Cookie Consent byPrivacyPolicies.comles appareils fonctionnels dans VOS cabinets. - Eugenol

les appareils fonctionnels dans VOS cabinets.

chakour

15/05/2008 à 13h10

,,,

Kev1 mtv0ef - Eugenol
Kev2 xsbecb - Eugenol

chakour

15/05/2008 à 13h12

enfin

Lau1 xnmhhd - Eugenol
Lau2 w5ygsm - Eugenol

chakour

15/05/2008 à 13h14

et aussi

Vir1 jisvwz - Eugenol
Vir2 ee9cpn - Eugenol

Images 1 qtgoxf - Eugenol
ciwil

18/05/2008 à 13h03

merci chakour,
mais pour compléter, peux-tu poster les photos de profil et le dispositif en bouche ?


chakour

19/05/2008 à 00h40

Ce n'est que progressivement que,devant les résultats, je me suis mis à documenter plus complètement mes cas;je n'ai donc pas tout ce que tu demandes pour les cas précédents,mais je t'en adresse d'autres ,plus complets.l'un d'eux avec LBs en bouche,mais je n'ai que rarement photographié le herbst en bouche(cependant ,tu as du en voir chez Bonnet.
cas 1: Bre;BHG 9mois puis ELN 9mois


chakour

19/05/2008 à 00h46

pb de piece jointe


chakour

19/05/2008 à 00h48

encore


chakour

19/05/2008 à 00h53

ça ne passe pas

Occ d 1 lta1mo - Eugenol
Occ d 2 cm92y1 - Eugenol
Pr   2003 cv7s6d - Eugenol
T  2007 nz7mvf - Eugenol

chakour

19/05/2008 à 00h54

et les profils

2003 efzbwc - Eugenol
2007 br9agy - Eugenol

chakour

19/05/2008 à 00h58

cas 2;Lea
BHG 9mois PUIS eln +2 LBs 15mois

2003 xmothe - Eugenol
2006 ktrt9z - Eugenol
T1 rhp4ea - Eugenol
T2 yll6vb - Eugenol

chakour

19/05/2008 à 01h00

l'occlusion;




NB: Dans les 2 cas , pas de version des inc infs!

Mou1 mood31 - Eugenol
Lb2 rdbe46 - Eugenol
Occd3 ibq6j9 - Eugenol

1 eugenol dmj5np - Eugenol
Dancha

19/05/2008 à 11h05

Joli. Félicitations.

Daniel


chakour

19/05/2008 à 13h15

venant de Dancha,j'apprécie .
mais je ne fais qu'appliquer,c'est le concept qui conduit aux résultats.


1 eugenol dmj5np - Eugenol
Dancha

19/05/2008 à 14h32

Bien sûr, mais encore faut-il l'appliquer à bon escient. C'est ça la difficulté.

Daniel


chakour

21/05/2008 à 19h38

salut ciwil
j'essaie de t'adresser également une cl III avec photos,dans la soirée,et tu me donneras peut-être ton avis
a+


chakour

22/05/2008 à 00h05

chakour Ecrivait:
-------------------------------------------------------
> salut ciwil
> j'essaie de t'adresser également une cl III avec
> photos,dans la soirée,et tu me donneras peut-être
> ton avis
> a+

voilà:eln seul 9 mois en 2003 puis,perdue de vue(rvms)
eln n°2 +2LB déc 2005

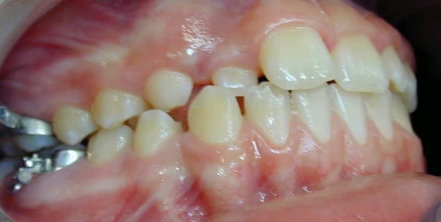
Occl2002 wkqc21 - Eugenol
Occ2006 xf5hjf - Eugenol
Occl2007 ew1ff0 - Eugenol

chakour

22/05/2008 à 00h10

début 2008,quadhélix en 0.28,pour vestibuler la 2,ce qui est fait

Pano2001 fote46 - Eugenol
Pano2007 pmbvzt - Eugenol
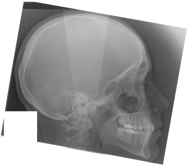
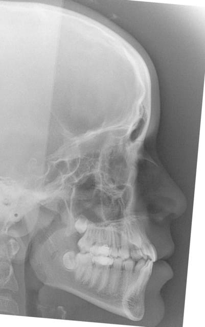
Tele2002 qhiepn - Eugenol
Tele2007 b6yul0 - Eugenol

chakour

22/05/2008 à 00h12

et les profils


Profil2002 rznvai - Eugenol
Profil2007 dxpeqm - Eugenol

Images 1 qtgoxf - Eugenol
ciwil

22/05/2008 à 14h44

chakour, rdv dans les salons privés d'eugénol.


chakour

22/05/2008 à 15h43

c à d?


Images 1 qtgoxf - Eugenol
ciwil

22/05/2008 à 18h10

c'est à dire que t'as un mp
:)


Images 1 qtgoxf - Eugenol
ciwil

22/05/2008 à 22h59

jusqu'à quel âge une classe III peut elle être résolue par la seule ELN ?


chakour

22/05/2008 à 23h24

question abrupte,réponse caricaturale;l'objectif n'est pas de traiter par eln seul,mais les résultats montrent le rôle primordial de la posture linguale AU REPOS
et bien sûr il faut agir le plus tôt possible
ensuite selon l'âge et le cas,on rajoute les LBs au changement de denture,voire un masque (salagnac) un tps très court,voire un AUA.
mais même en denture définitive,l'ELN est un élement essenciel du tt,et de sa stabilité


isaïe

23/05/2008 à 09h11

De quoi dépend la posture linguale au repos ?


Images 1 qtgoxf - Eugenol
ciwil

23/05/2008 à 10h18

ça dépend de l'horoscope.

chakour, quelle proportion de MB par rapport à la technique Bonnet dans ton exercice stp ?