Cookie Consent byPrivacyPolicies.comJoli monstre - Eugenol

Joli monstre

1 eugenol dmj5np - Eugenol
Dancha

11/01/2008 à 17h41

Un cas comme je les aime..

Daniel

Joli monstre bcnaox - Eugenol

1 eugenol dmj5np - Eugenol
Dancha

12/01/2008 à 13h14

Qu'est-ce qu'on fait ?
Quand et comment est-ce qu'on le fait ?

Daniel


ortho-sxm

12/01/2008 à 17h15

bonjour,
tu y va fort comme ça, début janvier!
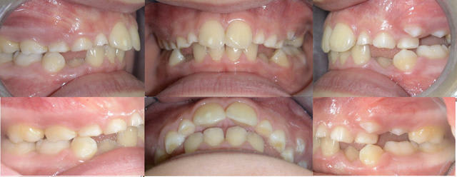
bon alors, sauf erreur on est face à un(e) brachy sévère, qui présente une agénésie des 2 dont la 23 est en train de faire son chemin, dévorant tout ce qui s'oppose à elle (II, III), la 13 a l'air de se plaire dans le palais; tout ceci dans un tableau de cl II 1.
Qu'est-ce-qu'on fait? pas évident avec ces deux documents. Comment est le sens transversal? Sinon, les deux possibilités sont: ouverture ou fermeture des espaces. Si on ferme( perte de 4 mm supplémentaires de longueur d'arcade), vu sa "brachytude", on va éviter d'extraire des prémo mandib, essayer de profiter du Leeway (est-il suffisant?)pour niveler et s'orienter vers la cl II thérap.
Si on ouvre, expansion maxillaire( la mandibule est verrouillée?), on laisse poindre la 23 avec la ptose de 62 63, et tu vas chercher la 13(vestibulaire, palatine?) va-t-elle rhizalyser 52 53 sur son passage, allons-nous devoir faire son chemin?
Question timing, il ne faudrait pas tarder, la présence du Leeway n'est plus qu'une question d'heures!!

Dans l'attente des photos et des moulages...


1 eugenol dmj5np - Eugenol
Dancha

12/01/2008 à 18h49

Voilà.

Daniel

Joli monstre1 ecwdn5 - Eugenol
Joli monstre2 euebuh - Eugenol

Picture1111 zburnd - Eugenol
saidkholoki

12/01/2008 à 20h42

Salut a vous tous,
Je pense que dans ce il y a deux problemes distincts:
1- Les agenesies de 12/22: Quoi faire? ouvrir ou fermer?
2- La canine incluse et ceci presente une difficulte mecanique mais ce n'est pas impossible de la faire sortir, surtout pour toi Dancha.
La premiere question est plus importante que la deuxieme car la reponse donnee determine les moyens, les sequences et le timing du cas. On revient au meme point, le QUOI avant le COMMENT.
Si on choisit la facilite, je metterais les 13-23 a la place des 12-22 manquantes, realise une coronoplastie des canines, regle la modeste DDM mandibulaire et je finis en classe II therapeutique en me disant une seule intevention pour degager la canine incluse suffit et ce n'est pas la peine d'envisager d'autre pour les implants plus tard.
Pour les plus courrageux il faut envisager la solution d'ouvrir en mettant en place une mecanique de classe II selon les objectifs fixes: de combien avancer le bas et de combien reculer le haut.


ortho-sxm

14/01/2008 à 16h20

bonjour

aux vues des photos, pas d'autre piste: le sens transversal est OK, petite rotation des molaires qui peut nous faire grapiller 2mm si on veut ouvrir les espaces + les quelques mm de la différence ((II +III)-3), si on veut implanter, on va devoir reculer les 6, non?


1 eugenol dmj5np - Eugenol
Dancha

14/01/2008 à 18h38

ortho-sxm Ecrivait:
-------------------------------------------------------
> ... si on veut implanter, on
> va devoir reculer les 6, non?

.. ou avulser une prémolaire, oui.
On est un peu dans le même cas que celui de notre ami gai-luron, les documents et le poisson en plus.

Les questions restent :
- Qu'est-ce qu'on fait ?
- Quand et comment est-ce qu'on le fait ?

Daniel


Picture1111 zburnd - Eugenol
saidkholoki

14/01/2008 à 21h53

Salut Dancha,
Je crois que ton cas n'est pas tout a fait similaire a l'autre car les 6 n'ont pas fait de derive mesial. La preuve est la position normale et tres hautes des 8 ainsi que la presence de toutes les dents a l'arcade maxillaire ( a l'exception des 2 manquantes) mais les 52/62 sont la ou presque.
Si il n'y avait pas d'agenesie je serai tente d'utiliser une mecanique de classe II pour reculer les 16/26 et avancer un peu les 36/46 surtout la typologie me permet une petite version supplementaires des incisives inf.
Mais comme les laterales ne sont pas la et afin de limiter les degats et minimiser le travail orthodontique et implantaire plus tard, je choisi plutot la solution de laisser les canines evoluer a la place des laterales, j'attendrai l'arrivee de la 23 ainsi que les premolaires avant de commencer le traitement. Le degagement chirurgical de la 13 peut se faire des que l'arcade maxillaire est preparee et stabilisee.
Ce n'est pas la solution ideale mais dans ce cas on n'a que des compromis.


catrose

15/01/2008 à 10h00


+1!

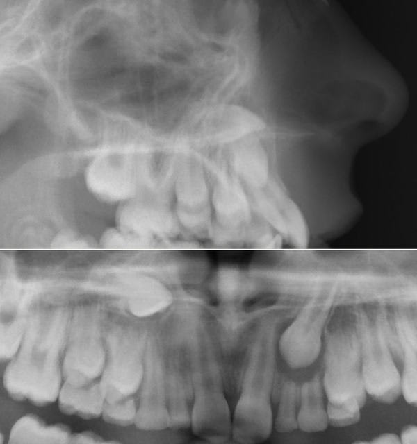
Daniel,quelles sont les moyens que tu vas employer pour aller chercher la 13?et quand le faire?je ne vois pas d'evolution de la racine sur les radios
as tu une radio occlusale ou un CT?


1 eugenol dmj5np - Eugenol
Dancha

15/01/2008 à 13h21

catrose Ecrivait:
-------------------------------------------------------
> > +1!
>
> Daniel,quelles sont les moyens que tu vas employer
> pour aller chercher la 13?et quand le faire?je ne
> vois pas d'evolution de la racine sur les radios
> as tu une radio occlusale ou un CT?

Petit poisson deviendra grand...
"A vos méninges" disais-je tantôt.
Ces clichés sont suffisants. Il me semble inutile de faire un scan.

Daniel


Joli monstre3 zybyrt - Eugenol

Roup

17/01/2008 à 01h58

Bonjour,

J'irais vers la mise en place de 13 et 23 à la place de 12 et 22.
1) extraction de 54,55,64,75,85(pour accélérer les définitives et commencer rapidement)
2) j'attends 15,14,24.
3) fixe multiattaches bi max
4) extraction de 52,53,62,63 et traction de 13 sur le MA.
Si 13 vient, coronoplastie de 13 et 23 et finition en cl 2 thérapeutique, avec contact incisif sup/inf.Je crains quand même la coudure de la racine de 13 lors de sa mise en place.
Je ne sens pas du tout la réouverture d'espaces sans extraire de PM au max; et comme il manque déja 12 et 22, j'ai pas envie.
Mais ce n'est que mon avis de débutant et j'attends avec impatience les post de Dancha, dont j'apprécie beaucoup la philosophie de traitement,les réalisations et la documentation.
Dancha, sans toi le rubrique ODF ça serait pas pareil.

Roup


1 eugenol dmj5np - Eugenol
Dancha

18/01/2008 à 13h31

Merci Roup, tu me flattes.

Effectivement, il semble difficile de faire autrement que mettre les canines en position de latérales. Ton plan de traitement semble parfaitement correct, très classique.

Cela me gêne cependant un peu de devoir attendre autant pour démarrer la traction de 13.

Nous n’avons pas le choix, il est impératif que cette dent vienne et sans coudure.
Quelle force estimes-tu nécessaire pour la tracter (en g ou dN) ? Comment la contrôlerais-tu ? Quelle mécanique utiliserais-tu pour cela ?
Ce sont des questions importantes qui ont toujours tendance à être plus ou moins évacuées. Et pourtant c’est de cela que dépend la certitude du succès de l’opération.

Daniel


Roup

18/01/2008 à 20h22

Bonsoir,

Je dois dire que je m'étais bien demandé si je ne commencerais pas à tracter cette 13 sur une plaque amovible, puis je me suis dit que 14 et 15 viendraient assez vite si on extrayait les dents lactéales correspondantes, et qu' on se trouverait dans une situation plus confortable si 14 et 15 étaient en occlusion, car cela dégagerait plus de place pour 13, vu la topographie de sa racine avec celles de 14 et 15.

Quant à la mécanique, une fois l'arcade nivelée, je placerais un arc acier 19.25 par exemple, avec un hook serti en mésial de 11 pour avoir une direction de traction assez mésiale, toujours pour le conflit des racines.

Concrètement, le chirurgien maxillo me colle un oeillet sur 13, et y passe une ligature en double qu'il toronne.Il me la fait sortir dans le site d'extraction de 52-53 et je la relie via une ligature élastique au hook.C'est la tension du fil élastique qui détermine la force, mais là, je dois dire que je ne m'en préoccupe pas vraiment puisque de toute facon le réglage avec ce dispositif est malaisé; j'ai peut être tort.

Je serai attentif à la direction selon laquelle la 13 évolue, pour réajustement si nécessaire, mais il me semble que de cette façon, cette canine se redressera et descendra en même temps, 14 et 15 étant elles même descendues entre temps.
Le centre de résistance de 13 n'est pas aussi apical que pour une dent à apex fermé et si le chirurgien dégage ce qu'il faut d'os (mais pas à la dynamite) je le sens bien.

Bref, comme tu dis, rien que du très classique.
Mais cela ma parait trop simple pour te convaincre et je suis impatient de connaitre le dispositif génial que tu as utilisé; des attaches, cette fois?
Je suspecte un dispositif à la Dancha de traction de cette 13 dans son axe...

Roup


1 eugenol dmj5np - Eugenol
Dancha

19/01/2008 à 10h52

Trop simple ? Que nenni ! Intelligemment réfléchi en tous cas.
Tu as bien relevé que cette dent n’a pas terminé son édification radiculaire et qu’il faut en tenir compte, de même qu’il faut penser à un éventuel conflit avec la 14.

Le seul point qui me chagrine est le manque apparent de contrôle de la force de traction et de son amplitude. N’est-ce pas important ? Depuis le temps qu’on parle des forces légères (plus de 30 ans, je rappelle qu’on n’a pas attendu Damon pour cela), ne pourrais-tu pas essayer d’imaginer un système qui délivre une force légère et constante et qui permette ce contrôle ?

Au fait, où se trouve-t-elle exactement cette canine ? J’ai dit précédemment qu’un scan n’était pas absolument nécessaire. Si tu intervenais toi-même chirurgicalement, où irais-tu la chercher ?

Daniel


Roup

19/01/2008 à 19h05

Bonjour,

Eh bien je vois sa cuspide toute proche de la partie inférieure droite de l'orifice piriforme. Peut être la palpe-t-on très haut dans le vestibule?
Je choisirais donc un abord vestibulaire, très haut dans le vestibule, après avoir fait un scanner ou au moins une téléradio de face.C'est vrai, c'est une radio de plus, mais si je devais aller la chercher moi-même, je la ferais.

Pour les forces douces, si tu trouves que mon système ne permet pas un contrôle suffisant du module de la force, alors je peux ne pas faire la traction avec une ligature élastique sur l'arc acier, mais ajouter un arc NiTi sur mon arc acier tenu par des bi-level pins (TP orthodontics ;j'utilise des Bk avec slot vertical), et je tracte 13 sur cet arc niti avec un petit v dedans( pourla ligature métalique cette fois) pour garder une direction de traction mésiale.
Je sais pas si c'est clair, sinon je fais un dessin.
Mais je sens que c'est pas ce que tu attends...
Peut être une petite vis quelque part?

Roup


1 eugenol dmj5np - Eugenol
Dancha

21/01/2008 à 16h22

Tu as bien vu mon cher Roup, elle est effectivement en vestibulaire haute, même si on ne la sent pas à la palpation. Il serait d’ailleurs intéressant que tu expliques aux autres eugénoliens comment tu as raisonné pour la localiser de la sorte.

La mécanique que tu proposes est remarquablement bien pensée, cependant je regrette son manque d’amplitude. Et tu n’amélioreras pas celle-ci en employant des « bi-level pins », au contraire, car le fil NiTi sera alors encore plus proche de l’émergence de ligature. Tu devras alors multiplier les activations..
Ne peux-tu imaginer un ressort de type cantilever qui délivre une force légère, contrôlée et d’une plus grande amplitude. ?
Un autre point qui me dérange dans ton montage est le blocage de la 14 par un arc acier lourd. Tu as bien fait remarquer le risque de son télescopage avec la 13. Ne penses-tu pas que le fait de la laisser libre lui permettrait le cas échéant de se déplacer spontanément et de laisser passer la 13 sans dommage ?

Au fait, on parle toujours de force légère. Combien de cN (on ne doit plus dire « gramme » mais « centiNewton » !) est-il souhaitable de délivrer dans un cas comme celui-ci ?

Daniel


Picture1111 zburnd - Eugenol
saidkholoki

21/01/2008 à 21h42

Tirer une canine incluse c'est comme une lettre a la poste... c'est a dire 20 gr. Desole j'utilise encore l'ancien systeme d'unite de force.


1 eugenol dmj5np - Eugenol
Dancha

22/01/2008 à 10h15

Ce qui fait 20 cN. Merci Saïd.

Daniel


Spriford

22/01/2008 à 10h56

hum... C'est comme le détartrage et la litothricie, c'est la même chose mais l'appellation se doit d'évoluer doctement, pour éviter de déraper vers le trage tardé des mutuelles banlieusardes !
Bon, nous avons tous adopté le "braquet" en remplacement du "bracket" trop anglophone, mais le centiNewton, j'le sens pas trop !!!Heu... Tu pèses combien Dancha?

Ok, je sors!:)))


1 eugenol dmj5np - Eugenol
Dancha

22/01/2008 à 13h09

Top secret...
Tu aurais pu aussi ajouter "avulsion" au lieu de "extraction". Il est vrai qu'on extrait du charbon et qu'on arrache des pommes de terres.. une dent, c'est quand même plus noble !


Spriford

22/01/2008 à 13h27

vraiment, tu trouves qu'un chicot est plus noble qu'une petite ratte qui sent bon la terre ?
Solanum tuberosom quand même...


Roup

22/01/2008 à 14h38

Bonjour,

Voilà une alternative avec un dispositif qui permet le réglage de la force en module et direction. Je l'utiliserais avec un double tube sur 16 , avec le ressort dans le tube gingival et un arc complet dans l'autre.
Effets indésirables : extrusion et mésioversion coronaire de 16 mais vu la force, négligeable a à mon avis( mini vis si doutes). Si tu ne veux pas engager la 14, le ressort prendrait 16 et 15.
L'espace entre 14 et 11 est plus reduit chez ton patient que sur mon modèle.

Avec la première solution dont j'avais parlé précédement, je mets un up-righting-spring(TP ortho) pour envoyer la racine de 14 en distal.

Roup.

1 fscf97 - Eugenol
2 tbqubt - Eugenol
3 xfs2gq - Eugenol

1 eugenol dmj5np - Eugenol
Dancha

22/01/2008 à 20h03

Joli !
Il y a juste un détail que je ne saisis pas bien : tu dis que tu mets le ressort dans le tube gingival molaire et un arc complet dans l’autre, OK. Mais dans les braquets, les deux fils sont attachés ensemble ?

Daniel


Picture1111 zburnd - Eugenol
saidkholoki

22/01/2008 à 20h19

Salut roup,
le ressort dont tu parles s'appelle un descendeur canin. A mon avis, et du point de vu biomecanique, l'attacher sur la 4 ou sur la 5 va engendrer une force reactionnelle d'ingression de la premolaire. Donc il faut mieux avoir un double tube sur la molaire, passer un fil rigide dans le tube occlusal sans engager la 4, si l'on veut la laisser libre, et dans le tube gimgival on fait passer le ressort. Ceci donne un brs de levier plus long et plus efficace, et la 6 stabilisee n'aura pas de mouvement parasite. On peut utiliser un dispositif palatin type ATP pour renforcer l'ancrage de la molaire et on peut faire le ressort en TMA .016 X .022 pour plus de souplesse. Le reste tout va bien.


Roup

22/01/2008 à 20h44

Exact, il y a tendance à l'ingression de la 14 sur le dispositif qui est en photo.
C'était juste pour illustrer le type de ressort.
Je le mettrais effectivement en place comme tu dis;je n'engage pas le ressort dans la gorge des attaches des PM qui recoivent l'arc de base;juste une ptite ligature pour que ca ne se promène pas.

Pour ce qui est de la position de la canine, la pointe de la cuspide se projette au dessus du plan bi-spinal sur le téléprofil; sur la pano, elle est immédiatement en arrière du bord latéral droit de l'orifice piriforme.
La couronne de cette canine étant supposée ne pas être dans les fosses nasales, elle se trouve donc dans le triangle osseux sur la photo, sous la corticele vestibulaire; c'est ça Dancha?

Roup

To w5ybxc - Eugenol

12