Cookie Consent byPrivacyPolicies.comde l'ingression molaire avec une barre linguale?? - Eugenol

de l'ingression molaire avec une barre linguale??

ortho-sxm

07/12/2007 à 14h58

Bonjour,

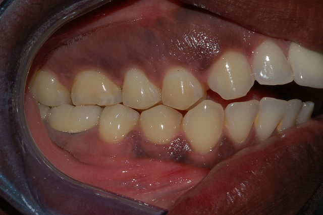
voici mon cas ,sommes toutes, banal: patiente 33 ans, perte de 36 46 non compensée depuis 20 ans. Conséquences classiques, mésioversion de 37 47 disto version de 34 35 et égression de 16 26.
Il est prévu de baguer le bas et je me demandais si l'un d'entre vous avait tenté une ingression molaire (2mm) avec une barre palatine par l'appui lingual.
Root en parle pour contrer l'égression, alors...


ortho-sxm

07/12/2007 à 15h01

De l'ingression molaire avec une barre PALATINE!!!


ortho-sxm

07/12/2007 à 17h30

Quelques photos.

Comment on résout ce cas en ne baguant que le bas.
Ma barre palatine pourrait aussi faire de l'expansion sur 24 25 et avec ce genre d'appui lingual, pourquoi pas de l'ingression si je l'espace de 2 mm?

I91 zihtlr - Eugenol
Eugenol tehrt3 - Eugenol

1 eugenol dmj5np - Eugenol
Dancha

07/12/2007 à 19h41

Pourquoi pas, l'idée est bonne, tu peux toujours essayer. A ta place, je serait tenté d’augmenter la surface avec de la résine pour éviter que la langue de ta patiente ne se retrouve marquée de l’empreinte du fil.. Mais risque alors de se poser le problème de l’hygiène en dessous.

Daniel


ortho-sxm

07/12/2007 à 21h29

bonjour Dancha,
oui en effet , je pensais bien à la résine mais à 2 mm du palais, ça va pas être jouable. A part les minivis, autre chose pour ingresser?


STARSKY

08/12/2007 à 00h52

petite idee a exploiter,

une préactivation asymetrique de torque radiculo vestibulaire (configuration en V asymetrique )sur un auxiliaire palatin (barre ,quad...) provoque du coté ou est placé le torque: du torque molaire RV et une ingression
du coté oppose une egression,

le tout est d'eviter le mouvement parasite d'egression (le torque RV controlateral est moins genant)

Pourquoi ne pas faire du coté du mvt parasite un sectionnel de stabilisation (qui peut etre en lingual);une typologie brachyfaciale nous aiderait mais est-ce le cas??

on fait d'abord un coté,puis l'autre

tout ca avec la barre construite a distance qui ne peut qu'aider.

qu'en pensez vous??



STARSKY

08/12/2007 à 01h04

....d'ailleurs la barre doit forcement etre a distance pour l'ingression


Picture1111 zburnd - Eugenol
saidkholoki

08/12/2007 à 08h15

STARSKY Ecrivait:
-------------------------------------------------------
> petite idee a exploiter,
>
> une préactivation asymetrique de torque radiculo
> vestibulaire (configuration en V asymetrique )sur
> un auxiliaire palatin (barre ,quad...) provoque du
> coté ou est placé le torque: du torque molaire RV
> et une ingression
> du coté oppose une egression,
>

Puisque tu en parles, le plus logique ,biomecaniquement parlant, c'est de faire du cote appui un TRP ce qui provoque une egression de meme cote et une ingression du cote oppose, c'est adire a deplacer. On stabilise le secteur appui avec un sectionnel ou par une contention paro type Everstick ou autre, pour ne laisser s'exprimer que l'effet a distance tu torque c'est a dire l'ingression.
Une autre idee, un mini implant du cote a ingresser tout en gardant l'ATP pour controler le mouvement molaire pendant son ingression.
Profiter de l'appui lingual pour faire un tel mouvement je n'y crois pas beaucoup, en realite je ne l'ai jamais fait, et cela suppose que la posture et la fonction linguales du patient sont parfaites!!!
Si qq'un a deja fait l'experience et a des resultats a nous montrer un cas avec ingression molaire grace a l'appui lingual cela interessera tout le monde, et merci en avance.



STARSKY

08/12/2007 à 11h02

d'accord avec said ,la construction a distance de la muqueuse est classiquement conseillée pour limiter l'egression ,pas pour provoquer l'ingression ....
a suivre


ortho-sxm

08/12/2007 à 15h31

Merci pour vos avis,
Saïd, as-tu déjà mis en place ce TRP avec sectionnel de stab ? L'idée est séduisante.


Picture1111 zburnd - Eugenol
saidkholoki

08/12/2007 à 19h37

en realite je ne l'ai pas fait, car le cas ne s'est presente pour moi. Mais je me connais bien en biomecanique et je me servirai de ses principes de base.
Donc l'idee et pratiquement je ne vois pas pourquoi ceci ne marchera pas.
La conduite a tenir a mon avis:
1- On aligne parfaitement le secteur appui de 3 a 7, en mettant une bague sur la 6 et non pas une tube.
2- Apres le nivellement on stabilise avec un gros fil .017 X .025 Acier ou Eligloy.
3- Quand la stabilisation est assuree, on fait un ATP a main levee en amovible si on a l'habitude, sinon on fait une empreinte sans deposer la bague pour avoir une idee sur la courbe et le dimension de l'ATP
4- Baguer le cote a deplacer en provoquant une surcorrection verticale, cad, enfoncer la bague moins que le cote appui
5- Donner un TRP de 20-25° cote appui seulement. On le place en commencant par le cote qui a le TRP
6- On commence a prier et on attend, et bonne chance


STARSKY

08/12/2007 à 22h54

Said,

Premierement .Quelle est ta justification pour preconiser d'introduire d'abord le dispositif palatin du coté appui (torqué en radiculo palatin),

en effet en voulant l'inserer dans le fourreau , le dispositif se retrouve plaquée contre le palais rendant l'introduction très mal aisée voire douloureuse pour le patient

en inserant d'abord la partie non torquée a ingresser ,,la partie controlaterale doit arriver juste a hauteur du fourreau ,n'occasionnant ainsi aucune gene tant pour l'operateur que pour le patient

Deuxiemement Said,

Tu preconise un TRP de 20 /25

Connait-on, connait-tu ,pour un fil en Blue Elgyloy de diametre 0.036 quelle sera la valeur de la force ingressive controlatérale devellopée par le dispositif,sachant qu'elle est correlée non seulement a la geometrie du dispositif(longueur de fil employé ,presence de boucles...) mais egalement a la distance intermolaire ?

sera t elle suffisante ?( 120 g selon Ricketts ,160g selon Lee ,pour ingresser une Premiere molaire "moyenne")

Juste une petite idée a develloper.....


Picture1111 zburnd - Eugenol
saidkholoki

09/12/2007 à 08h45

Salut Starsky,
je reponds a tes questions:
1- Si tu insere d'abord le cote ou lt torque est 0 c'est plus comfortable pour le patien mais tu sera incapable de detorque l'autre cote pour l'aligner avec le tube et l'inserer ensuite, nous parlons bien de .036 ??? Par contre faire comme je preconise c'est moins comfortable pour le patient mais c'est une question de secondes quant tu as l'habitude, de plus et grace a la lngueur du fil tu peux facilement le decsendre, orienter selon l'entree du tube car torque 0 et inserer ensuite.
2- Aucune etude de faite dans ce sens, a mes connaissance, mais par experience et question de comodite, je pense qu'au dela de 25° la force sera trop, et ensuite le fil sera vraiement dans le palais et tu ne pouras pas l'inserer.


ortho-sxm

10/12/2007 à 15h02

bonjour à vous,
je voyais le même mode opératoire que Saïd, l'insertion sera impossible si je place le côté sans torque en 1er. J'ai expliqué à ma patiente que je devais baguer les secteurs latéraux maxillaires, elle est OK donc je vais pouvoir vous tenir au courant de l'ingression.

Merci à tous les deux.


hordeotech

13/12/2007 à 20h36

Bonjour,

si je n´arrive pas trop tard ici, j´ai justement déterré ailleurs le vieux thème
Supraocclusion (par Debutant, finissait au 20.03.2006)
http://www.eugenol.com/eugenol/read.php?4,92646,page=1

Parmi les cas montrés là, une supraocclusion est guèri sans peine – les insivises d´un enfant alors. Pourquoi pas essayer si cette méthode marche aussi, ou toujours, pour ces deux molaires d´une adulte? Les appareils SB ont les avantages d´être peu coûteux, de n´emporter pas de douleurs, pas des problèmes de l’hygiène ou des risques de mouvement parasitaire. Et ils peuvent aussi faire l´expansion.

Je ne le sais pas, mais si un tel essai n´aurait pas de succès, on pourait toujours continuer avec de l´artillerie lourde.


ortho-sxm

13/12/2007 à 22h39

merci pour cet ancien post, ça rafraîchit la mémoire sur les positioners. Je pense tout de même rester en fixe chez ma patiente.


bjc

15/12/2007 à 12h08

salut,

pour faciliter et rendre plus confortable l’insertion d’un Q.H., j’utilise les fourreaux courbes de 3 M. et leur Q.H. préformé adapté en postérieur
dans le cas de la barre palatine, on peut utiliser ces fourreaux qui sont vendus séparément par 3 M pour un arc palatin

Q.h. de 3 m - Eugenol

Picture1111 zburnd - Eugenol
saidkholoki

15/12/2007 à 20h16

Qu'est que cela peut apporter en plus? Le probleme est dans le torque et par consequence dans l'alignement vertical avec le tube et non pas dans son insertion antero posterieure!!!


bjc

15/12/2007 à 21h54

un confort d’insertion, pour nous et pour le patient


Picture1111 zburnd - Eugenol
saidkholoki

15/12/2007 à 22h12

Ce tube est concu pour le QH prefabrique qui va avec, alors si on fait un ATP on doit donner sur le segment molaire exactement la meme courbe pour que l'insertion soit vraiment facile, ce qui pas certain du tout. Et si on n'a pas de soudeuse comment faire?
je suis desole mais pourquoi faire complique quand on peut faire simple!!!
J'utilise le QH depuis bientot 20 ans, en amovible, fabriquer a main levee, a inserer dans des tubes droits et cela marche sans aucun probleme.


bjc

15/12/2007 à 22h53

c’est pour ceux qui ont, ou ont encore des Pbs., pas pour toi


Picture1111 zburnd - Eugenol
saidkholoki

15/12/2007 à 23h15

bjc Ecrivait:
-------------------------------------------------------
> salut,
>
> pour faciliter et rendre plus confortable
> l’insertion d’un Q.H., j’utilise les fourreaux
> courbes de 3 M. et leur Q.H. préformé adapté en
> postérieur
> dans le cas de la barre palatine, on peut utiliser ces fourreaux qui sont vendus séparément par 3 M pour un arc palatin

Je sais que ce n'est pas pour moi, mais je reponds a ce que tu as ecrit!!! Et j'explique aux autres les difficultes qui vont avec ta suggestion.



bjc

16/12/2007 à 01h29

ce n’est pas une suggestion, cela m’apporte un grand confort, ainsi qu’a mes petits choux
c’est ce que l’on appelle une insertion rotative
ce principe est aussi parfois utilisé en prothèse conjointe
encore une fois, ce n’est pas pour des praticiens ODF. exclusifs qui en font souvent
c’est plutôt pour des omnipraticiens qui n’ont pas ton entraînement


ortho-sxm

17/12/2007 à 15h31

Bonjour messieurs,

voici un nouveau cas,patiente adulte, bipro ethnique +++, mac horris 60°, full cl II, béance 4mm. Pour tout simplifier, bride 11 / 22, multiples couronnes molaires, pas d'occlusion stable. Une idée de traitement?
Voici quelques photos

Dsc 0028 fsw5al - Eugenol
Dsc 0029 vwcyzy - Eugenol
Dsc 0030 blchir - Eugenol

Picture1111 zburnd - Eugenol
saidkholoki

17/12/2007 à 19h52

Ben, pour linstant pas d'idee...
Quelle est la demande du patient, y a-t-il de probleme ATM? Photos exo buccales aident beaucoup. Bon courage!!