Tous les forums
Composite antérieur esthétique
19/12/2007 à 12h18
Je sais que le sujet à été traité il y a peu de temps pour demander à chacun ce qu'il utilise comme compo...
J'utilise actuellement du synergy duo shade qui ne me donne pas satisfaction pour les teintes caractérisées ou qui sortent du standard A1-A2-A3.
Y a t il un avantage à choisir un nanohybride sur un microhybride ?
Quel compo ant. choisir pour avoir un résultat esthétique top ?
19/12/2007 à 14h25
Miris (le 2 maintenant) et suivre à la lettre les indications du manuel + voir Dietschi si possible, mais il paraît qu'il sera de moins en moins disponible en France, victime du succès de sa pratique en cabinet.
19/12/2007 à 14h38
je crois plus à un "coup de patte acquis lors de TP qu'au produit,sous reserve de ne pas prendre qu'une "teinte universelle"
ce n'est pas du Miris
19/12/2007 à 15h00
pareil, n'importe lequel des compo, ici c'est du septodont, je ne sais meme plus lequel
19/12/2007 à 18h57
Je ne suis pas d'accord avec vous : ou plutôt, mon crédo, c'est de permettre au max de praticiens d'obtenir de bons résultats. Le coup de patte, c'est bien, mais si la dentisterie se résume à ça, c'est tout le contraire de ce en quoi je crois.
Le Miris, en raison de sa conception, permet, si l'on applique la bonne méthodologie, de réussir même si l'on n'est pas un expert.
19/12/2007 à 19h21
en quoi le miris si la teinte est mal choisie ou qu'une seule teinte est utilisée en bloc va rendre mieux?
des ptés cosmetiques plus performantes? ok
mais comme tu le dis le plus important est "d'appliquer la bonne methodologie",quel que soit le compo
plutôt que coup de patte( tu as raison ce lapsus canin n'a pas lieu d'être en O.C :),
préfères tu "coup d'oeil" pr les teintes?(je sais,il y a des teintiers mais ils ne font pas tout) et une "certaine facilité" pr la sculpture?
d'où mon titre...
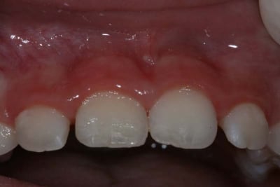
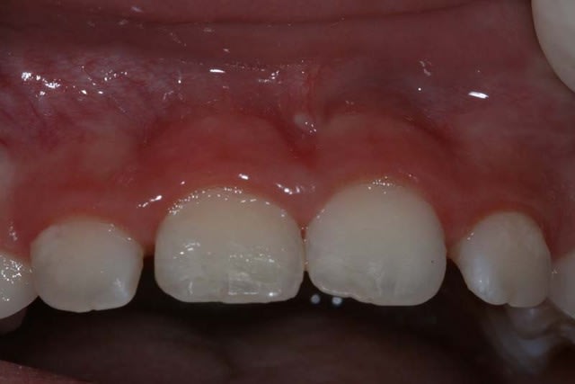
evidemment que tous les CD peuvent faire passable en y mettant du temps(voir ma photo)
au final cependant il n'y a qu'un Dietschi ou Vanini
malheureusement
bon d'accord,il y a aussi ariel, alhoun, ivetol et qqes autres...:)
19/12/2007 à 21h26
Ote moi d'un doute, ploc, connais tu bien le Miris ?
Nul besoin d'être expert pour le manipuler correctement. A moins que vraiment, je me surestime. Mais quand je vois la différence avec les autres (Filtek Suprem, Artemis, Venus, et même HFO..) qui sont de bons produits mais avec lesquels j'ai bien plus de mal à obtenir le rendu esthétique voulu,j'insiste pour dire qu'il n'y a pas photo.
19/12/2007 à 22h10
J'ai eu la chance de faire la formation et le TP qui allait avec sur la stratification de nos confrères hélvètes et italiens.
Je me sers au cabinet depuis un certain temps déjà de l'enamel HFO, et même si j'ai des résultats corrects, je n'ai jamais eu le même rendu esthétique qu'avec le miris lors du TP.
J'aurais tendance à dire comme Marc que certains composites ont quand même des rendus supérieurs.
Après il faut tout de même savoir que 10 à 15 mn du travail doivent être consacrées au polissage, le tout sous digue, avec clef en silicone.
A 4097; c'est chaud bouillant ...
19/12/2007 à 23h07
Oméga, c'est toi qui dit polissage sous digue. C'est bête quand même, de devoir mettre la digue rien que pour le polissage (suis-je polisson!).
De toute façon, Miris ou autre, le polissage est le même non ?
Miris : pour ceux qui ne savent pas, le teintier n'a strictement rien à voir avec les autres type Vita, c'est ce qui fait son originalité et son efficacité. La texture du matériau elle, n'est pas aussi bien cependant que c'elle d'un japonais (GC, Kuraray ou Tokuyama)
20/12/2007 à 01h56
non marc,je t'otes le doute, je n'utilise pas le miris
étant de nature adaptable et curieuse,si vs dites que c'est mieux, ok je change le HFO pr le Miris
si c'est moins bien,marc,tu me les rachètes?
20/12/2007 à 05h29
Oméga Ecrivait:
-------------------------------------------------------
> J'ai eu la chance de faire la formation et le TP
> qui allait avec sur la stratification de nos
> confrères hélvètes et italiens.
>
> Je me sers au cabinet depuis un certain temps déjà
> de l'enamel HFO, et même si j'ai des résultats
> corrects, je n'ai jamais eu le même rendu
> esthétique qu'avec le miris lors du TP.
>
> J'aurais tendance à dire comme Marc que certains
> composites ont quand même des rendus supérieurs.
>
> Après il faut tout de même savoir que 10 à 15 mn
> du travail doivent être consacrées au polissage,
> le tout sous digue, avec clef en silicone.
>
> A 4097; c'est chaud bouillant ...
pour 40.97,je trouve que le tetric evoceramam une qualité de mimetisme tres appreciable,en seringue je le trouve un peu trop dur et difficile a appliquer dans certains cas,et je vais l'essayer en compules
20/12/2007 à 09h29
Marc Apap Ecrivait:
> Je ne suis pas d'accord avec vous : ou plutôt, mon crédo, c'est de permettre au max de praticiens
> d'obtenir de bons résultats. Le coup de patte,
> c'est bien, mais si la dentisterie se résume à ça, c'est tout le contraire de ce en quoi je crois. Le Miris, en raison de sa conception, permet, sil'on applique la bonne méthodologie, de réussir même si l'on n'est pas un expert.
je suis bien d'acc avec le fait qu'un soin devrait pouvoir avoir la meme qualité quelque soit l'operateur et que le veritable progres reside là
mais justement, je ne trouve pas que le cout d'un compo miris (si, c'est cher si on veut avoir la gamme complete en permanence) meme s'il a des qualités enormes, le mette a disposition d'un max de praticien, (pis me demande pas de faire un leasing pour ça:):)
par contre les compo ne sont plus ce qu'ils ont pu etre jadis et sont moins opérateur-dependants, la plupart donnent d'excellents resultats et les differences d'une gamme a l'autre ne sont plus si criantes...dans mes tiroirs j'ai un peu de tout, et, sacrilege, je n'y prends plus garde, parfois meme je melange pour un meme compo des gammes differentes, c'est ma façon a moi d'échapper à l'élitisme
20/12/2007 à 10h00
Nous parlons ici de composites antérieurs. Et toi, athos, tu confirmes le côte bidouille dont beaucoup de dentistes sont fiers.
Pour les postérieurs, pas de problème, le rendu esthétique n'est pas crucial. On peut combiner plusieurs marques disponibles en stock.
Mais pourquoi faire compliqué quand on peut faire simple ? Avec le Miris, c'est son atout, rien n'est plus facile pour obtenir ce que l'on recherche (sauf si la dent est brune, sombre ou qu'elle a une teinte pas naturelle).
Les réticences sont de l'ordre du coût ? N'est-ce pas plus décevant de rater son travail et de devoir le reprendre en tâtonnant parce qu'on ne sait pas trouver le bon assortiment de teintes ?
20/12/2007 à 10h51
t'es quand meme un peu dur pour la bidouille je trouve...mais bon, vais l'assumer:)
t'as vu quand meme que mes incisives n'avaient rien de posterieur?
que le miris soit bon c'est indéniable, agreable, peut etre, de protocole différent surement, mais simple, facile et accessible bof...en dire du bien ok, mais en faire LE compo sous peine d'etre bidouilleur c'est hard.
respecter quelques regles de base avec les autres gammes n'est pas un exploit quand meme
20/12/2007 à 11h08
"dans mes tiroirs j'ai un peu de tout, et, sacrilege, je n'y prends plus garde, parfois meme je melange pour un meme compo des gammes differentes, c'est ma façon a moi d'échapper à l'élitisme"
C'est toi qui le dit. Mais bon, ce serait ridicule de se prendre la tête avec ça.
Je recommence : le Miris a pour atout une méthode d'utilisation qui permet d'obtenir facilement de très bons résultats.
Sa consitance est moins agréable que celle d'autres composites du marché, notamment les japonais, plus souples, plus faciles à modeler
Les teintes proposées et le teintier permettent d'obtenir avec un minimum d'effort des résultats de haut niveau.
Les systèmes qui exploitent le teintier vita ne permettent pas, à moins d'être expert, d'obtenir aussi aisément un bon résultat. Mais si l'on est expert, on peut obtenir avec eux un résultat de très haut niveau esthétique.
Conclusion : pour l'omnipraticien que je suis, le Miris est l'assurance, lorsque la teinte de la dent n'est pas trop hors norme (jaune foncé, brune..) d'obtenir sans inquiétude quasi du premier coup le bon résultat. Ayant essayé tous les composites antérieurs du marché (sauf le tout dernier Amaris, ou le Clearfil Majestic), je te confirme qu'il est plus délicat d'avoir la même chose avec eux. Le CeramX duo est très bien également, mais un peu moins sophistiqué et m'a paru plus tendre au polissage.
20/12/2007 à 11h18
pas d'ac marco, miris j'ai essayé et j'ai pas aimé et je vois pas en quoi il est plus simple que les autres.
20/12/2007 à 11h36
Si ton appréhension du produit est aussi courte que ta réponse, pas étonnant qu'il ne t'ait pas séduit. Mais c'est intéressant d'un autre côté, car ça prouve que la communication du fabricant passe mal (ou pas du tout) auprès de certains praticiens.
Peux-tu développer s'il te plaît ?
20/12/2007 à 13h00
dois-je prendre le temps de répondre a une telle mauvaise foi, ou bien est-ce de l'ignorance de ta part ?
20/12/2007 à 13h53
sans doute suis je bête marco, mais bon c'est pas le problème.
ce qui m'énerve c'est que tu peux pas faire une phrase sans citer le miris, je dis pas que c 'est un mauvais composite je dis qu'il ne me convient pas et qu'il n'est pas plus révolutionnaire que ça, j'utilise le cearfil majesty, je le trouve pas mal et je le cite pas chaque fois que je fais une phrase et j'ai des résultats pas mal, voir le cas que j'ai posté récemment, le résultat aurait été meilleur avec du miris, peut être?
ps: tu touches combien de coltène pour faire leur pub?
20/12/2007 à 14h03
Passé du clearfil st à l'ap-x puis au majesty, je partage l'avis de mac, y compris au sujet du Miris dont tu reconnais toi-même, cher Marc, que la manipulation n'est pas top.
20/12/2007 à 14h17
Comme je n'ai manipulé le Majesty que quelques secondes sur le stand à l'IDS, je ne peux pas me prononcer sur ce produit. Je reconnais qu'il est très agréable à travailler.
Je n'ai pas touché d'argent de Coltène. J'ai eu les coffret gratuitement en tant que testeur pour les revues dans lesquelles c'est publié.
J'ai eu pareillement des produits de chez GC, 3M ESPE, Ivoclar Vivadent, Voco, Heraeus Kulzer, Dentsply. J'ai payé de ma poche un coffret d'HFO dont je ne me suis servi que du dixième.