Cookie Consent byPrivacyPolicies.comDeuxiéme service... - Eugenol

Deuxiéme service...

Utilisateur banni

11/12/2007 à 18h24

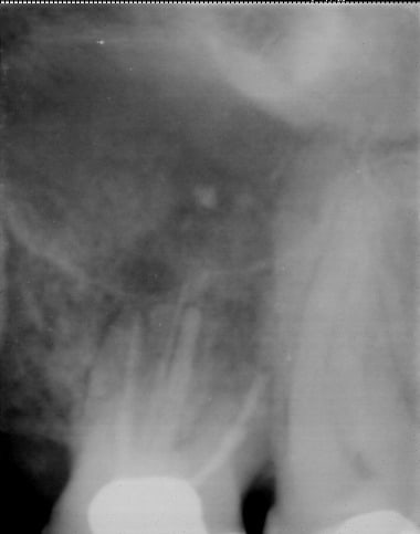
Aprés les débats sur la digue et les implants, comme la patate est chaude, voici le cas de cette 26, chez un patient de 55 ans, reprise de traitement, avec aussi incroyable que ça puisse paraitre un arret net à la progression de la lime et obtu à cette butée. Radio 6 mois aprés.
Vos avis avisés?
Que "faisez" vous de cette dent? Et de ce qu'il y a autour...


024 vownvo - Eugenol
annie

11/12/2007 à 18h25

ça passe pas!


Utilisateur banni

11/12/2007 à 18h25

Pffffffffffffffffff...

A 6 mois ncmyca - Eugenol
Avant f3tnnb - Eugenol

Logo vuaztn - Eugenol
mac

11/12/2007 à 18h29

FAUTE!!!


azerty

11/12/2007 à 19h02

ce qui fait plaisir, c'est que tu fais des radios aussi merdiques que moi (de tp en tp pour moi)


Utilisateur banni

11/12/2007 à 19h31

Haaaaa, on commence les reproches: les radios...


200106 10150128247663588 709988587 6466236 5598391 n d7mksb - Eugenol
hallboy

11/12/2007 à 19h56

pour voir ce quil y a autour, t'aurais pas d'autre RX ( poche avec la 5 )


024 vownvo - Eugenol
annie

11/12/2007 à 19h58

Bizarre ce canal palatin,la loi des séries?


Utilisateur banni

11/12/2007 à 20h09

Résorption généralisée au niveau radiculaire, pas d'autres radios sous le coude, y'a une perte osseuse en mésial, avec un léger regain, la dent est légérement mobile, mais sans douleur pour le patient.


Image odged8 - Eugenol
ploc

11/12/2007 à 20h38

c'est donc vrai:narik a un bon fond...
regardez toutes les causes perdues qu'il essaye de sauver


Utilisateur banni

11/12/2007 à 21h54

J'ai envoyé ce patient chez un paro (ben oui, avant qu'on me dise que je suis un vieux con qui bosse dan un cab pouilleux avec un poupinel...) qui m'a demandé de reprendre le traitement de cette dent, que je voulais virer et faire remplacer par un implant (marrant non?) Le dernier courrier de la paro m'indique qu'elle est stupéfaite par la qualité et le résultat qu'a provoquée la reprise de traitement et un controle courant janvier, si l'amélioration se poursuit permettrait de garder la dent.
Comme la fosse, je suis sceptique...


S8ysxdzhdqgw00w4q6m07a5d47q2 - Eugenol
gai-luron

11/12/2007 à 22h59

j'aurais enlevé avant d'envoyer chez le paro...


Utilisateur banni

12/12/2007 à 00h28

Si j'avais su...


Loic

12/12/2007 à 02h33

:)


Utilisateur banni

12/12/2007 à 09h15

Tiens Loic t'es dans les parages?
Tu vas rire, quand j'ai émis la possibilité de l'avulsion de cette 26 et proposé le remplacement par un implant, il a de suite été d'accord...
Etonnant non?


Loic

12/12/2007 à 11h46

;) comme quoi t es pas toujours mauvais :p


200106 10150128247663588 709988587 6466236 5598391 n d7mksb - Eugenol
hallboy

12/12/2007 à 11h53

;) Vous partez où en vacances ensemble les 2 nordistes ?


Utilisateur banni

12/12/2007 à 12h30

Dans ton...


200106 10150128247663588 709988587 6466236 5598391 n d7mksb - Eugenol
hallboy

12/12/2007 à 12h49

On dirait le Sud alors?


003 penrd2 - Eugenol
Cingulum

18/12/2007 à 12h48

j'aurais enlevé aussi....


Utilisateur banni

19/03/2008 à 17h25

A 9 mois, pas de soucis de la part du patient...


Utilisateur banni

19/03/2008 à 17h26

00000019 iq3yan - Eugenol

Loic

20/03/2008 à 02h02

c'est bien mais le but c'est quoi narik? Tu as une fonte paro importante des deux cotés. Ok ton TR est un succes a court terme et peut etre a long terme mais vu la quantité d'os qui te reste, penses tu attendre l'atteinte de furcation, ou tu preferes que la racine distale flotte dans le vide? Comment ce patient fait il pour brosser sa poche paro qui si la radio n'est pas trop defilée lui laisse 3 à 4 mm d'os autour de son apex?
quand le reste de nonos sera parti, l'implant tu le vissera dans quoi ?

bémol : ta radio est défilée mais je ne sais pas de combien donc c'est quand meme trompeur mais dans le cas ou elle ne l'est pas trop, moi je conserve pas désolé.

Cela dit le TR a permis d'assainir l'os et permettra peut etre de faire une extraction imlantation immédiate dans la racine palatine ce qui est une bonne chose.

Question subsidiaire : la racine de la dent mésiale 24 ou 25, il lui reste combien de temps a vivre vu la fente paro, le liseret foncé qui sert de ligament parodontal? Cf radio "AVANT"


Utilisateur banni

20/03/2008 à 10h41

narik Ecrivait:
-------------------------------------------------------
> J'ai envoyé ce patient chez un paro (ben oui,
> avant qu'on me dise que je suis un vieux con qui
> bosse dan un cab pouilleux avec un poupinel...)
> qui m'a demandé de reprendre le traitement de
> cette dent, que je voulais virer et faire
> remplacer par un implant (marrant non?) Le dernier
> courrier de la paro m'indique qu'elle est
> stupéfaite par la qualité et le résultat qu'a
> provoquée la reprise de traitement et un controle
> courant janvier, si l'amélioration se poursuit
> permettrait de garder la dent.
> Comme la fosse, je suis sceptique...


Voilà ce que j'avais posté...
Donc je mets la radio de contrôle...
En bouche la dent ne bouge absolument pas, pas d'inflamation, brossage nickel.
Pour la 25 on a eut un regain d'attache suite au ttt paro.
Perso je reste sur ma position...
Ca montre le probléme entre le paro qui veut conserver absolument et l'implanto qui veut implanter le plus rapidement possible...
Comme il y a réévaluation chez le paro dans quelques moi, suite à cela j'en discuterai avec lui, mais on a commencé un truc avec le patient, on va voir sur un an ce que ça donne, pour l'instant on a juste réussi à assainir et avoir une consolidation osseuse, mais jusque quand???


Spriford

20/03/2008 à 14h59

narik Ecrivait: Comme il y a réévaluation chez le paro dans quelques moi,

serais-tu plusieurs ???
:-)))


12