Cookie Consent byPrivacyPolicies.comJeune praticien demande conseils. - Eugenol

Jeune praticien demande conseils.

spirou

10/01/2008 à 14h41

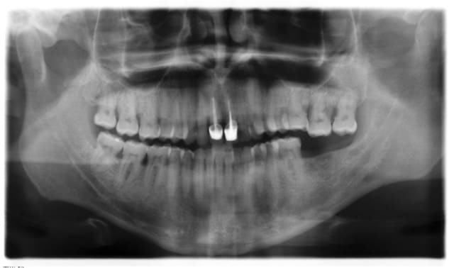
J'ai vu ce patient en consultation ce matin.
Je prevois :
-det haut et bas.
-soins caries 24mesial, 25-26 proximal, sillons sur 17.
-implant sect 3 pour remplacer 37
-ext 28
-Surfaçage sect 2+ crn 27 pour rétablir courbe de Spee pendant cicatrisation.
-11 et 21 seront refaites car gingivite localisée chronique due à surcontours sur les deux dents + esthétique à revoir.
- réalisation prothèse sur implant 37.

Voila en gros le plan des travaux. A vous, expéimentés, feriez-vous de meme?
Merci de vos conseils.
;)
guillaume


spirou

10/01/2008 à 14h44

oups.

3édition s 20080110 1347 wutdwm - Eugenol

Squash u44zd8 - Eugenol
steph

10/01/2008 à 21h54

Ton traitement paro devrait concerner l'ensemble de la bouche, pas qu'un secteur.
Et plutôt qu'une couronne, j'opterais pour un onlay sur 27 mais il est difficile de juger de l'égression sur la pano.


Photo pluton1b h9n4ea - Eugenol
pluton

11/01/2008 à 08h33

pourquoi mutiler une dent saine????????
Quelques brackets collés et un bout de fil titane...et plus de problème pour la 27...par contre OK pour l'extrac de 28


olivier d

12/01/2008 à 00h56

Je ferais deux bite-wings,car là il faut etre magicien pour faire un plan de traitement.Ensuite,le surfaçage ne me semble pas objectivé par des poches de plus de 3 mm.Je me souviens d'une étude présentée par le prof de paro de la fac de Strasbourg qui considérait qu'un surfaçage précoce était iatrogène.Bon week-end.


Grueavatar nptrc9 - Eugenol
Le Choixpeau magique

15/01/2008 à 21h39

pluton Ecrivait:
-------------------------------------------------------
> pourquoi mutiler une dent saine????????
> Quelques brackets collés et un bout de fil
> titane...et plus de problème pour la 27...

Une dent saine ? J'ai plutôt l'impression qu'il ne reste quasiment plus d'os. Tu vas réussir à l'ingresser avec quelques brackets et même faire repousser l'os en interradiculaire ?


Photo pluton1b h9n4ea - Eugenol
pluton

15/01/2008 à 23h32

Le Choixpeau magique Ecrivait:
>
> Une dent saine ? J'ai plutôt l'impression qu'il ne
> reste quasiment plus d'os. Tu vas réussir à
> l'ingresser avec quelques brackets et même faire
> repousser l'os en interradiculaire ?

Parce que tu crois qu'en la couronnant tu va améliorer sa situation paro???
Après ttm paro, une ingression est possible...bien sûr c'est pas forcément "au top" mais à ton avis, elle pourrait pas encore lui faire quelques bonnes années cette dent à ce patient???
Et puis ce pb paro est il, a ton avis, lié à l'état paro général...ou a l'absence d'antagoniste??? Moi je parierais plutôt pour le second choix...



Grueavatar nptrc9 - Eugenol
Le Choixpeau magique

16/01/2008 à 00h52

pluton Ecrivait:
-------------------------------------------------------
> Parce que tu crois qu'en la couronnant tu va
> améliorer sa situation paro???

Ou ai-je parlé de couronne ?

> Après ttm paro, une ingression est possible...

Avec un ancrage supplémentaire, non ?
>
bien
> sûr c'est pas forcément "au top" mais à ton avis,
> elle pourrait pas encore lui faire quelques bonnes
> années cette dent à ce patient???

A mâcher dans le vide, je ne vois pas trop l'intéret. Un jour le patient aura mal, et viendra en urgence.

> Et puis ce pb paro est il, a ton avis, lié à
> l'état paro général...ou a l'absence
> d'antagoniste??? Moi je parierais plutôt pour le
> second choix...
>

Et alors ?


Forest iegkoi - Eugenol
jx

22/02/2008 à 11h21

j'ai rencontré le même problème (26 et 27 égressées avec des lésions paro, mais grosses poches palatines genre 7/8mm).
j'ai fait un lambeau d'assainissement après surfaçages. tout a bien cicatrisé, les poches ont disparu et les dents n'ont aucune mobilité... mais évidemment la furcation et les racines sont exposées.
Je dois reconstruire les secteur 3.
C'est vrai que j'aurais pu prévoir le résultat à l'avance mais je ne sais pas si c'est osé de faire 2 couronnes métalliques solidarisées sur ce type de dents pour maintenir le résultat quelques années (la patiente a 80 ans) ou si je dois absolument les extraire (et la je me trouve comme un con avec des lambeaux inutiles)...
Merci par avance pour vos réponses...