Cookie Consent byPrivacyPolicies.combio-oss ou ceros ou mbrane ti armée - Eugenol

bio-oss ou ceros ou mbrane ti armée

carole

09/07/2005 à 09h28

growler, ils doivent bien rire les patients en voyant le finepix ds la poche!!!! en attendant c' est bien pour lui passer un papier stérile autour!!! J' avais pensé à mettre une charlotte stérile en plastic comme celles qu'on place au niveau du scialytique....

ami amibien, tu vois pourquoi tes boitiers sont tout déformés maintenant, meme à 124°, meme un nikon...ça le fait pas!!!! ;)


albert

09/07/2005 à 12h11

growler a écrit:
-------------------------------------------------------
> ce matin, j'ai essayé le cerasorb avec une
> membrane Tefgen... qui a une expérience de ces
> matériaux?
>
> voici les clichés et j'ai hâte de voir ce que çà
> va donner..
>
Le cerasorb je l'utilise depuis maintenant trois ans.
C'est un bon produit qui se résorbe complètement mais très lentement et qui est sensible à la manière dont on le prépare (il faut le noyer dans le sang du patient 15 à 20 minutes avant son utilisation en le malaxant délicatement pendant une minute puis le laisser reposer)
Les particules sont sphériques et l'on peut suivre radiologiquement la transformation. Cependant une nouvelle forme est commercialisée: elle n'est plus sphérique et elle est plus poreuse justement pour accélérer la substitution. Je ne l'ai pas essayée et ce n'est pas forcement une amélioration, à mon avis.

J'aime les membranes un peu rigide et TEFGEN est trop souple. C'est pratique si tu veux la retirer à six semaines mais dans ton cas clinique j'aurai choisi une membrane un peu rigide et résorbable.

Une critique amicale: ne jamais bloquer les membranes avec les vis de fermeture, toujours décaler les incisions de décharge d'une dent et, si possible, ne pas en faire.

Un grand merci pour tes conseils sur le finepix 700. Je l'ai acheté grâce à toi et, associé avec PICASA 2, c'est un régal.


firebird

24/07/2005 à 00h08

chère carole
veux augmenter en hauteur ou en largeur ?
en largeur tu peux soit greffer avant avec ce que tu veux mais métronidazole obligé +prf +biobank ou tbf ou tu plantes tu expose tes spire et là bingo os de banque +prf et ça marche super
en hauteur greffon mentonnier ou os de banque en cortical attention à la fermeture primaire nous sommes qquns à avoir testé prf seul sur augmentation de crête et quelle n'a pas été notre surprise de voir des augmentations de 2 à 4 mm mais nous n'avons pas assez de cas pour émettre une conclusion. mais dans ce groupe de praticiens nous avons tous constatè des néoformations osseuses de grande qualité dans les alvéoles comblées au prf ou des légers défects osseux


Blason dql7mj - Eugenol
growler

19/01/2006 à 22h17

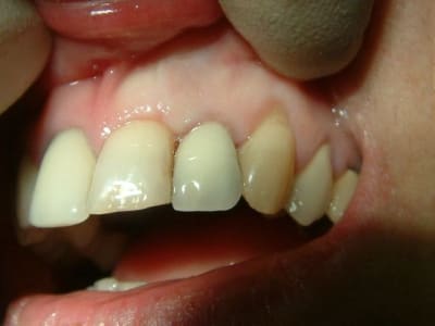
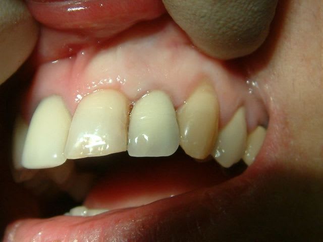
j'ai terminé le cas, retrait de la membrane tefgen, visualisation de la réparation osseuse au niveau du défaut initial, essai puis pose de la céram.

@+


Blason dql7mj - Eugenol
growler

19/01/2006 à 22h19

les photos (de pas très bonne qualité):

Dscf0032 bis h4bho5 - Eugenol
Dscf0035  bis yrh24v - Eugenol
Dscf0094  bis gywyqq - Eugenol
Dscf0098 bis orwb6n - Eugenol

12