Cookie Consent byPrivacyPolicies.comde l'ingression molaire avec une barre linguale?? - Eugenol

de l'ingression molaire avec une barre linguale??

ortho-sxm

17/12/2007 à 21h26

Bonjour Saïd
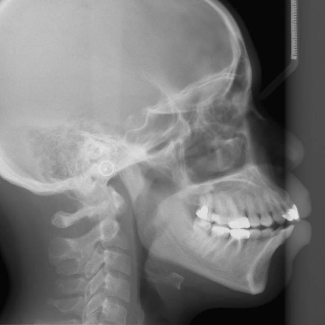
ATM: ouverture en baïonette, luxation réductible antéro médiane unilatérale, pas de douleur.
La patiente consulte au départ parcequ'elle trouve que ces incisives mandib. ne sont pas alignées mais une fois sur le fauteuil, elle souhaite que je fasse tout ce qu'il faut faire et c'est bien normal d'ailleurs. Je me vois confronté à une langue pas coopérative et ce bridge 11/22.


Picture1111 zburnd - Eugenol
saidkholoki

17/12/2007 à 22h41

En tout cas on connais plus ou moins par ou commencer. Traite d'abord les ATM avec gouttiere de relachement puis de repositionnement mandibulaire. Cela risque de diminuer la classe II et la beance par la meme occasion et tu reevalue le cas ensuite.


ortho-sxm

17/12/2007 à 22h55

Quelques doc. supplémentaires

I99 edited qgqt1h - Eugenol
I100 edited ddetvr - Eugenol
I102 edited hqdhtt - Eugenol

bjc

18/12/2007 à 19h07

Il serait intéressant de savoir comment étaient les 4 Sup. Ant. avant les CCM.
y avait il des diastèmes ?

@+ Bjc.


ortho-sxm

19/12/2007 à 00h19

et si je te dis qu'il n'y avait pas de diastèmes, tout s'éclaire?!

Ma question: est ce qu'avec 4 prémo en moins, je peux espérer fermer cette béance et comment gérer une contraction incisive avec ce brigde?
Logiquement le bridge se comporte comme une ligature toronnée béton mais l'orientation des racines figées ne sera pas compatible avec un nouvel angle I / Apog.

so...


1 eugenol dmj5np - Eugenol
Dancha

19/12/2007 à 09h34

ortho-sxm Ecrivait:
-------------------------------------------------------
> mais l'orientation des
> racines figées ne sera pas compatible avec un
> nouvel angle I / Apog.
> ..

Les racine sont attachées entre elles, c'est un fait, mais pourquoi dis-tu qu'elles sont "figées" et leur orientation non compatibles avec A/Pog ?
Tu peux très bien les déplacer, je ne vois pas exactement où se situe le problème.

Daniel


bjc

19/12/2007 à 12h03

salut,

un traitement ortho dans un but esthétique, (avec 4 extractions) serait possible, si les incisives Sup. n’étaient pas solidarisées par un bridge
DONC …
ou alors, tu lui fais un bridge esthétique en bas
il faut bien lui expliquer car elle est contente du haut

@+ Bjc.


ortho-sxm

19/12/2007 à 15h54

Bonjour,
donc pour toi, Dancha, ce bridge ne pose pas de problème.OK.

maintenant, j'envisagerais l'extraction des 4 1ères prémo avec ancrage molaire mini pour ne pas trop réduire la bipro. ...


Picture1111 zburnd - Eugenol
saidkholoki

19/12/2007 à 20h59

Si la demande est esthetique tu sera oblige de reculer les incisives haut et bas, donc l'ancrage sera quand meme demande.
D'apres mon experience, deplacer une dent couronnee meme si tout va bien du point de vu orthoodntique, la couronne dans pas mal de cas sera a refaire a cause du changement de contour gingival et a cause du nouveau contact interincisif inexistant avant le traitement ortho. Dans ce cas on peut expliquer ceci a la patiente et que le bridge sera a refaire apres, donc nous pouvons le decouper, separer les dents et faire le traitement comme dans un cas normal. On peut faire mieux, on extrait deux laterale couronnees, et on fait le traitement comme dans un cas d'agenesie en mettant les 3 a la place des deux et on sauve les 4 intactes. En bas on extrait les 4.
En tout cas n'oublions pas les ATM!!!


bjc

19/12/2007 à 21h15


preuve d’une grande expérience clinique

ceci dit, cette solution passerait mieux, esthétiquement parlant, chez un homme

félicitations quand même

@+ Bjc.


ortho-sxm

19/12/2007 à 21h21

bonsoir Said,
je suis d'accord avec le fait que le contour gingival va se modifier et qu'il faudra peut-être refaire ce bridge, tu parlais d'avulser deux latérales couronnées mais il n'y en a qu'une dans le bridge donc se sera extraction de prémo max aussi.

Maintenant, ne vaut-il pas mieux avulser les 5 maxillaires plutot que les 4, ce qui permettrait de distaler l'espace de fermeture (problème moins visible en cas de non fermeture totale)?


200106 10150128247663588 709988587 6466236 5598391 n d7mksb - Eugenol
hallboy

19/12/2007 à 21h30

saidkholoki Ecrivait:
-------------------------------------------------------
>e
>on extrait deux laterale couronnees, et on
> fait le traitement comme dans un cas d'agenesie en
> mettant les 3 a la place des deux et on sauve les
> 4 intactes. En bas on extrait les 4.
> En tout cas n'oublions pas les ATM!!!

sauf que la demande etant esthetique, des 3 a la place des 2 ça va impliquer un remaniment qui pourrait aller jusqu'a des facettes. le gain diminue beausoup, et en terme occlusaux on peu croire ou non au role de la canine, mais on fais un cheque en blanc pour un benefice eventuellement faible.



catrose

20/12/2007 à 08h23


d'accord avec said,le bridge sera a refaire:contour gingival,ceramique abimee par collage-decollage du bK ...il vaut mieux le demonter,faire des couronnes provisoires sur 11 et 22,un pontique libre avec bK qui s'attache sur l'arc et traiter comme une bipro classique(extraction des 4 )
si c'est l'esthetique qui motive cette patiente,elle devrait accepter sans probleme
une pano serait aussi bienvenue


catrose

20/12/2007 à 08h23

il parait qu'il faut que je sois plus claire:pontique provisoire en 21


bjc

20/12/2007 à 12h14

salut,

Je préférerai couper le bridge entre les piliers, le garder comme des provisoires
ce qui m’éviterai
de faire des provisoires de longue duré,
et des risques de descellement plus élevés avec des provisoires (ciment provisoire)

je ferai les provisoires à la fin du TTT. ODF.

@+ Bjc.


dento sofiene

20/12/2007 à 15h25


Bonjour, je vais essayer de dire ce que je pense de ce cas:
on a des problems de différents plans et dans les 02 sens de l'espace(sagittal et vertical:d'aprés les fotos de face et de l'occlusion je pense pas que le sens transversal serait altéré bien que généralement une anomalie dans n'importe kel sens se répercuterait dans les 02 autres sens).
-Dans le sens sagittal: biproalvéolie franche rapports de classe II canine et molaire,biprotrusion, profil cutané et osseux convexes...etc
-Dans le sens vertical:Béance labiale, sourire gingival.
présence de nombreuses couronnes prothétiques.
-Un autre probleme: pour des rapports molaires et canines pareils théoriquement le décalage entre les incisives sup et inf dans le sens sagittal devrait etre plus importnat que ça à mois qu'on serait en présence d'une classe II/01 avec DDD (dysharmonie dento dentaire avec excés mandibulaire)ce qui va limiter nos options thérapeutiques et nos objectifs de traitemlents parcequ'on va se contenter de faire un traitement de compromis et que ce dernier ne sera pas stable vu que l'occlusion ne sera pas verrouillée.
pour la démarche thérapeutique: on a envie de rétracter les incisives, les ingresser, obtenir des relations de classe I canine +/- classe I molaire.
Ce que je propose c'est faire l'extraction des 02 premiéres molaires supérieures, et des 02 molaires inférieures(le traitement va etre plus rapide et plus facile qu'avec l'extraction des 04 premiéres prémolaires)
Retraction des incisives +ingression(on est en présence d'un sourire gingival:ce qui veut dire que les incisives supérieures sont égressées malgré qu'on soit en présence de béance) donc utiliser le tip back molaire or on aura comme effet secondaire l'egression molaire qui va dans le sens opposé de la correction de notre béance donc on pourra controler ça avec des FEB à tractions hautes.
pour l'arcade inférieures on travaillera avec ancrage modéré de façon à ce que les molaires inférieures se mésialent et qu'on obtienne une classe I molaire sinon au pire des cas un bout à bout molaire, utiliser le torque radiculo vestibulaire pour les incisives inférieures parcequ'elles sont trés vestibulées et qu'on va pas exploiter tout l'espace d'extraction des 2émes prémolaires pour les rétracter.
Vers la fin de traitement on va finir par avoir (enfin je l'espére)
Une classe I canine
Une classe I molaire
Un profil labial amélioré
Un sourire Amélioré
mais y'aura un problem dans le secteur incisif antérieurement à cause de la DDD (l'excés mandibulaire)
On pourra pas retracter totalement les incisives supérieures sinon on tomberait on bout à bout voir jusqu'à l'articulé inversé antérieur
donc il va y avoir une rétraction incompléte avec overjet correct et persistance d'un espace rétro incisives latérales supérieures.
Comme je l'ai cité au début notre traitement sera un traitement de compromis donc nos objectifs ne vont pas etre atteints à 100%.
Ce que je propose dans ce cas étant donné que les 11 et 21 portent chacune une couronne et que les couronnes doivent etre refaites aprés traitement ortho: on pourra combler l'espace rétro incisives latérales par la confection d'un bridge recouvrant 11,12,21,22 en augmentant les diamétres mésio distaux des 04 incisives supérieures mais de façon harmonieuse.


Je ne sais pas si ce plan de traitement est correct et faisable mais j'ai dit ce que je pensais.
@+
Sofien.


dento sofiene

20/12/2007 à 15h33

ps: On doit avant tout faire une analyse compléte de ce cas(clinique,photos,radio et moulages) s'assurer qu'on est pas en présence d'une béance squelettique,vérifier si l'excés mandibulaire est présent(sur moulages)et prévenir le patient que le bridge doit etre refait aprés traitement.
En faite j'avais oublié, si la béance n'a pas disparu en fin de traitement on utilisera des TIM verticaux.


catrose

20/12/2007 à 18h48


dentosofiene,tu extrais quoi exactement?tu parles a un moment donne d'extraire les 4 premieres molaires et ensuite du site d'extraction des premolaires?ou est l'erreur?

et c'est sur,on attend tous un complement d'info(pano et moulages)


catrose

20/12/2007 à 18h50

bjc Ecrivait:
-------------------------------------------------------
> salut,
>
> Je préférerai couper le bridge entre les piliers,
> le garder comme des provisoires
> ce qui m’éviterai
> de faire des provisoires de longue duré,
> et des risques de descellement plus élevés avec
> des provisoires (ciment provisoire)



oui,tu as tout a fait raison,beaucoup plus logique comme ca


Picture1111 zburnd - Eugenol
saidkholoki

20/12/2007 à 19h30

Je suis content que les avis des uns et des autres sont proches du mien. Maintenant, d'un cote il y a une incisive en moins, ceci regle le probleme unilateralement. Pour l'autre cote il y a le choix entre extraire la laterale et faire symetrique avec l'autre cote, c'est toujours mon avis. Nous pouvons faire une coronoplastie sur les canines, a la demande, en fin de traitement. je suis d'accord que la canine joue un role primordial mais il s'agit d'un compromis obligatoirement uni lateral, alors pourquoi pas bilateral?
Cela reduit considerablement la duree de traitement en plus.
L'autre choix est d'extraire la 4 ou la 5, nous serons en disymetrie totale, biomecanique, esthetique dentaire et occlusale!!!
Je croix qu'une radio panoramique sera bien utile pour le choix de site d'extraction.


ortho-sxm

20/12/2007 à 19h36

dento sofiene Ecrivait:
-------------------------------------------------------
> -Dans le sens vertical:Béance labiale, sourire
> gingival.
théoriquement le décalage entre
> les incisives sup et inf dans le sens sagittal
> devrait etre plus importnat que ça à mois qu'on
> serait en présence d'une classe II/01 avec DDD
> (dysharmonie dento dentaire avec excés
> mandibulaire)
on a envie de
> rétracter les incisives, les ingresser, obtenir
> des relations de classe I canine +/- classe I
> molaire.
> et extraction des premières molaires
> plus facile qu'avec l'extraction des 04 premiéres
> prémolaires)
> Retraction des incisives +ingression(on est en
> présence d'un sourire gingival:ce qui veut dire
> que les incisives supérieures sont égressées
> malgré qu'on soit en présence de béance)>

On est effectivement en cl II 1 dont l'overjet est masqué par d'un côté la béance et de l'autre par la version des incisives mand.

concernant la béance labiale, il n'y en a pas ,la photo de face est un sourire;
de plus, on voit que toute l'arcade est "gingivale" et comme tu dis, on va à l'encontre de la réduction de la béance en cas d'ingression des incisives donc on va penser à autre chose.
En quoi l'extraction des molaires facilite la rétraction par rapport à l'extraction des 4 voire au 5 ?


ortho-sxm

20/12/2007 à 19h43

voici la pano
la lésion endo paro sur la 36 sera traitée dans un premier temps, soit par reprise d'endo + curetage paro soit par...extraction!

I98 edited kuhuto - Eugenol

Picture1111 zburnd - Eugenol
saidkholoki

20/12/2007 à 20h10

Merci pour la Pano, les premolaires sup sont en parfait etat, Je maintiens mon option:
1- commencer a l'arcade mandibulaire avec extraction des 34, 44
2- Recul canin et incisif. La quantite de recul depend de la quantite de correction de biproalveolie souhaitee. Les incisives inferieures serviront de reference pour la position future des incisives sup.
3- Decouper le bridge en mesial de 22
4- Reduire la largeure du pontique de 21 tout en deplacant la 22 a la place de 21, question esthetique.
5- extraire la 12 et mettre la 13 a sa place, le tout sera plutot avec un mouvement de recul incisif ce qui ferme les espaces, reduit le surplomb et ne sollicite pas l'ancrage molaire vraiement.
6- Faire coronoplastie sur les 13/23 et refaire les couronne sur 11 et 22 qui se trouve deja a la place de 21.
Je pense que cette solution compromise preserve le mieux les elements dentaires, reduit la duree de traitement, reduit le cout des element prothetique a refaire par la suite et ne necessite pas une biomecanique tres complexe.
Un set-up de ce plan sur platre pourrait aider dans la prise de decision.


ortho-sxm

20/12/2007 à 20h58

merci said
seulement, le profil d'émergence d'une incisive latérale n'est pas compatible avec un couronne de centrale, problème esthétique et paro à court/moyen terme.

On extrait donc des prémolaires, on opte pour 4 ou 5?


Picture1111 zburnd - Eugenol
saidkholoki

20/12/2007 à 21h19

En fin de compte c'est toi qui traiteras ce cas et tu es le mieux place pour en juger. le site d'extraction dependra de ton objectif. Si recul incisif important est plutot souhaite il faut mieux extraire les 4. Si recul incisif moyen est recherche tu peux extraire plutot les 5. Si tu decides d'extraire les 5 et tu cherches a reculer consioderablement les incisives, cela demandera trop de temps, et va solliciter enormement l'ancrage molaire, donc difficulte mecanique +++. C'est a toi de voir...