un plus grand recul canin. Le choix se fera donc en fonction des besoins.
Extraire systématiquement une première prémolaire lorsque apparaît un manque de place est une grossière erreur.

Pour compléter ma réponse à Spriford, il est tout à fait licite d’avulser une prémolaire uniquement à l’arcade supérieure dans les cas de classe II molaires lorsqu’on ne peut pas la corriger. On peut alors terminer le traitement en classe I canines avec une première molaire supérieure en occlusion avec la seconde prémolaire inférieure, en supprimant au final la troisième molaire inférieure. Par contre, avulser une prémolaire inférieure seule ne donne pas un résultat occlusal satisfaisant à moins de réaliser des coronoplasties.

Daniel


bjc

08/12/2007 à 14h20

il n'y a pas de regle absolue en dehors du patient: je pense qu'il faut extraire quand ...


bjc

08/12/2007 à 14h23

je vais vous présenter des cas ou je suis d’accord avec les extractions

@+ Bjc.


dento sofiene

08/12/2007 à 19h49

est-ce que c'est un cas ou y'a indication d'extraire ou pas?


12345...